You are here

Какие мнения будут по снимкам?

Пол пациента: 
Тип патологии: 
Методы исследования: 

Какие мнения будут по снимкам?

  • https://radiomed.ru/sites/default/files/styles/case_slider_image/public/user/12/2.pb020037.jpg?itok=DTMy8nsd
  • https://radiomed.ru/sites/default/files/styles/case_slider_image/public/user/12/3.pb020042.jpg?itok=pH8CBEnm
  • https://radiomed.ru/sites/default/files/styles/case_slider_image/public/user/12/4.pb020043.jpg?itok=UBULoDse
  • https://radiomed.ru/sites/default/files/styles/case_slider_image/public/user/12/5.pb020044.jpg?itok=-u3Xgjf_
  • https://radiomed.ru/sites/default/files/styles/case_slider_image/public/user/12/6.pb020044a.jpg?itok=4vnXlcPS
  • https://radiomed.ru/sites/default/files/styles/case_slider_image/public/user/12/7.pb020045.jpg?itok=fussfXnt
  • https://radiomed.ru/sites/default/files/styles/case_slider_image/public/user/12/8.pb020045a.jpg?itok=Bji6t9oK
ID:8580
КАГ's picture
Offline
Last seen: 10 months 1 week ago
Joined: 24.10.2010 - 16:30
Posts: 199

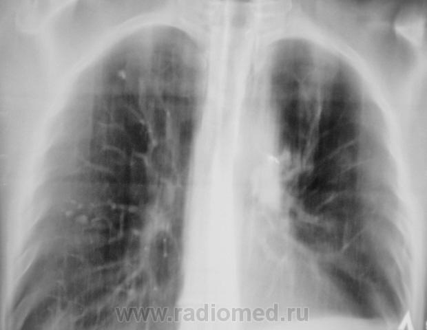
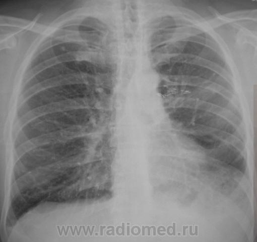
На обзорной рентгенографии ОГК определяется единичный очаг в первом межреберье справа, и множественные очаги в пятом межреберье справа! Правый реберно-диафрагмальный угол спаян! Ателектаз левого легкого? В корне левого легкого определяется тень неправильной формы! Центральный рак? Метастазы? Туберкулез?

Helios's picture
Offline
Last seen: 12 months 1 day ago
Joined: 06.08.2010 - 15:16
Posts: 4417

А левая верхушка? На томограммах тоже видны изменения.А в корне левого легкого это швы?( почему-то снимки не увеличиваются).Левый корень плотный.Не исключено наличие ателектаза в язычковых сегментах ( или инфильтрации).Боковые будут?Хотелось бы.

Сан Саныч1's picture
Offline
Last seen: 1 year 3 months ago
Joined: 07.06.2010 - 21:17
Posts: 2114

Если оперировали, значит есть архив, без него судить о свежести очагов невозможно.

Хочешь сделать что-то нормально - сделай это сам!

Катенёв Валентин Львович's picture
Offline
Last seen: 7 years 5 months ago
Joined: 22.03.2008 - 22:15
Posts: 54876

Оперирован. Левостороняя лобъектомия по поводу больших размеров туберкуломы. Архива у нас нет, он в "областной конторе".

lupan's picture
Offline
Last seen: 7 years 2 months ago
Joined: 07.01.2010 - 17:17
Posts: 1406

Думаю, рецидив ТБС. Оперированное левое легкое.

Великое преймущество врача заключается в том, что он не обязан следовать собственным советам. ( А. Кристи)

Катенёв Валентин Львович's picture
Offline
Last seen: 7 years 5 months ago
Joined: 22.03.2008 - 22:15
Posts: 54876

Рецидив справа?

lupan's picture
Offline
Last seen: 7 years 2 months ago
Joined: 07.01.2010 - 17:17
Posts: 1406

Катенёв Валентин Львович wrote:

Рецидив справа?

С обеих сторон.

Великое преймущество врача заключается в том, что он не обязан следовать собственным советам. ( А. Кристи)

Сан Саныч1's picture
Offline
Last seen: 1 year 3 months ago
Joined: 07.06.2010 - 21:17
Posts: 2114

Не факт, что рецив. Без архива недоказуемо.

Хочешь сделать что-то нормально - сделай это сам!

lupan's picture
Offline
Last seen: 7 years 2 months ago
Joined: 07.01.2010 - 17:17
Posts: 1406

Сан Саныч1 wrote:

Не факт, что рецив. Без архива недказуемо.

Не факт. Но в активной фазе оперировать бы не стали.

Великое преймущество врача заключается в том, что он не обязан следовать собственным советам. ( А. Кристи)

Катенёв Валентин Львович's picture
Offline
Last seen: 7 years 5 months ago
Joined: 22.03.2008 - 22:15
Posts: 54876

lupan wrote:

Сан Саныч1 wrote:

Не факт, что рецив. Без архива недказуемо.

Не факт. Но в активной фазе оперировать бы не стали.

Золотые слова. Коллега фтизиатр, увидев, эти новые снимки очень расстроился и сказал непотребное слово на букву "б", очень расстроился, рецидив, как "пить дать"...

Сан Саныч1's picture
Offline
Last seen: 1 year 3 months ago
Joined: 07.06.2010 - 21:17
Posts: 2114

Да, скорей всего получается рецидив. И всё же архив посмотреть надо.

Хочешь сделать что-то нормально - сделай это сам!