Пол пациента:
Тип патологии:
Область исследования:
Методы исследования:
- https://radiomed.ru/sites/default/files/styles/case_slider_image/public/user/12/2.p9160036.jpg?itok=ML3r-4GN
- https://radiomed.ru/sites/default/files/styles/case_slider_image/public/user/12/3.p9160037.jpg?itok=JOBOZKIL
- https://radiomed.ru/sites/default/files/styles/case_slider_image/public/user/12/4.p9160038.jpg?itok=S2mW6MkP
- https://radiomed.ru/sites/default/files/styles/case_slider_image/public/user/12/5.p9160039.jpg?itok=qTovo5a_
- https://radiomed.ru/sites/default/files/styles/case_slider_image/public/user/12/6.p9160039v.jpg?itok=K6xKBkxJ
- https://radiomed.ru/sites/default/files/styles/case_slider_image/public/user/12/7.p9160040.jpg?itok=rZmzGKNS
- https://radiomed.ru/sites/default/files/styles/case_slider_image/public/user/12/8.p9160041a.jpg?itok=GtkZhW10
- https://radiomed.ru/sites/default/files/styles/case_slider_image/public/user/12/9.p9160042a.jpg?itok=YrkOUlGr
ID:6883
не онко ли?
выявлено при изучении
1. пациентка
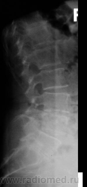
2. форма позвонка - односторонне-вогнутая
3. контуры "вдавления" верхней замыкательной пластинки относительно четкие
4. елементы слероза по контуру "вдавления"
вопросы:
1.Сколько пациентке лет?
2. Клиника?
Болезни ног: виды, симптомы, причины, профилактика и лечение
Пациентке 65 лет. Клиника радикулита.
мне 1-е что бросилось в глаза)))
тоже увиделись такие же характеристики зоны интереса, да и м\п диск снижен в этом сегменте + диф. остеопороз = может это такая грыжа диска?
Виктор.
Вот, я же говорила,что анамнез и тд. ( не буду повторяться) у рентгенологов чуть ли не на первом месте.Учебники хорошо, а в жизни бывает и не очень.
В первую очередь думаю о негативных последствиях постменопаузального остеопороза (такая форма позвонков при патологической их компрессии вполне возможна).
Для примера картинка....
Болезни ног: виды, симптомы, причины, профилактика и лечение
+
=
1 - если ТАКИЕ контуры считаются чёткими, то нечёткие - те что не видно??
2 - элементы склероза РАЗРУШЕННОЙ замыкат. пластинки (с учётом возраста - субхондрально склерозированной!)!
3 - остеопороз остеопорозом - но диск бы отсутствовал (для таких размеров грыжи)!
4 - на Т-грамме не понравились замыкат. пластинки (больше краниальная) И L6 (И смежные L2, L3 - в последних, возможно, грыжевые вдавления)...
--> рекомендовал бы остеосцинтиграфию >> КТ/МРТ...
--------------
"Просто, по видимости, не видеть логики в очевидных вещах - это тоже одно из свойств некоторых умов, наряду с грустными думами о свойствах ума других." © Vega 08/10/2011
Поддерживаю, контур не четкий. КТ, МРТ.
А кто тут против КТ или МРТ?....таковых не замечено...а так - у каждого свое ВИДЕНИЕ и ВЕДЕНЕЕ...для того мы тут и собрались....чтобы найти решение тех или иных проблем, наиболее отвечающее достоверному.
Болезни ног: виды, симптомы, причины, профилактика и лечение
Сколиоз, остеохондроз, большая красивая центральная грыжа Шморля и сужение межпозвонковых отверстий. Вполне достаточно для клиники радикулита.
КТ и МРТ для подтверждения всего этого? Можно. А смысл именно в данном конкретном случае? Ну отметят компрессию корешка, так её и по снимкам и томограммам косвенно можно увидеть. Только ради исключения деструкции? Или боли от МРТ/КТ пройдут? Но для успокоения пациентки - тут, несомненно, можно и порекомендовать.
Направление было на рентгенографию поясничного отдела с целью исключить деструкцию и подтвердить дегенеративные изменения. Валентин Львович, по-моему, приведённые исследования достаточно полные для заключения.
Здравствуйте!
Полность согласен с Вами по поводу достаточности для заключения и назначения симптоматического лечения.
Здорово Вы всё по полочкам!.. и деструкции не боитесь... По линейной Т-грамме исключили! Вот и КТ не нужна стала!..
--------------
"Просто, по видимости, не видеть логики в очевидных вещах - это тоже одно из свойств некоторых умов, наряду с грустными думами о свойствах ума других." © Vega 08/10/2011
хотелось бы всетаки увидеть КТ
А, КТ - не будет. Нет у нас КТ
Дорогой Маскималист! Вы вычленяете цитату из текста с искажением её смысла.
Вы пишете о нечеткости контура, склерозировании, но не предлагаете своего варианта диагноза. Я даю своё заключение, которое может быть ошибочным! Какое бы Вы дали заключение в таком случае, учитывая, что сделаны рентгенограммы и линейная томография, а КТ и МРТ в городе нет?
+
=
надеюсь, теперь смысл не искажён!.. А моё мнение - выделено жирным шрифтом.
PS. - исключить деструкцию по одной (срединной) Т(слой)-грамме (среднего качества - в данном случае) на фоне такого остеопороза - снимаю шляпу!
--------------
"Просто, по видимости, не видеть логики в очевидных вещах - это тоже одно из свойств некоторых умов, наряду с грустными думами о свойствах ума других." © Vega 08/10/2011
Вы считаете, что нельзя давать заключения по 2-м рентгенограммам и 1-й линейной томограмме. Что этого недостаточно для заключения. Наденьте шляпу, ответ принят.
Этак можно сделать интересный "выводок", что позвоночник можно исследовать только на КТ, а классическая рентгенография должно уйти в забвение?
Я думаю, что коллега Максималист считает, что одного срединного среза линейной томографии недостаточно для исключения деструкции. Тут я с ним согласна. И только тут.
А, что возникал вопрос о деструкции?
Но у коллег, видимо, возникли вопросы, чем вызвана деформация контура, относительная его нечеткость... А споры по поводу обоснований направления на КТ будут всегда. С одной стороны, КТ - это не скрининг, всем пациентам с радикулопатиями и ишалгиями её не сделаешь... С другой - боязнь пропустить деструкцию. Поиск "золотой середины" упростится в повсеместным внедрением КТ, может быть
. Но я знаю коллег, которые уверены, что рентгенография суставов - прошлый век, нужны УЗИ и МРТ. Я своё мнение по Вашему случаю высказала. Убеждена, что на этом сайте есть много интересных случаев и интересных мнений. Но у каждого своё вИдение, аргументы и доводы. В ближайшие годы без рентгенографии никак не обойтись. Если в клинике есть другие способы обследования - великолепно. Но если нет, то работаем с тем, что имеется. И, по-моему, большинство справляется, учитывает ошибки на будущее, но своё дело любит. Это - главное.
Вы предполагаете, что в каждом ЛПУ, пусть в ближайшие 5 лет, будет КТ?
Мечтаю. Было бы великолепно!!!
Но, "надежды юношей питают".
Я, что-то в такой расклад слабо верю, даже с учетом дого, что наша область довольно богата, и в областном центре "этого добра", даже выше крыши, что в ГУЗах, что в многочисленных платных кабинетах и диагностических центрах.