You are here

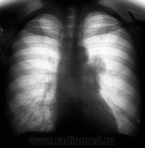
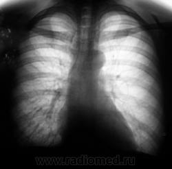
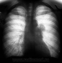
Две "флюшки"...

Пол пациента: 
Тип патологии: 
Методы исследования: 

Две "флюшки"...

Слева флюорограмма за 2009 год, справа - сегодня...

Рентгенограммы.

Томограммы.

 

  • https://radiomed.ru/sites/default/files/styles/case_slider_image/public/user/12/2.pa260062a.jpg?itok=6Gu-ssR-
  • https://radiomed.ru/sites/default/files/styles/case_slider_image/public/user/12/1.pa260091.jpg?itok=dUNnm_oz
  • https://radiomed.ru/sites/default/files/styles/case_slider_image/public/user/12/2.pa260092.jpg?itok=RAHCgcCg
  • https://radiomed.ru/sites/default/files/styles/case_slider_image/public/user/12/3.pa260093.jpg?itok=lbOV9Rbu
  • https://radiomed.ru/sites/default/files/styles/case_slider_image/public/user/12/3.pa260093a.jpg?itok=48dzbgRV
  • https://radiomed.ru/sites/default/files/styles/case_slider_image/public/user/12/4.pa260094.jpg?itok=gYE0NSSX
  • https://radiomed.ru/sites/default/files/styles/case_slider_image/public/user/12/4.pa260094a.jpg?itok=8T4vzqPy
  • https://radiomed.ru/sites/default/files/styles/case_slider_image/public/user/12/5.pa260096.jpg?itok=OIrSiy2x
  • https://radiomed.ru/sites/default/files/styles/case_slider_image/public/user/12/1.pa260099.jpg?itok=UfpMNoos
  • https://radiomed.ru/sites/default/files/styles/case_slider_image/public/user/12/2.pa260099a.jpg?itok=UzoYEDW7
  • https://radiomed.ru/sites/default/files/styles/case_slider_image/public/user/12/3.pa260100.jpg?itok=5gcwFyHG
  • https://radiomed.ru/sites/default/files/styles/case_slider_image/public/user/12/4.pa260100a.jpg?itok=nUsYKFfN
  • https://radiomed.ru/sites/default/files/styles/case_slider_image/public/user/12/1.pa260101.jpg?itok=URygb3dz
  • https://radiomed.ru/sites/default/files/styles/case_slider_image/public/user/12/2.pa260101a.jpg?itok=q8R_0qcW
  • https://radiomed.ru/sites/default/files/styles/case_slider_image/public/user/12/3.pa260102.jpg?itok=QxqYskEr
  • https://radiomed.ru/sites/default/files/styles/case_slider_image/public/user/12/4.pa260102a.jpg?itok=8ox-kTGt
ID:8300
Виктор ВК's picture
Offline
Last seen: 14 years 10 months ago
Joined: 01.10.2010 - 15:34
Posts: 114

аневризма?

Виктор Владимирович К.

Катенёв Валентин Львович's picture
Offline
Last seen: 7 years 2 months ago
Joined: 22.03.2008 - 22:15
Posts: 54876

Виктор ВК wrote:

аневризма?

Сами об этом подумали. Но возник вопрос, а как за год она возникла?

Катенёв Валентин Львович's picture
Offline
Last seen: 7 years 2 months ago
Joined: 22.03.2008 - 22:15
Posts: 54876

А, для "онко" такие размеры за год реально?

Almo's picture
Offline
Last seen: 10 hours 53 min ago
Joined: 28.09.2008 - 18:50
Posts: 8285

Нужен левый боковой снимок лёгких.

dok-a's picture
Offline
Last seen: 10 months 4 weeks ago
Joined: 14.02.2009 - 19:31
Posts: 623

Катенёв Валентин Львович wrote:

А, для "онко" такие размеры за год реально?

Думаю, что вполне реально.

Катенёв Валентин Львович's picture
Offline
Last seen: 7 years 2 months ago
Joined: 22.03.2008 - 22:15
Posts: 54876

Прямо и левый бок.

Приложения: 
1.pa260091.jpg2.pa260092.jpg3.pa260093.jpg4.pa260094.jpg
Евгений1313's picture
Offline
Last seen: 13 years 1 month ago
Joined: 15.10.2010 - 19:13
Posts: 808

Бесспорно первичная опухоль или МТС в С-3 слева.

sema's picture
Offline
Last seen: 10 years 6 months ago
Joined: 05.09.2010 - 08:39
Posts: 233

По боковой только периферический рак( бугристы контуры)

КАГ's picture
Offline
Last seen: 7 months 2 weeks ago
Joined: 24.10.2010 - 16:30
Posts: 199

Периферический рак в С-3 слева

Грицько Виталий's picture
Offline
Last seen: 9 years 1 month ago
Joined: 05.01.2010 - 14:06
Posts: 1058

Здравствуйте, Валентин Львович! А где же лт?

Андрей Юрьевич's picture
Offline
Last seen: 1 week 3 days ago
Joined: 16.11.2008 - 22:16
Posts: 18101

Катенёв Валентин Львович wrote:

А, для "онко" такие размеры за год реально?

Буквально на прошлой неделе смотрел пациента: рост за 5 мес. (с мая 2010) в 3 раза - с 1 до 3 см в диаметре.

Андрей Юрьевич

Катенёв Валентин Львович's picture
Offline
Last seen: 7 years 2 months ago
Joined: 22.03.2008 - 22:15
Posts: 54876

Первый срез.

Приложения: 
1.pa260099.jpg2.pa260099a.jpg3.pa260100.jpg4.pa260100a.jpg
Евгений1313's picture
Offline
Last seen: 13 years 1 month ago
Joined: 15.10.2010 - 19:13
Posts: 808

Здесь , заметьте, не только бугристые контуры, но и широкая дорожка  лимфооттока к висцеральной плевре.Чего не хватает-так это лимфоаденита.

Катенёв Валентин Львович's picture
Offline
Last seen: 7 years 2 months ago
Joined: 22.03.2008 - 22:15
Posts: 54876

Второй срез.

Приложения: 
1.pa260101.jpg2.pa260101a.jpg3.pa260102.jpg4.pa260102a.jpg
Катенёв Валентин Львович's picture
Offline
Last seen: 7 years 2 months ago
Joined: 22.03.2008 - 22:15
Posts: 54876

Medeа wrote:

Мне видится ателектаз субсегмента S3 на боковом снимке, но я его не вижу на томограммах. Не в срезе? А дорожки лимфооттока, указанной Евгением 1313, не вижу. Может, покажете? Лимфаденит - не понятен смысл, если только не имелись в виду мтс в лимфоузлы средостения, - их не видно. Саркома, наверное.

Я выставил два наиболее оптимальных среза, но сейчас выставлю и другие.

Катенёв Валентин Львович's picture
Offline
Last seen: 7 years 2 months ago
Joined: 22.03.2008 - 22:15
Posts: 54876

Еще срез.

Приложения: 
1.pa260097.jpg2.pa260097a.jpg3.pa260098.jpg4.pa260098a.jpg
tatyana's picture
Offline
Last seen: 4 years 3 months ago
Joined: 24.06.2009 - 08:33
Posts: 2090

А прямую томограммку на корень и бронхиальное дерево не хотите показать, Валентин Львович? Сняли бы все вопросы коллег. На снимке корень-то совершенно отчетливо расширен и полицикличен

"самоуверенность дилетантов - предмет зависти профессионалов"

Катенёв Валентин Львович's picture
Offline
Last seen: 7 years 2 months ago
Joined: 22.03.2008 - 22:15
Posts: 54876

Прямо не резали, ситуация, весьма трагическая вышла...

lupan's picture
Offline
Last seen: 6 years 11 months ago
Joined: 07.01.2010 - 17:17
Posts: 1406

Уж не из средостения ли это вылезло?

Великое преймущество врача заключается в том, что он не обязан следовать собственным советам. ( А. Кристи)

Катенёв Валентин Львович's picture
Offline
Last seen: 7 years 2 months ago
Joined: 22.03.2008 - 22:15
Posts: 54876

lupan wrote:
Уж не из средостения ли это вылезло?

Всякое, конечно, может быть, как-то сразу "вылезло" и жалоб "нуль". Сегодня отправили к онкологам, возможно сделают КТ, возможно и биопсию.

tatyana's picture
Offline
Last seen: 4 years 3 months ago
Joined: 24.06.2009 - 08:33
Posts: 2090

Полагаю, правильный ответ здесь уже прозвучал многократно: периферический рак в/доли левого легкого с мтс в л/узлы корня

"самоуверенность дилетантов - предмет зависти профессионалов"

Катенёв Валентин Львович's picture
Offline
Last seen: 7 years 2 months ago
Joined: 22.03.2008 - 22:15
Posts: 54876

tatyana wrote:

Полагаю, правильный ответ здесь уже прозвучал многократно: периферический рак в/доли левого легкого с мтс в л/узлы корня

Главное, что пристроен уже по профилю.

Виктор ВК's picture
Offline
Last seen: 14 years 10 months ago
Joined: 01.10.2010 - 15:34
Posts: 114

да вот тебе и аневризма...(может хоть доброкачественным окажеться, все таки рост ну уж очень быстрый..

Виктор Владимирович К.

sema's picture
Offline
Last seen: 10 years 6 months ago
Joined: 05.09.2010 - 08:39
Posts: 233

-------может хоть доброкачественным окажеться, все таки рост ну уж очень быстрый..------

 

К сожалению быстрый рост и доброкачественность не совместимы.

ЛГ's picture
Offline
Last seen: 9 years 1 week ago
Joined: 06.01.2010 - 12:31
Posts: 3523

Прошу: покажите, пожалуйста, расширение левого корня - не вижуcrying. За счет небольшого разворота левый корень несколько более широк. Но на боковой я не вижу увеличенных лимфоузлов, да и на томограммах - тоже. Можно стрелками показать?

Приложения: 
1.pa260091a.jpg
lupan's picture
Offline
Last seen: 6 years 11 months ago
Joined: 07.01.2010 - 17:17
Posts: 1406

Сравните флюшку за 2009г. и за 2010г. Вверху они рядом.

Великое преймущество врача заключается в том, что он не обязан следовать собственным советам. ( А. Кристи)

ЛГ's picture
Offline
Last seen: 9 years 1 week ago
Joined: 06.01.2010 - 12:31
Posts: 3523

Я сравниваю, но вижу наложение на головку корня образования на ФЛГ за 2010. А расширения тела и подтверждения изменений в корне на томограммах не нахожу. Жаль, нет пары срезов корней в прямой проекции. 

lupan's picture
Offline
Last seen: 6 years 11 months ago
Joined: 07.01.2010 - 17:17
Posts: 1406

goncharovakuraeva wrote:

Я сравниваю, но вижу наложение на головку корня образования на ФЛГ за 2010. А расширения тела и подтверждения изменений в корне на томограммах не нахожу. Жаль, нет пары срезов корней в прямой проекции. 

А Вы абстрагируйтесь от образования. Посмотрите на снимки, не увеличивая их. Обратите внимание, что талия сердца в 2010г. заполнена +тканью, т.е. лимфоузлами.

Великое преймущество врача заключается в том, что он не обязан следовать собственным советам. ( А. Кристи)

Дарья's picture
Offline
Last seen: 15 years 2 months ago
Joined: 22.09.2010 - 22:33
Posts: 98

tatyana wrote:

Полагаю, правильный ответ здесь уже прозвучал многократно: периферический рак в/доли левого легкого с мтс в л/узлы корня

покажите, где здесь мтс в л/узлы корня??

мне видится только периферический рак в S3

Makcimalist's picture
Offline
Last seen: 11 years 10 months ago
Joined: 08.05.2010 - 14:28
Posts: 1994

goncharovakuraeva wrote:

Прошу: покажите, пожалуйста, расширение левого корня - не вижуcrying. За счет небольшого разворота левый корень несколько более широк. Но на боковой я не вижу увеличенных лимфоузлов, да и на томограммах - тоже. Можно стрелками показать?

+

Дарья wrote:

покажите, где здесь мтс в л/узлы корня??

мне видится только периферический рак в S3

= присоединяюсь.

--------------

"Просто, по видимости, не видеть логики в очевидных вещах - это тоже одно из свойств некоторых умов, наряду с грустными думами о свойствах ума других."  © Vega 08/10/2011

Makcimalist's picture
Offline
Last seen: 11 years 10 months ago
Joined: 08.05.2010 - 14:28
Posts: 1994

lupan wrote:

... Обратите внимание, что талия сердца в 2010г. заполнена +тканью, т.е. лимфоузлами.

... тогда л/узлы в перикарде!.. на боковых левый корень спокоен!

Считаю, что образование широким основанием прилежит к сердцу/ средостению слева.

--------------

"Просто, по видимости, не видеть логики в очевидных вещах - это тоже одно из свойств некоторых умов, наряду с грустными думами о свойствах ума других."  © Vega 08/10/2011

Петрович's picture
Offline
Last seen: 7 years 4 months ago
Joined: 22.03.2009 - 01:13
Posts: 3908

Makcimalist wrote:
goncharovakuraeva wrote:
Прошу: покажите, пожалуйста, расширение левого корня - не вижуcrying. За счет небольшого разворота левый корень несколько более широк. Но на боковой я не вижу увеличенных лимфоузлов, да и на томограммах - тоже. Можно стрелками показать?
+
Дарья wrote:
покажите, где здесь мтс в л/узлы корня??мне видится только периферический рак в S3
= присоединяюсь.
И я!

 

Да и слишком быстрый рост для рака. Для саркомы возраст не подходит.
КТ-ушки бы посмотреть...

Неоднозначно всё

Makcimalist's picture
Offline
Last seen: 11 years 10 months ago
Joined: 08.05.2010 - 14:28
Posts: 1994

... да и сервер не способствует (как больше 40 пользователей)...

--------------

"Просто, по видимости, не видеть логики в очевидных вещах - это тоже одно из свойств некоторых умов, наряду с грустными думами о свойствах ума других."  © Vega 08/10/2011

Makcimalist's picture
Offline
Last seen: 11 years 10 months ago
Joined: 08.05.2010 - 14:28
Posts: 1994

... я не поддерживаю увеличение л/узлов корня, но не исключаю периферичекий c-r (пока без mts - если он...)!..

--------------

"Просто, по видимости, не видеть логики в очевидных вещах - это тоже одно из свойств некоторых умов, наряду с грустными думами о свойствах ума других."  © Vega 08/10/2011

Nikolas's picture
Offline
Last seen: 3 weeks 1 day ago
Joined: 21.12.2010 - 20:37
Posts: 4560

Природа фокуса с  таким быстрым ростом?  С уважением Nik

Kat's picture
Kat
Offline
Last seen: 12 years 8 months ago
Joined: 19.04.2011 - 19:10
Posts: 365

Виктор ВК wrote:

аневризма?

не то,чтобы я не согласна с C-r,но меня терзают смутные сомнения....не сосудики ли это подходят(отходят) к образованию? на мой взгляд,это не лимфагит. и сама тень подозрительно однородная-по идеи, для такого "солидного)" c-r надо бы иметь несколько центров роста...и жалоб нет...и динамика...может,все-таки сосудистая патология

Временно отсутствую на сайте...