You are here

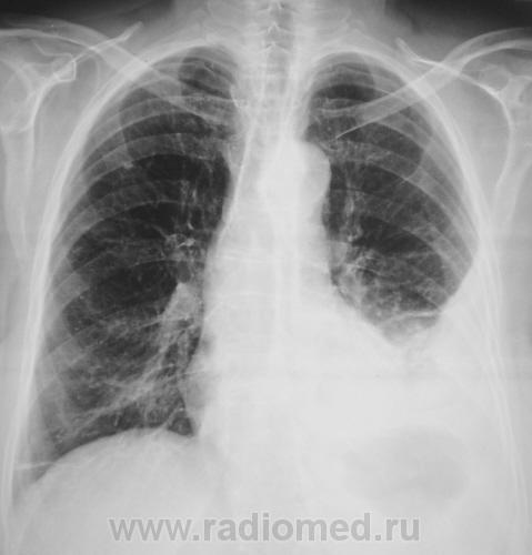
Пациент направлен на исследование ОГК с диагнозом "Пневмония".

Пол пациента: 
Методы исследования: 

Пациент направлен на исследование ОГК с диагнозом "Пневмония".

  • https://radiomed.ru/sites/default/files/styles/case_slider_image/public/user/12/2..p9080045_640x480.jpg?itok=iJJus7kj
  • https://radiomed.ru/sites/default/files/styles/case_slider_image/public/user/12/3..p9080046_640x480.jpg?itok=2RnbJAeG
  • https://radiomed.ru/sites/default/files/styles/case_slider_image/public/user/12/4..p9080047_640x480.jpg?itok=F16wHZRv
ID:6473
Илья Васильевич Маршалко's picture
Offline
Last seen: 14 years 2 months ago
Joined: 25.04.2010 - 14:23
Posts: 89

Добрый вечер, я бы дал барий

телу- мера, душе-Вера

Катенёв Валентин Львович's picture
Offline
Last seen: 7 years 3 months ago
Joined: 22.03.2008 - 22:15
Posts: 54876

Илья Васильевич Маршалко wrote:

Добрый вечер, я бы дал барий

Мне понятен Ваш ход мыслей...

Катенёв Валентин Львович's picture
Offline
Last seen: 7 years 3 months ago
Joined: 22.03.2008 - 22:15
Posts: 54876

Но, мы ограничились томограммой.

 

Приложения: 
51.p9080050_640x480.jpg52.p9080050a_640x480.jpg53.p9080051_640x480.jpg54.p9080051a_640x480.jpg
Vikkur's picture
Offline
Last seen: 4 years 11 months ago
Joined: 24.09.2009 - 14:34
Posts: 1749

Да уж дружище -  у вас грыжище!

Виктор.

Катенёв Валентин Львович's picture
Offline
Last seen: 7 years 3 months ago
Joined: 22.03.2008 - 22:15
Posts: 54876

Илья Васильевич Маршалко wrote:

Добрый вечер, я бы дал барий

Здравствуйте Илья Васильевич!

Дали по Вашей рекомендации барий. Вечером выставлю изображения.

Катенёв Валентин Львович's picture
Offline
Last seen: 7 years 3 months ago
Joined: 22.03.2008 - 22:15
Posts: 54876

Снимки, соответственно на левом и правом боку.

 

Приложения: 
1.p9090040_640x480.jpg2.p9090041_640x480.jpg3.p9090045_640x480.jpg4.p9090042_640x480.jpg5.p9090043_640x480.jpg6.p9090044_640x480.jpg
Катенёв Валентин Львович's picture
Offline
Last seen: 7 years 3 months ago
Joined: 22.03.2008 - 22:15
Posts: 54876

Лёжа на спине.

Исследование проведено в положении лежа из-за тяжести состояния пациентки.

 

Приложения: 
1.p9090046_640x480.jpg2.p9090047_640x480.jpg3.p9090048_640x480.jpg4.p9090049_640x480.jpg
Катенёв Валентин Львович's picture
Offline
Last seen: 7 years 3 months ago
Joined: 22.03.2008 - 22:15
Posts: 54876

Лежа на животе.

 

Приложения: 
1.p9090050_640x480.jpg2.p9090051_640x480.jpg3.p9090052_640x480.jpg4.p9090053_640x480.jpg5.p9090053-5_640x480.jpg6.p9090053-5n_640x480.jpg7.p9090052-b_640x480.jpg8.p9090052-ba_640x480.jpg
Илья Васильевич Маршалко's picture
Offline
Last seen: 14 years 2 months ago
Joined: 25.04.2010 - 14:23
Posts: 89

Здравствуйте , Валентин Львович. Большое спасибо за  столь интересный случай

телу- мера, душе-Вера

Андрей Юрьевич's picture
Offline
Last seen: 1 month 3 weeks ago
Joined: 16.11.2008 - 22:16
Posts: 18101

Ну вот, всем все ясно. Мне ничего не ясно. Кроме того, что у пациента частично осумкованный гидроторакс.

Андрей Юрьевич

ольга7's picture
Offline
Last seen: 11 years 6 months ago
Joined: 18.03.2010 - 21:29
Posts: 5

Добрый вечер, Валентин Львович! Я пока тоже кроме осумкованного плеврита и небольшого объемного уменьшения базальных сегментов левого легкого с уверенностью ничего не вижу. Можно поинтересоваться, чем обусловлена тяжесть состояния пациентки, клинической картиной? Какие жалобы гастроэнтерологической группы она предъявляет?

ольга

Катенёв Валентин Львович's picture
Offline
Last seen: 7 years 3 months ago
Joined: 22.03.2008 - 22:15
Posts: 54876

Здравствуйте!

Пациентка направлена на рентгенографию ОГК с диагнозом пневмония. Лечилась "на дому", на участке, пользовал врач общей практики. Жалобы на кашель, высокую температуру, слабость, ну и другие "грудные жалобы". Жалоб "гастроэнтерологической группы", не предъявляет. Пациентка пожилая. Вот, все в "купе", и обусловило "общее тяжелое состояние".

lupan's picture
Offline
Last seen: 7 years 1 month ago
Joined: 07.01.2010 - 17:17
Posts: 1406

Илья Васильевич Маршалко wrote:

Здравствуйте , Валентин Львович. Большое спасибо за  столь интересный случай

Позвольте полюбопытствовать: к какому выводу Вы пришли?

Великое преймущество врача заключается в том, что он не обязан следовать собственным советам. ( А. Кристи)

Катенёв Валентин Львович's picture
Offline
Last seen: 7 years 3 months ago
Joined: 22.03.2008 - 22:15
Posts: 54876

Динамика.

Рентгенограммы.

 

Приложения: 
1.p9150034.jpg2.p9150035.jpg3.p9150042.jpg4.p9150043.jpg5.p9150036.jpg6.p9150038.jpg7.p9150038a.jpg
Катенёв Валентин Львович's picture
Offline
Last seen: 7 years 3 months ago
Joined: 22.03.2008 - 22:15
Posts: 54876

Томограммы в прямой проекции.

 

Приложения: 
11.p9150039.jpg12.p9150040.jpg13.p9150041.jpg14.p9150041a.jpg
Катенёв Валентин Львович's picture
Offline
Last seen: 7 years 3 months ago
Joined: 22.03.2008 - 22:15
Posts: 54876

Томограммы в боковой проекции.

 

Приложения: 
21.p9150046.jpg22.p9150047.jpg23.p9150048.jpg24.p9150049.jpg
lupan's picture
Offline
Last seen: 7 years 1 month ago
Joined: 07.01.2010 - 17:17
Posts: 1406

Ну, надо полагать, что здесь пневмония, осумкованный плеврит. А вот где полость? Абсцесс? Эмпиема плевры?

Великое преймущество врача заключается в том, что он не обязан следовать собственным советам. ( А. Кристи)

Катенёв Валентин Львович's picture
Offline
Last seen: 7 years 3 months ago
Joined: 22.03.2008 - 22:15
Posts: 54876

А, на ваш взгляд, "это" полость?

Сан Саныч1's picture
Offline
Last seen: 1 year 2 months ago
Joined: 07.06.2010 - 21:17
Posts: 2114

Это выглядит как эмпиема

Приложения: 
99999999999999999.jpg

Хочешь сделать что-то нормально - сделай это сам!

Vikkur's picture
Offline
Last seen: 4 years 11 months ago
Joined: 24.09.2009 - 14:34
Posts: 1749

А состояние больной улучшилось?

Виктор.

Helios's picture
Offline
Last seen: 10 months 3 weeks ago
Joined: 06.08.2010 - 15:16
Posts: 4417

Случай интересный.

Валентин Львович и коллеги, можно вопрос не  по теме?При проведении метросальпмнгографии вы делаете отсроченные снимки ( через 24 часа), если контраста в брюшной полости нет?Мы очень редко занимаемся МСГ, а по разным источникам трудно ориентироваться.Спасибо.

Сан Саныч1's picture
Offline
Last seen: 1 year 2 months ago
Joined: 07.06.2010 - 21:17
Posts: 2114

Никогда не делали. А зачем, можно узнать?

Хочешь сделать что-то нормально - сделай это сам!

Грицько Виталий's picture
Offline
Last seen: 9 years 3 months ago
Joined: 05.01.2010 - 14:06
Posts: 1058

Думаю тут все показания к видеоторакоскопии. Рассечь спайки кармана , откачать жидкость, взять кусочек на исследование. А что в крови?

Сан Саныч1's picture
Offline
Last seen: 1 year 2 months ago
Joined: 07.06.2010 - 21:17
Posts: 2114

Интересно, зачем давали барий в остром периоде, когда купол диафрагмы слева не визуализировался? Какие были показания, что искали?

Хочешь сделать что-то нормально - сделай это сам!

Катенёв Валентин Львович's picture
Offline
Last seen: 7 years 3 months ago
Joined: 22.03.2008 - 22:15
Posts: 54876

Vikkur wrote:

А состояние больной улучшилось?

Субъективно пациентка себя чувствует несколько лучше.

Катенёв Валентин Львович's picture
Offline
Last seen: 7 years 3 months ago
Joined: 22.03.2008 - 22:15
Posts: 54876

Helios wrote:

Случай интересный.

Валентин Львович и коллеги, можно вопрос не  по теме?При проведении метросальпмнгографии вы делаете отсроченные снимки ( через 24 часа), если контраста в брюшной полости нет?Мы очень редко занимаемся МСГ, а по разным источникам трудно ориентироваться.Спасибо.

Делаем МСГ очень редко. Раньше, когда работал в крупной клинике с довольно большим гинекологическим отделением, учитывая пожелания гинекологов - делали через 24 часа.

Сейчас в нашей маленькой ЦРБ-ушке, данные исследования весьма редки...

Катенёв Валентин Львович's picture
Offline
Last seen: 7 years 3 months ago
Joined: 22.03.2008 - 22:15
Posts: 54876

Грицько Виталий wrote:
Думаю тут все показания к видеоторакоскопии. Рассечь спайки кармана , откачать жидкость, взять кусочек на исследование. А что в крови?

Вызвали на консультацию областного "торакальщика".

Катенёв Валентин Львович's picture
Offline
Last seen: 7 years 3 months ago
Joined: 22.03.2008 - 22:15
Posts: 54876

Сан Саныч1 wrote:

Интересно, зачем давали барий в остром периоде, когда купол диафрагмы слева не визуализировался? Какие были показания, что искали?

Возникло подозрение "о наличии ГПОД"

Сан Саныч1's picture
Offline
Last seen: 1 year 2 months ago
Joined: 07.06.2010 - 21:17
Posts: 2114

Катенёв Валентин Львович wrote:

Сан Саныч1 wrote:

Интересно, зачем давали барий в остром периоде, когда купол диафрагмы слева не визуализировался? Какие были показания, что искали?

Возникло подозрение "о наличии ГПОД"

Это понятно, просто я немного неточно выразился. Как вы хотели исключить гпод, если на фоне гидроторакса четко не дифференцировался главный анатомический ориентир - купол диафрагмы?

Хочешь сделать что-то нормально - сделай это сам!

Катенёв Валентин Львович's picture
Offline
Last seen: 7 years 3 months ago
Joined: 22.03.2008 - 22:15
Posts: 54876

"Задачу" поставили клиницисты, терапевты хотели избавиться, хирурги - упирались не хотели брать, доказывали, что нет... - обычная межотделенческая дрязга.

Сан Саныч1's picture
Offline
Last seen: 1 year 2 months ago
Joined: 07.06.2010 - 21:17
Posts: 2114

Клиницист, заподозривший по этим снимкам ГПОД, заслуживает называться Боткиным или Стражеско №2. Ну, или хотя бы звания академика РАМН.

Хочешь сделать что-то нормально - сделай это сам!

Катенёв Валентин Львович's picture
Offline
Last seen: 7 years 3 months ago
Joined: 22.03.2008 - 22:15
Posts: 54876

Сан Саныч1 wrote:

Клиницист, заподозривший по этим снимкам ГПОД, заслуживает называться Боткиным или Стражеско №2. Ну, или хотя бы звания академика РАМН.

Ну, тут не выставлены снимки, которые были произведены еще и в ортоположении.

Но должен заметить, что в ряде случаев междуусобная грызня клиницистов, и часто не по делу, придает нам много работы на "мусорную корзину".

Андрей Юрьевич's picture
Offline
Last seen: 1 month 3 weeks ago
Joined: 16.11.2008 - 22:16
Posts: 18101

Helios wrote:

Случай интересный.

Валентин Львович и коллеги, можно вопрос не  по теме?При проведении метросальпмнгографии вы делаете отсроченные снимки ( через 24 часа), если контраста в брюшной полости нет?

Да. Когда-то это было стандартом.

Андрей Юрьевич

Андрей Юрьевич's picture
Offline
Last seen: 1 month 3 weeks ago
Joined: 16.11.2008 - 22:16
Posts: 18101

Сан Саныч1 wrote:

Никогда не делали. А зачем, можно узнать?

Для оценки состояния брюшины полости малого таза

Андрей Юрьевич