You are here

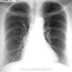
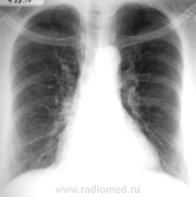
Р-графия грудной клетки. Женщина 58 лет.

Пол пациента: 
Тип патологии: 

Женщина 58 лет. Беспокоит кашель, иногда с мокротой. Из анамнеза болеет лёгкими с детства, частые бронхиты, пневмонии. 2 раза в год лечится в стационаре по поводу хр. бронхита.

  • https://radiomed.ru/sites/default/files/styles/case_slider_image/public/user/12/22.img_1945_58_leta.jpg?itok=pOBsCB28
  • https://radiomed.ru/sites/default/files/styles/case_slider_image/public/user/12/23.img_1945_58_letbs.jpg?itok=wxACSaxD
ID:6419
Makcimalist's picture
Offline
Last seen: 11 years 10 months ago
Joined: 08.05.2010 - 14:28
Posts: 1994

Вроде ничего не пропускаем. Признаки ХОБЛ, клинически - обострение...

--------------

"Просто, по видимости, не видеть логики в очевидных вещах - это тоже одно из свойств некоторых умов, наряду с грустными думами о свойствах ума других."  © Vega 08/10/2011

Vikkur's picture
Offline
Last seen: 4 years 9 months ago
Joined: 24.09.2009 - 14:34
Posts: 1749

Левую боковую и томограму левого корня....бы..

Виктор.

mila's picture
Offline
Last seen: 5 years 4 months ago
Joined: 26.02.2010 - 02:56
Posts: 277

А я бы сделала правый бок, что за округлая тень прилежащаяя к средней части корня справа? Слева в корне прослеживаются сосуды.

Vikkur's picture
Offline
Last seen: 4 years 9 months ago
Joined: 24.09.2009 - 14:34
Posts: 1749

Да поторпился справа есть тенюха...

Виктор.

Андрей Юрьевич's picture
Offline
Last seen: 5 days 8 hours ago
Joined: 16.11.2008 - 22:16
Posts: 18101

Makcimalist wrote:

Вроде ничего не пропускаем. Признаки ХОБЛ...

Коллега, в рамках ликбеза: как Вы ставите ХОБЛ по снимкам? Вы импортный ХОБЛ с отечественным ХНЗЛ, часом, не путаете?

Андрей Юрьевич

dok-a's picture
Offline
Last seen: 10 months 3 weeks ago
Joined: 14.02.2009 - 19:31
Posts: 623

Всвязи с частыми обострениями лечащий доктор закал КТ груди:

 

 

Приложения: 
10001.jpg10002.jpg10003.jpg10004.jpg10005.jpg10006.jpg10007.jpg10009.jpg10010.jpg10011.jpg10012.jpg10013.jpg
Makcimalist's picture
Offline
Last seen: 11 years 10 months ago
Joined: 08.05.2010 - 14:28
Posts: 1994

Свежего процесса не видно. Локальный перибронхиальный фиброз (промежут. бронха) справа...

--------------

"Просто, по видимости, не видеть логики в очевидных вещах - это тоже одно из свойств некоторых умов, наряду с грустными думами о свойствах ума других."  © Vega 08/10/2011

dok-a's picture
Offline
Last seen: 10 months 3 weeks ago
Joined: 14.02.2009 - 19:31
Posts: 623

"Свежего процесса не видно." Видны бронхоэктазы цилиндрические средней доли, которые, вероятно, и провоцируют частые обострения лёгочной патологии, расцениваемые клиницистами как обострение хр. бронхита.