Пол пациента:
Тип патологии:
Область исследования:
Методы исследования:
В течение 3-х месяцев отсутствие чувствительности и движений в нижних конечностях, тазовые нарушения. Осмотрена неврологом, назначено КТ.
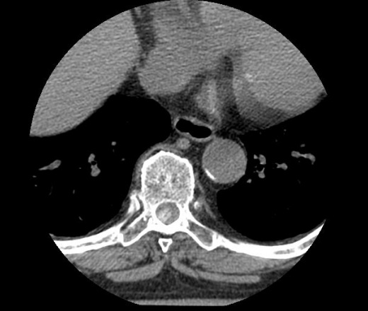
На уровне Th7-Th8 в спинном мозге определяется образование в диаметре 13мм с четкими контурами, плотностью 250HU
- https://radiomed.ru/sites/default/files/styles/case_slider_image/public/user/22137/img-0002-00188_1.jpg?itok=Xa81MLy5
- https://radiomed.ru/sites/default/files/styles/case_slider_image/public/user/22137/img-0002-00189_1.jpg?itok=hUfPlAxy
- https://radiomed.ru/sites/default/files/styles/case_slider_image/public/user/22137/img-0002-00190_1.jpg?itok=S0QF700J
- https://radiomed.ru/sites/default/files/styles/case_slider_image/public/user/22137/img-0002-00191_1.jpg?itok=sxq4JiPj
- https://radiomed.ru/sites/default/files/styles/case_slider_image/public/user/22137/img-0002-00192_1.jpg?itok=Cb-B2E9J
- https://radiomed.ru/sites/default/files/styles/case_slider_image/public/user/22137/img-0002-00193_1.jpg?itok=MwSXag3K
- https://radiomed.ru/sites/default/files/styles/case_slider_image/public/user/22137/img-0002-00194_1.jpg?itok=CC56VJQ8
- https://radiomed.ru/sites/default/files/styles/case_slider_image/public/user/22137/img-0002-00195_1.jpg?itok=1oCFJlwY
- https://radiomed.ru/sites/default/files/styles/case_slider_image/public/user/22137/img-0002-00196_1.jpg?itok=ZAVVtxet
- https://radiomed.ru/sites/default/files/styles/case_slider_image/public/user/22137/img-0002-00197_1.jpg?itok=KMmCRu-0
- https://radiomed.ru/sites/default/files/styles/case_slider_image/public/user/22137/img-0002-00198_1.jpg?itok=FCtlsFCZ
- https://radiomed.ru/sites/default/files/styles/case_slider_image/public/user/22137/img-0002-00199_1.jpg?itok=KJB_hCeZ
- https://radiomed.ru/sites/default/files/styles/case_slider_image/public/user/22137/img-0002-00200_1.jpg?itok=wJswhBmP
- https://radiomed.ru/sites/default/files/styles/case_slider_image/public/user/22137/img-0002-00201_1.jpg?itok=TWtPCbAL
- https://radiomed.ru/sites/default/files/styles/case_slider_image/public/user/22137/img-0002-00202_1.jpg?itok=3--SRA4Q
- https://radiomed.ru/sites/default/files/styles/case_slider_image/public/user/22137/img-0002-00203_1.jpg?itok=yeVIf9bZ
- https://radiomed.ru/sites/default/files/styles/case_slider_image/public/user/22137/img-0002-00204_1.jpg?itok=LaFhu7xx
- https://radiomed.ru/sites/default/files/styles/case_slider_image/public/user/22137/img-0002-00205_1.jpg?itok=oNz1itX5
- https://radiomed.ru/sites/default/files/styles/case_slider_image/public/user/22137/img-0002-00206_1.jpg?itok=zHOSY4W-
- https://radiomed.ru/sites/default/files/styles/case_slider_image/public/user/22137/img-0002-00207_1.jpg?itok=GUBMtk0l
- https://radiomed.ru/sites/default/files/styles/case_slider_image/public/user/22137/img-0002-00208_1.jpg?itok=2C0akJUA
- https://radiomed.ru/sites/default/files/styles/case_slider_image/public/user/22137/img-0002-00209_1.jpg?itok=6i7KA2MN
- https://radiomed.ru/sites/default/files/styles/case_slider_image/public/user/22137/img-0002-00210_1.jpg?itok=7mE9YJ4I
- https://radiomed.ru/sites/default/files/styles/case_slider_image/public/user/22137/img-0002-00211_0.jpg?itok=Q_e09rZh
- https://radiomed.ru/sites/default/files/styles/case_slider_image/public/user/22137/img-0002-00212_0.jpg?itok=JBBFdQ2c
- https://radiomed.ru/sites/default/files/styles/case_slider_image/public/user/22137/img-0002-00213_0.jpg?itok=yKCLPGU7
- https://radiomed.ru/sites/default/files/styles/case_slider_image/public/user/22137/img-0002-00214_0.jpg?itok=oCzcOZnB
- https://radiomed.ru/sites/default/files/styles/case_slider_image/public/user/22137/img-0002-00215_0.jpg?itok=qojMFEpp
- https://radiomed.ru/sites/default/files/styles/case_slider_image/public/user/22137/img-0002-00216_0.jpg?itok=Ku2RbRYu
- https://radiomed.ru/sites/default/files/styles/case_slider_image/public/user/22137/img-0002-00217_0.jpg?itok=KfenJW6e
- https://radiomed.ru/sites/default/files/styles/case_slider_image/public/user/22137/img-0002-00218_0.jpg?itok=ySV38kMB
- https://radiomed.ru/sites/default/files/styles/case_slider_image/public/user/22137/img-0002-00219_0.jpg?itok=B46eP-JD
- https://radiomed.ru/sites/default/files/styles/case_slider_image/public/user/22137/img-0002-00220_0.jpg?itok=Fa1C5v9F
- https://radiomed.ru/sites/default/files/styles/case_slider_image/public/user/22137/img-0002-00221_0.jpg?itok=ZvgmOzfe
- https://radiomed.ru/sites/default/files/styles/case_slider_image/public/user/22137/img-0002-00222_0.jpg?itok=huFV0dW6
- https://radiomed.ru/sites/default/files/styles/case_slider_image/public/user/22137/img-0002-00223_0.jpg?itok=krdleGoJ
- https://radiomed.ru/sites/default/files/styles/case_slider_image/public/user/22137/img-0002-00224_0.jpg?itok=ClwuDPu-
- https://radiomed.ru/sites/default/files/styles/case_slider_image/public/user/22137/img-0002-00225.jpg?itok=wteAxxnN
- https://radiomed.ru/sites/default/files/styles/case_slider_image/public/user/22137/img-0002-00226.jpg?itok=OLN9SMiW
- https://radiomed.ru/sites/default/files/styles/case_slider_image/public/user/22137/img-0002-00227.jpg?itok=8cxObPnO
- https://radiomed.ru/sites/default/files/styles/case_slider_image/public/user/22137/img-0002-00228.jpg?itok=0K3L3KnQ
- https://radiomed.ru/sites/default/files/styles/case_slider_image/public/user/22137/img-0002-00229.jpg?itok=xYGVEfOw
- https://radiomed.ru/sites/default/files/styles/case_slider_image/public/user/22137/img-0002-00230.jpg?itok=kL2aZNAY
- https://radiomed.ru/sites/default/files/styles/case_slider_image/public/user/22137/img-0002-00231.jpg?itok=po9Vo0vP
- https://radiomed.ru/sites/default/files/styles/case_slider_image/public/user/22137/img-0002-00232.jpg?itok=omfBQNp0
- https://radiomed.ru/sites/default/files/styles/case_slider_image/public/user/22137/img-0002-00233.jpg?itok=Ak49lKyb
- https://radiomed.ru/sites/default/files/styles/case_slider_image/public/user/22137/img-0002-00234.jpg?itok=JLXoce7C
- https://radiomed.ru/sites/default/files/styles/case_slider_image/public/user/22137/img-0002-00235.jpg?itok=uN0-JHKg
- https://radiomed.ru/sites/default/files/styles/case_slider_image/public/user/22137/img-0002-00236.jpg?itok=LTX4OZBC
- https://radiomed.ru/sites/default/files/styles/case_slider_image/public/user/22137/img-0002-00237.jpg?itok=cqNmtSlO
- https://radiomed.ru/sites/default/files/styles/case_slider_image/public/user/22137/img-0002-00238.jpg?itok=69YmgOu5
- https://radiomed.ru/sites/default/files/styles/case_slider_image/public/user/22137/img-0002-00239.jpg?itok=ZQef3H6b
- https://radiomed.ru/sites/default/files/styles/case_slider_image/public/user/22137/img-0002-00240.jpg?itok=_k9HQVvq
- https://radiomed.ru/sites/default/files/styles/case_slider_image/public/user/22137/img-0002-00241.jpg?itok=ddy9nWeG
- https://radiomed.ru/sites/default/files/styles/case_slider_image/public/user/22137/img-0002-00242.jpg?itok=m3iMbpsI
- https://radiomed.ru/sites/default/files/styles/case_slider_image/public/user/22137/img-0002-00243.jpg?itok=hlP_JQ81
- https://radiomed.ru/sites/default/files/styles/case_slider_image/public/user/22137/img-0002-00244.jpg?itok=ofSqQ346
- https://radiomed.ru/sites/default/files/styles/case_slider_image/public/user/22137/img-0002-00245.jpg?itok=b1P528Y6
- https://radiomed.ru/sites/default/files/styles/case_slider_image/public/user/22137/img-0002-00246.jpg?itok=VQm6V5Zj
- https://radiomed.ru/sites/default/files/styles/case_slider_image/public/user/22137/img-0002-00247.jpg?itok=50iAtBSo
- https://radiomed.ru/sites/default/files/styles/case_slider_image/public/user/22137/img-0002-00248.jpg?itok=TzMHwzAK
- https://radiomed.ru/sites/default/files/styles/case_slider_image/public/user/22137/img-0002-00249.jpg?itok=VmW75Gm3
- https://radiomed.ru/sites/default/files/styles/case_slider_image/public/user/22137/img-0002-00250.jpg?itok=zufbKKSq
- https://radiomed.ru/sites/default/files/styles/case_slider_image/public/user/22137/img-0002-00251.jpg?itok=d4aYuBjo
- https://radiomed.ru/sites/default/files/styles/case_slider_image/public/user/22137/img-0002-00252.jpg?itok=RlPANv_v
- https://radiomed.ru/sites/default/files/styles/case_slider_image/public/user/22137/img-0002-00253.jpg?itok=0ZTpXFbJ
- https://radiomed.ru/sites/default/files/styles/case_slider_image/public/user/22137/img-0002-00254.jpg?itok=Se942I-M
- https://radiomed.ru/sites/default/files/styles/case_slider_image/public/user/22137/img-0002-00255.jpg?itok=tDOPxxr8
- https://radiomed.ru/sites/default/files/styles/case_slider_image/public/user/22137/img-0002-00256.jpg?itok=ghzboPhy
- https://radiomed.ru/sites/default/files/styles/case_slider_image/public/user/22137/img-0002-00257.jpg?itok=zbUpC8QQ
- https://radiomed.ru/sites/default/files/styles/case_slider_image/public/user/22137/img-0002-00258.jpg?itok=FdzwYUU1
- https://radiomed.ru/sites/default/files/styles/case_slider_image/public/user/22137/img-0002-00259.jpg?itok=auRpIg5F
- https://radiomed.ru/sites/default/files/styles/case_slider_image/public/user/22137/img-0002-00260.jpg?itok=GrdxKLu_
- https://radiomed.ru/sites/default/files/styles/case_slider_image/public/user/22137/img-0002-00261.jpg?itok=ivKvUc19
- https://radiomed.ru/sites/default/files/styles/case_slider_image/public/user/22137/img-0002-00262.jpg?itok=7chx8DNs
- https://radiomed.ru/sites/default/files/styles/case_slider_image/public/user/22137/img-0002-00263.jpg?itok=3ENy1_FP
- https://radiomed.ru/sites/default/files/styles/case_slider_image/public/user/22137/img-0002-00264.jpg?itok=n0YfBD0O
- https://radiomed.ru/sites/default/files/styles/case_slider_image/public/user/22137/img-0002-00265.jpg?itok=0d2PxHvF
- https://radiomed.ru/sites/default/files/styles/case_slider_image/public/user/22137/img-0002-00266.jpg?itok=auufPRxg
- https://radiomed.ru/sites/default/files/styles/case_slider_image/public/user/22137/img-0002-00267.jpg?itok=9VXT3mZs
- https://radiomed.ru/sites/default/files/styles/case_slider_image/public/user/22137/img-0002-00268.jpg?itok=oaVqJwTo
- https://radiomed.ru/sites/default/files/styles/case_slider_image/public/user/22137/img-0002-00269.jpg?itok=BVpwlQUn
- https://radiomed.ru/sites/default/files/styles/case_slider_image/public/user/22137/img-0002-00270.jpg?itok=p39tzRvn
- https://radiomed.ru/sites/default/files/styles/case_slider_image/public/user/22137/img-0002-00271.jpg?itok=5pOZXZNx
- https://radiomed.ru/sites/default/files/styles/case_slider_image/public/user/22137/img-0002-00272.jpg?itok=E8HE7LM1
- https://radiomed.ru/sites/default/files/styles/case_slider_image/public/user/22137/img-0002-00273.jpg?itok=m0LNfAr3
- https://radiomed.ru/sites/default/files/styles/case_slider_image/public/user/22137/img-0002-00274.jpg?itok=sEDW8_pj
- https://radiomed.ru/sites/default/files/styles/case_slider_image/public/user/22137/img-0002-00275.jpg?itok=J7kAXyIy
- https://radiomed.ru/sites/default/files/styles/case_slider_image/public/user/22137/img-0002-00276.jpg?itok=1-tM8tkn
- https://radiomed.ru/sites/default/files/styles/case_slider_image/public/user/22137/img-0002-00277.jpg?itok=-7mpKfv-
- https://radiomed.ru/sites/default/files/styles/case_slider_image/public/user/22137/img-0002-00278.jpg?itok=TKpM0nZb
- https://radiomed.ru/sites/default/files/styles/case_slider_image/public/user/22137/img-0002-00279.jpg?itok=AdsTHmDd
- https://radiomed.ru/sites/default/files/styles/case_slider_image/public/user/22137/img-0002-00280.jpg?itok=SrGAb_iu
- https://radiomed.ru/sites/default/files/styles/case_slider_image/public/user/22137/img-0002-00281.jpg?itok=oEiU5U-L
- https://radiomed.ru/sites/default/files/styles/case_slider_image/public/user/22137/img-0002-00282.jpg?itok=d_hFc13f
- https://radiomed.ru/sites/default/files/styles/case_slider_image/public/user/22137/img-0002-00283.jpg?itok=4lNohXV2
- https://radiomed.ru/sites/default/files/styles/case_slider_image/public/user/22137/img-0002-00284.jpg?itok=sMKazzUS
- https://radiomed.ru/sites/default/files/styles/case_slider_image/public/user/22137/img-0002-00285.jpg?itok=Lbmodyoz
- https://radiomed.ru/sites/default/files/styles/case_slider_image/public/user/22137/img-0002-00286.jpg?itok=2I70q2UZ
- https://radiomed.ru/sites/default/files/styles/case_slider_image/public/user/22137/img-0002-00287.jpg?itok=ppswifwi
- https://radiomed.ru/sites/default/files/styles/case_slider_image/public/user/22137/img-0002-00288.jpg?itok=-Tm5t8OI
- https://radiomed.ru/sites/default/files/styles/case_slider_image/public/user/22137/img-0002-00289.jpg?itok=9xE66tCL
- https://radiomed.ru/sites/default/files/styles/case_slider_image/public/user/22137/img-0002-00290.jpg?itok=swl7qZee
- https://radiomed.ru/sites/default/files/styles/case_slider_image/public/user/22137/img-0002-00291.jpg?itok=bhrOjB5E
- https://radiomed.ru/sites/default/files/styles/case_slider_image/public/user/22137/img-0002-00292.jpg?itok=3EXSp0Vt
- https://radiomed.ru/sites/default/files/styles/case_slider_image/public/user/22137/img-0002-00293.jpg?itok=D4MkCeV7
- https://radiomed.ru/sites/default/files/styles/case_slider_image/public/user/22137/img-0002-00294.jpg?itok=_tN0EHhG
- https://radiomed.ru/sites/default/files/styles/case_slider_image/public/user/22137/img-0002-00295.jpg?itok=WZCXjWGW
- https://radiomed.ru/sites/default/files/styles/case_slider_image/public/user/22137/img-0002-00296.jpg?itok=zhtlfJrt
- https://radiomed.ru/sites/default/files/styles/case_slider_image/public/user/22137/img-0002-00297.jpg?itok=pdcLQqNE
- https://radiomed.ru/sites/default/files/styles/case_slider_image/public/user/22137/img-0002-00298.jpg?itok=37__MdHJ
- https://radiomed.ru/sites/default/files/styles/case_slider_image/public/user/22137/img-0002-00299.jpg?itok=tcLoHkCW
КТ грудного отдела позвоночника ID:64474
Склоняюськ тому что это метастаз. Прошу вашего мнения коллеги.
Цель публикации:
На менингиому не похоже?
Менигеома вроде как должна расти экстрамедуллярно и сдавливать спинной мозг.
Тапками не кидаться-я не КТ-шник.Просто спросила
Зато внимание привлекла к теме
На что-то сосудистое не похоже?
Вообще не понимаю наших КТ-шных страданий. Патологию выявили? Выявили. Вот и молодцы.
Андрей Юрьевич
Рассмотрите вариант обызвествленной туберкуломы спинного мозга. Очень похоже.