You are here

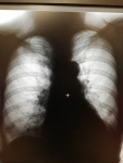
Проф флг что скажете?

Пол пациента: 
Тип патологии: 
Методы исследования: 

Ваши мнения? Год назад не было такого

ID:79125
Цель публикации: 
NIL's picture
NIL
Offline
Last seen: 1 month 3 days ago
Joined: 25.11.2013 - 20:50
Posts: 18208

Больше похоже на фиброз. Иногда так выглядят рефлекторные субсегментарные ателектазы при катастрофах в брюшной плости.

Очень желательны боковые проекции.


"Слушай всех, прислушивайся к немногим, решай сам".©

Lory's picture
Offline
Last seen: 6 months 1 week ago
Joined: 02.03.2016 - 18:28
Posts: 766

NIL wrote:

Больше похоже на фиброз. Иногда так выглядят рефлекторные субсегментарные ателектазы при катастрофах в брюшной плости.

Очень желательны боковые проекции.

Что дадут?)

Оськин С.В.'s picture
Offline
Last seen: 2 years 3 weeks ago
Joined: 07.04.2016 - 17:05
Posts: 1703

 

NIL wrote:

Больше похоже на фиброз. Иногда так выглядят рефлекторные субсегментарные ателектазы при катастрофах в брюшной плости.

Очень желательны боковые проекции.

Про дисковидные ателектазы Вы говорите? 

NIL's picture
NIL
Offline
Last seen: 1 month 3 days ago
Joined: 25.11.2013 - 20:50
Posts: 18208

Lory wrote:

Что дадут?)

Стандарт соблюдём, дополнительную информацию получим.Ведь не всё на прямой проекции видно.


"Слушай всех, прислушивайся к немногим, решай сам".©

NIL's picture
NIL
Offline
Last seen: 1 month 3 days ago
Joined: 25.11.2013 - 20:50
Posts: 18208

Оськин С.В. wrote:

Про дисковидные ателектазы Вы говорите? 

В данном случае не обязательно, что это ателектазы. ВСего лишь версия. МОГУТ ими быть
Такие дисковидными не называю. Субсегментарные. Дисковидные - дольковые. Они гораздо меньшей протяженности, до 1,5 см. По форме они похожи на диск, не линия,  как блинчик или летающая тарелка )).


"Слушай всех, прислушивайся к немногим, решай сам".©

Lory's picture
Offline
Last seen: 6 months 1 week ago
Joined: 02.03.2016 - 18:28
Posts: 766

NIL wrote:

Lory wrote:

Что дадут?)

Стандарт соблюдём, дополнительную информацию получим.Ведь не всё на прямой проекции видно.

Согласна с вами)спасибо за ответ.

Игорь Ким's picture
Offline
Last seen: 1 year 5 months ago
Joined: 17.10.2014 - 17:30
Posts: 4672

Справа уплотненная малая междолевая. Слева, с учетом поломанных ребер( заднх отрезков 8-9ребер) тоже м.б. уплотнение по ходу главной междолевой, так и фиброателектаз.

Оськин С.В.'s picture
Offline
Last seen: 2 years 3 weeks ago
Joined: 07.04.2016 - 17:05
Posts: 1703

NIL wrote:

В данном случае не обязательно, что это ателектазы. ВСего лишь версия. МОГУТ ими быть
Такие дисковидными не называю. Субсегментарные. Дисковидные - дольковые. Они гораздо меньшей протяженности, до 1,5 см. По форме они похожи на диск, не линия,  как блинчик или летающая тарелка )).

Спасибо))

В.И.'s picture
Offline
Last seen: 3 months 1 week ago
Joined: 22.09.2015 - 17:55
Posts: 2321

Оськин С.В. wrote:

NIL wrote:

В данном случае не обязательно, что это ателектазы. ВСего лишь версия. МОГУТ ими быть
Такие дисковидными не называю. Субсегментарные. Дисковидные - дольковые. Они гораздо меньшей протяженности, до 1,5 см. По форме они похожи на диск, не линия,  как блинчик или летающая тарелка )).

Спасибо))

++

annti-i's picture
Offline
Last seen: 6 years 10 months ago
Joined: 03.10.2014 - 11:29
Posts: 129

Вот и мне кажется, что междолевая. Ателектаз в меньшей степени. Фиброз сомнительно, что за  но "с 0" и сразу вот так.

А вот бок вряд ли что-то даст, у нас качество такое, что вообще ничего не увидишь...

annti-i

ррр-доктор's picture
Offline
Last seen: 5 years 4 months ago
Joined: 04.02.2017 - 10:21
Posts: 165

Бок нужен!!! Исключить патологию и быть спокойным! А то что качество будет плохое - это уже другой вопрос.

annti-i's picture
Offline
Last seen: 6 years 10 months ago
Joined: 03.10.2014 - 11:29
Posts: 129

ррр-доктор wrote:

Бок нужен!!! Исключить патологию и быть спокойным! А то что качество будет плохое - это уже другой вопрос.

Дык по правилам понятно что надо бы. Но в реальности ничего не даст. 

annti-i

NIL's picture
NIL
Offline
Last seen: 1 month 3 days ago
Joined: 25.11.2013 - 20:50
Posts: 18208

annti-i wrote:

 Но в реальности ничего не даст. 

А если даст?


"Слушай всех, прислушивайся к немногим, решай сам".©

annti-i's picture
Offline
Last seen: 6 years 10 months ago
Joined: 03.10.2014 - 11:29
Posts: 129

Сделаем бок. Но вот не думаю что прояснит

annti-i

NIL's picture
NIL
Offline
Last seen: 1 month 3 days ago
Joined: 25.11.2013 - 20:50
Posts: 18208

annti-i wrote:

Сделаем бок. Но вот не думаю что прояснит

Вот и проверим))).

 


"Слушай всех, прислушивайся к немногим, решай сам".©

annti-i's picture
Offline
Last seen: 6 years 10 months ago
Joined: 03.10.2014 - 11:29
Posts: 129

Доделали бок. Что скажете?

Приложения: 
img_20181203_131110.jpg

annti-i

annti-i's picture
Offline
Last seen: 6 years 10 months ago
Joined: 03.10.2014 - 11:29
Posts: 129

 

 

annti-i

annti-i's picture
Offline
Last seen: 6 years 10 months ago
Joined: 03.10.2014 - 11:29
Posts: 129

NIL wrote:

annti-i wrote:

Сделаем бок. Но вот не думаю что прояснит

Вот и проверим))).

 

Доделали бок, что скажете?

Приложения: 
img_20181203_124920.jpg

annti-i

NIL's picture
NIL
Offline
Last seen: 1 month 3 days ago
Joined: 25.11.2013 - 20:50
Posts: 18208

annti-i wrote:

Доделали бок, что скажете?

Фиброзные тяжи


"Слушай всех, прислушивайся к немногим, решай сам".©

Игорь Ким's picture
Offline
Last seen: 1 year 5 months ago
Joined: 17.10.2014 - 17:30
Posts: 4672

annti-i wrote:

Доделали бок. Что скажете?

Один снимок( прямой) на 2-х ветках.

annti-i's picture
Offline
Last seen: 6 years 10 months ago
Joined: 03.10.2014 - 11:29
Posts: 129

Да, случайно не то изображение выбрала. С мобильного не удаляется комментарий этот. Я ниже бок добавила

annti-i

annti-i's picture
Offline
Last seen: 6 years 10 months ago
Joined: 03.10.2014 - 11:29
Posts: 129

Всё-таки вы были правы, что бок даст дополнительную информацию) беру свои слова назад)

Спасибо!

annti-i