You are here

Синдром легочной диссеминации

Пол пациента: 
Методы исследования: 

Случай из практики – диагностическая флюорография.

Название случая «Синдром легочной диссеминации».
Пациент ж, возраст – 76 лет

Обратилась на прием к участковому терапевту с грудными жалобами: повышение температуры до 37,5 градусов, кашель, недомогание, упадок сил.

Цифровое стандартное флюорографическое исследование (проведено на цифровом флюорографе «Ренекс - Флюоро).

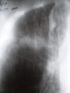
Протокол. Илл. № 1. На обзорной цифровой флюорограмме, произведенной в прямой стандартной проекции определяется синдром двусторонней довольно мономорфной диссеминации. Очаговые тени преобладают в средних и нижних отделах легочных полей. В верхних отделах количество очаговых теней меньше. Тень левого корня не дифференцируется, гомогенизирована. Справа в верхнем легочном поле каплевидная тень непарной вены.

На линейных томограммах в прямой проекции – 7 см. (2,3), 9 см. (4,5), 11 см. (6,7)

с обеих сторон, преимущественно в средних и нижних отделах легочных полей определяются мономорфные очаговые тени с тенденцией к слиянию. Справа в верхней доле определяется фокусная тень средней интенсивности, неоднородной структуры, с нечеткими, неровными контурами с тенденцией к полицикличности, местами с лучистостью по контуру. Множественные линейные тени (лимфангоит) – 7, 8 четко прослеживаются от фокусной тени к корню правого лёгкого, отдельные линейные тени – к висцеральной плевре. Определяется выраженное снижение прозрачности доли непарной вены неоднородной структуры. Слева в корне обызвествленные бронхопульмональные лимфатические узлы.
Заключение: Рак верхней доли правого лёгкого с наличием множественных метастазов (по типу карциноматоза) в лёгких.

Пациентка была направлена на консультацию в областной онкологический диспансер. Диагноз подтвержден. В настоящее время наступил летальный исход.

Дифференциальный диагноз проводился в основном с «атипичной формой» диссеминированного туберкулёза с учетом преимущественного поражения средних и нижних отделов легочных полей и наличием «архива» в левом корне. Безусловно, первоначально проводилась дифференциальная диагностика с саркоидозом и легочно-плевральной формой лимфогрануломатоза. Пневмокониоз и болезни накопления были исключены на первичном этапе.

Данные предоставил Катенёв Валентин Львович, г. Бирюч Белгородской области. МУЗ «Красногвардейская центральная районная больница», зав. рентгенологическим отделением.

 

 


 

1
1
2
2
3
3
4
4
5
5
6
6
7
7

 

 

 

AttachmentSize
Image icon 135.99 KB
Image icon 223.95 KB
Image icon 325.29 KB
Image icon 426.3 KB
Image icon 524.49 KB
Image icon 623.89 KB
Image icon 721.97 KB
Катенёв Валентин Львович's picture
Offline
Last seen: 7 years 5 months ago
Joined: 22.03.2008 - 22:15
Posts: 54876

Очень интересны мнения коллег!

Игорь Ким's picture
Offline
Last seen: 1 year 9 months ago
Joined: 17.10.2014 - 17:30
Posts: 4672

Синдром легочной диссеминации всегда интересен и труден и до верификации порой проходит очень длительный временной срок. Труден сам процесс диагностики с учетом большого количества нозологий, и даже одна и таже нозологическая форма может иметь различную картину в своем развитии.  Многое зависит, не только от оснащенности ЛПУ, но и от " человеческого" фактора. Снимки очень качественные и показательные. И в этом заслуга рентгенолога. Спасибо.

Катенёв Валентин Львович's picture
Offline
Last seen: 7 years 5 months ago
Joined: 22.03.2008 - 22:15
Posts: 54876

Игорь Ким wrote:

Синдром легочной диссеминации всегда интересен и труден 

Вы правы уважаемый коллега, но дифряд выстраивать надо.

В данном случае "до гистологической верификации" прошел лишь мепсяц....