You are here

Пациент взят на контроль после флюорографии 1.

Пол пациента: 
Тип патологии: 
Методы исследования: 

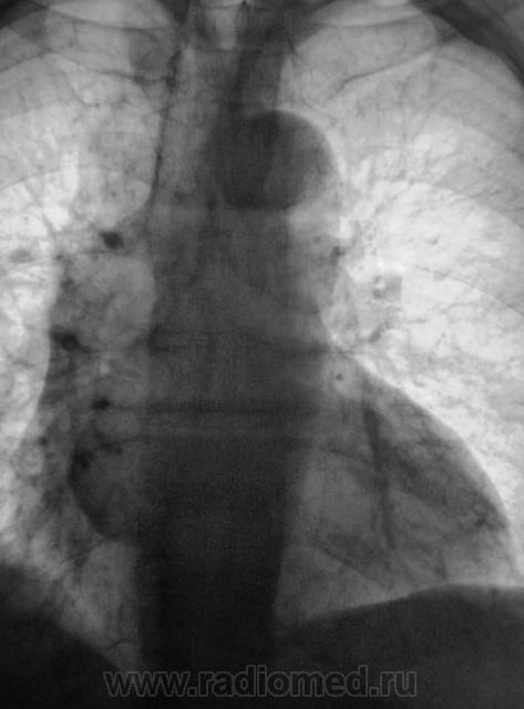
Пациент взят на контроль после флюорографии.

Произведено стандартное дообследование.

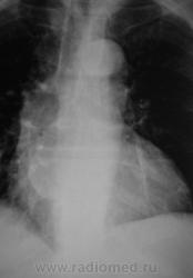
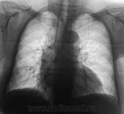
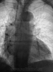
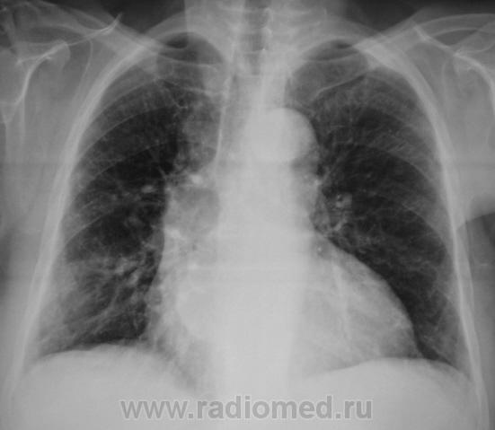
Рентгенограмма в прямой стандартной проекции.

1 срез.

2 срез.

  • https://radiomed.ru/sites/default/files/styles/case_slider_image/public/user/12/2..p8170016.jpg?itok=6-D2CrGC
  • https://radiomed.ru/sites/default/files/styles/case_slider_image/public/user/12/3..p8170017.jpg?itok=-G5ICERb
  • https://radiomed.ru/sites/default/files/styles/case_slider_image/public/user/12/4..p8170018a.jpg?itok=_VMSJeYN
  • https://radiomed.ru/sites/default/files/styles/case_slider_image/public/user/12/6..p8170019.jpg?itok=aTqLgRlz
  • https://radiomed.ru/sites/default/files/styles/case_slider_image/public/user/12/7..p8170022.jpg?itok=mfXsN6j-
  • https://radiomed.ru/sites/default/files/styles/case_slider_image/public/user/12/8..p8170020a.jpg?itok=G52XXtbO
  • https://radiomed.ru/sites/default/files/styles/case_slider_image/public/user/12/9..p8170021.jpg?itok=peBE2Gsc
  • https://radiomed.ru/sites/default/files/styles/case_slider_image/public/user/12/1..p8170023.jpg?itok=-LzauOtP
  • https://radiomed.ru/sites/default/files/styles/case_slider_image/public/user/12/2..p8170023a.jpg?itok=r9wOkedx
  • https://radiomed.ru/sites/default/files/styles/case_slider_image/public/user/12/3..p8170024.jpg?itok=p9XFRggC
  • https://radiomed.ru/sites/default/files/styles/case_slider_image/public/user/12/4..p8170024a.jpg?itok=IOxASr-w
  • https://radiomed.ru/sites/default/files/styles/case_slider_image/public/user/12/5..p8170026.jpg?itok=NaxOhkTf
  • https://radiomed.ru/sites/default/files/styles/case_slider_image/public/user/12/6..p8170026a.jpg?itok=Q1EQkZ4g
  • https://radiomed.ru/sites/default/files/styles/case_slider_image/public/user/12/7..p8170025.jpg?itok=95lTTkLS
  • https://radiomed.ru/sites/default/files/styles/case_slider_image/public/user/12/8..p8170025a.jpg?itok=zOb2XXs5
ID:5532
Vikkur's picture
Offline
Last seen: 4 years 9 months ago
Joined: 24.09.2009 - 14:34
Posts: 1749

похоже в просет "что-то" растет, наверное показана бронхоскопия? А дополнительная тень не ушко правого предсердия?

Виктор.

mila's picture
Offline
Last seen: 5 years 4 months ago
Joined: 26.02.2010 - 02:56
Posts: 277

Хорошие томограмы, жаль нет бочка посмотреть вентиляцию нижней доли, а так конечно в просвете бронха дополнительная тень, предсердие бы оттеснило весь бронх. Надо рекомендовать бронхоскопию.

Vikkur's picture
Offline
Last seen: 4 years 9 months ago
Joined: 24.09.2009 - 14:34
Posts: 1749

mila wrote:

 предсердие бы оттеснило весь бронх.

 ясно, спасибо)

Виктор.