You are here

Уважаемые специалисты МРТ и КТ !

Пол пациента: 
Тип патологии: 
Область исследования: 
Методы исследования: 

Уважаемые специалисты МРТ и КТ !

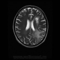
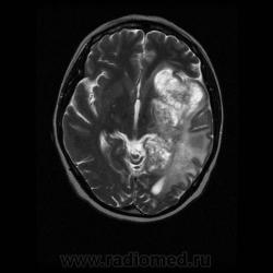
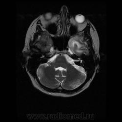
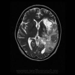
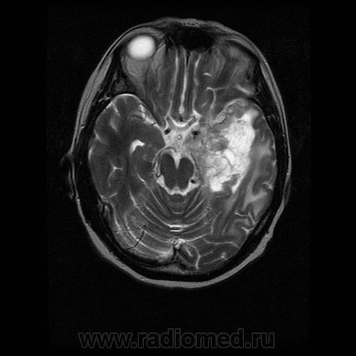
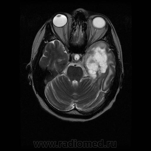
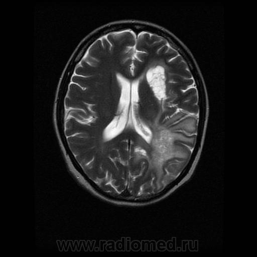
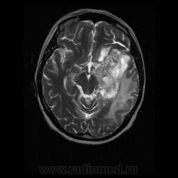
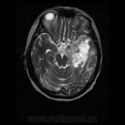
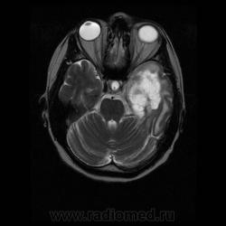
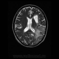
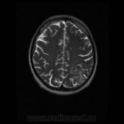
Нужна помощь. Что за процесс на Ваш взгляд?

 

 

  • https://radiomed.ru/sites/default/files/styles/case_slider_image/public/user/12/2.multiple_files_0002.jpg?itok=H1VoTff3
  • https://radiomed.ru/sites/default/files/styles/case_slider_image/public/user/12/3.multiple_files_0003.jpg?itok=gZ480o2e
  • https://radiomed.ru/sites/default/files/styles/case_slider_image/public/user/12/4.multiple_files_0004.jpg?itok=7r7floR7
  • https://radiomed.ru/sites/default/files/styles/case_slider_image/public/user/12/5.multiple_files_0005.jpg?itok=PH5elBF6
  • https://radiomed.ru/sites/default/files/styles/case_slider_image/public/user/12/6.multiple_files_0006.jpg?itok=SWmo69w8
  • https://radiomed.ru/sites/default/files/styles/case_slider_image/public/user/12/7.multiple_files_0007.jpg?itok=rPYYmsjg
  • https://radiomed.ru/sites/default/files/styles/case_slider_image/public/user/12/8.multiple_files_0008.jpg?itok=31aHiMv9
  • https://radiomed.ru/sites/default/files/styles/case_slider_image/public/user/12/9.multiple_files_0009.jpg?itok=lA-KLjoU
  • https://radiomed.ru/sites/default/files/styles/case_slider_image/public/user/12/10.multiple_files_0010.jpg?itok=QeM3MdBv
  • https://radiomed.ru/sites/default/files/styles/case_slider_image/public/user/12/11.multiple_files_0011.jpg?itok=92TyOjTU
  • https://radiomed.ru/sites/default/files/styles/case_slider_image/public/user/12/12.multiple_files_0012.jpg?itok=poEiPzMt
  • https://radiomed.ru/sites/default/files/styles/case_slider_image/public/user/12/13.multiple_files_0013.jpg?itok=5RJvdtLi
  • https://radiomed.ru/sites/default/files/styles/case_slider_image/public/user/12/14.multiple_files_0014.jpg?itok=lMbj3QQL
  • https://radiomed.ru/sites/default/files/styles/case_slider_image/public/user/12/15.multiple_files_00014f.jpg?itok=KK3WrE4e
  • https://radiomed.ru/sites/default/files/styles/case_slider_image/public/user/12/16.multiple_files_00015.jpg?itok=FBgF-Aug
  • https://radiomed.ru/sites/default/files/styles/case_slider_image/public/user/12/17.multiple_files_0016.jpg?itok=YICTDLqg
  • https://radiomed.ru/sites/default/files/styles/case_slider_image/public/user/12/18.multiple_files_0017.jpg?itok=Qs_Euqda
  • https://radiomed.ru/sites/default/files/styles/case_slider_image/public/user/12/19.multiple_files_0019.jpg?itok=akKRDkmg
  • https://radiomed.ru/sites/default/files/styles/case_slider_image/public/user/12/20.multiple_files_0021.jpg?itok=kh7iLbX_
  • https://radiomed.ru/sites/default/files/styles/case_slider_image/public/user/12/p9100001.jpg?itok=-1dWKeYm
  • https://radiomed.ru/sites/default/files/styles/case_slider_image/public/user/12/p9100002.jpg?itok=7YyE4zY0
  • https://radiomed.ru/sites/default/files/styles/case_slider_image/public/user/12/p9100003.jpg?itok=DmFtOUfL
  • https://radiomed.ru/sites/default/files/styles/case_slider_image/public/user/12/p9100004.jpg?itok=WoCkXHOu
  • https://radiomed.ru/sites/default/files/styles/case_slider_image/public/user/12/p9100005.jpg?itok=k6-mcE-T
  • https://radiomed.ru/sites/default/files/styles/case_slider_image/public/user/12/p9100006.jpg?itok=sB5TY9jW
  • https://radiomed.ru/sites/default/files/styles/case_slider_image/public/user/12/p9100007.jpg?itok=kpZzAgl2
  • https://radiomed.ru/sites/default/files/styles/case_slider_image/public/user/12/p9100008.jpg?itok=C047mu6w
  • https://radiomed.ru/sites/default/files/styles/case_slider_image/public/user/12/p9100009.jpg?itok=ZhLtI6Dk
  • https://radiomed.ru/sites/default/files/styles/case_slider_image/public/user/12/p9100010.jpg?itok=MTAHbW9Y
  • https://radiomed.ru/sites/default/files/styles/case_slider_image/public/user/12/p9100011_0.jpg?itok=yvYB63OW
  • https://radiomed.ru/sites/default/files/styles/case_slider_image/public/user/12/p9100012.jpg?itok=wWouYQpn
  • https://radiomed.ru/sites/default/files/styles/case_slider_image/public/user/12/p9100013.jpg?itok=SOWOpC4Q
  • https://radiomed.ru/sites/default/files/styles/case_slider_image/public/user/12/p9100014.jpg?itok=x8hN1T2A
  • https://radiomed.ru/sites/default/files/styles/case_slider_image/public/user/12/p9100015.jpg?itok=T9fKIQ7r
  • https://radiomed.ru/sites/default/files/styles/case_slider_image/public/user/12/p9100016.jpg?itok=Z6Xe6kkJ
  • https://radiomed.ru/sites/default/files/styles/case_slider_image/public/user/12/p9100017.jpg?itok=ZGxuUK43
  • https://radiomed.ru/sites/default/files/styles/case_slider_image/public/user/12/p9100018.jpg?itok=XfHbP1kZ
  • https://radiomed.ru/sites/default/files/styles/case_slider_image/public/user/12/p9100019.jpg?itok=ztRTFk5T
  • https://radiomed.ru/sites/default/files/styles/case_slider_image/public/user/12/p9100020.jpg?itok=6_0YBPcj
  • https://radiomed.ru/sites/default/files/styles/case_slider_image/public/user/12/p9100021.jpg?itok=cjFCOd0Y
  • https://radiomed.ru/sites/default/files/styles/case_slider_image/public/user/12/p9100022.jpg?itok=WCD2kpPl
  • https://radiomed.ru/sites/default/files/styles/case_slider_image/public/user/12/p9100023.jpg?itok=d5nccXZ_
  • https://radiomed.ru/sites/default/files/styles/case_slider_image/public/user/12/p9100024.jpg?itok=cL2RZvbO
  • https://radiomed.ru/sites/default/files/styles/case_slider_image/public/user/12/p9100025.jpg?itok=jLZCTMEg
  • https://radiomed.ru/sites/default/files/styles/case_slider_image/public/user/12/p9100026.jpg?itok=EeSi7rqT
  • https://radiomed.ru/sites/default/files/styles/case_slider_image/public/user/12/p9100027.jpg?itok=A24wbdho
ID:6508
Евгений Магонов's picture
Offline
Last seen: 2 weeks 18 hours ago
Joined: 07.03.2008 - 15:28
Posts: 1273

Маловато данных. Помимо T2 ВИ хотелось бы увидеть T1 ВИ, Flair и T2* GRE. Ну, и любимую диффузию. В идеале нужно дополнить исследование сосудистой программой и контрастом.

Вообще, похоже на кровоизлияние, вот только причастна ли к этому опухоль и есть ли она там - по данным изображениям сказать невозможно.

Добрый админ

Катенёв Валентин Львович's picture
Offline
Last seen: 7 years 5 months ago
Joined: 22.03.2008 - 22:15
Posts: 54876

Придется добавить...

Евгений Магонов's picture
Offline
Last seen: 2 weeks 18 hours ago
Joined: 07.03.2008 - 15:28
Posts: 1273

Катенёв Валентин Львович wrote:

Придется добавить...

Валентин Львович! Все не обязательно, можно только на уровне поражения. А у Вас нет диска с исследованием? Можно было бы загрузить на DICOM-сервер.

Добрый админ

Катенёв Валентин Львович's picture
Offline
Last seen: 7 years 5 months ago
Joined: 22.03.2008 - 22:15
Posts: 54876

Нет. Я добавлю так. "Диком", сразу для меня, это очень сложно и "круто". Диска нет. Думаю, к вечеру управлюсь, да, заодно еще один случай выставлю.

С пользой день сегодняшний провел.

Кротов Глеб Олегович's picture
Offline
Last seen: 11 years 11 months ago
Joined: 25.08.2010 - 14:21
Posts: 82

Евгений Магонов wrote:

Маловато данных. Помимо T2 ВИ хотелось бы увидеть T1 ВИ, Flair и T2* GRE. Ну, и любимую диффузию. В идеале нужно дополнить исследование сосудистой программой и контрастом.

Вообще, похоже на кровоизлияние, вот только причастна ли к этому опухоль и есть ли она там - по данным изображениям сказать невозможно.

 Думаю что для гематомы такого объема моловат масс-эффект... А клинические данные есть какие-либо?

Катенёв Валентин Львович's picture
Offline
Last seen: 7 years 5 months ago
Joined: 22.03.2008 - 22:15
Posts: 54876

Есть "данные" - головные боли, пошатывание. Травмы не было.

ЛГ's picture
Offline
Last seen: 9 years 3 months ago
Joined: 06.01.2010 - 12:31
Posts: 3523

Катенёв Валентин Львович wrote:

Есть "данные" - головные боли, пошатывание. Травмы не было.

А температура-ликвор-кровь? Есть данные?

v1tal's picture
Offline
Last seen: 5 years 2 months ago
Joined: 07.06.2008 - 19:41
Posts: 1779

Глиальное образование левой гемисферы накапливающее контрастное вещество, неврологическая клиника должна быть, геморраческий инсульт исключается, для некоторых глиальных образований характерно наличие минимального масс-эфекта.

 

Субкортикальный отсев.

"Знаешь, у некоторых врачей есть комплекс мессии — им необходимо спасать мир. А у тебя комплекс Рубика — тебе необходимо решать головоломки."

Катенёв Валентин Львович's picture
Offline
Last seen: 7 years 5 months ago
Joined: 22.03.2008 - 22:15
Posts: 54876

Изображения.

 

Приложения: 
p9100028.jpgp9100029.jpgp9100030.jpgp9100031.jpgp9100032.jpgp9100033.jpgp9100034.jpgp9100035.jpgp9100036.jpg
Катенёв Валентин Львович's picture
Offline
Last seen: 7 years 5 months ago
Joined: 22.03.2008 - 22:15
Posts: 54876

Изображения.

 

Приложения: 
p9100037.jpgp9100038.jpgp9100039.jpgp9100040.jpgp9100041.jpgp9100042.jpgp9100043.jpgp9100044.jpgp9100045.jpgp9100046.jpgp9100047.jpg
Евгений Магонов's picture
Offline
Last seen: 2 weeks 18 hours ago
Joined: 07.03.2008 - 15:28
Posts: 1273

Присоединяюсь к v1tal! Кровь исключается, это образование.

Добрый админ

Катенёв Валентин Львович's picture
Offline
Last seen: 7 years 5 months ago
Joined: 22.03.2008 - 22:15
Posts: 54876

Значит, образование глиальное?

По изображениям можно предположить - доброкачественное или злокачественное?

Сергей Нагорный's picture
Offline
Last seen: 10 years 1 month ago
Joined: 13.07.2010 - 22:49
Posts: 1370

Да,  образование... глиобластома может, либо переходное состояние к ней. Смысл один - глиальное образование с признаками злокачественного роста. Но не надо забывать и про про другие образования, которые могут так выглядеть... иногда похоже выглядит лимфома (в этом случае, конечно, не типично для лимфомы). По легким проблем нет? (средостение). Смущает кистозный компонент. Любое острое состояние дало бы серьезную клинику, а растущее новообразование бывает с минимальной клиникой, это вполне объяснимо и логично...

С уважением, С.Н. Нагорный

Катенёв Валентин Львович's picture
Offline
Last seen: 7 years 5 months ago
Joined: 22.03.2008 - 22:15
Posts: 54876

Интересно, сколько лет может быть такому процессу?

Андрей Попов's picture
Offline
Last seen: 14 years 8 months ago
Joined: 24.11.2009 - 15:32
Posts: 67

Крупная глиальная опухоль.

Сергей Нагорный's picture
Offline
Last seen: 10 years 1 month ago
Joined: 13.07.2010 - 22:49
Posts: 1370

Валентин Львович, верификации нет?

С уважением, С.Н. Нагорный

Катенёв Валентин Львович's picture
Offline
Last seen: 7 years 5 months ago
Joined: 22.03.2008 - 22:15
Posts: 54876

Катенёв Валентин Львович wrote:

Интересно, сколько лет может быть такому процессу?

Насчет продолжительности заболевания никто ничего не скажет?

Есть верификация, есть.

Сергей Нагорный's picture
Offline
Last seen: 10 years 1 month ago
Joined: 13.07.2010 - 22:49
Posts: 1370

обычно самые злокачественные растут крайне быстро, до года (месяцами исчисляется).

С уважением, С.Н. Нагорный

Катенёв Валентин Львович's picture
Offline
Last seen: 7 years 5 months ago
Joined: 22.03.2008 - 22:15
Posts: 54876

Диагноз глиобластомы был установлен в НИИ нейрохирургии им. Н.Н. Бурденко, где пациентка наблюдается и "получает" плановое лечение.

"Процессу" в этом году исполнилось 10 лет. Перед очередной поездкой в Москву, пациентка "прошла" МРТ. Вот так эти изображения и попали ко мне.

Сергей Нагорный's picture
Offline
Last seen: 10 years 1 month ago
Joined: 13.07.2010 - 22:49
Posts: 1370

С глиобластомой не промахнулись значит. 10 лет это очень здорово. Нелеченые глиобластомы растут крайне быстро. Бывает приходят на контроль спустя пару-тройку месяцев, а там уже такое вырасло...

С уважением, С.Н. Нагорный

v1tal's picture
Offline
Last seen: 5 years 2 months ago
Joined: 07.06.2008 - 19:41
Posts: 1779

Удивлен 10 лет, на данный момент всё запущено.

"Знаешь, у некоторых врачей есть комплекс мессии — им необходимо спасать мир. А у тебя комплекс Рубика — тебе необходимо решать головоломки."

Катенёв Валентин Львович's picture
Offline
Last seen: 7 years 5 months ago
Joined: 22.03.2008 - 22:15
Posts: 54876

Вот, и наши коллеги, отметили, что умеют в "Бурденко" лечить такие процессы.

Просидел на МРТ целый день, получил массу положительных эмоций, и патология, как раз шла из рубрики - "Мама не горюй!", что не случай, то, и - АХ!

Сергей Нагорный's picture
Offline
Last seen: 10 years 1 month ago
Joined: 13.07.2010 - 22:49
Posts: 1370

не удивлюсь, что женщина при такой картине вполне сохранная и не выглядит запущенной

С уважением, С.Н. Нагорный

Катенёв Валентин Львович's picture
Offline
Last seen: 7 years 5 months ago
Joined: 22.03.2008 - 22:15
Posts: 54876

Сергей Николаевич wrote:

не удивлюсь, что женщина при такой картине вполне сохранная и не выглядит запущенной

Вы правы Сергей Николаевич!

Сам своими глазами видел.