You are here

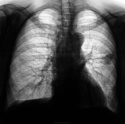
Контроль после флюорографии.

Пол пациента: 
Тип патологии: 
Методы исследования: 

Пациентка, при расшифровке флюорограмм, была взята на контроль. Произведена рентгенография в стандартных проекциях. Ваше мнение уважаемые коллеги?

  • https://radiomed.ru/sites/default/files/styles/case_slider_image/public/user/12/202.Z.P5140003.JPG?itok=xbZXBo3c
ID:3784
DR.RAD's picture
Offline
Last seen: 11 years 11 months ago
Joined: 25.03.2009 - 18:22
Posts: 805

а где боковаяУлыбаюсь ?

DR.RAD's picture
Offline
Last seen: 11 years 11 months ago
Joined: 25.03.2009 - 18:22
Posts: 805

извиняюсь,интернет тормозит((((((((((

Катенёв Валентин Львович's picture
Offline
Last seen: 7 years 3 months ago
Joined: 22.03.2008 - 22:15
Posts: 54876

Ну, и какое мнение?

stovbav's picture
Offline
Last seen: 2 years 5 months ago
Joined: 20.12.2009 - 17:28
Posts: 7066

Дифференцируем туберкулому и ретенционную кисту....

Vikkur's picture
Offline
Last seen: 4 years 10 months ago
Joined: 24.09.2009 - 14:34
Posts: 1749

Посмел несколько скоррекировать изо....

Приложения: 
201.Z.P5140001.JPG202.Z.P5140003.JPG

Виктор.

Катенёв Валентин Львович's picture
Offline
Last seen: 7 years 3 months ago
Joined: 22.03.2008 - 22:15
Posts: 54876

Коррекция хорошая, но вот коммента нет.

stovbav's picture
Offline
Last seen: 2 years 5 months ago
Joined: 20.12.2009 - 17:28
Posts: 7066

Катенёв Валентин Львович wrote:

Коррекция хорошая, но вот коммента нет.

После коррекции Виктора Владимировича еще больше склоняюсь к ретенционной кисте....

Катенёв Валентин Львович's picture
Offline
Last seen: 7 years 3 months ago
Joined: 22.03.2008 - 22:15
Posts: 54876

Фрагменты рентгенограммы с увеличением.

 

Приложения: 
91..P5140002.JPG92..P5140002-1.jpg93..P5140002-1a.jpg94..P5140002-1-2.jpg95..P5140002-1-2a.jpg
dmlyg's picture
Offline
Last seen: 8 years 3 months ago
Joined: 20.02.2009 - 18:03
Posts: 61

Я двумя руками за ретенционную кисту.

Дмитрий

Катенёв Валентин Львович's picture
Offline
Last seen: 7 years 3 months ago
Joined: 22.03.2008 - 22:15
Posts: 54876

Томограмма.

Приложения: 
200.T.P5140004.JPG
Катенёв Валентин Львович's picture
Offline
Last seen: 7 years 3 months ago
Joined: 22.03.2008 - 22:15
Posts: 54876

Ну, и менее оптимальный срез.

 

Приложения: 
200.A.P5140007a.jpg
stovbav's picture
Offline
Last seen: 2 years 5 months ago
Joined: 20.12.2009 - 17:28
Posts: 7066

Ретенционная киста....

 

Катенёв Валентин Львович's picture
Offline
Last seen: 7 years 3 months ago
Joined: 22.03.2008 - 22:15
Posts: 54876

Портреты с увеличением.


Приложения: 
101.Portret.P5140005.JPG102.Portret.P5140005-3.jpg103.Portrety.P5140005-3a.jpg104.Portrety.P5140005-3ab.jpg
DR.RAD's picture
Offline
Last seen: 11 years 11 months ago
Joined: 25.03.2009 - 18:22
Posts: 805

а Вы Валентин Львович к чему склоняетесь???

Катенёв Валентин Львович's picture
Offline
Last seen: 7 years 3 months ago
Joined: 22.03.2008 - 22:15
Posts: 54876

Ну, к примеру - правая верхушка.

 

Приложения: 
43..P5140006.JPG44..P5140006a.jpg45..P5140006ab.jpg
stovbav's picture
Offline
Last seen: 2 years 5 months ago
Joined: 20.12.2009 - 17:28
Posts: 7066

Валентин Львович, Вы знаете, давно заметил, что на ваших томограммах постоянное вуалевидное, практически равномерное локальное затемнение в верхне-медиальном отделе верхней доли справа, как мне кажется - техногенного характера. Я не прав? может это "глюки" нета...или как?

 Здесь правая вехняя доля особо то и не впечатлила, а вот локальное уплотнение по наружному контуру тенеобразования заставило призадуматься....скажите, а боковую томо Вы не сделали? как то "карточное серце" меня больше по боковой смутило в пользу ретенционной кисты. Если есть - покажите.

Что касается выводов, то теперь вернулся к самому первому своему выводу : туберкулома?-ретенционная киста?

Катенёв Валентин Львович's picture
Offline
Last seen: 7 years 3 months ago
Joined: 22.03.2008 - 22:15
Posts: 54876

Уважаемый Виктор Григорьевич!

Просто, сегодня данная пациентка (благодаря медицинской сестре туб.кабинета - работает недавно) явилась на флюорографию, вместо положенной "плановой рентгенографии" без медицинской документации и предыдущих снимков, а посему и заголовок сообщения - "контроль после флюорографии", конечно, не корректный и провокационный, признаю и приношу свои извинения уважаемым коллегам. Конечно, лаборант флюорографа позвал сразу и мы забрали пациентку в рентгеновский кабинет, где она и была обследована согласно стандарту. Но "картинки" показались мне настолько интересными и неоднозначными, что я решил поделиться этим случаем с уважаемыми коллегами. Конечно мед. сестры туб. кабинета получили "своё".

Пациентка в течение 12 лет состоит на учете в туб. кабинете по поводу туберкуломы, Пациентке неоднократно предлагалась операция, от которой она упорно отказывалась и отказывается по каким - то своим соображениям. В прошлом году было и СКТ и бронхоскопия и ЦВК, вся необходимая атрибутика выдержана. Случай верифицирован. Время от времени пациентку направляют в рентгеновский кабинет для наблюдения "динамики".

Еще раз приношу свои извинения за некоторую некорректность, но случай мне представляется чрезвычайно интересным.

Благодарю всех, кто принял участие в обсуждении случая.

stovbav's picture
Offline
Last seen: 2 years 5 months ago
Joined: 20.12.2009 - 17:28
Posts: 7066

Как бы там не было, но ход наших мыслей и диф. ряд были правильными, а это радует, спасибо за мастер-класс!

Катенёв Валентин Львович's picture
Offline
Last seen: 7 years 3 months ago
Joined: 22.03.2008 - 22:15
Posts: 54876

Хорошо, что мы на сайте имеем возможность, именно коллегиально обсудить и поделиться с коллегами тем, что имеем, а делясь, и сами обогащаемся и знаниями и представленными визуализациями.

 

Я вчера, качал Ваш "Вакуум", правда сказать не весь, проведу все через "Олимпус", а затем задам Вам вопросы, ибо, вопросы есть.

stovbav's picture
Offline
Last seen: 2 years 5 months ago
Joined: 20.12.2009 - 17:28
Posts: 7066

Катенёв Валентин Львович wrote:

Хорошо, что мы на сайте имеем возможность, именно коллегиально обсудить и поделиться с коллегами тем, что имеем, а делясь, и сами обогащаемся и знаниями и представленными визуализациями.

 

Я вчера, качал Ваш "Вакуум", правда сказать не весь, проведу все через "Олимпус", а затем задам Вам вопросы, ибо, вопросы есть.

Валентин Львович, как по мне уже назрела необходимость написать нам с вами по этому поводу статью....как считаете? Попробовать обобщить варианты "картинок" газа, проследить точки локализации и т.д...Вот бы только еще КТшных вариантов "подогнать", не хочется тупо по интернету их "вылавливать", уж если эксклюзивно, так эксклюзивно. Насколько я понимаю, на сегодняшний день у нас самая большая библиотека рентгеновских его изображений...

Катенёв Валентин Львович's picture
Offline
Last seen: 7 years 3 months ago
Joined: 22.03.2008 - 22:15
Posts: 54876

Конечно, вопрос важный, и уже откладывать его не стоит. На мой взгляд, не стоит брезговать и интернет сообщениями (ссылки на авторство, мы безусловно, сделаем). Ни у Вас, ни у меня КТ нет, возможно, наши коллеги, что-то подкинут?

stovbav's picture
Offline
Last seen: 2 years 5 months ago
Joined: 20.12.2009 - 17:28
Posts: 7066

Катенёв Валентин Львович wrote:

Конечно, вопрос важный, и уже откладывать его не стоит. На мой взгляд, не стоит брезговать и интернет сообщениями (ссылки на авторство, мы безусловно, сделаем). Ни у Вас, ни у меня КТ нет, возможно, наши коллеги, что-то подкинут?

Согласен,  начну набрасывать черновой текстовый вариант, заодно и по нету посмотрю, потом вернемся к этому вопросу.

Makcimalist's picture
Offline
Last seen: 11 years 11 months ago
Joined: 08.05.2010 - 14:28
Posts: 1994

stovbav wrote:

Что касается выводов, то теперь вернулся к самому первому своему выводу : туберкулома?-ретенционная киста?

 Часто ли Вам приходилось видеть ретенц. кисты  таких размеров (подтверждённые).

  Хотя бы 1 покажите "ещё" Улыбаюсь...

--------------

"Просто, по видимости, не видеть логики в очевидных вещах - это тоже одно из свойств некоторых умов, наряду с грустными думами о свойствах ума других."  © Vega 08/10/2011

Катенёв Валентин Львович's picture
Offline
Last seen: 7 years 3 months ago
Joined: 22.03.2008 - 22:15
Posts: 54876

Так как Виктора Григорьевича нет на сайте сейчас. То, вот одно, из его наблюдений, именно, ретенционная киста.

 

Приложения: 
555..RET_.Kis_..jpg666.3.RET_.Kis_..jpg
stovbav's picture
Offline
Last seen: 2 years 5 months ago
Joined: 20.12.2009 - 17:28
Posts: 7066

Makcimalist wrote:

stovbav wrote:

Что касается выводов, то теперь вернулся к самому первому своему выводу : туберкулома?-ретенционная киста?

 Часто ли Вам приходилось видеть ретенц. кисты  таких размеров (подтверждённые).

  Хотя бы 1 покажите "ещё" Улыбаюсь...

Приходилось видеть, и часто...имел счастье почти семь лет работать в областной болнице, где было очень даже (и есть) пристойное торакальное отделение, там и насмотрелся. Ну а типичный пример моего наблюдения Вы видели. Спасибо за демонстрацию Валентину Львовичу. Этот случай уже обсуждался на Радиомеде.