You are here

Патологический процесс гортани.

Пол пациента: 
Методы исследования: 

Уважаемые коллеги!

 

Приводимый случай из практики, прислан нашим коллегой Лодатко Кириллом Игоревичем, заведующим рентгенологическим отделением ММ ЛПУ "Интинская ЦГБ".

1.JPG
1.JPG
2.JPG
2.JPG

 

 

В сопроводительной (повествовательной части) доктор указывает, что 21 апреля 2008 года пациенту была сделана томография гортани – иллюстрации 1, 2, 3, 4, 5.

3.JPG
3.JPG
4.JPG
4.JPG

 

 

На данных иллюстрациях определяется парез голосовых связок при функциональных пробах, и небольшое образование в подскладочном пространстве слева. В силу социального статуса пациент от  поездки в Республиканский онкологический диспансер отказался.

5.JPG
5.JPG
6.JPG
6.JPG

 

 

5 ноября 2008 была сделана повторная томография гортани – иллюстрации 6, 7, 8, 9.

7.JPG
7.JPG
8.JPG
8.JPG

 

 

На снимках определяется увеличение размеров образования с переходом его на левую голосовую складку.

9.JPG
9.JPG
10.JPG
10.JPG

 

 

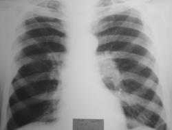
24.10.08 г. пациенту был сделан обзорный снимок органов грудной полости, на котором вызвало смущение расширение левого корня и некоторая не структурность правого корня.

11.JPG
11.JPG
12.JPG
12.JPG

 

Были проведены томограммы. На томограммах определяется некоторое сужение промежуточного бронха (справа) и наличие очаговоподобной тени в верхнем легочном поле с «дорожкой» к корню лёгкого.

13.JPG
13.JPG
14.JPG
14.JPG

 

Несколько латеральнее определяется линейное снижение прозрачности легочной ткани (инфильтрация?). Левый корень без особенностей.

15.JPG
15.JPG
16.jpg
16.jpg

 

 

 

Просьба коллег высказать своё мнение по поводу представленного патологического процесса.

AttachmentSize
Image icon 1.JPG40.87 KB
Image icon 2.JPG49.57 KB
Image icon 3.JPG44.4 KB
Image icon 4.JPG47.38 KB
Image icon 5.JPG48.51 KB
Image icon 6.JPG40.76 KB
Image icon 7.JPG41.9 KB
Image icon 8.JPG36 KB
Image icon 9.JPG48.35 KB
Image icon 10.JPG63.9 KB
Image icon 11.JPG38.61 KB
Image icon 12.JPG49.32 KB
Image icon 13.JPG39.91 KB
Image icon 14.JPG39.69 KB
Image icon 15.JPG60.5 KB
Image icon 16.jpg29.73 KB
Катенёв Валентин Львович's picture
Offline
Last seen: 7 years 3 months ago
Joined: 22.03.2008 - 22:15
Posts: 54876

По поводу «культи» справа комментарии излишни. Конечно, смущает «обеднение» тени правого корня – производство правой боковой рентгенограммы обязательно, не только с учётом именно «обеднения» тени правого корня, но и с повышением прозрачности правого лёгочного поля. Возможно, я подчеркиваю, возможно, что на боковой рентгенограмме может «выплыть» ателектазированная нижняя доля правого лёгкого. По поводу очаговой тени справа в верхнем легочном поле – мысли в сторону туберкулёза не идут в сторону Са – возможно. Учитывая «динамику» на томограммах гортани, о раке не думается, думается о воспалительном процессе, а ЛОР смотрел? Возможно, сформировался абсцесс.

Rg-Doc's picture
Offline
Last seen: 8 years 11 months ago
Joined: 22.03.2008 - 12:25
Posts: 333

ЛОР ставит Cr. Больной на вид очень астеничный. В печени по УЗИ округлые образования. Я начинаю склонятся к мысли что очаг справа это что-то по типу солитарного Mts. К тому же у него еще идет массивная кровопотеря, то ли из легких, то ли из варикозно расширеных вен пищевода. Завтра (6.11.08) идет на ФГС (до этого категорически отказывался), посмотрим что там увидят.

По-поводу "культи"... Все таки там имеет место сужение? Значит там тоже какой-то циркулярный процесс?

Катенёв Валентин Львович's picture
Offline
Last seen: 7 years 3 months ago
Joined: 22.03.2008 - 22:15
Posts: 54876

Нужна обязательно правая боковая рентгенограмма. А то, что худой, так он же асоциальный субъект, как я понял.

Rg-Doc's picture
Offline
Last seen: 8 years 11 months ago
Joined: 22.03.2008 - 12:25
Posts: 333

Он скорее малоимущий... Ладно попробуем еще правый бок сделать... Если сделаем я Вам тогда сразу на ящик вышлю, чтобы Вы разместили.

Катенёв Валентин Львович's picture
Offline
Last seen: 7 years 3 months ago
Joined: 22.03.2008 - 22:15
Posts: 54876

Хорошо.

Rg-Doc's picture
Offline
Last seen: 8 years 11 months ago
Joined: 22.03.2008 - 12:25
Posts: 333

Боковой сделать сегодня не успели, больного увезли на ФГДС. Сегодня при описании ТГ гортани обратил внимание на то, что латеральный контур образования гортани выходит за ее пределы в мягкие ткани шеи. Так же донес мысль о возможном абсцессе, но это не укладывается в клинику...

Катенёв Валентин Львович's picture
Offline
Last seen: 7 years 3 months ago
Joined: 22.03.2008 - 22:15
Posts: 54876

Возможно, что такая "динамика" (быстрая) вызвана присоединением к неопластическому процессу "парапроцесса" - воспаления, возможно даже абсцедирования?