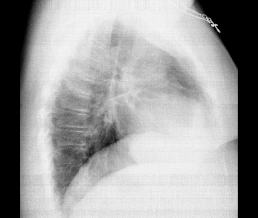
Пол пациента: Женский пол Тип патологии: Другое Область исследования: Грудная клетка и верхние дыхательные пути Методы исследования: Rg Женщина 30л. Диагностическая флюорография. За 4 ребром справа овальная тень? Дисковидный ателектаз? Ваше мнение коллеги? ID:78936 Цель публикации: Консультация Wed, 14/11/2018 - 21:14 #1 Игорь Ким Offline Last seen: 1 year 5 months ago Joined: 17.10.2014 - 17:30 Posts: 4672 Не ателектаз. Уплотнение добавочной междолевой. Wed, 14/11/2018 - 21:24 #2 И.Бондаренко Offline Last seen: 21 hours 43 min ago Joined: 13.09.2011 - 22:55 Posts: 9208 Игорь Ким wrote: Не ателектаз. Уплотнение добавочной междолевой. Возможно малый плеврит. Wed, 14/11/2018 - 21:37 #3 NIL Offline Last seen: 1 month 1 week ago Joined: 25.11.2013 - 20:50 Posts: 18208 Игорь Ким wrote: Уплотнение добавочной междолевой. +1 "Слушай всех, прислушивайся к немногим, решай сам".© Thu, 15/11/2018 - 06:21 #4 Оськин С.В. Offline Last seen: 2 years 4 weeks ago Joined: 07.04.2016 - 17:05 Posts: 1703 Коллеги, как вы оцениваете эту тень? У меня затрунение вызвала. Приложения:
Не ателектаз. Уплотнение добавочной междолевой.
Возможно малый плеврит.
"Слушай всех, прислушивайся к немногим, решай сам".©
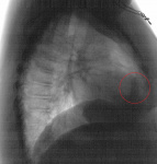
Коллеги, как вы оцениваете эту тень? У меня затрунение вызвала.