Вашему "братке" повезло больше, чем нашему. Ваш легко отделался, нашего, под "лигический конец" мне привезли в "авоське", а в областную "контору" - на носилках, ходить не мог - совсем "скелет", но сейчас подымается.
Я вот подумал: может, скиалогически плеврит двойным кажется?
Всякое бывает, но я всегда "режу", а томограмму смотрю всегда "перекрестившись", чтобы отогнать "бесов", а следовательно, казаться не должно..., раз "бесы" от "крестного знаменья" удирают.
Вашему "братке" повезло больше, чем нашему. Ваш легко отделался, нашего, под "лигический конец" мне привезли в "авоське", а в областную "контору" - на носилках, ходить не мог - совсем "скелет", но сейчас подымается.
Помню, не так давно Вы выставляли его снимки.
Великое преймущество врача заключается в том, что он не обязан следовать собственным советам. ( А. Кристи)
Я вот подумал: может, скиалогически плеврит двойным кажется?
Всякое бывает, но я всегда "режу", а томограмму смотрю всегда "перекрестившись", чтобы отогнать "бесов", а следовательно, казаться не должно..., раз "бесы" от "крестного знаменья" удирают.
Неплохой рецепт профессионализма. Оказывается, все не так сложно.
Великое преймущество врача заключается в том, что он не обязан следовать собственным советам. ( А. Кристи)
Я, и сейчас, постараюсь снимки "браток" выставить хронологически в сравнении, но у нас, все, как-то более быстро произошло, по всей видимости, "недолеченный" пациент был выписан под надзор врача ВОПа, а врач ВОПа (прости Господи мою душу грешную), как правило, перестает быть врачом. Ну, Вот Его Величество и "подобрал", и "обласкал", и до "обрыва", где кончается "земное бытие" довел...
Я вот подумал: может, скиалогически плеврит двойным кажется?
Всякое бывает, но я всегда "режу", а томограмму смотрю всегда "перекрестившись", чтобы отогнать "бесов", а следовательно, казаться не должно..., раз "бесы" от "крестного знаменья" удирают.
Неплохой рецепт профессионализма. Оказывается, все не так сложно.
А, ведь с "тубером", действительно все не так сложно, как пытаются представить коллеги - фтизиатры. Главное - определенная настороженность, тактика и алгоритм действий и строгое соблюдение регламента...
1. У Вас, в процессе лечения динамика налицо, ну, осталось, по всей видимости, некоторое количество "осумкованного" сзади паракостально, возможно, возможно, и нет, может плевра утолщена, да кое-какие шварты
2. У нас - полная стабильность, можно сказать - Status ideum....
Я, и сейчас, постараюсь снимки "браток" выставить хронологически в сравнении, но у нас, все, как-то более быстро произошло, по всей видимости, "недолеченный" пациент был выписан под надзор врача ВОПа, а врач ВОПа (прости Господи мою душу грешную), как правило, перестает быть врачом. Ну, Вот Его Величество и "подобрал", и "обласкал", и до "обрыва", где кончается "земное бытие" довел...
А на каком этапе врач ВОПа принял пациента? Результат ВОПовской работы это первый снимок или последний?
Великое преймущество врача заключается в том, что он не обязан следовать собственным советам. ( А. Кристи)
"Плеврит", он кто (что)? Он - "мужик", мужского рода. Скучно "мужику" одному, всегда рядом кто-то (даже, пусть, негативный) должен быть.
Не бывает "плеврит" - сам (хотя, многие мне и возразят, и будут правы).
Конечно не бывает. Трудно представить, что палка осядет только в микрососудах плевры (а, может, имеется какой-то тропизм ВК к ткани плевры?). Нас вполне логично учили, что плеврит развивается вторично из мельчайших субплевральных очажков, которые до поры до времени не видны на снимках пока не "подрастут".
Великое преймущество врача заключается в том, что он не обязан следовать собственным советам. ( А. Кристи)
Я, и сейчас, постараюсь снимки "браток" выставить хронологически в сравнении, но у нас, все, как-то более быстро произошло, по всей видимости, "недолеченный" пациент был выписан под надзор врача ВОПа, а врач ВОПа (прости Господи мою душу грешную), как правило, перестает быть врачом. Ну, Вот Его Величество и "подобрал", и "обласкал", и до "обрыва", где кончается "земное бытие" довел...
А на каком этапе врач ВОПа принял пациента? Результат ВОПовской работы это первый снимок или последний?
"Плеврит", он кто (что)? Он - "мужик", мужского рода. Скучно "мужику" одному, всегда рядом кто-то (даже, пусть, негативный) должен быть.
Не бывает "плеврит" - сам (хотя, многие мне и возразят, и будут правы).
Конечно не бывает. Трудно представить, что палка осядет только в микрососудах плевры (а, может, имеется какой-то тропизм ВК к ткани плевры?). Нас вполне логично учили, что плеврит развивается вторично из мельчайших субплевральных очажков, которые до поры до времени не видны на снимках пока не "подрастут".
После внедрения в работу отделения "Сиара", я много чаше вижу именно субплевральные очажки, почти "интимно" связанные с плеврой. Никогда такого на пленочных томограмма, даже очень высокого качества, не видел.
Но, необходимо отметить, что "цифра" (сиар) добавили и другую скиалогическую симптоматологию, которая реально помогает диагностировать очаговый туберкулез на весьма ранней стадии, можно её назвать и "предстадией" видимой "очаговой классики".
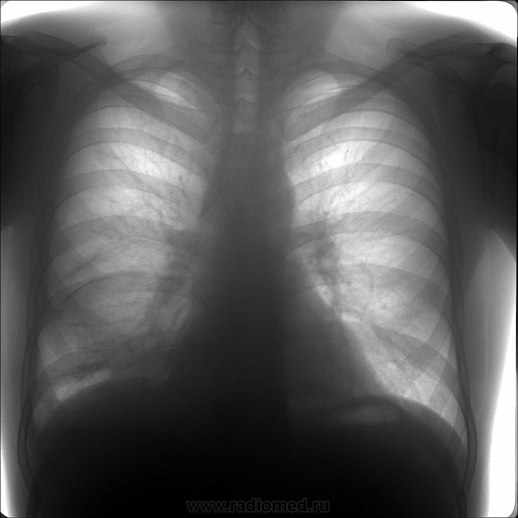
Надеюсь, что плеврит.Если нет, то я не знаю.По-моему, картина типичная.Пункцию делали?
Плеврит - то плеврит... Насчет пункции не знаю, в выписке упоминаний о ней нет. Вероятно, не делали. Думаю, плеврит был ТБС этиологии.
Великое преймущество врача заключается в том, что он не обязан следовать собственным советам. ( А. Кристи)
Не загрузились сразу ТМГ.
Великое преймущество врача заключается в том, что он не обязан следовать собственным советам. ( А. Кристи)
Вы думаете дебютировал Его Величество с плеврита, а спустя год выдал очаги?
Виктор.
Именно так и думаю. Показал свое "мурло".
Великое преймущество врача заключается в том, что он не обязан следовать собственным советам. ( А. Кристи)
И к тому-же осумкованный. Передний и задний
Если, судить "по началу", то почти "братка".
Осумкование уже должно было навести на мысль о ТБС.
Великое преймущество врача заключается в том, что он не обязан следовать собственным советам. ( А. Кристи)
Я вот подумал: может, скиалогически плеврит двойным кажется?
Великое преймущество врача заключается в том, что он не обязан следовать собственным советам. ( А. Кристи)
Плевриты "братки", пациенты тоже братки?
Великое преймущество врача заключается в том, что он не обязан следовать собственным советам. ( А. Кристи)
Вашему "братке" повезло больше, чем нашему. Ваш легко отделался, нашего, под "лигический конец" мне привезли в "авоське", а в областную "контору" - на носилках, ходить не мог - совсем "скелет", но сейчас подымается.
Всякое бывает, но я всегда "режу", а томограмму смотрю всегда "перекрестившись", чтобы отогнать "бесов", а следовательно, казаться не должно..., раз "бесы" от "крестного знаменья" удирают.
Помню, не так давно Вы выставляли его снимки.
Великое преймущество врача заключается в том, что он не обязан следовать собственным советам. ( А. Кристи)
Неплохой рецепт профессионализма. Оказывается, все не так сложно.
Великое преймущество врача заключается в том, что он не обязан следовать собственным советам. ( А. Кристи)
Я, и сейчас, постараюсь снимки "браток" выставить хронологически в сравнении, но у нас, все, как-то более быстро произошло, по всей видимости, "недолеченный" пациент был выписан под надзор врача ВОПа, а врач ВОПа (прости Господи мою душу грешную), как правило, перестает быть врачом. Ну, Вот Его Величество и "подобрал", и "обласкал", и до "обрыва", где кончается "земное бытие" довел...
А, ведь с "тубером", действительно все не так сложно, как пытаются представить коллеги - фтизиатры. Главное - определенная настороженность, тактика и алгоритм действий и строгое соблюдение регламента...
Первая часть.
Вторая часть.
1. У Вас, в процессе лечения динамика налицо, ну, осталось, по всей видимости, некоторое количество "осумкованного" сзади паракостально, возможно, возможно, и нет, может плевра утолщена, да кое-какие шварты
2. У нас - полная стабильность, можно сказать - Status ideum....
Третья часть - "У ВАС".
Да, "очаги", да "инфильтрат", возможно распад, возможно, что в конце концов и "палки" нашли?
Но, "Гранд - эффектУ" (как у нас) нет, нету - ти...
Третья часть - "У НАС".
"У НАС", конечно, широко, чисто по - "рассейски", и с палками, и с кровохарканьем - не "фигли - мигли", а аж КАЗЕОЗНАЯ ПНЕВМОНИЯ.
И. в виде "концовки".
"Плеврит", он кто (что)? Он - "мужик", мужского рода. Скучно "мужику" одному, всегда рядом кто-то (даже, пусть, негативный) должен быть.
Не бывает "плеврит" - сам (хотя, многие мне и возразят, и будут правы).
А на каком этапе врач ВОПа принял пациента? Результат ВОПовской работы это первый снимок или последний?
Великое преймущество врача заключается в том, что он не обязан следовать собственным советам. ( А. Кристи)
Конечно не бывает. Трудно представить, что палка осядет только в микрососудах плевры (а, может, имеется какой-то тропизм ВК к ткани плевры?). Нас вполне логично учили, что плеврит развивается вторично из мельчайших субплевральных очажков, которые до поры до времени не видны на снимках пока не "подрастут".
Великое преймущество врача заключается в том, что он не обязан следовать собственным советам. ( А. Кристи)
В Вашем случае уж больно злая палка попалась.
Великое преймущество врача заключается в том, что он не обязан следовать собственным советам. ( А. Кристи)
Сразу после "второго этапа"
После внедрения в работу отделения "Сиара", я много чаше вижу именно субплевральные очажки, почти "интимно" связанные с плеврой. Никогда такого на пленочных томограмма, даже очень высокого качества, не видел.
Но, необходимо отметить, что "цифра" (сиар) добавили и другую скиалогическую симптоматологию, которая реально помогает диагностировать очаговый туберкулез на весьма ранней стадии, можно её назвать и "предстадией" видимой "очаговой классики".
Да нет, палка, как палка, без злобы. Просто "положили" на организационные каноны...