Пол пациента:
Тип патологии:
Область исследования:
Методы исследования:
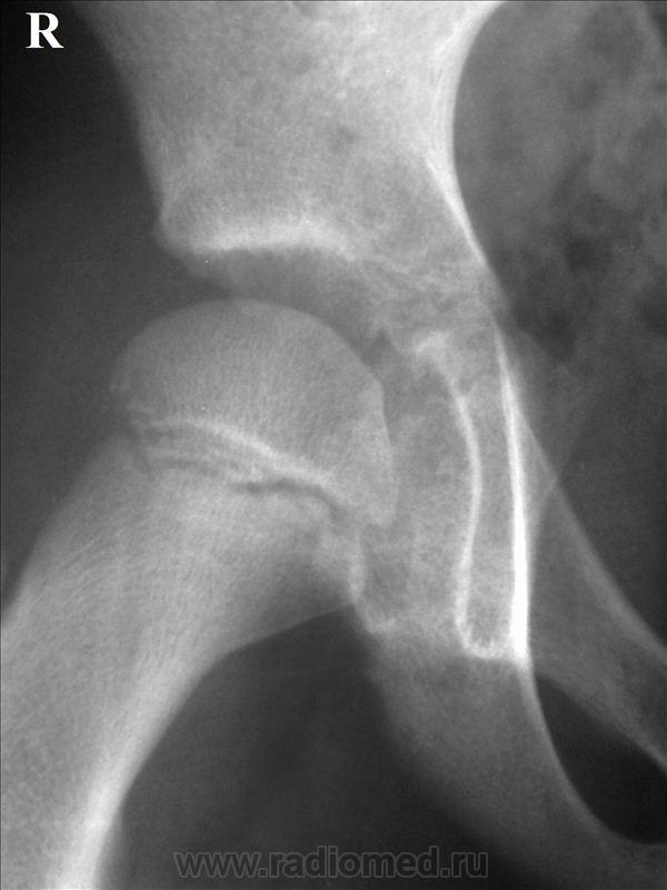
Случай по дежурству. Мальчик 8 лет. стал испытывать боль в правой нижней конечности около недели назад, несмотря на это продолжал активно заниматься футболом. Вчера боль в т\бедренном суставе резко усилились, появилось вынужденное положение, незначительная ротация бедра кнутри, и сгибание коленного сустава 175 гр, осевая нагрузка на нижнюю конечность не возможна из-за выраженного болевого синдрома, температура 37,4, в ОАК лейкоцитоз 13.4, палочки 9, СОЭ 28 мм\час. На рентгенограмме т\бедренных суставов мне не понравился медиальный участок суставной поверхности головки правого бедра. Можно ли данный случай считать начальным проявлением болезни Пертеса?
не дождался загрузки, выставлю в комменте..
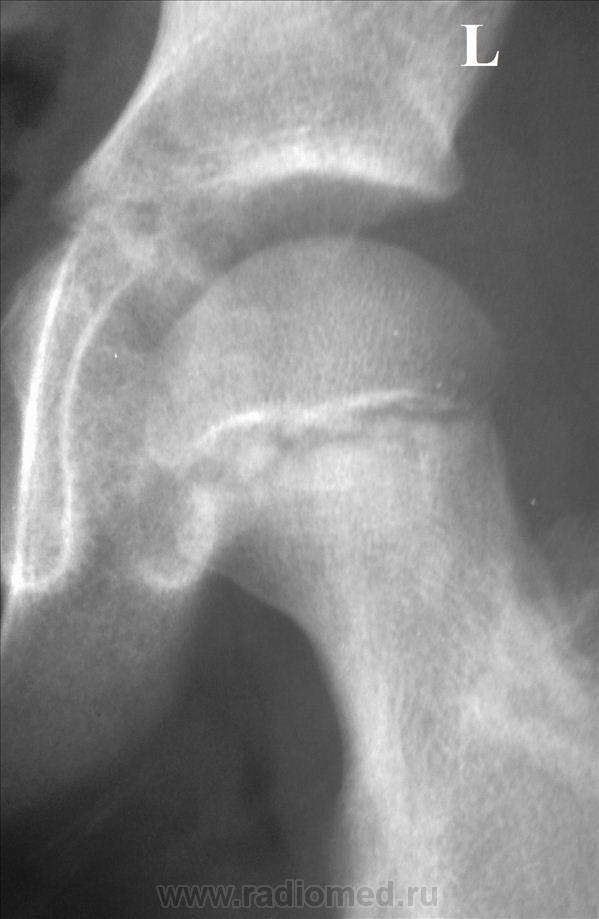
Александр Викторович, здравствуйте.Спасибо, что не выполнили обещание. Первое, на что обратила внимание-укорочение шейки левой бедренной кости,увеличение ШДУ( укладка, дисплазия?). Первая стадия болезни Пертеса рентгеннегативна.Цитирую И.А.Шехтера."Начальным рентгенологическим признаком является ф дальнейшем наступающее расширение рентгеновской суставной щели.Вторая стадия характеризуется наличием резко повышенной интенсивности тени эпифизарной головки, которая уменьшена в размерах, несколько деформирована и сплющена вследствие импрессионного перелома.Одновременно уже хорошо выявляется значительное расширение рентгеновской суставной щели.Почти как правило ,обнаруживается небольшой подвывих бедра, который остается на протяжении всего заболевания".Динамика нужна.Если есть клиника ( а я не сомневаюсь, что Вы замечательный клиницист), то , конечно,Вы все правильно делаете.Жду мнение уважаемых коллег.
1.если Вы по поводу конкресценции, обязательно уточню анамнез(в ы х о д н ы е), или Вы по поводу жениться
?
2.укладка, щадил конечность, вынужденное положение.
мне интересен вот этот участок
Неужели я как всегда что-то пропустила?Когда было предложение?Можно еще раз!
Вообще-то, я не пойму откуда " не " взялось, машинально написала.Конечно же спасибо за то, что выполнили обещание и снимки выставили.Насчет укладки понятно, только я про левую конечность.Да и с конкресценцией уже хотелось бы разобраться и поставить все точки.
Наверное, начальные проявления все-таки есть в виде небольшой деформации головки .Интересно, а кто-нибудь ставил первую-вторую стадии болезни Пертеса?Я чаще всего наблюдала уже исход.Как-то даже пациентка была из Белгорода, где ей упорно ставили ДОА.Приехала к родственнице-нашей коллеге.Мы ей Пертеса поставили, областные травматологи подтвердили, прооперировали.Женщина счастлива и довольна.Столько лет мучилась, а на Сахалине ей помогли.Вот хвастаюсь.
Думаю, что о болезни Пертеса говорить рано, явной деструкции и подвывихов нет, отмирать должны участки головки, контактирующие именно с крышей вертлужной падины. А здесь якобы страдает медиальная поверхность. Но обратите внимание - при сравнении с контрлатеральной головкой на снимках видны не симметричные участки, а другие, что обусловлено несимметричностью бедер, углы ротации бедер при снимке - не равны. Еще - есть явная рабочая гипертрофия внутренних полуцилиндров бедер, а шеечно - диафизарный угол слева - увеличен. Слева - легкая неоднородность в структурах шейки бедра, но возможно это остеопороз...
спасибо Анатолий Владимирович. Клиника сходна и я вероятно начал гипердиагностировать
Лаунштейна бы, для полного счастья... Ибо ЮЭГБ не дремлет. А на Пертеса вроде бы не похоже.
Особенно если обратить внимание на структуру наружно-нижнего края эпифиза бедра справа, неравномерность щели между эпифизом и метафизом справа, легкую неконгруентность справа...да и футбол из той же оперы....
Болезни ног: виды, симптомы, причины, профилактика и лечение
Я бы предположила юношеский остеоэпифизиолиз головки бедра, достаточно убедительная картинка.
Ни за болезнь Пертеса, ни за эпифизеолиз данных не вижу, скорее всего, у ребенка артрит. Хорошо бы УЗИ сустава.
https://www.instagram.com/pediatricradiology/