You are here

КТ - ОГК. Ваше мнение коллеги?

Пол пациента: 
Тип патологии: 
Методы исследования: 

КТ - ОГК.  Ваше мнение коллеги?

 

 

 

 

 

 

  • https://radiomed.ru/sites/default/files/styles/case_slider_image/public/user/12/012.1ba.jpg?itok=iDIqlYgv
  • https://radiomed.ru/sites/default/files/styles/case_slider_image/public/user/12/013.1ba.vjpg_.jpg?itok=sbqSxaih
  • https://radiomed.ru/sites/default/files/styles/case_slider_image/public/user/12/014.1ba.gvjpg_.jpg?itok=_vRJln-Y
  • https://radiomed.ru/sites/default/files/styles/case_slider_image/public/user/12/015.1bal.gvjpg_.jpg?itok=TmqQRefp
  • https://radiomed.ru/sites/default/files/styles/case_slider_image/public/user/12/016.2.jpga_.jpgy_.jpgg_.jpg?itok=sV1my7t8
  • https://radiomed.ru/sites/default/files/styles/case_slider_image/public/user/12/017.2.jpga_.jpgy_.jpgg_.jpgg_.jpg?itok=QqkKh6or
  • https://radiomed.ru/sites/default/files/styles/case_slider_image/public/user/12/018.2.jpga_.jpgy_.jpg?itok=yec52hua
  • https://radiomed.ru/sites/default/files/styles/case_slider_image/public/user/12/01..3a_1.jpg?itok=afU7sfHc
  • https://radiomed.ru/sites/default/files/styles/case_slider_image/public/user/12/02..3ba_0.jpg?itok=wukWlnH9
  • https://radiomed.ru/sites/default/files/styles/case_slider_image/public/user/12/03..3baarr_0.jpg?itok=ZXblW66X
  • https://radiomed.ru/sites/default/files/styles/case_slider_image/public/user/12/04..3baarrr_0.jpg?itok=TGfnlw8x
  • https://radiomed.ru/sites/default/files/styles/case_slider_image/public/user/12/0.5..3baparrr_0.jpg?itok=Hd_NWIZH
  • https://radiomed.ru/sites/default/files/styles/case_slider_image/public/user/12/06..3bar_0.jpg?itok=CVaCv2Yg
  • https://radiomed.ru/sites/default/files/styles/case_slider_image/public/user/12/07..3barr_0.jpg?itok=dIZWOCzY
  • https://radiomed.ru/sites/default/files/styles/case_slider_image/public/user/12/01...4a.vbkjpg.jpg?itok=Y4SzXi0t
  • https://radiomed.ru/sites/default/files/styles/case_slider_image/public/user/12/02...4a.vbjpg_.jpg?itok=Id0TIDh8
  • https://radiomed.ru/sites/default/files/styles/case_slider_image/public/user/12/03...4a.bjpg_.jpg?itok=y19flTP2
  • https://radiomed.ru/sites/default/files/styles/case_slider_image/public/user/12/04...4a.jpg?itok=_XB6D1xJ
  • https://radiomed.ru/sites/default/files/styles/case_slider_image/public/user/12/01....1balnr6.egvjpg.jpg?itok=JkJ6QAdW
  • https://radiomed.ru/sites/default/files/styles/case_slider_image/public/user/12/02....1baln6.egvjpg.jpg?itok=zdthrN6V
  • https://radiomed.ru/sites/default/files/styles/case_slider_image/public/user/12/03....1bal6.egvjpg.jpg?itok=Sh8UjcbT
  • https://radiomed.ru/sites/default/files/styles/case_slider_image/public/user/12/04....1bal6.gvjpg_.jpg?itok=aP_17FwM
  • https://radiomed.ru/sites/default/files/styles/case_slider_image/public/user/12/01..5ab.jpg?itok=POXPYxoD
  • https://radiomed.ru/sites/default/files/styles/case_slider_image/public/user/12/02..5abv.jpg?itok=LzKoY1Xt
  • https://radiomed.ru/sites/default/files/styles/case_slider_image/public/user/12/03..5abvka.jpg?itok=NUKQqr2X
  • https://radiomed.ru/sites/default/files/styles/case_slider_image/public/user/12/04..5abvkak.ajpg_.jpg?itok=yulW24sT
  • https://radiomed.ru/sites/default/files/styles/case_slider_image/public/user/12/05..5abvkakvek.ajpg_.jpg?itok=BOLwl_AR
  • https://radiomed.ru/sites/default/files/styles/case_slider_image/public/user/12/06..5abvkpakvek.ajpg_.jpg?itok=yq0B8sH6
  • https://radiomed.ru/sites/default/files/styles/case_slider_image/public/user/12/07..5abvkppakvekk.ajpg_.jpg?itok=4RCc4UsA
  • https://radiomed.ru/sites/default/files/styles/case_slider_image/public/user/12/08..5abvkppeakvekkk.ajpg_.jpg?itok=wqiUXwef
  • https://radiomed.ru/sites/default/files/styles/case_slider_image/public/user/12/01...6a.bbjpg_.jpg?itok=kEqZ-6J6
  • https://radiomed.ru/sites/default/files/styles/case_slider_image/public/user/12/02...6a.bbjnpvg.jpg?itok=B3XPg0ct
  • https://radiomed.ru/sites/default/files/styles/case_slider_image/public/user/12/03..6a.bbjnnpnvg.jpg?itok=Y66KXSZZ
  • https://radiomed.ru/sites/default/files/styles/case_slider_image/public/user/12/04..6a.bbjnnnpnnvg.jpg?itok=eQ0k8Eub
  • https://radiomed.ru/sites/default/files/styles/case_slider_image/public/user/12/05..6a.bbjnnnnpnnvg.jpg?itok=1eCt9sY-
  • https://radiomed.ru/sites/default/files/styles/case_slider_image/public/user/12/06..6a.bbjnnnunpnnvg.jpg?itok=DKeTMwTr
  • https://radiomed.ru/sites/default/files/styles/case_slider_image/public/user/12/07..6a.bbjnnnnunpnnvg.jpg?itok=3lZWfDs1
  • https://radiomed.ru/sites/default/files/styles/case_slider_image/public/user/12/08..6a.bbjnnnnnunpnnvg.jpg?itok=H4lFyTgq
  • https://radiomed.ru/sites/default/files/styles/case_slider_image/public/user/12/09..6a.bbjnnnnnnunpnnvg.jpg?itok=N4bVLMVW
ID:6971
dok-a's picture
Offline
Last seen: 11 months 3 weeks ago
Joined: 14.02.2009 - 19:31
Posts: 623

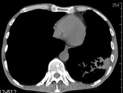
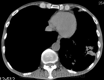
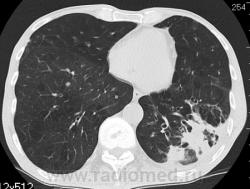
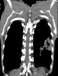
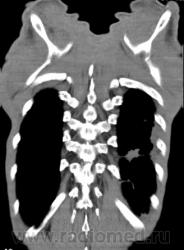
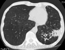
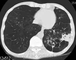
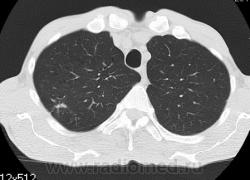
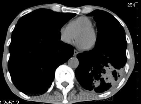
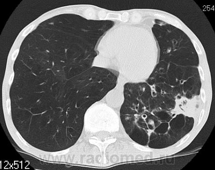
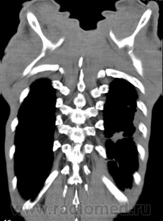
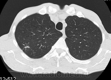
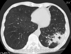
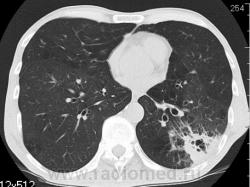
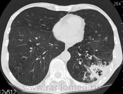
На фоне консолидации полость без содержимого. Может быть всё что угодно, что сопровождается деструкцией. Нужны ещё томограммы в лёгочном окне.

Катенёв Валентин Львович's picture
Offline
Last seen: 7 years 3 months ago
Joined: 22.03.2008 - 22:15
Posts: 54876

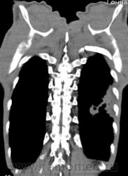
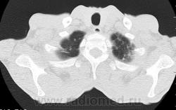
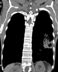
Изображения выставлены все. Ваше мнение уважаемые коллеги?

ЛГ's picture
Offline
Last seen: 9 years 1 month ago
Joined: 06.01.2010 - 12:31
Posts: 3523

Туберкулёз.

Катенёв Валентин Львович's picture
Offline
Last seen: 7 years 3 months ago
Joined: 22.03.2008 - 22:15
Posts: 54876

goncharovakuraeva wrote:

Туберкулёз.

Туберкулёз?

Интересно!

Может быть кто-то еще добавит мнение.

Катенёв Валентин Львович's picture
Offline
Last seen: 7 years 3 months ago
Joined: 22.03.2008 - 22:15
Posts: 54876

Спасибо за высказанное мнение коллега!

Это КТ 2-летней давности и попало оно мне в руки, после недавнего прохождения контроля пациентом, когда мы стали перед вопросом о специфическом / не специфическом процессе.

Тогда, пациента 2 месяца лечили от пневмонии, лечили интенсивности, стационарно, в серьёзном учреждении.

Makcimalist's picture
Offline
Last seen: 11 years 11 months ago
Joined: 08.05.2010 - 14:28
Posts: 1994

 А что же (выросло) на Rg-контроле?..

--------------

"Просто, по видимости, не видеть логики в очевидных вещах - это тоже одно из свойств некоторых умов, наряду с грустными думами о свойствах ума других."  © Vega 08/10/2011

Катенёв Валентин Львович's picture
Offline
Last seen: 7 years 3 months ago
Joined: 22.03.2008 - 22:15
Posts: 54876

В этом году пациент взят на "контроль"

Прямая и "семерка".

 

 

Приложения: 
1..k..11a.jpg2..k..1e.jpg3..k.11abv.jpg4..k.11abva.jpg5..k..11abv-1.jpg6..k..11abv-1a.jpg
Катенёв Валентин Львович's picture
Offline
Last seen: 7 years 3 months ago
Joined: 22.03.2008 - 22:15
Posts: 54876

6 и 9 срезы.

 

Приложения: 
1...11abvgd.jpg2...11abvgda.jpg3...11abvg.jpg4...11abvga.jpg5...11abvg-1.jpg6...11abvg-1a.jpg
ЛГ's picture
Offline
Last seen: 9 years 1 month ago
Joined: 06.01.2010 - 12:31
Posts: 3523

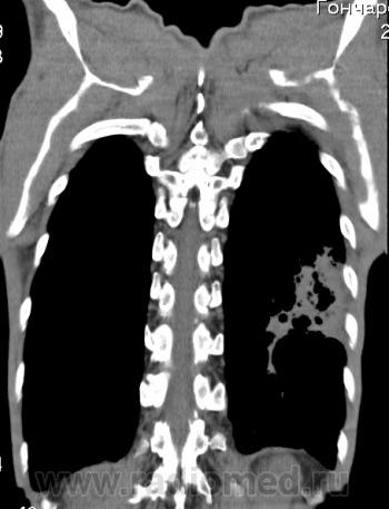
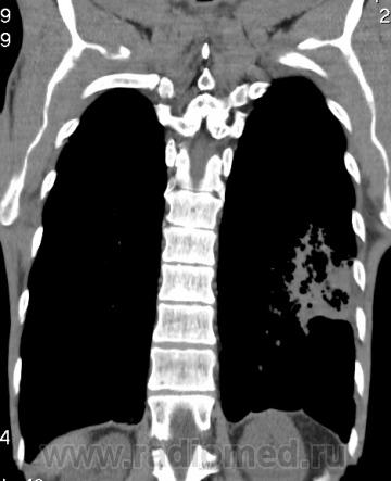
Нет опыта работы на цифровых аппаратах: дефекты правого нижнего лёгочного поля объясняются артефактами?

Вячеслав's picture
Offline
Last seen: 5 years 9 months ago
Joined: 01.04.2010 - 19:56
Posts: 209

Здрвст., Валентин. Было ли продолжение истории? Контроль в динамике, что показал?

rum's picture
rum
Offline
Last seen: 7 years 5 months ago
Joined: 01.01.2016 - 03:42
Posts: 19

Предположу аспергиллез

Вячеслав's picture
Offline
Last seen: 5 years 9 months ago
Joined: 01.04.2010 - 19:56
Posts: 209

rum wrote:

Предположу аспергиллез

 Почему? Признаки?