Центральный научно-исследовательский институт гастроэнтерологии, Москва
Введение Ультразвуковое исследование (УЗИ) используется в клинической практике более 25 лет. Важным этапом в развитии метода было создание в 1975 г. приборов, дающих изображение "серой шкалы", т.е. отражающих действительное соотношение плотностей визуализируемых тканей, а также конвертера цифрового высокоскоростного сканирования (1978 г.), посредством которого возможно получение высококачественного изображения в реальном масштабе времени. В результате дальнейших усовершенствований УЗИ стало достаточно надежным методом, возможности которого уже приближаются к пределу, ограниченному лишь законами физики. Компьютерная томография (КТ) не заменила УЗИ, а, скорее, дала новый импульс его развитию, так как признаки, используемые обоими методами, во многом схожи и, следовательно, их разработка и исследование идут параллельно. При УЗИ органов пищеварительной системы визуализация поджелудочной железы (ПЖ) занимает одно из важнейших мест. При использовании современного оборудования с датчиком, обеспечивающим широкое поле обзора и высокую разрешающую способность компьютерной цифровой обработкой изображения, в большинстве случаев УЗИ оказывается достаточным для качественной визуализации всех отделов ПЖ, ее паренхимы и протоковой системы. Вследствие этого, а также относительной простоты диагностической процедуры, УЗИ получило очень широкое распространение в клинике как при обследовании больных с заболеваниями ПЖ, так и при скрининговом обследовании лиц без признаков патологии ПЖ. В связи с этим многие авторы указывают на необходимость четкого определения возможностей и ограничений сонографии в диагностике и дифференциальной диагностике хронических диффузных и очаговых поражений ПЖ. Кроме того, в литературе, а еще больше в практической работе поднимается приобретший актуальность в связи с массовым скрининговым применением сонографии вопрос об интерпретации бессимптомных изменений со стороны ПЖ.
Соноанатомия поджелудочной железы: возможности УЗИ ПЖ располагается забрюшинно, на задней стенке живота, на уровне нижних грудных (ThXI, ThII) и верхних поясничных LI, LII) позвонков. Своей длинной осью она расположена почти поперечно, пересекая спереди позвоночник, причем 1/3 ее находится правее и 2/3 - левее срединной плоскости тела (позвоночника). В проекции на брюшную стенку ПЖ располагается на 5-10 см выше уровня пупка. ПЖ традиционно разделяется на головку с крючковидным отростком, шейку (перешеек), тело и хвост. Однако на практике часто достаточно выделить лишь две части: головку вправо от верхней брыжеечной вены и тело влево. Головка ПЖ тесно прилежит к петле двенадцатиперстной кишки, а крючковидный отросток заходит за верхнюю брыжеечную вену и располагается вправо от восходящей (4-й) части двенадцатиперстной кишки. Такое его расположение определяет характерную сонографическую картину объемных образований в нем. К передней поверхности головки и тела прилежат привратник и антральный отдел желудка, наличие воздуха в котором, давая акустическую тень, часто затрудняет сонографическую визуализацию ПЖ, а при заполненном жидкостью желудке источником ошибок может оказаться его задняя стенка, дающая сигнал, похожий на сигнал главного панкреатического протока (ГПП). Общий желчный проток визуализируется в пределах головки ПЖ вблизи медиального края нисходящей части двенадцатиперстной кишки. Однако, учитывая близкое расположение кишки, выявить здесь нерасширенный проток удается далеко не всегда, и лучше начинать его визуализацию дистальнее, от ворот печени, постепенно двигаясь проксимально. Расположение хвоста ПЖ вариабельно: обычно он располагается дорсальнее остальных отделов и проходит до ворот селезенки и левой почки, располагаясь кпереди от левого надпочечника. Основным ориентиром при поиске ПЖ являются сосудистые структуры (селезеночная, верхняя брыжеечная, воротная вены, верхняя брыжеечная артерия) и позвоночник. Селезеночная вена отмечает на сонограмме заднюю поверхность хвоста и тела ПЖ. Обычно она видна на большом протяжении от ворот селезенки, где она идет в вертикальном направлении вдоль хвоста до впадения в воротную вену. Далее она проходит в поперечном направлении позади тела и шейки ПЖ. При визуализации через межреберные промежутки слева селезеночная вена видна вдоль задневерхнего хвоста ПЖ. Сзади головка ПЖ почти примыкает к нижней полой вене. Влево и кпереди от нее определяется верхняя брыжеечная вена, параллельно которой определяется верхняя брыжеечная артерия. Шейка ПЖ располагается в основном несколько ниже, в более редких случаях - в месте слияния селезеночной и верхней брыжеечной вен. При слиянии этих сосудов образуется воротная вена, которая служит ориентиром при локализации общего желчного протока и может быть причиной ошибок, так как расширенный общий желчный проток в области головки ПЖ дает эхосигнал, схожий с сигналом воротной вены. Тесный контакт задней поверхности головки ПЖ с нижней полой веной важен в диагностическом плане: сдавление вены свидетельствует об объемном процессе в головке ПЖ. При исследовании ПЖ в поле зрения, как правило, попадают также близко расположенный к ней чревный ствол и его ответвления - печеночная и селезеночная артерии. Последняя, проходя вдоль верхнего края ПЖ, делает несколько изгибов, в результате чего при поперечном сечении ультразвуковым лучом создается впечатление о ее прерывистости, часто картина представляется в виде отдельных гипоэхогенных участков в паренхиме ПЖ. Следует отметить, что расположение как самой ПЖ, так и сосудистых ориентиров имеет множество различных вариантов, что в прошлом значительно затрудняло визуализацию ПЖ и оценку ее состояния. Благодаря введению в практику аппаратов, работающих в режиме "серой шкалы", и их усовершенствованию значение указанных ориентиров постоянно уменьшается, так как в большинстве случаев возможна непосредственная идентификация ткани ПЖ. Практика показывает, что визуализация ПЖ возможна практически у всех здоровых лиц. Расстояние от кожи передней брюшной стенки до передней поверхности ПЖ колеблется от 95 мм у тучных субъектов до 24 мм у худых. Обычно для исследования всех отделов ПЖ, за исключением дистальной части хвоста, достаточно нескольких поперечных сечений в эпигастрии при задержке дыхания в фазе глубокого вдоха, поскольку железа лучше выявляется при сканировании через печень. Дистальная часть хвоста может быть выявлена при продольном сканировании со стороны спины. В случае затруднений, связанных с помехами от воздуха в желудке и двенадцатиперстной кишке, рекомендуется заполнение их водой. Подобная процедура также дает возможность отличить объемные образования в паренхиме железы от наложения поперечных срезов двенадцатиперстной или проксимальных отделов тощей кишки. Размеры ПЖ очень вариабельны. Неудивительно, что различные авторы приводят несколько различающиеся значения нормы: переднезадний размер головки ПЖ составляет в норме 15-35 мм, тела - 15-29 мм, хвоста - 5-35 мм [1-4]. Считается также, что нормальный размер головки не должен превышать 2/3 ширины поясничного позвонка, выявляемой при УЗИ. По нашим данным, полученным при обследовании большого количества здоровых лиц, размер головки составил 23,4±4,0 мм, тела - 19,2±2,2 мм, хвоста - 22,1±8,9 мм. Все авторы согласны с тем, что важное диагностическое значение имеют не сами размеры, а форма ПЖ. В большинстве случаев размеры ПЖ постепенно уменьшаются от головки к хвосту. Реже встречается форма с толстыми головкой и хвостом и относительно тонким телом. Ультразвуковая характеристика нормального ГПП во многом зависит от качества используемого оборудования. При использовании аппаратов ранних поколений справедливо считалось, что ГПП в норме не визуализируется. В дальнейшем изображение нормального протока получалось в виде тонкой полосы высокой интенсивности. При использовании современного оборудования стенки и просвет ГПП выявляются очень часто. Нормальный диаметр протока в области головки и тела ПЖ колеблется от 1 до 3 мм. Ультразвуковое изображение паренхимы ПЖ в норме гомогенное, состоящее из мелких, плотно расположенных эхосигналов. В норме эхогенность паренхимы ПЖ соответствует эхогенности паренхимы печени или превышает ее иногда значительно, особенно у пожилых людей, что не является признаком патологии в том случае, если это повышение гомогенное. Выраженное равномерное снижение эхогенности паренхимы ПЖ может считаться нормальным лишь у детей. При оценке состояния паренхимы ПЖ следует помнить, что в случае диффузного заболевания печени сонографическая структура ее паренхимы изменяется и она не может служить критерием для сравнения с паренхимой ПЖ. В заключение можно сформулировать наиболее важные критерии нормальной сонографической картины ПЖ: - правильная, гармоничная общая форма; - ровные контуры без отдельных выступов; - толщина менее 35 мм; - эхогенность паренхимы гомогенная, превышающая эхогенность паренхимы здоровой печени; - ГПП с ровными стенками, диаметр его не более 3 мм (в норме может не визуализироваться); - отсутствие сдавления окружающих вен.
Хронический панкреатит Для хронического панкреатита (ХП) вне обострения характерны изменения эхоструктуры паренхимы, ГПП контуров и, в меньшей степени, размеров ПЖ. Основная особенность эхоструктуры ПЖ при ХП - гетерогенное повышение ее эхогенности. Область хронического воспалительного процесса, фиброза или кальцификаты в паренхиме представляются в виде отдельных участков повышенной эхогенности. В зависимости от размеров пораженных участков наблюдается микро- или макронодулярная сонографическая структура паренхимы, наиболее выраженная в случае кальцифицирующего панкреатита, но также наблюдающаяся при отсутствии макроскопической кальцификации. В этих случаях часто удается подтвердить наличие мелких кальцификатов при КТ. Некоторые кальцификаты, обычно крупные, дают акустическую тень. Часто, при выраженном повышении эхогенности всей паренхимы ПЖ, конкременты выявляются только по наличию акустических теней. Линейное расположение кальцификатов указывает на расположение их в ГПП. Нередко выявляется значительное расширение протока дистальнее расположения в нем конкрементов. Выявление крупных гипоэхогенных участков на фоне повышения эхогенности паренхимы указывает на наличие активного воспалительного процесса (обострения ХП). Большие трудности представляет диагностика псевдотуморозного панкреатита, под которым понимается фокальное поражение какого-либо отдела ПЖ с его увеличением в размерах. При локализации процесса в головке говорить о псевдотуморозном панкреатите можно при увеличении ее размера до 4 см и более. Отличить указанные образования от опухолей при однократном УЗИ практически не представляется возможным. Равномерное повышение эхогенности всей железы не рассматривается как патология, особенно у лиц старше 50 лет. Приблизительно в 30% случаев ХП контур ПЖ представляется размытым, неровным или даже зазубренным, что, вероятно, является артефактом, вызванным гетерогенностью паренхимы и снижением четкости границы между ПЖ и перипанкреатической клетчаткой. Таким образом, границу между ПЖ и окружающей тканью при ХП нельзя точно определить отчасти вследствие того, что зазубренный контур может быть не краем собственно железы, а лишь границей наиболее периферических мелких участков фиброза. В других случаях контуры ПЖ могут быть ровными, без зазубрин, но с крупными гладкими выступами, "горбами", нарушающими в некоторой степени форму железы. При ХП вне обострения размеры железы нормальные или уменьшены, иногда значительно, так что вместо паренхимы может визуализироваться лишь ГПП, расширенный и с плотными стенками; увеличение же размера однозначно свидетельствует об обострении ХП или развитии объемного процесса. Такое увеличение может сопровождаться сдавлением верхней брыжеечной и, реже, нижней полой вены. Нередко отмечается тромбоз селезеночной вены. При обострении ХП сонографическая картина ПЖ значительно изменяется. На существующую неравномерную гиперэхогенную структуру накладываются области пониженной эхогенности, иногда полностью или частично маскирующие признаки ХП. Отмечается увеличение размеров ПЖ, чаще локальное - сегментарный отек. В случае наличия ограниченной гипоэхогенной зоны возникает необходимость исключить опухоль ПЖ. При выраженном локальном отеке, когда исчезает характерная для ХП эхоструктура, дифференциальный диагноз может быть невозможен при однократном исследовании - необходимо динамическое наблюдение, иногда длительное, или пункционная биопсия, так как даже эндоскопическая ретроградная холангиопанкреатография (ХРХПГ) или КТ часто не решают вопроса. Выявление ГПП в пределах зоны сегментарного отека свидетельствует в пользу воспалительного процесса. При отеке в области головки ПЖ возможно сдавление общего желчного протока, приводящее к расширению его на большом протяжении выше области обструкции, что всегда выявляется при УЗИ. Не меньшее значение при исследовании ПЖ имеет визуализация ГПП которая возможна практически у всех пациентов. Поперечное сечение ПЖ дает изображение сегмента ГПП в теле железы. Возможно выявление протока в головке при косом сканировании под углом 45°, но это удается далеко не всегда. При наличии патологии, т.е. расширения ГПП, выявить и измерить его гораздо легче. В далеко зашедших случаях панкреатита, при выраженной атрофии паренхимы, расширенный ГПП - единственная структура, которую можно выявить при УЗИ. Обычно расширенный ГПП при ХП имеет неровные контуры, с утолщением стенок, резкими изгибами вследствие фиброза окружающей ткани. Возможно расширение протока лишь на ограниченном участке, особенно при наличии в нем кальцификатов. Сонография очень надежно выявляет расширенный главный ГПП, однако незначительное расширение или расширение на ограниченном участке либо на участке протока в области головки ПЖ может быть не замечено. Трудности могут возникнуть также в случае значительного расширения ГПП, который в этом случае напоминает при УЗИ картину псевдокисты. Обычно при более тщательном исследовании протока можно поставить правильный диагноз, но в некоторых случаях ЭРХПГ не избежать. Причиной резкого расширения ГПП может быть его обструкция опухолью, в особенности муцинсекретирующей карциномой. В случае выявления признаков ХП при УЗИ следует иметь в виду возможность наличия опухли со вторичным, "дистальным" панкреатитом. Можно кратко суммировать основные, наиболее значимые признаки ХП: - уменьшенный размер либо локальное увеличение некоторых отделов ПЖ; - гетерогенное повышение эхогенности ткани ПЖ; - неровные, с зазубринами или выступами, контуры ПЖ; - неравномерное расширение ГПП, уплотнение и деформация его стенок; - расширение общего желчного протока; - деформация верхней брыжеечной и нижней полой вен. Следует отметить, что диагностика "классического", выраженного ХП очень надежна при УЗИ и применение КТ или ЭРХПГ не дает дополнительной информации. Необходимость в применении последних двух методов возникает в случаях невозможности визуализации каких-либо отделов ПЖ при УЗИ, при далеко зашедших объемных процессах, значительно изменяющих топографию в зоне ПЖ, определении объема оперативного вмешательства и т.п. Имеются указания на то, что сонография недостаточно чувствительна при легких формах и на ранних стадиях ХП.
Скопления жидкости панкреатического происхождения и псевдокисты поджелудочной железы Термином "псевдокиста" обозначается скопление жидкости с ложной стенкой, которая образуется вследствие воспалительной реакции окружающих ПЖ тканей. Формированию псевдокисты предшествует скопление жидкости панкреатического происхождения, которое обычно располагается в области ПЖ, реже - на значительном удалении от нее. Следует также отметить образование ретенционных псевдокист в результате выраженного расширения панкреатического протока дистальнее места обструкции. Ультразвуковая диагностика псевдокист обычно не представляет значительных трудностей. Они определяются как овальные или округлые гипоэхогенные образования с четкими контурами. Минимальный размер кисты, которая может быть выявлена с помощью эхографии, составляет 0,6-0,8 см в головке и теле ПЖ и 1,0-1,5 см - в хвосте. Однако при размерах кисты 10 см и более возникают трудности в определении ее источника в связи с изменениями топографии близлежащих органов. При выявлении очагового образования, подозрительного на кисту, необходимо прежде всего обратить внимание на признаки его жидкостного характера: усиление контура дистальной стенки и наличие эффекта дистального усиления в тканях позади образования. Это важно в дифференциальной диагностике с опухолями, псевдотуморозным панкреатитом или сегментарным отеком ПЖ. Часто такая дифференциальная диагностика требует динамического наблюдения. Речь идет о ранних фазах формирования кисты на фоне ХП, когда она представляет собой полужидкое образовнаие. В таких случаях при динамическом наблюдении отмечается либо регресс образования, либо вследствие аутолитических процессов и осаждения взвеси из крови и гноя появление четких признаков жидкого содержимого с последующим формированием ложной капсулы. В основном кисты бывают однокамерными, реже в их полости выявляются тонкие нежные перегородки. В ряде случаев киста тела ПЖ может быть ошибочно принята за наполненный жидкостью желудок и наоборот. Для дифференциальной диагностики в этом случае необходимо заполнить желудок водой. При этом либо изменится конфигурация образования, либо можно будет четко визуализировать наполненный водой желудок рядом с кистой. При обнаружении кисты ПЖ важно выяснить состояние ГПП и, по возможности, проследить связь кисты с протоком, так как это важно для определения лечебной тактики.
Возможность динамического контроля за состоянием поджелудочной железы в процессе лечения Нами обследовано 280 пациентов с ХП различной этиологии, из них у 162 (58%) при поступлении в стационар отмечались, на фоне признаков ХП, указанные выше сонографические признаки обострения заболевания. У остальных 118 (42%) обострение заболевания проявлялось лишь клинически, а также по данным лабораторных методов исследования, в то время как сонографически выявлялись лишь стабильные и не подверженные динамике признаки ХП (неровность контуров, гетерогенное повышение эхогенности ткани, наличие кальцификатов и др.). Следует отметить, что у больных второй группы клиника обострения была менее выраженной. Указанное обстоятельство ограничивало возможность сонографического контроля за состоянием ПЖ в процессе лечения. Больные с сонографическими признаками обострения ХП получали терапию ферментными препаратами (панзинорм, креон) - 107 человек (66%) либо ферментными препаратами и ингибиторами протеаз или сандостатином - 55 человек (34%). У всех больных этой группы отмечена положительная сонографическая динамика состояния ПЖ в процессе лечения: возвращение размеров ПЖ к норме, повышение четкости контуров, исчезновение гипоэхогенных участков в ткани железы (локального отека), а в 4 случаях - исчезновение мелких псевдокист, выявлявшихся в головке ПЖ. Следует особо отметить случаи крупных (более 4,0 см в диаметре) кист ПЖ, осложнивших течение ХП. Нами наблюдалось 18 больных с указанной патологией, 13 из которых было направлено на хирургическое лечение, а в 5 случаях на фоне терапии ингибиторами протеаз и сандостатином отмечено исчезновение кист. В данной группе больных сонография являлась решающим (и практически единственным) объективным средством контроля за эффективностью консервативной терапии.
Опухоли поджелудочной железы По данным D.Lindsell [5], чувствительность УЗИ при выявлении опухолей ПЖ составила более 90%. F.Weill [4] приводит следующие величины чувствительности при диагностике рака ПЖ: УЗИ - 84%, КТ - 88%; сочетание УЗИ и КТ - 97%. Наибольшее клиническое значение среди опухолей ПЖ имеет аденокарцинома. Гораздо реже встречаются цистаденомы и эндокринные опухоли. В структуре общей смертности от рака всех локализаций аденокарцинома ПЖ составляет 5,5% [6]. Из-за особенностей топографической анатомии ПЖ появление выраженной клинической симптоматики свидетельствует, как правило, о далеко зашедшем процессе. В связи с этим особую актуальность приобретает диагностика опухолей ПЖ на стадии минимальных клинических проявлений. В большинстве (50-80%) случаев опухоль поражает головку ПЖ. Наиболее характерным признаком опухоли является локальное увеличение или выбухание контура какой-либо части железы. Маленькие опухоли достаточно легко визуализируются в головке, так как, во-первых, четкое изображение головки получить легче по сравнению с другими частями железы, а во-вторых, при расположении опухоли в головке обычно быстро развивается сдавление общего желчного протока с развитием соответствующей сонографической и клинической симптоматики. С другой стороны, опухоли небольших размеров в хвосте выявляются значительно реже. О возможном наличии опухоли свидетельствует также нарушение общей гармоничной формы ПЖ, увеличение размеров какого-либо ее отдела. Следует помнить о возможности инвазии всей ПЖ опухолью, имеющей мультицентричный рост. В этом случае наблюдается картина, схожая с диффузным отеком при остром панкреатите [4]. Контуры ПЖ при раке часто нечеткие, однако, в отличие от ХП, достаточно ровные, без зазубрин. В области опухоли могут выявляться выпуклости, иногда внедряющиеся в окружающую клетчатку в виде языков или псевдоподий. В большинстве случаев опухоль ПЖ выявляется как гипоэхогенное образование, почти лишенное внутренних эхоструктур. Однако встречаются опухоли с диффузно разбросанными эхосигналами и с эхосигналами высокой интенсивности в центре при их отсутствии на периферии. Несмотря на то что граница между опухолью и остальной паренхимой железы нечеткая, ее всегда можно приблизительно провести за счет разности в эхогенности нормальной ткани ПЖ и опухолевого очага. Хотя гипоэхогенная структура ткани опухоли, особенно при отсутствии мелких участков повышенной плотности в ней, напоминает таковую при кистах, отсутствие эффекта дистального усиления позволяет исключить жидкостный характер образования. Для кист, кроме того, характерна гораздо более ровная и четкая граница. В большинстве случаев опухолей в головке ПЖ визуализируется расширенный ГПП, причем в отличие от ХП стенки его ровные и неуплотненные. В случае, если диаметр расширенного ГПП составляет половину толщины железы или более, вероятность его обструкции опухолью очень велика. Наряду с ГПП дилатации могут подвергаться общий желчный проток и внутрипеченочные желчные протоки. Расширение ГПП и общего желчного протока наблюдается также и при препятствии, обтурирующем просвет общего желчного протока в области фатерова соска. Как было указано выше, визуализация ГПП в пределах гипоэхогенной зоны свидетельствует в пользу локального отека и против опухоли. Не следует забывать о возможности выявления типичных признаков ХП, а также псевдокист, расположенных дистальнее места опухолевой обструкции и являющихся следствием этой обструкции. Сдавление нижней полой и верхней брыжеечной вен и их дорсальное смещение характерно как для ХП, так и для опухоли, но в последнем случае оно более выражено. Для локализации опухоли в крючковидном отростке характерно смещение верхней брыжеечной вены, а иногда и головки ПЖ, в вентральном направлении. Обнаружение внутрипеченочных метастазов, увеличения чревных, перипортальных и забрюшинных лимфоузлов свидетельствует в пользу рака ПЖ [7]. Следует упомянуть группу относительно редко встречающихся кистоподобных опухолей: цистаденом и цистаденокарцином. Опухоли, состоящие из множества очень мелких кист (микроцистные аденомы), сонографически выглядят как плотное образование. В случае, если составляющие опухоль кисты крупные (цистаденома), она имеет признаки, характерные для жидкостного образования, и трудно отличима от псевдокисты. Диагностика облегчается в случае наличия полипоидных образований или сети внутри очагового образования. Практически различение этих опухолей важно в связи с тем, что микроцистная аденома носит доброкачественный характер, в то время как цистаденома склонна к малигнизации [8].
Литература 1. Демидов В.Н., Сидорова Г.П. Клин. мед. 1976; 8: 90-5. 2. Niderau C. Radiology 1983; 149: 537-40. 3. Weill FS et al. Atlas clinique de radiographie ultrasonore. Paris, 1973. 4. Weill FS. Ultrasound diagnosis of digestive diseases (3 rd. ed.) Berlin: Heidelberg, 1990. 5. Lindsell DRM. Lancet 1999; 335: 390. 6. Fieisher AC, James JrAE. Real-Time sonography. Norwalk, 1984; 164-6. 7. Howard JM. Surgical diseases of the pancreas. Philadelphia, 1987; 77. 8. Pancreatic disease.CD.Johnsom, CW.Imre (eds.) London, 1991; 29.
Том 4/N 1/2002
БОЛЕЗНИ ПОДЖЕЛУДОЧНОЙ ЖЕЛЕЗЫ
Ультразвуковая диагностика хронических панкреатитов
П.В.Банифатов
Центральный научно-исследовательский институт гастроэнтерологии, Москва
Введение
Ультразвуковое исследование (УЗИ) используется в клинической практике более 25 лет. Важным этапом в развитии метода было создание в 1975 г. приборов, дающих изображение "серой шкалы", т.е. отражающих действительное соотношение плотностей визуализируемых тканей, а также конвертера цифрового высокоскоростного сканирования (1978 г.), посредством которого возможно получение высококачественного изображения в реальном масштабе времени. В результате дальнейших усовершенствований УЗИ стало достаточно надежным методом, возможности которого уже приближаются к пределу, ограниченному лишь законами физики. Компьютерная томография (КТ) не заменила УЗИ, а, скорее, дала новый импульс его развитию, так как признаки, используемые обоими методами, во многом схожи и, следовательно, их разработка и исследование идут параллельно.
При УЗИ органов пищеварительной системы визуализация поджелудочной железы (ПЖ) занимает одно из важнейших мест. При использовании современного оборудования с датчиком, обеспечивающим широкое поле обзора и высокую разрешающую способность компьютерной цифровой обработкой изображения, в большинстве случаев УЗИ оказывается достаточным для качественной визуализации всех отделов ПЖ, ее паренхимы и протоковой системы. Вследствие этого, а также относительной простоты диагностической процедуры, УЗИ получило очень широкое распространение в клинике как при обследовании больных с заболеваниями ПЖ, так и при скрининговом обследовании лиц без признаков патологии ПЖ. В связи с этим многие авторы указывают на необходимость четкого определения возможностей и ограничений сонографии в диагностике и дифференциальной диагностике хронических диффузных и очаговых поражений ПЖ. Кроме того, в литературе, а еще больше в практической работе поднимается приобретший актуальность в связи с массовым скрининговым применением сонографии вопрос об интерпретации бессимптомных изменений со стороны ПЖ.
Соноанатомия поджелудочной железы:
возможности УЗИ
ПЖ располагается забрюшинно, на задней стенке живота, на уровне нижних грудных (ThXI, ThII) и верхних поясничных LI, LII) позвонков. Своей длинной осью она расположена почти поперечно, пересекая спереди позвоночник, причем 1/3 ее находится правее и 2/3 - левее срединной плоскости тела (позвоночника). В проекции на брюшную стенку ПЖ располагается на 5-10 см выше уровня пупка.
ПЖ традиционно разделяется на головку с крючковидным отростком, шейку (перешеек), тело и хвост. Однако на практике часто достаточно выделить лишь две части: головку вправо от верхней брыжеечной вены и тело влево. Головка ПЖ тесно прилежит к петле двенадцатиперстной кишки, а крючковидный отросток заходит за верхнюю брыжеечную вену и располагается вправо от восходящей (4-й) части двенадцатиперстной кишки. Такое его расположение определяет характерную сонографическую картину объемных образований в нем. К передней поверхности головки и тела прилежат привратник и антральный отдел желудка, наличие воздуха в котором, давая акустическую тень, часто затрудняет сонографическую визуализацию ПЖ, а при заполненном жидкостью желудке источником ошибок может оказаться его задняя стенка, дающая сигнал, похожий на сигнал главного панкреатического протока (ГПП). Общий желчный проток визуализируется в пределах головки ПЖ вблизи медиального края нисходящей части двенадцатиперстной кишки. Однако, учитывая близкое расположение кишки, выявить здесь нерасширенный проток удается далеко не всегда, и лучше начинать его визуализацию дистальнее, от ворот печени, постепенно двигаясь проксимально. Расположение хвоста ПЖ вариабельно: обычно он располагается дорсальнее остальных отделов и проходит до ворот селезенки и левой почки, располагаясь кпереди от левого надпочечника.
Основным ориентиром при поиске ПЖ являются сосудистые структуры (селезеночная, верхняя брыжеечная, воротная вены, верхняя брыжеечная артерия) и позвоночник. Селезеночная вена отмечает на сонограмме заднюю поверхность хвоста и тела ПЖ. Обычно она видна на большом протяжении от ворот селезенки, где она идет в вертикальном направлении вдоль хвоста до впадения в воротную вену. Далее она проходит в поперечном направлении позади тела и шейки ПЖ. При визуализации через межреберные промежутки слева селезеночная вена видна вдоль задневерхнего хвоста ПЖ. Сзади головка ПЖ почти примыкает к нижней полой вене. Влево и кпереди от нее определяется верхняя брыжеечная вена, параллельно которой определяется верхняя брыжеечная артерия. Шейка ПЖ располагается в основном несколько ниже, в более редких случаях - в месте слияния селезеночной и верхней брыжеечной вен. При слиянии этих сосудов образуется воротная вена, которая служит ориентиром при локализации общего желчного протока и может быть причиной ошибок, так как расширенный общий желчный проток в области головки ПЖ дает эхосигнал, схожий с сигналом воротной вены. Тесный контакт задней поверхности головки ПЖ с нижней полой веной важен в диагностическом плане: сдавление вены свидетельствует об объемном процессе в головке ПЖ. При исследовании ПЖ в поле зрения, как правило, попадают также близко расположенный к ней чревный ствол и его ответвления - печеночная и селезеночная артерии.
Последняя, проходя вдоль верхнего края ПЖ, делает несколько изгибов, в результате чего при поперечном сечении ультразвуковым лучом создается впечатление о ее прерывистости, часто картина представляется в виде отдельных гипоэхогенных участков в паренхиме ПЖ.
Следует отметить, что расположение как самой ПЖ, так и сосудистых ориентиров имеет множество различных вариантов, что в прошлом значительно затрудняло визуализацию ПЖ и оценку ее состояния. Благодаря введению в практику аппаратов, работающих в режиме "серой шкалы", и их усовершенствованию значение указанных ориентиров постоянно уменьшается, так как в большинстве случаев возможна непосредственная идентификация ткани ПЖ. Практика показывает, что визуализация ПЖ возможна практически у всех здоровых лиц. Расстояние от кожи передней брюшной стенки до передней поверхности ПЖ колеблется от 95 мм у тучных субъектов до 24 мм у худых.
Обычно для исследования всех отделов ПЖ, за исключением дистальной части хвоста, достаточно нескольких поперечных сечений в эпигастрии при задержке дыхания в фазе глубокого вдоха, поскольку железа лучше выявляется при сканировании через печень. Дистальная часть хвоста может быть выявлена при продольном сканировании со стороны спины. В случае затруднений, связанных с помехами от воздуха в желудке и двенадцатиперстной кишке, рекомендуется заполнение их водой. Подобная процедура также дает возможность отличить объемные образования в паренхиме железы от наложения поперечных срезов двенадцатиперстной или проксимальных отделов тощей кишки.
Размеры ПЖ очень вариабельны. Неудивительно, что различные авторы приводят несколько различающиеся значения нормы: переднезадний размер головки ПЖ составляет в норме 15-35 мм, тела - 15-29 мм, хвоста - 5-35 мм [1-4]. Считается также, что нормальный размер головки не должен превышать 2/3 ширины поясничного позвонка, выявляемой при УЗИ.
По нашим данным, полученным при обследовании большого количества здоровых лиц, размер головки составил 23,4±4,0 мм, тела - 19,2±2,2 мм, хвоста - 22,1±8,9 мм.
Все авторы согласны с тем, что важное диагностическое значение имеют не сами размеры, а форма ПЖ. В большинстве случаев размеры ПЖ постепенно уменьшаются от головки к хвосту. Реже встречается форма с толстыми головкой и хвостом и относительно тонким телом.
Ультразвуковая характеристика нормального ГПП во многом зависит от качества используемого оборудования. При использовании аппаратов ранних поколений справедливо считалось, что ГПП в норме не визуализируется. В дальнейшем изображение нормального протока получалось в виде тонкой полосы высокой интенсивности. При использовании современного оборудования стенки и просвет ГПП выявляются очень часто. Нормальный диаметр протока в области головки и тела ПЖ колеблется от 1 до 3 мм.
Ультразвуковое изображение паренхимы ПЖ в норме гомогенное, состоящее из мелких, плотно расположенных эхосигналов. В норме эхогенность паренхимы ПЖ соответствует эхогенности паренхимы печени или превышает ее иногда значительно, особенно у пожилых людей, что не является признаком патологии в том случае, если это повышение гомогенное. Выраженное равномерное снижение эхогенности паренхимы ПЖ может считаться нормальным лишь у детей. При оценке состояния паренхимы ПЖ следует помнить, что в случае диффузного заболевания печени сонографическая структура ее паренхимы изменяется и она не может служить критерием для сравнения с паренхимой ПЖ.
В заключение можно сформулировать наиболее важные критерии нормальной сонографической картины ПЖ:
- правильная, гармоничная общая форма;
- ровные контуры без отдельных выступов;
- толщина менее 35 мм;
- эхогенность паренхимы гомогенная, превышающая эхогенность паренхимы здоровой печени;
- ГПП с ровными стенками, диаметр его не более 3 мм (в норме может не визуализироваться);
- отсутствие сдавления окружающих вен.
Хронический панкреатит
Для хронического панкреатита (ХП) вне обострения характерны изменения эхоструктуры паренхимы, ГПП контуров и, в меньшей степени, размеров ПЖ.
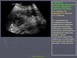
Основная особенность эхоструктуры ПЖ при ХП - гетерогенное повышение ее эхогенности. Область хронического воспалительного процесса, фиброза или кальцификаты в паренхиме представляются в виде отдельных участков повышенной эхогенности. В зависимости от размеров пораженных участков наблюдается микро- или макронодулярная сонографическая структура паренхимы, наиболее выраженная в случае кальцифицирующего панкреатита, но также наблюдающаяся при отсутствии макроскопической кальцификации. В этих случаях часто удается подтвердить наличие мелких кальцификатов при КТ. Некоторые кальцификаты, обычно крупные, дают акустическую тень. Часто, при выраженном повышении эхогенности всей паренхимы ПЖ, конкременты выявляются только по наличию акустических теней. Линейное расположение кальцификатов указывает на расположение их в ГПП. Нередко выявляется значительное расширение протока дистальнее расположения в нем конкрементов. Выявление крупных гипоэхогенных участков на фоне повышения эхогенности паренхимы указывает на наличие активного воспалительного процесса (обострения ХП).
Большие трудности представляет диагностика псевдотуморозного панкреатита, под которым понимается фокальное поражение какого-либо отдела ПЖ с его увеличением в размерах. При локализации процесса в головке говорить о псевдотуморозном панкреатите можно при увеличении ее размера до 4 см и более. Отличить указанные образования от опухолей при однократном УЗИ практически не представляется возможным.
Равномерное повышение эхогенности всей железы не рассматривается как патология, особенно у лиц старше 50 лет.
Приблизительно в 30% случаев ХП контур ПЖ представляется размытым, неровным или даже зазубренным, что, вероятно, является артефактом, вызванным гетерогенностью паренхимы и снижением четкости границы между ПЖ и перипанкреатической клетчаткой. Таким образом, границу между ПЖ и окружающей тканью при ХП нельзя точно определить отчасти вследствие того, что зазубренный контур может быть не краем собственно железы, а лишь границей наиболее периферических мелких участков фиброза. В других случаях контуры ПЖ могут быть ровными, без зазубрин, но с крупными гладкими выступами, "горбами", нарушающими в некоторой степени форму железы. При ХП вне обострения размеры железы нормальные или уменьшены, иногда значительно, так что вместо паренхимы может визуализироваться лишь ГПП, расширенный и с плотными стенками; увеличение же размера однозначно свидетельствует об обострении ХП или развитии объемного процесса. Такое увеличение может сопровождаться сдавлением верхней брыжеечной и, реже, нижней полой вены. Нередко отмечается тромбоз селезеночной вены.
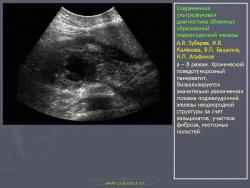
При обострении ХП сонографическая картина ПЖ значительно изменяется. На существующую неравномерную гиперэхогенную структуру накладываются области пониженной эхогенности, иногда полностью или частично маскирующие признаки ХП. Отмечается увеличение размеров ПЖ, чаще локальное - сегментарный отек. В случае наличия ограниченной гипоэхогенной зоны возникает необходимость исключить опухоль ПЖ. При выраженном локальном отеке, когда исчезает характерная для ХП эхоструктура, дифференциальный диагноз может быть невозможен при однократном исследовании - необходимо динамическое наблюдение, иногда длительное, или пункционная биопсия, так как даже эндоскопическая ретроградная холангиопанкреатография (ХРХПГ) или КТ часто не решают вопроса. Выявление ГПП в пределах зоны сегментарного отека свидетельствует в пользу воспалительного процесса. При отеке в области головки ПЖ возможно сдавление общего желчного протока, приводящее к расширению его на большом протяжении выше области обструкции, что всегда выявляется при УЗИ. Не меньшее значение при исследовании ПЖ имеет визуализация ГПП которая возможна практически у всех пациентов. Поперечное сечение ПЖ дает изображение сегмента ГПП в теле железы. Возможно выявление протока в головке при косом сканировании под углом 45°, но это удается далеко не всегда. При наличии патологии, т.е. расширения ГПП, выявить и измерить его гораздо легче. В далеко зашедших случаях панкреатита, при выраженной атрофии паренхимы, расширенный ГПП - единственная структура, которую можно выявить при УЗИ. Обычно расширенный ГПП при ХП имеет неровные контуры, с утолщением стенок, резкими изгибами вследствие фиброза окружающей ткани. Возможно расширение протока лишь на ограниченном участке, особенно при наличии в нем кальцификатов.
Сонография очень надежно выявляет расширенный главный ГПП, однако незначительное расширение или расширение на ограниченном участке либо на участке протока в области головки ПЖ может быть не замечено. Трудности могут возникнуть также в случае значительного расширения ГПП, который в этом случае напоминает при УЗИ картину псевдокисты. Обычно при более тщательном исследовании протока можно поставить правильный диагноз, но в некоторых случаях ЭРХПГ не избежать. Причиной резкого расширения ГПП может быть его обструкция опухолью, в особенности муцинсекретирующей карциномой. В случае выявления признаков ХП при УЗИ следует иметь в виду возможность наличия опухли со вторичным, "дистальным" панкреатитом. Можно кратко суммировать основные, наиболее значимые признаки ХП:
- уменьшенный размер либо локальное увеличение некоторых отделов ПЖ;
- гетерогенное повышение эхогенности ткани ПЖ;
- неровные, с зазубринами или выступами, контуры ПЖ;
- неравномерное расширение ГПП, уплотнение и деформация его стенок;
- расширение общего желчного протока;
- деформация верхней брыжеечной и нижней полой вен.
Следует отметить, что диагностика "классического", выраженного ХП очень надежна при УЗИ и применение КТ или ЭРХПГ не дает дополнительной информации. Необходимость в применении последних двух методов возникает в случаях невозможности визуализации каких-либо отделов ПЖ при УЗИ, при далеко зашедших объемных процессах, значительно изменяющих топографию в зоне ПЖ, определении объема оперативного вмешательства и т.п.
Имеются указания на то, что сонография недостаточно чувствительна при легких формах и на ранних стадиях ХП.
Скопления жидкости панкреатического происхождения и псевдокисты поджелудочной железы
Термином "псевдокиста" обозначается скопление жидкости с ложной стенкой, которая образуется вследствие воспалительной реакции окружающих ПЖ тканей. Формированию псевдокисты предшествует скопление жидкости панкреатического происхождения, которое обычно располагается в области ПЖ, реже - на значительном удалении от нее. Следует также отметить образование ретенционных псевдокист в результате выраженного расширения панкреатического протока дистальнее места обструкции.
Ультразвуковая диагностика псевдокист обычно не представляет значительных трудностей. Они определяются как овальные или округлые гипоэхогенные образования с четкими контурами. Минимальный размер кисты, которая может быть выявлена с помощью эхографии, составляет 0,6-0,8 см в головке и теле ПЖ и 1,0-1,5 см - в хвосте. Однако при размерах кисты 10 см и более возникают трудности в определении ее источника в связи с изменениями топографии близлежащих органов. При выявлении очагового образования, подозрительного на кисту, необходимо прежде всего обратить внимание на признаки его жидкостного характера: усиление контура дистальной стенки и наличие эффекта дистального усиления в тканях позади образования. Это важно в дифференциальной диагностике с опухолями, псевдотуморозным панкреатитом или сегментарным отеком ПЖ. Часто такая дифференциальная диагностика требует динамического наблюдения. Речь идет о ранних фазах формирования кисты на фоне ХП, когда она представляет собой полужидкое образовнаие. В таких случаях при динамическом наблюдении отмечается либо регресс образования, либо вследствие аутолитических процессов и осаждения взвеси из крови и гноя появление четких признаков жидкого содержимого с последующим формированием ложной капсулы. В основном кисты бывают однокамерными, реже в их полости выявляются тонкие нежные перегородки. В ряде случаев киста тела ПЖ может быть ошибочно принята за наполненный жидкостью желудок и наоборот. Для дифференциальной диагностики в этом случае необходимо заполнить желудок водой. При этом либо изменится конфигурация образования, либо можно будет четко визуализировать наполненный водой желудок рядом с кистой. При обнаружении кисты ПЖ важно выяснить состояние ГПП и, по возможности, проследить связь кисты с протоком, так как это важно для определения лечебной тактики.
Возможность динамического контроля за состоянием поджелудочной железы в процессе лечения
Нами обследовано 280 пациентов с ХП различной этиологии, из них у 162 (58%) при поступлении в стационар отмечались, на фоне признаков ХП, указанные выше сонографические признаки обострения заболевания. У остальных 118 (42%) обострение заболевания проявлялось лишь клинически, а также по данным лабораторных методов исследования, в то время как сонографически выявлялись лишь стабильные и не подверженные динамике признаки ХП (неровность контуров, гетерогенное повышение эхогенности ткани, наличие кальцификатов и др.). Следует отметить, что у больных второй группы клиника обострения была менее выраженной. Указанное обстоятельство ограничивало возможность сонографического контроля за состоянием ПЖ в процессе лечения.
Больные с сонографическими признаками обострения ХП получали терапию ферментными препаратами (панзинорм, креон) - 107 человек (66%) либо ферментными препаратами и ингибиторами протеаз или сандостатином - 55 человек (34%). У всех больных этой группы отмечена положительная сонографическая динамика состояния ПЖ в процессе лечения: возвращение размеров ПЖ к норме, повышение четкости контуров, исчезновение гипоэхогенных участков в ткани железы (локального отека), а в 4 случаях - исчезновение мелких псевдокист, выявлявшихся в головке ПЖ.
Следует особо отметить случаи крупных (более 4,0 см в диаметре) кист ПЖ, осложнивших течение ХП. Нами наблюдалось 18 больных с указанной патологией, 13 из которых было направлено на хирургическое лечение, а в 5 случаях на фоне терапии ингибиторами протеаз и сандостатином отмечено исчезновение кист. В данной группе больных сонография являлась решающим (и практически единственным) объективным средством контроля за эффективностью консервативной терапии.
Опухоли поджелудочной железы
По данным D.Lindsell [5], чувствительность УЗИ при выявлении опухолей ПЖ составила более 90%. F.Weill [4] приводит следующие величины чувствительности при диагностике рака ПЖ: УЗИ - 84%, КТ - 88%; сочетание УЗИ и КТ - 97%.
Наибольшее клиническое значение среди опухолей ПЖ имеет аденокарцинома. Гораздо реже встречаются цистаденомы и эндокринные опухоли. В структуре общей смертности от рака всех локализаций аденокарцинома ПЖ составляет 5,5% [6].
Из-за особенностей топографической анатомии ПЖ появление выраженной клинической симптоматики свидетельствует, как правило, о далеко зашедшем процессе. В связи с этим особую актуальность приобретает диагностика опухолей ПЖ на стадии минимальных клинических проявлений.
В большинстве (50-80%) случаев опухоль поражает головку ПЖ. Наиболее характерным признаком опухоли является локальное увеличение или выбухание контура какой-либо части железы. Маленькие опухоли достаточно легко визуализируются в головке, так как, во-первых, четкое изображение головки получить легче по сравнению с другими частями железы, а во-вторых, при расположении опухоли в головке обычно быстро развивается сдавление общего желчного протока с развитием соответствующей сонографической и клинической симптоматики. С другой стороны, опухоли небольших размеров в хвосте выявляются значительно реже. О возможном наличии опухоли свидетельствует также нарушение общей гармоничной формы ПЖ, увеличение размеров какого-либо ее отдела. Следует помнить о возможности инвазии всей ПЖ опухолью, имеющей мультицентричный рост. В этом случае наблюдается картина, схожая с диффузным отеком при остром панкреатите [4].
Контуры ПЖ при раке часто нечеткие, однако, в отличие от ХП, достаточно ровные, без зазубрин. В области опухоли могут выявляться выпуклости, иногда внедряющиеся в окружающую клетчатку в виде языков или псевдоподий.
В большинстве случаев опухоль ПЖ выявляется как гипоэхогенное образование, почти лишенное внутренних эхоструктур. Однако встречаются опухоли с диффузно разбросанными эхосигналами и с эхосигналами высокой интенсивности в центре при их отсутствии на периферии. Несмотря на то что граница между опухолью и остальной паренхимой железы нечеткая, ее всегда можно приблизительно провести за счет разности в эхогенности нормальной ткани ПЖ и опухолевого очага. Хотя гипоэхогенная структура ткани опухоли, особенно при отсутствии мелких участков повышенной плотности в ней, напоминает таковую при кистах, отсутствие эффекта дистального усиления позволяет исключить жидкостный характер образования. Для кист, кроме того, характерна гораздо более ровная и четкая граница. В большинстве случаев опухолей в головке ПЖ визуализируется расширенный ГПП, причем в отличие от ХП стенки его ровные и неуплотненные. В случае, если диаметр расширенного ГПП составляет половину толщины железы или более, вероятность его обструкции опухолью очень велика. Наряду с ГПП дилатации могут подвергаться общий желчный проток и внутрипеченочные желчные протоки. Расширение ГПП и общего желчного протока наблюдается также и при препятствии, обтурирующем просвет общего желчного протока в области фатерова соска. Как было указано выше, визуализация ГПП в пределах гипоэхогенной зоны свидетельствует в пользу локального отека и против опухоли. Не следует забывать о возможности выявления типичных признаков ХП, а также псевдокист, расположенных дистальнее места опухолевой обструкции и являющихся следствием этой обструкции. Сдавление нижней полой и верхней брыжеечной вен и их дорсальное смещение характерно как для ХП, так и для опухоли, но в последнем случае оно более выражено. Для локализации опухоли в крючковидном отростке характерно смещение верхней брыжеечной вены, а иногда и головки ПЖ, в вентральном направлении. Обнаружение внутрипеченочных метастазов, увеличения чревных, перипортальных и забрюшинных лимфоузлов свидетельствует в пользу рака ПЖ [7].
Следует упомянуть группу относительно редко встречающихся кистоподобных опухолей: цистаденом и цистаденокарцином. Опухоли, состоящие из множества очень мелких кист (микроцистные аденомы), сонографически выглядят как плотное образование. В случае, если составляющие опухоль кисты крупные (цистаденома), она имеет признаки, характерные для жидкостного образования, и трудно отличима от псевдокисты. Диагностика облегчается в случае наличия полипоидных образований или сети внутри очагового образования. Практически различение этих опухолей важно в связи с тем, что микроцистная аденома носит доброкачественный характер, в то время как цистаденома склонна к малигнизации [8].
Литература
1. Демидов В.Н., Сидорова Г.П. Клин. мед. 1976; 8: 90-5.
2. Niderau C. Radiology 1983; 149: 537-40.
3. Weill FS et al. Atlas clinique de radiographie ultrasonore. Paris, 1973.
4. Weill FS. Ultrasound diagnosis of digestive diseases (3 rd. ed.) Berlin: Heidelberg, 1990.
5. Lindsell DRM. Lancet 1999; 335: 390.
6. Fieisher AC, James JrAE. Real-Time sonography. Norwalk, 1984; 164-6.
7. Howard JM. Surgical diseases of the pancreas. Philadelphia, 1987; 77.
8. Pancreatic disease. CD.Johnsom, CW.Imre (eds.) London, 1991; 29.
Диагностика опухолей поджелудочной железы
http://www.wjgnet.com/1949-8470/full/v2/i4/122.htm
Динамическое УЗИ опухолей поджелудочной железы
http://www.ajronline.org/doi/full/10.2214/ajr.178.5.1781133