Пол пациента:
Тип патологии:
Область исследования:
Методы исследования:
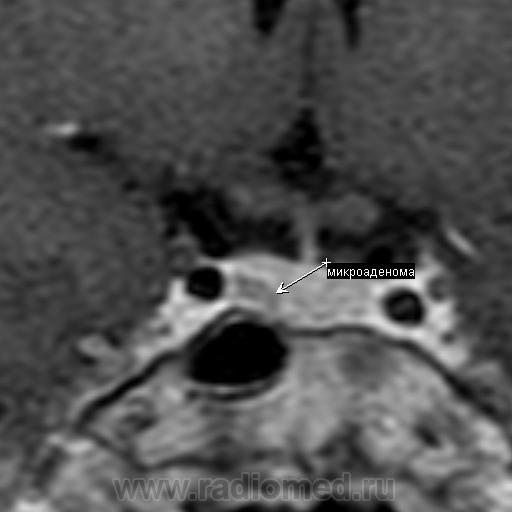
Представлены томограммы пациентки Б., 23 лет. Исследование назначено врачом-эндокринологом после лабораторного обледования. Высокие цифры пролактина. Пациентка существенных соматических жалоб не предъявляет. Акромегалии нет. Жалобы на невозможность забеременеть, нарушения менструального цикла. После проведения исследования в стандартных режимах и в режиме динамического сканирования с в/в контрастным усилением 20 мл ОМНИСКАН в правой доле гипофиза визуализируется дополнительное образование неправильной формы отстающее в накоплении контрастного вещества от здоровой ткани гипофиза. Выставлен диагноз: Микроаденома (пролактинома) гипофиза. Привожу данный клинический случай помятуя о разговоре в форуме.
Пришлось самому и откоментировать.
Что-то глюкнуло и остальные (информативные) томограммы не добавляются ни в какую.
Само сообщение удалить не могу. Редактировать так же. Выскакивает сообщение об ошибке ("Произошла HTTP ошибка 0"). Страшно! :)
Что делать, граждане? :)
"Резать! Резать к чертовой матери, не дожидаясь перитонита!"
Спасибо за представленный случай. По поводу вставки картинок - в Форуме, раздел "Работа сайта", тема как вставлять картинки. Описано несколько способов.
Еще раз спасибо за представленный случай.
Сергей, каким браузером пользуетесь? Пожалуйста, опишите как можно более подробно условия возникновение ошибки. Я такого никогда не видел, и Ваше сообщение у меня прекрасно редактируется. Нужно разбираться.
Добрый админ
Работаю попеременно в Опере 8 Beta и Explorer (бог его знает какой, поскольку установлен вместе с т-с-с-с-с-с :) XP ;). Подобное сообщение было в режиме работы с Оперой.
В принципе я потом приспособился. Дело в том, что я пытался ПРИКРЕПИТЬ картинки за одну месагу. Потом пришлось СОХРАНЯТЬ, а потом редактировать, а потом сохранять, а потом... :)
Так верно?
(потом подумал но уже поздно - надо было скрин оставить. Но вдруг повторится, обязательно оставлю :))
"Резать! Резать к чертовой матери, не дожидаясь перитонита!"
Крууутооо
<<работаю попеременно в Опере 8 Beta и Explorer ... XP>> Предпочитаю и рекомендую Mozilla Firefox, а экплорер из XP при желании можно выкинуть.
Зри в корень!
Сергей! Спасибо за представленный случай! Заварила кашу, теперь другим приходится расхлебывать.
Обратите внимание, коллеги, аденома не деформирует дно турецкого седла. Мне даже кажется, что за счет легкой асимметрии правая половина гипофиза расположена чуть выше левой.
Век живи - век учись...