Пол пациента: Женский пол Тип патологии: Другое Область исследования: Скелетно-мышечная система Методы исследования: Rg В анамнезе рожистое воспаление, трофическая язва голеностопа ID:8225 Mon, 18/10/2010 - 07:25 #1 Виктор ВК Offline Last seen: 14 years 12 months ago Joined: 01.10.2010 - 15:34 Posts: 114 В настоящее время беспокоят боли в конечностиПриложения: Виктор Владимирович К. Mon, 18/10/2010 - 08:12 #2 Виктор ВК Offline Last seen: 14 years 12 months ago Joined: 01.10.2010 - 15:34 Posts: 114 Вот для сравнения контрлатеральнаяПриложения: Виктор Владимирович К. Mon, 18/10/2010 - 08:19 #3 Евгений1313 Offline Last seen: 13 years 3 months ago Joined: 15.10.2010 - 19:13 Posts: 808 Для исключения костной патологии-выполнить Р-граммы котей здоровой голени. Mon, 18/10/2010 - 08:29 #4 Евгений1313 Offline Last seen: 13 years 3 months ago Joined: 15.10.2010 - 19:13 Posts: 808 Кортикальный слой диафиза верх. трети пр. б\бец. действительно циркулярно,ассиметрично утолщен, уплотнён. Значится так..Если боли сильные, ночные-ищи зону некроза линейной томографией. Найдёшь-это остеоидная остеома;нет- думай дальше. Mon, 18/10/2010 - 10:18 #5 Грицько Виталий Offline Last seen: 9 years 3 months ago Joined: 05.01.2010 - 14:06 Posts: 1058 С учетом анамнеза и отсутствия гнезда( пока) нельзя исключить кортиколит. А нельзя чуть подробнее о характере болей, время максимума? Sat, 23/10/2010 - 09:02 #6 Грицько Виталий Offline Last seen: 9 years 3 months ago Joined: 05.01.2010 - 14:06 Posts: 1058 Виктор Владимирович, здравствуйте! Какой итог данного случая? Sat, 23/10/2010 - 14:51 #7 Виктор ВК Offline Last seen: 14 years 12 months ago Joined: 01.10.2010 - 15:34 Posts: 114 Направил к хирургу с кортикалитом... Виктор Владимирович К. Sat, 23/10/2010 - 15:55 #8 Грицько Виталий Offline Last seen: 9 years 3 months ago Joined: 05.01.2010 - 14:06 Posts: 1058 Спасибо.
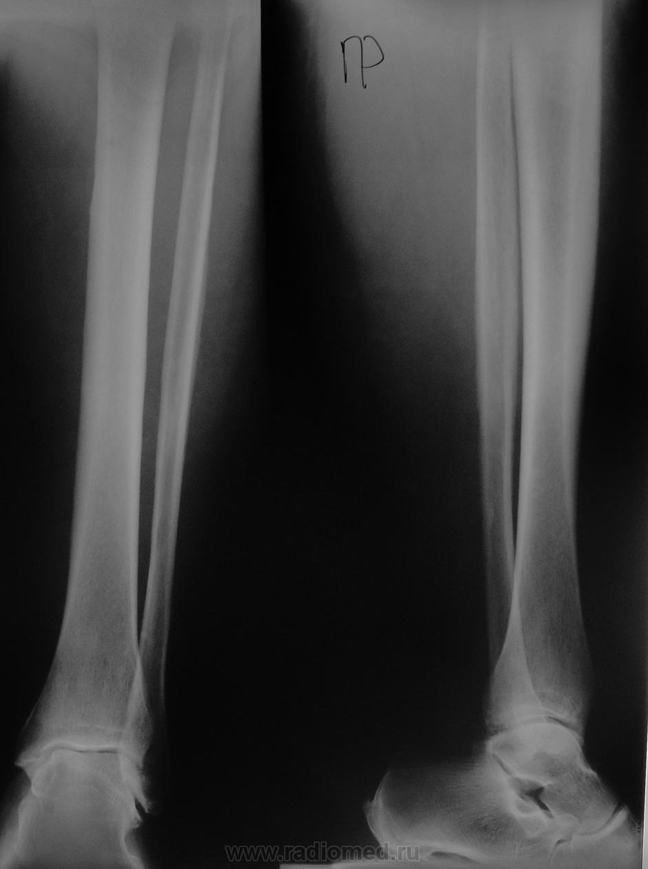
В настоящее время беспокоят боли в конечности
Виктор Владимирович К.
Вот для сравнения контрлатеральная
Виктор Владимирович К.
Для исключения костной патологии-выполнить Р-граммы котей здоровой голени.
Кортикальный слой диафиза верх. трети пр. б\бец. действительно циркулярно,ассиметрично утолщен, уплотнён. Значится так..Если боли сильные, ночные-ищи зону некроза линейной томографией. Найдёшь-это остеоидная остеома;нет- думай дальше.
С учетом анамнеза и отсутствия гнезда( пока) нельзя исключить кортиколит. А нельзя чуть подробнее о характере болей, время максимума?
Виктор Владимирович, здравствуйте! Какой итог данного случая?
Направил к хирургу с кортикалитом...
Виктор Владимирович К.
Спасибо.