Пол пациента:
Тип патологии:
Область исследования:
Методы исследования:
- https://radiomed.ru/sites/default/files/styles/case_slider_image/public/user/12/1.sl272919.jpg?itok=RP5sfb6Q
- https://radiomed.ru/sites/default/files/styles/case_slider_image/public/user/12/2.sl272919a.jpg?itok=yKQy7eg1
- https://radiomed.ru/sites/default/files/styles/case_slider_image/public/user/12/3.sl272920a.jpg?itok=NLi7o4XD
- https://radiomed.ru/sites/default/files/styles/case_slider_image/public/user/12/4.sl272920ab.jpg?itok=DFrKS7Gs
- https://radiomed.ru/sites/default/files/styles/case_slider_image/public/user/12/5.sl272920.jpg?itok=eWETBdH8
- https://radiomed.ru/sites/default/files/styles/case_slider_image/public/user/12/6.sl272920abl.jpg?itok=qdNaj18q
ID:5682
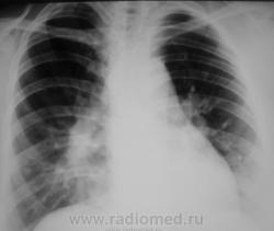
В первую очередь подумал-бы о раке.
А. вот эта "Золушка", помеченная желтой стрелкой, вообще, повергает в уныние...
может быть Валентин Львович?
Прийди к Себе
Может и метастаз. Если сделать томограммы, то может оказаться, что "Золушка" не одна, а много...
что рулить всей этой ситуацией приходится не мне, так как приезжаю только к снимкам для описания. Но карточку всю прочитал, подозрения никто не высказывал.
Посоветую сделать томограммы.
Прийди к Себе
Конечно, все может быть, но "саркоидоз", в данном случае, меня как-то не возбуждает...
скорее соглашусь с Валентином Львовичем а данном случае , чем нет. Если есть возможность отправьте на КТ
телу- мера, душе-Вера
Очень желательно КТ. Саркоидоз на КТ "разруливается" очень хорошо (легочно-медиастинальная или легочные формы)! Только обязательно пусть сделают КТ с тонким срезом (при саркоидозе весьма характерные очажки!).
Из-за характерных очажков однозначно соглашусь с Валентин Львовичем- саркоидоз тут не возбуждает.
Согласна с Валентином Львовичем.У меня тоже полгода назад сотрудница пришла с увеличенными лимфоузлами корня, сразу же на дообследование направила-оказался саркоидоз, 1 стадия.А здесь округлое образование справа, конечно, подозрительно очень.
Всё приму к сведению.
Прийди к Себе
И неужели ещё ни разу не выполняли КТ???
За саркоидоз (лёгочно-медиастинальную форму) - очаговые тени в паренхиме имеются.
--------------
"Просто, по видимости, не видеть логики в очевидных вещах - это тоже одно из свойств некоторых умов, наряду с грустными думами о свойствах ума других." © Vega 08/10/2011
(-1) При саркоидозе изменения в паренхиме очень вариативны - от единичных чётких очажков до инфильтративных конгломератов!
--------------
"Просто, по видимости, не видеть логики в очевидных вещах - это тоже одно из свойств некоторых умов, наряду с грустными думами о свойствах ума других." © Vega 08/10/2011
А зачем обязательно КТ? Не во всех ЛПУ КТ есть.
Обычная линейная, в типичных срезах даст необходимую информацию.
Не во всех ЛПУ есть томо-приставки (выдающие качественные снимки)...
PS. - Мы всё бежим за поездом прогресса, теряя по пути багаж...
--------------
"Просто, по видимости, не видеть логики в очевидных вещах - это тоже одно из свойств некоторых умов, наряду с грустными думами о свойствах ума других." © Vega 08/10/2011
Уважаемый коллега!
Програсс тут не причем, тут важно наличие "бабла" в ЛПУ, чтобы купить + наличие подготовленного специалиста + наличие соответствующего помещения, на которое есть разрешение ++++.
А линейная томография, там где стоит аппарат на 3 рабочих места, есть у каждого, и тут всего один + (плюс) - наличие желания у сотрудников.
Если бы Вы видели наши линейные томограммы (на РУМ-20) и КТ-сканы (распечатку) - однозначно бы поняли предыдущий коммент...
--------------
"Просто, по видимости, не видеть логики в очевидных вещах - это тоже одно из свойств некоторых умов, наряду с грустными думами о свойствах ума других." © Vega 08/10/2011
Обычно по периферии конгломератов если они образуются видны мелкие очажки, что очень хорошо видно на тонкосрезоваой КТ. А вот если сделвать с толстысм срезом (например по 5-10мм), то и конгломераты будут смотрется как обычне инфильтраты. Поэтому я и говорил про тонкосрезовое КТ (заменяет HRCT).
Конечно саркоидоз может выглядеть по разному, но ретикулярный паттерн (встречается в 80% случаев, с признаками нарушения архитектоники, в отличии например от ретикулярного паттерна при канцероматозе + характерные четкоочерченные узелки с перилимфатическим характром распределения (в 60% случаев) - весьма специфическая картина саркоидоза. Консолидации обычно если есть - с наличием по периферии этих мелких узелков - что тоже помогает в диагнозе. Конечно когда процесс уже старый с выраженм фиброзом - все становитсяч сложнее.
Я говорил про тонкосрезовую КТ - в настоящее время она заменяет сосбой HRCT - то есть достаточно 1-го исследования легких с тонким срезом (по 0.6мм).
Кстати есть хорошая лекция по саркоидозу Соколиной Ирины Александровны: "КТ-диагностика и диф.диагностика саркоидоза". Я бы выложил ее тут, но не знаю как автор отнесется к этому...
Конечно выкладывайте!
И, заранее Вам большое спасибо!!!
А, здесь выкладывать и не надо. Имеется целый раздел "Публикации".
Вот ссылка раздела -
http://www.radiomed.ru/publications/stati