Каскадный желудок? Гастроптоз 3 степени

2 posts / 0 new
Last post
Irina2302's picture
Offline
Last seen: 4 months 8 hours ago
Joined: 14.01.2026 - 18:27
Posts: 1


 

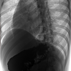
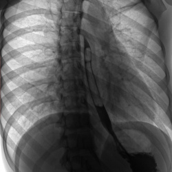
Здравствуйте! Помогите, пожалуйста с диагностикой! Здесь есть каскадный желудок? В заключении написано гастроптоз 3 степени и хронический гастрит. У меня демпингоподобный синдром и гастрокардиальный (головокружение после сладкого, бывает после основного приема пищи, падает давление после еды). Я уже измучилась. У эндокринолога, кардиолога, невролога консультировалась, все говорят это гастроентерологическое. Если надо есть снимки мрт и кт органов брюшной полости. Буду признательна

Андрей Юрьевич's picture
Offline
Last seen: 2 weeks 5 days ago
Joined: 16.11.2008 - 22:16
Posts: 18106

Не вижу признаков каскадного желудка, не п сал бы гастроптоз, демпинг синдром является осложнением оперированного желудка (нет р-признаков резекции)

Андрей Юрьевич