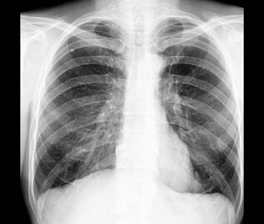
Сомнения насчет мозоли: почему на задней проекции по нижней поверхности ребра костная мозоль на контур не выходит? Разве так бывает, я бы усомнился. И плонтность ее не очень равномерная. Хотя бы скопией проверить смещение вместе с ребром при дыхании и наблюдать если что.
Снимок от 2014:
"Слушай всех, прислушивайся к немногим, решай сам".©
Да.
NIL,
Сергей Кузьминов,
Согласен со всеми.
Сомнения насчет мозоли: почему на задней проекции по нижней поверхности ребра костная мозоль на контур не выходит? Разве так бывает, я бы усомнился. И плонтность ее не очень равномерная. Хотя бы скопией проверить смещение вместе с ребром при дыхании и наблюдать если что.
"Слушай всех, прислушивайся к немногим, решай сам".©