You are here

Образования правой доли печени

Пол пациента: 
Тип патологии: 
Область исследования: 
Методы исследования: 

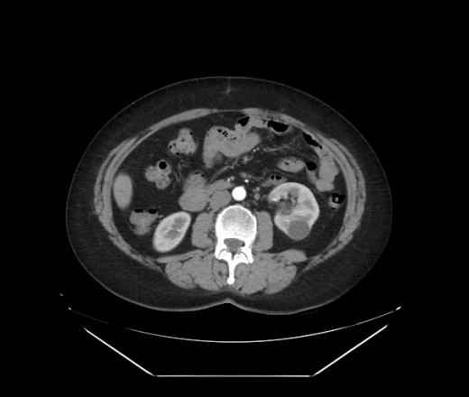
Женщина направлена по поводу кист левой почки, подготовка к перативному лечению. Случайная находка в правой доле печени: два подкапсульных образования с обызвествлением стенки, и очаг понижения плотности визуализирующийся только в венозную фазу.

  • https://radiomed.ru/sites/default/files/styles/case_slider_image/public/user/19498/img-0002-00001_72.jpg?itok=QY2JOCOV
  • https://radiomed.ru/sites/default/files/styles/case_slider_image/public/user/19498/img-0002-00002_54.jpg?itok=cBAtjyqp
  • https://radiomed.ru/sites/default/files/styles/case_slider_image/public/user/19498/img-0002-00003_54.jpg?itok=HdsVnOjg
  • https://radiomed.ru/sites/default/files/styles/case_slider_image/public/user/19498/img-0002-00004_54.jpg?itok=xzZ_4O1f
  • https://radiomed.ru/sites/default/files/styles/case_slider_image/public/user/19498/img-0002-00005_54.jpg?itok=-PLjlUf6
  • https://radiomed.ru/sites/default/files/styles/case_slider_image/public/user/19498/img-0002-00006_54.jpg?itok=6CbG_0Wp
  • https://radiomed.ru/sites/default/files/styles/case_slider_image/public/user/19498/img-0002-00007_54.jpg?itok=i4o9h2OW
  • https://radiomed.ru/sites/default/files/styles/case_slider_image/public/user/19498/img-0002-00008_54.jpg?itok=B1WvLiWi
  • https://radiomed.ru/sites/default/files/styles/case_slider_image/public/user/19498/img-0002-00009_54.jpg?itok=yINu5ksP
  • https://radiomed.ru/sites/default/files/styles/case_slider_image/public/user/19498/img-0002-00010_55.jpg?itok=ExSA0QGO
  • https://radiomed.ru/sites/default/files/styles/case_slider_image/public/user/19498/img-0002-00011_57.jpg?itok=K3Ehbbzm
  • https://radiomed.ru/sites/default/files/styles/case_slider_image/public/user/19498/img-0002-00012_58.jpg?itok=VV1ffqMH
  • https://radiomed.ru/sites/default/files/styles/case_slider_image/public/user/19498/img-0002-00013_59.jpg?itok=yq8Q6Jhw
  • https://radiomed.ru/sites/default/files/styles/case_slider_image/public/user/19498/img-0002-00014_60.jpg?itok=6xOKQrMT
  • https://radiomed.ru/sites/default/files/styles/case_slider_image/public/user/19498/img-0002-00015_60.jpg?itok=sl-41cce
  • https://radiomed.ru/sites/default/files/styles/case_slider_image/public/user/19498/img-0002-00016_60.jpg?itok=BSVpjT97
  • https://radiomed.ru/sites/default/files/styles/case_slider_image/public/user/19498/img-0002-00017_61.jpg?itok=kTmYpxpc
  • https://radiomed.ru/sites/default/files/styles/case_slider_image/public/user/19498/img-0002-00018_61.jpg?itok=vX1QGwqz
  • https://radiomed.ru/sites/default/files/styles/case_slider_image/public/user/19498/img-0002-00019_62.jpg?itok=Zzv18IDj
  • https://radiomed.ru/sites/default/files/styles/case_slider_image/public/user/19498/img-0002-00020_62.jpg?itok=8d3-JgIy
  • https://radiomed.ru/sites/default/files/styles/case_slider_image/public/user/19498/img-0002-00021_64.jpg?itok=8VRPnz40
  • https://radiomed.ru/sites/default/files/styles/case_slider_image/public/user/19498/img-0002-00022_65.jpg?itok=B4jMxuBD
  • https://radiomed.ru/sites/default/files/styles/case_slider_image/public/user/19498/img-0002-00023_65.jpg?itok=q5ou54wF
  • https://radiomed.ru/sites/default/files/styles/case_slider_image/public/user/19498/img-0002-00024_65.jpg?itok=gfFn3FAQ
  • https://radiomed.ru/sites/default/files/styles/case_slider_image/public/user/19498/img-0002-00025_66.jpg?itok=JrXXCo2r
  • https://radiomed.ru/sites/default/files/styles/case_slider_image/public/user/19498/img-0002-00026_66.jpg?itok=hn8swaLL
  • https://radiomed.ru/sites/default/files/styles/case_slider_image/public/user/19498/img-0002-00027_67.jpg?itok=qA6lc3bG
  • https://radiomed.ru/sites/default/files/styles/case_slider_image/public/user/19498/img-0002-00028_67.jpg?itok=B8S_A0qB
  • https://radiomed.ru/sites/default/files/styles/case_slider_image/public/user/19498/img-0002-00029_67.jpg?itok=e3KL9cE8
  • https://radiomed.ru/sites/default/files/styles/case_slider_image/public/user/19498/img-0002-00030_67.jpg?itok=YrYVToQ6
  • https://radiomed.ru/sites/default/files/styles/case_slider_image/public/user/19498/img-0002-00031_67.jpg?itok=QtNbBtLf
  • https://radiomed.ru/sites/default/files/styles/case_slider_image/public/user/19498/img-0002-00032_67.jpg?itok=YCBCujik
  • https://radiomed.ru/sites/default/files/styles/case_slider_image/public/user/19498/img-0002-00033_67.jpg?itok=Q65FJsDD
  • https://radiomed.ru/sites/default/files/styles/case_slider_image/public/user/19498/img-0002-00034_67.jpg?itok=X7dwle4A
  • https://radiomed.ru/sites/default/files/styles/case_slider_image/public/user/19498/img-0002-00035_67.jpg?itok=WaiwNnm2
  • https://radiomed.ru/sites/default/files/styles/case_slider_image/public/user/19498/img-0002-00036_67.jpg?itok=OyxRFdK-
  • https://radiomed.ru/sites/default/files/styles/case_slider_image/public/user/19498/img-0002-00037_67.jpg?itok=em0gDfdN
  • https://radiomed.ru/sites/default/files/styles/case_slider_image/public/user/19498/img-0002-00038_67.jpg?itok=irlYV7d4
  • https://radiomed.ru/sites/default/files/styles/case_slider_image/public/user/19498/img-0002-00039_67.jpg?itok=luNCoNGl
  • https://radiomed.ru/sites/default/files/styles/case_slider_image/public/user/19498/img-0002-00040_66.jpg?itok=-St5ElxE
  • https://radiomed.ru/sites/default/files/styles/case_slider_image/public/user/19498/img-0002-00041_66.jpg?itok=RVBEt52K
  • https://radiomed.ru/sites/default/files/styles/case_slider_image/public/user/19498/img-0002-00042_66.jpg?itok=dxsF-ris
  • https://radiomed.ru/sites/default/files/styles/case_slider_image/public/user/19498/img-0002-00043_66.jpg?itok=d5zMndbC
  • https://radiomed.ru/sites/default/files/styles/case_slider_image/public/user/19498/img-0002-00044_66.jpg?itok=FK0e9JmN
  • https://radiomed.ru/sites/default/files/styles/case_slider_image/public/user/19498/img-0002-00045_66.jpg?itok=rpYOdglx
  • https://radiomed.ru/sites/default/files/styles/case_slider_image/public/user/19498/img-0002-00046_66.jpg?itok=_04PxIwr
  • https://radiomed.ru/sites/default/files/styles/case_slider_image/public/user/19498/img-0002-00047_66.jpg?itok=si9X3URC
  • https://radiomed.ru/sites/default/files/styles/case_slider_image/public/user/19498/img-0002-00048_66.jpg?itok=Iax9O6xl
  • https://radiomed.ru/sites/default/files/styles/case_slider_image/public/user/19498/img-0002-00049_66.jpg?itok=7_kAIgHO
  • https://radiomed.ru/sites/default/files/styles/case_slider_image/public/user/19498/img-0002-00050_66.jpg?itok=gCyVHN6q
  • https://radiomed.ru/sites/default/files/styles/case_slider_image/public/user/19498/img-0002-00051_66.jpg?itok=mFehsicW
  • https://radiomed.ru/sites/default/files/styles/case_slider_image/public/user/19498/img-0002-00052_66.jpg?itok=1dQ5JqoS
  • https://radiomed.ru/sites/default/files/styles/case_slider_image/public/user/19498/img-0002-00053_66.jpg?itok=I2jNVSs7
  • https://radiomed.ru/sites/default/files/styles/case_slider_image/public/user/19498/img-0002-00054_66.jpg?itok=9o2UuF9y
  • https://radiomed.ru/sites/default/files/styles/case_slider_image/public/user/19498/img-0002-00055_66.jpg?itok=sakFE5IZ
  • https://radiomed.ru/sites/default/files/styles/case_slider_image/public/user/19498/img-0002-00056_66.jpg?itok=0dEo6Anv
  • https://radiomed.ru/sites/default/files/styles/case_slider_image/public/user/19498/img-0002-00057_66.jpg?itok=ofvlyul6
  • https://radiomed.ru/sites/default/files/styles/case_slider_image/public/user/19498/img-0002-00058_65.jpg?itok=A_9B_OtV
  • https://radiomed.ru/sites/default/files/styles/case_slider_image/public/user/19498/img-0002-00059_65.jpg?itok=NMkad-LC
  • https://radiomed.ru/sites/default/files/styles/case_slider_image/public/user/19498/img-0002-00060_65.jpg?itok=qQCSK15v
  • https://radiomed.ru/sites/default/files/styles/case_slider_image/public/user/19498/img-0002-00061_65.jpg?itok=KEqciLhj
  • https://radiomed.ru/sites/default/files/styles/case_slider_image/public/user/19498/img-0002-00062_65.jpg?itok=TTsD2y02
  • https://radiomed.ru/sites/default/files/styles/case_slider_image/public/user/19498/img-0002-00063_65.jpg?itok=OjicmW5H
  • https://radiomed.ru/sites/default/files/styles/case_slider_image/public/user/19498/img-0002-00064_65.jpg?itok=3xtPgZwc
  • https://radiomed.ru/sites/default/files/styles/case_slider_image/public/user/19498/img-0002-00065_65.jpg?itok=KMmzRX1w
  • https://radiomed.ru/sites/default/files/styles/case_slider_image/public/user/19498/img-0002-00066_66.jpg?itok=LymxCQ_B
  • https://radiomed.ru/sites/default/files/styles/case_slider_image/public/user/19498/img-0002-00067_66.jpg?itok=8GseRMYx
  • https://radiomed.ru/sites/default/files/styles/case_slider_image/public/user/19498/img-0002-00068_66.jpg?itok=lOXMT0Vb
  • https://radiomed.ru/sites/default/files/styles/case_slider_image/public/user/19498/img-0002-00069_66.jpg?itok=taz0uieM
  • https://radiomed.ru/sites/default/files/styles/case_slider_image/public/user/19498/img-0002-00070_66.jpg?itok=LeQUvg47
  • https://radiomed.ru/sites/default/files/styles/case_slider_image/public/user/19498/img-0002-00071_65.jpg?itok=pOV0Z6JQ
  • https://radiomed.ru/sites/default/files/styles/case_slider_image/public/user/19498/img-0002-00072_65.jpg?itok=rMuVCzEw
  • https://radiomed.ru/sites/default/files/styles/case_slider_image/public/user/19498/img-0002-00073_65.jpg?itok=K4J8-XQt
  • https://radiomed.ru/sites/default/files/styles/case_slider_image/public/user/19498/img-0002-00074_65.jpg?itok=3jDStLEk
  • https://radiomed.ru/sites/default/files/styles/case_slider_image/public/user/19498/img-0002-00075_64.jpg?itok=unIQE_ei
  • https://radiomed.ru/sites/default/files/styles/case_slider_image/public/user/19498/img-0002-00076_63.jpg?itok=VFnMgg-9
  • https://radiomed.ru/sites/default/files/styles/case_slider_image/public/user/19498/img-0002-00077_63.jpg?itok=feBKhJ4E
  • https://radiomed.ru/sites/default/files/styles/case_slider_image/public/user/19498/img-0002-00078_62.jpg?itok=gVhkeu32
  • https://radiomed.ru/sites/default/files/styles/case_slider_image/public/user/19498/img-0002-00079_63.jpg?itok=LlPnvdxS
  • https://radiomed.ru/sites/default/files/styles/case_slider_image/public/user/19498/img-0002-00080_63.jpg?itok=v4BM3Qh6
  • https://radiomed.ru/sites/default/files/styles/case_slider_image/public/user/19498/img-0002-00081_63.jpg?itok=UOquC5KQ
  • https://radiomed.ru/sites/default/files/styles/case_slider_image/public/user/19498/img-0002-00082_63.jpg?itok=VwZNCCJa
  • https://radiomed.ru/sites/default/files/styles/case_slider_image/public/user/19498/img-0002-00083_64.jpg?itok=qGBuZgRm
  • https://radiomed.ru/sites/default/files/styles/case_slider_image/public/user/19498/img-0002-00084_64.jpg?itok=dYiGBBXq
  • https://radiomed.ru/sites/default/files/styles/case_slider_image/public/user/19498/img-0002-00085_63.jpg?itok=OJGqP6TE
  • https://radiomed.ru/sites/default/files/styles/case_slider_image/public/user/19498/img-0002-00086_62.jpg?itok=0EK2umvq
  • https://radiomed.ru/sites/default/files/styles/case_slider_image/public/user/19498/img-0002-00087_62.jpg?itok=rr1q8Uod
  • https://radiomed.ru/sites/default/files/styles/case_slider_image/public/user/19498/img-0002-00088_62.jpg?itok=nFS6Cl8S
  • https://radiomed.ru/sites/default/files/styles/case_slider_image/public/user/19498/img-0002-00089_62.jpg?itok=ayCG27jZ
  • https://radiomed.ru/sites/default/files/styles/case_slider_image/public/user/19498/img-0002-00090_62.jpg?itok=u-DktkPN
  • https://radiomed.ru/sites/default/files/styles/case_slider_image/public/user/19498/img-0002-00091_61.jpg?itok=sTYyD6KM
  • https://radiomed.ru/sites/default/files/styles/case_slider_image/public/user/19498/img-0002-00092_60.jpg?itok=R1xHEJ9D
  • https://radiomed.ru/sites/default/files/styles/case_slider_image/public/user/19498/img-0002-00093_59.jpg?itok=dDqSPa2h
  • https://radiomed.ru/sites/default/files/styles/case_slider_image/public/user/19498/img-0002-00094_59.jpg?itok=ogFWMBQP
  • https://radiomed.ru/sites/default/files/styles/case_slider_image/public/user/19498/img-0002-00095_59.jpg?itok=zHv_1JJG
  • https://radiomed.ru/sites/default/files/styles/case_slider_image/public/user/19498/img-0002-00096_59.jpg?itok=4kUazrIv
  • https://radiomed.ru/sites/default/files/styles/case_slider_image/public/user/19498/img-0002-00097_55.jpg?itok=zMdhpRB1
  • https://radiomed.ru/sites/default/files/styles/case_slider_image/public/user/19498/img-0002-00098_54.jpg?itok=t9qncSHe
  • https://radiomed.ru/sites/default/files/styles/case_slider_image/public/user/19498/img-0002-00099_54.jpg?itok=CwQhNxXz
  • https://radiomed.ru/sites/default/files/styles/case_slider_image/public/user/19498/img-0002-00100_55.jpg?itok=FQ7yUJla
  • https://radiomed.ru/sites/default/files/styles/case_slider_image/public/user/19498/img-0002-00101_44.jpg?itok=klB3v_qc
  • https://radiomed.ru/sites/default/files/styles/case_slider_image/public/user/19498/img-0002-00102_44.jpg?itok=O6spCeQo
  • https://radiomed.ru/sites/default/files/styles/case_slider_image/public/user/19498/img-0002-00103_44.jpg?itok=O1MUqoOt
  • https://radiomed.ru/sites/default/files/styles/case_slider_image/public/user/19498/img-0002-00104_41.jpg?itok=BduiQd0F
  • https://radiomed.ru/sites/default/files/styles/case_slider_image/public/user/19498/img-0002-00105_40.jpg?itok=EIOw2HsX
  • https://radiomed.ru/sites/default/files/styles/case_slider_image/public/user/19498/img-0002-00106_37.jpg?itok=y51myPZE
  • https://radiomed.ru/sites/default/files/styles/case_slider_image/public/user/19498/img-0002-00107_37.jpg?itok=XOrABK4w
  • https://radiomed.ru/sites/default/files/styles/case_slider_image/public/user/19498/img-0002-00108_35.jpg?itok=NgicnsAD
  • https://radiomed.ru/sites/default/files/styles/case_slider_image/public/user/19498/img-0002-00109_32.jpg?itok=4PM3IehL
  • https://radiomed.ru/sites/default/files/styles/case_slider_image/public/user/19498/img-0002-00110_30.jpg?itok=_ReQrCu_
  • https://radiomed.ru/sites/default/files/styles/case_slider_image/public/user/19498/img-0003-00001_42.jpg?itok=B4dCeeip
  • https://radiomed.ru/sites/default/files/styles/case_slider_image/public/user/19498/img-0003-00002_14.jpg?itok=Am6OGJfe
  • https://radiomed.ru/sites/default/files/styles/case_slider_image/public/user/19498/img-0003-00003_14.jpg?itok=ne7YXNat
  • https://radiomed.ru/sites/default/files/styles/case_slider_image/public/user/19498/img-0003-00004_14.jpg?itok=7SDIkUfH
  • https://radiomed.ru/sites/default/files/styles/case_slider_image/public/user/19498/img-0003-00005_14.jpg?itok=D0oKCqkU
  • https://radiomed.ru/sites/default/files/styles/case_slider_image/public/user/19498/img-0003-00006_14.jpg?itok=puhvq8vS
  • https://radiomed.ru/sites/default/files/styles/case_slider_image/public/user/19498/img-0003-00007_14.jpg?itok=1PA4oW7t
  • https://radiomed.ru/sites/default/files/styles/case_slider_image/public/user/19498/img-0003-00008_14.jpg?itok=BM7nrHgZ
  • https://radiomed.ru/sites/default/files/styles/case_slider_image/public/user/19498/img-0003-00009_15.jpg?itok=algT1LlI
  • https://radiomed.ru/sites/default/files/styles/case_slider_image/public/user/19498/img-0003-00010_15.jpg?itok=3GAprfxJ
  • https://radiomed.ru/sites/default/files/styles/case_slider_image/public/user/19498/img-0003-00011_15.jpg?itok=zhrT1k59
  • https://radiomed.ru/sites/default/files/styles/case_slider_image/public/user/19498/img-0003-00012_15.jpg?itok=qL3C5gEO
  • https://radiomed.ru/sites/default/files/styles/case_slider_image/public/user/19498/img-0003-00013_15.jpg?itok=l-Nexfz4
  • https://radiomed.ru/sites/default/files/styles/case_slider_image/public/user/19498/img-0003-00014_16.jpg?itok=8lxYZdJw
  • https://radiomed.ru/sites/default/files/styles/case_slider_image/public/user/19498/img-0003-00015_16.jpg?itok=6i9eTGe5
  • https://radiomed.ru/sites/default/files/styles/case_slider_image/public/user/19498/img-0003-00016_17.jpg?itok=Gi9rG7vD
  • https://radiomed.ru/sites/default/files/styles/case_slider_image/public/user/19498/img-0003-00017_17.jpg?itok=P7CREDzz
  • https://radiomed.ru/sites/default/files/styles/case_slider_image/public/user/19498/img-0003-00018_17.jpg?itok=g_ToWe1r
  • https://radiomed.ru/sites/default/files/styles/case_slider_image/public/user/19498/img-0003-00019_17.jpg?itok=sYn02uLE
  • https://radiomed.ru/sites/default/files/styles/case_slider_image/public/user/19498/img-0003-00020_17.jpg?itok=od4p0eQO
  • https://radiomed.ru/sites/default/files/styles/case_slider_image/public/user/19498/img-0003-00021_17.jpg?itok=cBIWwOPN
  • https://radiomed.ru/sites/default/files/styles/case_slider_image/public/user/19498/img-0003-00022_17.jpg?itok=FxOL0Iql
  • https://radiomed.ru/sites/default/files/styles/case_slider_image/public/user/19498/img-0003-00023_17.jpg?itok=f9M-R7qC
  • https://radiomed.ru/sites/default/files/styles/case_slider_image/public/user/19498/img-0003-00024_17.jpg?itok=GYcIpWEW
  • https://radiomed.ru/sites/default/files/styles/case_slider_image/public/user/19498/img-0003-00025_17.jpg?itok=AimSo9r5
  • https://radiomed.ru/sites/default/files/styles/case_slider_image/public/user/19498/img-0003-00026_17.jpg?itok=k9t_W-cR
  • https://radiomed.ru/sites/default/files/styles/case_slider_image/public/user/19498/img-0003-00027_17.jpg?itok=fPVXNt6w
  • https://radiomed.ru/sites/default/files/styles/case_slider_image/public/user/19498/img-0003-00028_17.jpg?itok=GpqO85Wg
  • https://radiomed.ru/sites/default/files/styles/case_slider_image/public/user/19498/img-0003-00029_17.jpg?itok=AG7MZiPm
  • https://radiomed.ru/sites/default/files/styles/case_slider_image/public/user/19498/img-0003-00030_17.jpg?itok=BWL1Tdtg
  • https://radiomed.ru/sites/default/files/styles/case_slider_image/public/user/19498/img-0003-00031_17.jpg?itok=MdaiiLix
  • https://radiomed.ru/sites/default/files/styles/case_slider_image/public/user/19498/img-0003-00032_17.jpg?itok=u5Pu_sZi
  • https://radiomed.ru/sites/default/files/styles/case_slider_image/public/user/19498/img-0003-00033_17.jpg?itok=sJyxCyGw
  • https://radiomed.ru/sites/default/files/styles/case_slider_image/public/user/19498/img-0003-00034_17.jpg?itok=KzvHNzNC
  • https://radiomed.ru/sites/default/files/styles/case_slider_image/public/user/19498/img-0003-00035_18.jpg?itok=KA9VHIn-
  • https://radiomed.ru/sites/default/files/styles/case_slider_image/public/user/19498/img-0003-00036_18.jpg?itok=0KWz69dz
  • https://radiomed.ru/sites/default/files/styles/case_slider_image/public/user/19498/img-0003-00037_18.jpg?itok=cLPz3E2o
  • https://radiomed.ru/sites/default/files/styles/case_slider_image/public/user/19498/img-0003-00038_18.jpg?itok=0Ntzgdg6
  • https://radiomed.ru/sites/default/files/styles/case_slider_image/public/user/19498/img-0003-00039_18.jpg?itok=tZwOKq2B
  • https://radiomed.ru/sites/default/files/styles/case_slider_image/public/user/19498/img-0003-00040_18.jpg?itok=tQKtdI7h
  • https://radiomed.ru/sites/default/files/styles/case_slider_image/public/user/19498/img-0003-00041_18.jpg?itok=bHZ_-Drj
  • https://radiomed.ru/sites/default/files/styles/case_slider_image/public/user/19498/img-0003-00042_18.jpg?itok=LzfDslLI
  • https://radiomed.ru/sites/default/files/styles/case_slider_image/public/user/19498/img-0003-00043_18.jpg?itok=mJ5KBgM7
  • https://radiomed.ru/sites/default/files/styles/case_slider_image/public/user/19498/img-0003-00044_18.jpg?itok=DNvLKyL7
  • https://radiomed.ru/sites/default/files/styles/case_slider_image/public/user/19498/img-0003-00045_17.jpg?itok=Qwpopse0
  • https://radiomed.ru/sites/default/files/styles/case_slider_image/public/user/19498/img-0003-00046_17.jpg?itok=sd2QY3Br
  • https://radiomed.ru/sites/default/files/styles/case_slider_image/public/user/19498/img-0003-00047_17.jpg?itok=I_cWdyDf
  • https://radiomed.ru/sites/default/files/styles/case_slider_image/public/user/19498/img-0003-00048_17.jpg?itok=355qJS8Q
  • https://radiomed.ru/sites/default/files/styles/case_slider_image/public/user/19498/img-0003-00049_18.jpg?itok=jBL1ZeJz
  • https://radiomed.ru/sites/default/files/styles/case_slider_image/public/user/19498/img-0003-00050_18.jpg?itok=i7VmlTsz
  • https://radiomed.ru/sites/default/files/styles/case_slider_image/public/user/19498/img-0003-00051_19.jpg?itok=QjFHIiX5
  • https://radiomed.ru/sites/default/files/styles/case_slider_image/public/user/19498/img-0003-00052_19.jpg?itok=1kvgVkmj
  • https://radiomed.ru/sites/default/files/styles/case_slider_image/public/user/19498/img-0003-00053_19.jpg?itok=AXIB3O7x
  • https://radiomed.ru/sites/default/files/styles/case_slider_image/public/user/19498/img-0003-00054_19.jpg?itok=YCe6F3LB
  • https://radiomed.ru/sites/default/files/styles/case_slider_image/public/user/19498/img-0003-00055_19.jpg?itok=eMbMKJTS
  • https://radiomed.ru/sites/default/files/styles/case_slider_image/public/user/19498/img-0003-00056_19.jpg?itok=UQvzNXo1
  • https://radiomed.ru/sites/default/files/styles/case_slider_image/public/user/19498/img-0003-00057_19.jpg?itok=VTJ0ClKl
  • https://radiomed.ru/sites/default/files/styles/case_slider_image/public/user/19498/img-0003-00058_19.jpg?itok=IITi6ApQ
  • https://radiomed.ru/sites/default/files/styles/case_slider_image/public/user/19498/img-0003-00059_19.jpg?itok=ORoVMrSb
  • https://radiomed.ru/sites/default/files/styles/case_slider_image/public/user/19498/img-0003-00060_19.jpg?itok=9CdtV2yY
  • https://radiomed.ru/sites/default/files/styles/case_slider_image/public/user/19498/img-0003-00061_19.jpg?itok=jb67Ywhq
  • https://radiomed.ru/sites/default/files/styles/case_slider_image/public/user/19498/img-0003-00062_19.jpg?itok=u_2hG7wE
  • https://radiomed.ru/sites/default/files/styles/case_slider_image/public/user/19498/img-0003-00063_19.jpg?itok=YyuBNTBW
  • https://radiomed.ru/sites/default/files/styles/case_slider_image/public/user/19498/img-0003-00064_19.jpg?itok=3oLos3zz
  • https://radiomed.ru/sites/default/files/styles/case_slider_image/public/user/19498/img-0003-00065_18.jpg?itok=7p5jWUy6
  • https://radiomed.ru/sites/default/files/styles/case_slider_image/public/user/19498/img-0003-00066_18.jpg?itok=Ja5q9X31
  • https://radiomed.ru/sites/default/files/styles/case_slider_image/public/user/19498/img-0003-00067_18.jpg?itok=ttlJJY-K
  • https://radiomed.ru/sites/default/files/styles/case_slider_image/public/user/19498/img-0003-00068_18.jpg?itok=Kk1rLb9_
  • https://radiomed.ru/sites/default/files/styles/case_slider_image/public/user/19498/img-0003-00069_18.jpg?itok=7phpKH0x
  • https://radiomed.ru/sites/default/files/styles/case_slider_image/public/user/19498/img-0003-00070_19.jpg?itok=BNsdoGOh
  • https://radiomed.ru/sites/default/files/styles/case_slider_image/public/user/19498/img-0003-00071_19.jpg?itok=TWkUp092
  • https://radiomed.ru/sites/default/files/styles/case_slider_image/public/user/19498/img-0003-00072_19.jpg?itok=bB1b7vR2
  • https://radiomed.ru/sites/default/files/styles/case_slider_image/public/user/19498/img-0003-00073_19.jpg?itok=EuO0Kt3l
  • https://radiomed.ru/sites/default/files/styles/case_slider_image/public/user/19498/img-0003-00074_19.jpg?itok=sYWoltGo
  • https://radiomed.ru/sites/default/files/styles/case_slider_image/public/user/19498/img-0003-00075_19.jpg?itok=q45Kqya4
  • https://radiomed.ru/sites/default/files/styles/case_slider_image/public/user/19498/img-0003-00076_19.jpg?itok=Hp2i-XJh
  • https://radiomed.ru/sites/default/files/styles/case_slider_image/public/user/19498/img-0003-00077_19.jpg?itok=gATXDACO
  • https://radiomed.ru/sites/default/files/styles/case_slider_image/public/user/19498/img-0003-00078_18.jpg?itok=2Z1Klawr
  • https://radiomed.ru/sites/default/files/styles/case_slider_image/public/user/19498/img-0003-00079_18.jpg?itok=W_u4eH4q
  • https://radiomed.ru/sites/default/files/styles/case_slider_image/public/user/19498/img-0003-00080_18.jpg?itok=dw2-i8WL
  • https://radiomed.ru/sites/default/files/styles/case_slider_image/public/user/19498/img-0003-00081_18.jpg?itok=uw27oixu
  • https://radiomed.ru/sites/default/files/styles/case_slider_image/public/user/19498/img-0003-00082_18.jpg?itok=xkcDiP4-
  • https://radiomed.ru/sites/default/files/styles/case_slider_image/public/user/19498/img-0003-00083_18.jpg?itok=3ZXPgLSC
  • https://radiomed.ru/sites/default/files/styles/case_slider_image/public/user/19498/img-0003-00084_18.jpg?itok=I2_HMl8A
  • https://radiomed.ru/sites/default/files/styles/case_slider_image/public/user/19498/img-0003-00085_18.jpg?itok=Yedlxn2b
  • https://radiomed.ru/sites/default/files/styles/case_slider_image/public/user/19498/img-0003-00086_18.jpg?itok=FvBGVFs6
  • https://radiomed.ru/sites/default/files/styles/case_slider_image/public/user/19498/img-0003-00087_18.jpg?itok=GpbQwmu0
  • https://radiomed.ru/sites/default/files/styles/case_slider_image/public/user/19498/img-0003-00088_18.jpg?itok=Y7JRkkB2
  • https://radiomed.ru/sites/default/files/styles/case_slider_image/public/user/19498/img-0003-00089_18.jpg?itok=11nlqyuL
  • https://radiomed.ru/sites/default/files/styles/case_slider_image/public/user/19498/img-0003-00090_18.jpg?itok=2eJkKoQc
  • https://radiomed.ru/sites/default/files/styles/case_slider_image/public/user/19498/img-0003-00091_18.jpg?itok=9B87o1gy
  • https://radiomed.ru/sites/default/files/styles/case_slider_image/public/user/19498/img-0003-00092_18.jpg?itok=jtt9KPKz
  • https://radiomed.ru/sites/default/files/styles/case_slider_image/public/user/19498/img-0003-00093_18.jpg?itok=gx0lo2uc
  • https://radiomed.ru/sites/default/files/styles/case_slider_image/public/user/19498/img-0003-00094_18.jpg?itok=k_i5Txe5
  • https://radiomed.ru/sites/default/files/styles/case_slider_image/public/user/19498/img-0003-00095_18.jpg?itok=aAz8htCC
  • https://radiomed.ru/sites/default/files/styles/case_slider_image/public/user/19498/img-0003-00096_18.jpg?itok=j7hbTsnF
  • https://radiomed.ru/sites/default/files/styles/case_slider_image/public/user/19498/img-0003-00097_17.jpg?itok=CXrf037W
  • https://radiomed.ru/sites/default/files/styles/case_slider_image/public/user/19498/img-0003-00098_16.jpg?itok=jBKm2cNF
  • https://radiomed.ru/sites/default/files/styles/case_slider_image/public/user/19498/img-0003-00099_16.jpg?itok=ctB1Nf5E
  • https://radiomed.ru/sites/default/files/styles/case_slider_image/public/user/19498/img-0003-00100_16.jpg?itok=2GvzVbR3
  • https://radiomed.ru/sites/default/files/styles/case_slider_image/public/user/19498/img-0003-00101_11.jpg?itok=iPSCNh0e
  • https://radiomed.ru/sites/default/files/styles/case_slider_image/public/user/19498/img-0003-00102_10.jpg?itok=WWqftSFG
  • https://radiomed.ru/sites/default/files/styles/case_slider_image/public/user/19498/img-0003-00103_10.jpg?itok=0bVRFvX_
  • https://radiomed.ru/sites/default/files/styles/case_slider_image/public/user/19498/img-0003-00104_9.jpg?itok=OuYY2TeJ
  • https://radiomed.ru/sites/default/files/styles/case_slider_image/public/user/19498/img-0003-00105_9.jpg?itok=4CVU1uB-
  • https://radiomed.ru/sites/default/files/styles/case_slider_image/public/user/19498/img-0003-00106_9.jpg?itok=XhNGmLAE
  • https://radiomed.ru/sites/default/files/styles/case_slider_image/public/user/19498/img-0003-00107_9.jpg?itok=G_p5-U9W
  • https://radiomed.ru/sites/default/files/styles/case_slider_image/public/user/19498/img-0003-00108_8.jpg?itok=fEBKD3l1
  • https://radiomed.ru/sites/default/files/styles/case_slider_image/public/user/19498/img-0003-00109_8.jpg?itok=jT-zTCI8
  • https://radiomed.ru/sites/default/files/styles/case_slider_image/public/user/19498/img-0003-00110_8.jpg?itok=jZriehzv
ID:83830
Цель публикации: 
И.Бондаренко's picture
Offline
Last seen: 23 hours 46 sec ago
Joined: 13.09.2011 - 22:55
Posts: 9209

А нативное где?

dok-a's picture
Offline
Last seen: 12 months 3 days ago
Joined: 14.02.2009 - 19:31
Posts: 623

...и очаг понижения плотности визуализирующийся только в венозную фазу - гемангиома. ...два подкапсульных образования с обызвествлением стенки - одно мне кажется вообще не в печени а рядом, другое - прогностического значения не имеет - типа кальцинат..