You are here

девочка 15 лет поступила в детское травм отделение

Пол пациента: 
Тип патологии: 
Область исследования: 
Методы исследования: 

Коллеги, добрый вечер!

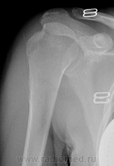
Прошу высказать ваше мнение. Девочка 15 лет поступила в детское травм отделение. Диагноз - привычный вывих правой плечевой кости. 1,5 года назад довольно серьезная трама плеча- со слов - разрыв связки... После чего до сегодняшнего дня 8 раз происходил вывих. Выполнялось вправление. На рентгенограммах - данные изменения в проксимальной трети диафиза по наружной поверхности. В данной области локальных болей при надавливании, ночных болей нет. Кожный покров не изменен. Ничего не пальпируется. Объем руки не увеличен. Как по вашему можно трактовать эти изменения и чем они могут быть.

    

  • https://radiomed.ru/sites/default/files/styles/case_slider_image/public/user/2983/aksial.jpg?itok=lfghkw9s
  • https://radiomed.ru/sites/default/files/styles/case_slider_image/public/user/2983/image_64-1.jpg?itok=HaQWzdV7
  • https://radiomed.ru/sites/default/files/styles/case_slider_image/public/user/2983/image_65-1.jpg?itok=3DtzZO1Q
  • https://radiomed.ru/sites/default/files/styles/case_slider_image/public/user/2983/image_66-1.jpg?itok=mkGSMu8d
  • https://radiomed.ru/sites/default/files/styles/case_slider_image/public/user/2983/image_67-1.jpg?itok=uOcB0oLV
  • https://radiomed.ru/sites/default/files/styles/case_slider_image/public/user/2983/image_68-1.jpg?itok=IaAJE-UB
  • https://radiomed.ru/sites/default/files/styles/case_slider_image/public/user/2983/image_69-1_0.jpg?itok=VL_Ts-oR
ID:8511
Vega's picture
Offline
Last seen: 2 months 2 weeks ago
Joined: 22.01.2009 - 19:16
Posts: 1087

А снимков с прошлой травмы нет? Похоже, ранее был был перелом большого бугорка, возможно, переломовывих. А теперь - последствия травмы в виде привычного вывиха.

Юрич's picture
Offline
Last seen: 6 years 8 months ago
Joined: 17.01.2010 - 09:55
Posts: 351

А кроме большого бугорка ничего не смущает?

rentgengb1's picture
Offline
Last seen: 12 years 2 months ago
Joined: 13.02.2009 - 23:02
Posts: 290

есть краевой дефект головки- признак привычного вывиха.

Ну и прерывистость  наружного контура в/3 плеча.

ortoped1984's picture
Offline
Last seen: 12 years 1 month ago
Joined: 02.11.2010 - 19:28
Posts: 29

У больной видимо имеетсь синдром субакромиального импинджмента, обусловленый поврежднием ротороной манжеты при травме и в результате частых вывихов. Начальные явления т.з. rotator cuff arthropathy.

Катенёв Валентин Львович's picture
Offline
Last seen: 7 years 3 months ago
Joined: 22.03.2008 - 22:15
Posts: 54876

Имея такой срез необходимо подтверждать или исключать "сухую костоеду"

[[wysiwyg_imageupload:207:]]

Юрич's picture
Offline
Last seen: 6 years 8 months ago
Joined: 17.01.2010 - 09:55
Posts: 351

Коллеги , изменения ИМЕННО В ПРОКСИМАЛЬНОЙ ТРЕТИ ДИАФИЗА ПО НАРУЖНОЙ ПОВЕРХНОСТИ ввиде неровности контура - посттравматические изменения? не может ли это быть например опухолевым образованием? Валентин Львович , укажите ,пожалуйста, что вы имеете ввиду.

Катенёв Валентин Львович's picture
Offline
Last seen: 7 years 3 months ago
Joined: 22.03.2008 - 22:15
Posts: 54876

Я имею в виду, что вся патология расположена весьма поверхностно, и громко просится "на биопсию".

Vega's picture
Offline
Last seen: 2 months 2 weeks ago
Joined: 22.01.2009 - 19:16
Posts: 1087

Бугристость в месте прикрепления дельтовидной мышцы. На мой взгляд, вряд ли нуждается в биопсии.

Helios's picture
Offline
Last seen: 10 months 2 weeks ago
Joined: 06.08.2010 - 15:16
Posts: 4417

Понятно, что это бугристось,но что-то она как-то не внушает доверия.Кортикальный слой -то не совсем четкий-ровный.Поддержу Валентина Львовича.

lupan's picture
Offline
Last seen: 7 years 3 weeks ago
Joined: 07.01.2010 - 17:17
Posts: 1406

Причина всех изменений - травма и последующие вывихи. Вероятно было повреждение сухожилия дельтовидной мышцы. Остальное выбросьте их головы.

Великое преймущество врача заключается в том, что он не обязан следовать собственным советам. ( А. Кристи)

Юрич's picture
Offline
Last seen: 6 years 8 months ago
Joined: 17.01.2010 - 09:55
Posts: 351

Коллеги, сегодня был на операции (по поводу привычного вывиха и за одно ревизии данной области). Типичная картина остеохондромы. Взята гистология. Неровность контура - скорее всего основание опухоли из костной ткани, а хрящевая "шапочка" для рентген лучиков была прозрачна. Размеры опухоли как раз соответствовали изменениям в диафизе. Опухоль была маленькая - по этому скорее всего и не пальпировалась ( хотя наверно при старании удалось бы)))

rentgengb1's picture
Offline
Last seen: 12 years 2 months ago
Joined: 13.02.2009 - 23:02
Posts: 290

Спасибо за новость.Ждем верификацию. А дельтовидная бугристость намного ниже.

Helios's picture
Offline
Last seen: 10 months 2 weeks ago
Joined: 06.08.2010 - 15:16
Posts: 4417

Юрич wrote:
Коллеги, сегодня был на операции (по поводу привычного вывиха и за одно ревизии данной области). Типичная картина остеохондромы. Взята гистология. Неровность контура - скорее всего основание опухоли из костной ткани, а хрящевая "шапочка" для рентген лучиков была прозрачна. Размеры опухоли как раз соответствовали изменениям в диафизе. Опухоль была маленькая - по этому скорее всего и не пальпировалась ( хотя наверно при старании удалось бы)))
Юрич, мой респект Вам за то, что , выслушав множество мнений, поступили  правильно., а, главное, своевременно.