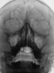
ДОБРЫЙ ВЕЧЕР! Объёмное образование левой в/ч пазухи - неуточнённого х-ра (на кисту не очень смахивает,хотя кто его знает, но деструкцию стенок пазухи не вижу).Рекомендую , банально сделать КТ или МРТ, если нет возможности -наблюдайте (повтор я бы назначил ч/з 1,5 мес).Справа - вн/отделах у-нь жидкости.
ДОБРЫЙ ВЕЧЕР! Объёмное образование левой в/ч пазухи - неуточнённого х-ра (на кисту не очень смахивает,хотя кто его знает, но деструкцию стенок пазухи не вижу).Рекомендую , банально сделать КТ или МРТ, если нет возможности -наблюдайте (повтор я бы назначил ч/з 1,5 мес).Справа и слева - в н/отделах у-нь жидкости.
А где увидели кисту и какие признаки новообразования - я не нашел...
Мне как то тоже не думается, что это киста, от права отличается только полоской "просветления" форма просвета пазух, кажется практически идентичная..может какая аномалия развития альвеолярного отростка?
Очень интересно. Мнения резко противоположные. Что-же должен в таком случае, "протокольно" написать врач-рентгенолог, имеющий в руках только "классическое рентгенологическое исследование"?
Может быть Сан Саныч Вы и правы- ведь некоторая бухтообразность характерна и для гайморовых полостей, если немнорго пофантазировать, то нижне-медиальный край пазухи как бы "наплывает", сумационно естественно, на альвеолярный отросток верхней челюсти.
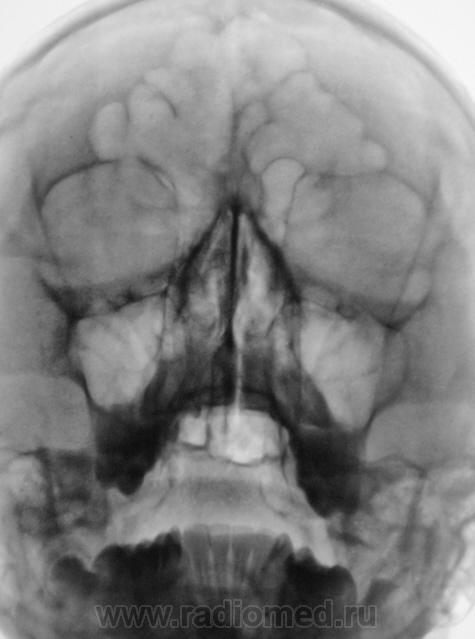
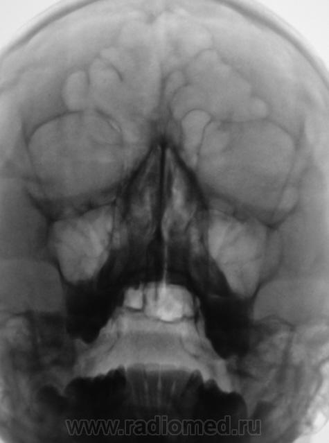
Эко, Вы как быстро. Тема не закрыта. Сразу, после представленных изображений - рентгенограмма в прямой проекции, лаборанты самостоятельно произвели томограммы. Завтра выставлю томограммы.
Заключение написано давно, сразу после исследования. Просто, картинка показалась интересной, вот, и выставил, так как у наших коллег мнения тоже отличались.
Снимков - томограмм дома нет - они в сиаре, завтра из высосу и выставлю. По поводу "тени", помеченной красными стрелками у нас разыгрались серьёзные баталии.
На "земле обетованной", весьма распространенным является имя Беньямин, просто - Беня. Правда, в своё время, и в Одессе было много мужчин с таким именем, а Беню Крика, до сих пор помнит каждый одессит. Но, все одно - в Израиле Беньяминов больше.
Так, вот, во время очень жаркого спора по этим снимкам, некоторые коллеги "в запале", не только вспомнили "Беню", но и его "маму". Вот собственно и все...
На "земле обетованной", весьма распространенным является имя Беньямин, просто - Беня. Правда, в своё время, и в Одессе было много мужчин с таким именем, а Беню Крика, до сих пор помнит каждый одессит. Но, все одно - в Израиле Беньяминов больше.
Так, вот, во время очень жаркого спора по этим снимкам, некоторые коллеги "в запале", не только вспомнили "Беню", но и его "маму". Вот собственно и все...
Валентин Львович, страные у вас знакомства в Одессе. Кто такой Беня Крик я не знал, но что подозрительно моя жена тоже знала кто он такой.
Знакомства у меня в Одессе не странные, обычные. Одесса, возможно не самый лучший город Земли, но, то, что эксклюзивно-неповторимый, так это точно! Часто, в своё время, бывал в Одессе, люблю до сих пор, даже люблю тот "дикий запах" старых рыбних рядов перед "Привозом". То, что Ваша жена, слышала про "Беню", да и ему подобных, свидетельствует только о том, что она, как и я, любит, именно "старую" Одессу.
Конечно нет. Но если вместо, положенных 4,5 врачей рентгенологов, уже в течение 7 лет работает один, да еще и посещает областные мероприятия за 170 км., то его врача (рентгенолога) иногда может и не быть. В данном случае, вполне целесообразно, что клиницист посмотрел снимки направленного им пациента.
Неее, у нас клиницисты еще такого не делают. На выходных тоже бывает наснимают, - врача естессно, нет, ждут до понедельника либо вызывают из дому описывать.
Развеяли сомнения оториноларинголога. Написали норму. С другой стороны, поди разбери? Клиницист - центральная фигура (это слова клиницистов), вся ответственность на докторе - клиницисте...?
ДОБРЫЙ ВЕЧЕР! Объёмное образование левой в/ч пазухи - неуточнённого х-ра (на кисту не очень смахивает,хотя кто его знает, но деструкцию стенок пазухи не вижу).Рекомендую , банально сделать КТ или МРТ, если нет возможности -наблюдайте (повтор я бы назначил ч/з 1,5 мес).Справа - вн/отделах у-нь жидкости.
телу- мера, душе-Вера
Двусторонний гайморит (пристеночная киста слева в ст. формирования).
--------------
"Просто, по видимости, не видеть логики в очевидных вещах - это тоже одно из свойств некоторых умов, наряду с грустными думами о свойствах ума других." © Vega 08/10/2011
ДОБРЫЙ ВЕЧЕР! Объёмное образование левой в/ч пазухи - неуточнённого х-ра (на кисту не очень смахивает,хотя кто его знает, но деструкцию стенок пазухи не вижу).Рекомендую , банально сделать КТ или МРТ, если нет возможности -наблюдайте (повтор я бы назначил ч/з 1,5 мес).Справа и слева - в н/отделах у-нь жидкости.
телу- мера, душе-Вера
А где увидели кисту и какие признаки новообразования - я не нашел...
Все кисты - пристеночные...по другому быть не может, что касается - в стадии формирования, скажу честно это не увидеть никак...
Но что касается одностороннего пристеночного процесса - это однозначно ДА!
По данной рентгенограмме уточнить его форму, структуру, полное отношение к стенке нереально.
Что можно сделать на местном уровне - контрастную гайморографию.
Что лучше сделать - КТ/МРТ - в заисимости от возможностей.
Болезни ног: виды, симптомы, причины, профилактика и лечение
Мне как то тоже не думается, что это киста, от права отличается только полоской "просветления" форма просвета пазух, кажется практически идентичная..может какая аномалия развития альвеолярного отростка?
Виктор.
Нормальнейшая норма+игра теней.
Если были сомнения, надо было доснять носолобную проекцию.
Очень интересно. Мнения резко противоположные. Что-же должен в таком случае, "протокольно" написать врач-рентгенолог, имеющий в руках только "классическое рентгенологическое исследование"?
Костно - патологических изменений не выявлено, воздушность пазух сохранена.
Может быть Сан Саныч Вы и правы- ведь некоторая бухтообразность характерна и для гайморовых полостей, если немнорго пофантазировать, то нижне-медиальный край пазухи как бы "наплывает", сумационно естественно, на альвеолярный отросток верхней челюсти.
Пишите норму, Валентин Львович.
Болезни ног: виды, симптомы, причины, профилактика и лечение
Эко, Вы как быстро. Тема не закрыта. Сразу, после представленных изображений - рентгенограмма в прямой проекции, лаборанты самостоятельно произвели томограммы. Завтра выставлю томограммы.
Заключение написано давно, сразу после исследования. Просто, картинка показалась интересной, вот, и выставил, так как у наших коллег мнения тоже отличались.
Да...Вы бы были не Вы, если бы не попридержали козырного туза.....к развязке....жаль...до завтра ждать придется.....
Болезни ног: виды, симптомы, причины, профилактика и лечение
Снимков - томограмм дома нет - они в сиаре, завтра из высосу и выставлю. По поводу "тени", помеченной красными стрелками у нас разыгрались серьёзные баталии.
Зеленым я обвел контуры пахухи, которая как бы наехала на тень альвеолярного отростка (синий цвет)- просто сумация теней....
Болезни ног: виды, симптомы, причины, профилактика и лечение
Допустите вариант, что нижние края пазухи как бы охватывают альвеолярный отросток СПЕРЕДИ и СЗАДИ, вот тогда такая картинка и появится...
Болезни ног: виды, симптомы, причины, профилактика и лечение
Конечно, Вы правы, правы и коллеги, которые высказались по поводу нормы. Но у нас спор был "не хилый". Даже границу Израиля, некоторые пересекли.
Это в каком же смысле...что то я не "вьехал", как говорит моя дочь-студентка....
Болезни ног: виды, симптомы, причины, профилактика и лечение
А, во что не "вьехали" Виктор Григорьевич?
По поводу пересечения границы Израиля - не вьехал....
Болезни ног: виды, симптомы, причины, профилактика и лечение
Спор среди коллег был очень жаркий.
На "земле обетованной", весьма распространенным является имя Беньямин, просто - Беня. Правда, в своё время, и в Одессе было много мужчин с таким именем, а Беню Крика, до сих пор помнит каждый одессит. Но, все одно - в Израиле Беньяминов больше.
Так, вот, во время очень жаркого спора по этим снимкам, некоторые коллеги "в запале", не только вспомнили "Беню", но и его "маму". Вот собственно и все...
Я тоже вижу норму.
Неоднозначно всё
"Веселый" у Вас был спор. А я то, грешным делом, подумал, что в прямом смысле - на консультацию в Израиль летали.....
Болезни ног: виды, симптомы, причины, профилактика и лечение
Валентин Львович, страные у вас знакомства в Одессе. Кто такой Беня Крик я не знал, но что подозрительно моя жена тоже знала кто он такой.
Знакомства у меня в Одессе не странные, обычные. Одесса, возможно не самый лучший город Земли, но, то, что эксклюзивно-неповторимый, так это точно! Часто, в своё время, бывал в Одессе, люблю до сих пор, даже люблю тот "дикий запах" старых рыбних рядов перед "Привозом". То, что Ваша жена, слышала про "Беню", да и ему подобных, свидетельствует только о том, что она, как и я, любит, именно "старую" Одессу.
Томограммы.
В Израиль, летать на консультацию бесполезно. Все - одно, большинство там, бывшие "наши" - из СССР
Ну вот-а я и не знаю шо Вы волновались)) (Линейка -тема!)
Виктор.
А, я и не волновался, линейка была сделана сразу - же после рентгенограммы.
Это я в продолжении темы "Земли Обетованной", извините..
, не подумал что именно на Ваш счет получится..)
Виктор.
Виктор Владимирович!
Да что Вы!
Я вообще, уже ничего на свой счет не воспринимаю.
Вопросы: 1) с какой целью делали томограмму? 2) достигнута ли цель?
Неоднозначно всё
Томограмма получилась еффектным гвоздем " в темечко"....в споре...вернее - в гайморовую полость
...
Болезни ног: виды, симптомы, причины, профилактика и лечение
По поводу кисты - погорячился, но ни Т-граммы, ни Rg-граммы не исключают жидкость
на дне гайморовых пазух - надо было снимать в носо-лобной проекции!
--------------
"Просто, по видимости, не видеть логики в очевидных вещах - это тоже одно из свойств некоторых умов, наряду с грустными думами о свойствах ума других." © Vega 08/10/2011
Вот это обсуждение разрослось вокруг нормы. А зачем томограммы делали?
Рентгенолога в кабинете во время производства снимка не было. У отоларинголога возникли сомнения. Рентген-лаборант произвел томограммы.
В ВАШЕМ кабинете рулит лор??
Конечно нет. Но если вместо, положенных 4,5 врачей рентгенологов, уже в течение 7 лет работает один, да еще и посещает областные мероприятия за 170 км., то его врача (рентгенолога) иногда может и не быть. В данном случае, вполне целесообразно, что клиницист посмотрел снимки направленного им пациента.
Неее, у нас клиницисты еще такого не делают. На выходных тоже бывает наснимают, - врача естессно, нет, ждут до понедельника либо вызывают из дому описывать.
Коммунизм у Вас для отоларинголога: возникли сомнения — томограмму для него на счёт РАЗ сделали)). Хотя бы развеялись его сомнения?
Неоднозначно всё
Развеяли сомнения оториноларинголога. Написали норму. С другой стороны, поди разбери? Клиницист - центральная фигура (это слова клиницистов), вся ответственность на докторе - клиницисте...?
вся ответственность на докторе - клиницисте...
Смешно...