You are here

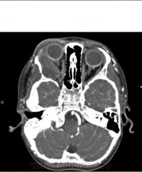
Эхинококкоз орбиты

Пол пациента: 
Тип патологии: 
Область исследования: 
Методы исследования: 

         

 

 Мальчик, 5 лет. Случай верифицирован (операция, гистология).

 

  • https://radiomed.ru/sites/default/files/styles/case_slider_image/public/user/1051/0002.jpg?itok=J1QsM_Tq
  • https://radiomed.ru/sites/default/files/styles/case_slider_image/public/user/1051/0003.jpg?itok=wBJ8FMFK
  • https://radiomed.ru/sites/default/files/styles/case_slider_image/public/user/1051/0004.jpg?itok=urtRqVHq
  • https://radiomed.ru/sites/default/files/styles/case_slider_image/public/user/1051/0005.jpg?itok=_u3J1fwn
  • https://radiomed.ru/sites/default/files/styles/case_slider_image/public/user/1051/0006.jpg?itok=S20So6Yv
  • https://radiomed.ru/sites/default/files/styles/case_slider_image/public/user/1051/0007.jpg?itok=NIMqg8l_
  • https://radiomed.ru/sites/default/files/styles/case_slider_image/public/user/1051/0008.jpg?itok=AVdmamVP
  • https://radiomed.ru/sites/default/files/styles/case_slider_image/public/user/1051/0009.jpg?itok=hNhcL9q8
  • https://radiomed.ru/sites/default/files/styles/case_slider_image/public/user/1051/0010.jpg?itok=PjhO2Z3o
ID:4268
Катенёв Валентин Львович's picture
Offline
Last seen: 7 years 3 months ago
Joined: 22.03.2008 - 22:15
Posts: 54876

Класс! Как информативно.

А визуально экзофтальм есть?

Nela's picture
Offline
Last seen: 6 years 4 months ago
Joined: 12.05.2009 - 20:43
Posts: 1847

Да, экзофтальм - основная жалоба.

Катенёв Валентин Львович's picture
Offline
Last seen: 7 years 3 months ago
Joined: 22.03.2008 - 22:15
Posts: 54876

А, кроме головы, нигде больше не искали?

Nela's picture
Offline
Last seen: 6 years 4 months ago
Joined: 12.05.2009 - 20:43
Posts: 1847

Искали, не нашли к счастью. Зато нашли у родственников (где, не помню точно, но менее редкая локазизация).

Катенёв Валентин Львович's picture
Offline
Last seen: 7 years 3 months ago
Joined: 22.03.2008 - 22:15
Posts: 54876

Часто "езжу" по многим сайтам, создалось впечатление, что эхинококкоз силушку, в последнее время, набирает?

Катенёв Валентин Львович's picture
Offline
Last seen: 7 years 3 months ago
Joined: 22.03.2008 - 22:15
Posts: 54876

Вот не знаю, или в набор "орбита" поместить этот случай, или открыть набор "Эхинококкоз"? Несколько случаев на "складе сайта" имеется. Как Ваше мнение?

Nela's picture
Offline
Last seen: 6 years 4 months ago
Joined: 12.05.2009 - 20:43
Posts: 1847

Можно и туда и туда. В орбитах не так часто, по-моему, встречается эхинококк.

Валентин Львович у меня сегодня еще две орбиты есть. Я размещу их как клиническое наблюдение, так как добавить последний раз что-то у меня не получилось.

Катенёв Валентин Львович's picture
Offline
Last seen: 7 years 3 months ago
Joined: 22.03.2008 - 22:15
Posts: 54876

Большое спасибо.  Размещайте, как "клинические наблюдения", а я их скопирую для наборов.