Пол пациента: Женский пол Тип патологии: Другое Область исследования: Грудная клетка и верхние дыхательные пути Методы исследования: Rg Пожилая пациентка 1928г.р. Архив с 2014г. Кто что бы заключил в данном случае? ID:64801 Цель публикации: Консультация Sun, 29/05/2016 - 19:17 #1 Dix Offline Last seen: 3 years 11 months ago Joined: 26.12.2013 - 17:53 Posts: 1030 Архив Приложения: Sun, 29/05/2016 - 19:20 #2 Миргалина Offline Last seen: 1 month 1 week ago Joined: 06.08.2015 - 20:04 Posts: 2882 Ну чё задне-нижние -то отделы на боковой "срезаны"? Если Вас смущает правый корень, то это-лёгочная артерия. Sun, 29/05/2016 - 19:20 #3 NIL Offline Last seen: 2 months 1 day ago Joined: 25.11.2013 - 20:50 Posts: 18208 Шаровидная тень в средней доле справа. Динамики нет >> доброкачественный процесс. С учётом возраста, доживет без нашей помощи. Оставила бы в покое. "Слушай всех, прислушивайся к немногим, решай сам".© Sun, 29/05/2016 - 19:21 #4 Dix Offline Last seen: 3 years 11 months ago Joined: 26.12.2013 - 17:53 Posts: 1030 ? Приложения: Sun, 29/05/2016 - 19:22 #5 NIL Offline Last seen: 2 months 1 day ago Joined: 25.11.2013 - 20:50 Posts: 18208 Миргалина wrote: Если Вас смущает правый корень, то это-лёгочная артерия. О легочной думала, но в боковой проекции конфигурация не меняется. Остается шар... "Слушай всех, прислушивайся к немногим, решай сам".© Sun, 29/05/2016 - 19:23 #6 Миргалина Offline Last seen: 1 month 1 week ago Joined: 06.08.2015 - 20:04 Posts: 2882 А, ну вот появился и "несрезанный". Как говорит Nil, доживёт бабушка без дообследования. Sun, 29/05/2016 - 19:23 #7 Dix Offline Last seen: 3 years 11 months ago Joined: 26.12.2013 - 17:53 Posts: 1030 Миргалина, тоже это не понравилось как лаборант выполнила, но вызывать переснимать не стал. Sun, 29/05/2016 - 19:25 #8 Миргалина Offline Last seen: 1 month 1 week ago Joined: 06.08.2015 - 20:04 Posts: 2882 NIL wrote: Миргалина wrote: Если Вас смущает правый корень, то это-лёгочная артерия. О легочной думала, но в боковой проекции конфигурация не меняется. Остается шар... Лёгочная. На мой взгляд. Sun, 29/05/2016 - 19:29 #9 Миргалина Offline Last seen: 1 month 1 week ago Joined: 06.08.2015 - 20:04 Posts: 2882 NIL, смотрите, -левая такая же. Ну как аргумент. Sun, 29/05/2016 - 19:43 #10 NIL Offline Last seen: 2 months 1 day ago Joined: 25.11.2013 - 20:50 Posts: 18208 Миргалина wrote: NIL, смотрите, -левая такая же. Ну как аргумент. Согласана. Внимание обратила, но боковой впечатлилась) "Слушай всех, прислушивайся к немногим, решай сам".© Sun, 29/05/2016 - 21:55 #11 Вася Разумная Offline Last seen: 4 months 1 week ago Joined: 06.12.2012 - 22:09 Posts: 571 А что с левым куполом диафрагмы? Это что - обызвествление? Или как это называется? Sun, 29/05/2016 - 22:00 #12 NIL Offline Last seen: 2 months 1 day ago Joined: 25.11.2013 - 20:50 Posts: 18208 Вася Разумная wrote: А что с левым куполом диафрагмы? Это что - обызвествление? Или как это называется? Релаксая+издержки качества снимка. "Слушай всех, прислушивайся к немногим, решай сам".© Sun, 29/05/2016 - 22:16 #13 Игрок Offline Last seen: 9 years 2 months ago Joined: 15.10.2015 - 17:29 Posts: 2321 NIL wrote: Шаровидная тень в средней доле справа. Динамики нет >> доброкачественный процесс... Аневризмальное расширение ветви лёгочной артерии - спецом, для Натали!;) Страсть - сила любви! Nobody Sun, 29/05/2016 - 22:16 #14 Игрок Offline Last seen: 9 years 2 months ago Joined: 15.10.2015 - 17:29 Posts: 2321 Гипертензию лёгочную бы заключил. И адентию припомнил.;) На боковом бабушка выпала из кадра!.. Надеюсь, на ногах всё ж устояла.)) Страсть - сила любви! Nobody
Архив
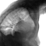
Ну чё задне-нижние -то отделы на боковой "срезаны"? Если Вас смущает правый корень, то это-лёгочная артерия.
Шаровидная тень в средней доле справа. Динамики нет >> доброкачественный процесс. С учётом возраста, доживет без нашей помощи. Оставила бы в покое.
"Слушай всех, прислушивайся к немногим, решай сам".©
?
"Слушай всех, прислушивайся к немногим, решай сам".©
А, ну вот появился и "несрезанный". Как говорит Nil, доживёт бабушка без дообследования.
Миргалина, тоже это не понравилось как лаборант выполнила, но вызывать переснимать не стал.
Лёгочная. На мой взгляд.
NIL, смотрите, -левая такая же. Ну как аргумент.
"Слушай всех, прислушивайся к немногим, решай сам".©
А что с левым куполом диафрагмы? Это что - обызвествление? Или как это называется?
"Слушай всех, прислушивайся к немногим, решай сам".©
Страсть - сила любви!
Nobody
Гипертензию лёгочную бы заключил. И адентию припомнил.;) На боковом бабушка выпала из кадра!.. Надеюсь, на ногах всё ж устояла.))
Страсть - сила любви!
Nobody