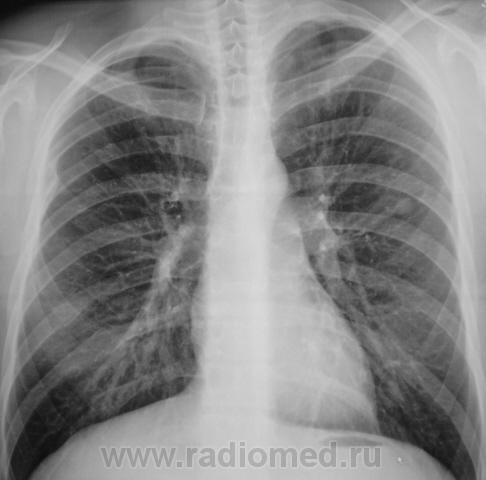
Пол пациента: Мужской пол Тип патологии: Другое Область исследования: Грудная клетка и верхние дыхательные пути Методы исследования: Rg Туберкулома? https://radiomed.ru/sites/default/files/styles/case_slider_image/public/user/12/2.pb240005a.jpg?itok=xfKB85vZ ID:9364 Thu, 25/11/2010 - 01:21 #1 Катенёв Валенти... Offline Last seen: 7 years 3 weeks ago Joined: 22.03.2008 - 22:15 Posts: 54876 Продолжение. [[wysiwyg_imageupload:690:]][[wysiwyg_imageupload:691:]][[wysiwyg_imageupload:692:]][[wysiwyg_imageupload:693:]] Thu, 25/11/2010 - 05:24 #2 Helios Offline Last seen: 7 months 3 weeks ago Joined: 06.08.2010 - 15:16 Posts: 4417 А здесь?Приложения: Thu, 25/11/2010 - 14:34 #3 lupan Offline Last seen: 6 years 10 months ago Joined: 07.01.2010 - 17:17 Posts: 1406 Helios wrote: А здесь? Туберкулома-то имеется. Но не она здесь самая "страшная". Великое преймущество врача заключается в том, что он не обязан следовать собственным советам. ( А. Кристи) Thu, 25/11/2010 - 14:46 #4 Катенёв Валенти... Offline Last seen: 7 years 3 weeks ago Joined: 22.03.2008 - 22:15 Posts: 54876 Наша "туберкулома", конечно, требует д/диагностики с периферическим раком лёгкого. Thu, 25/11/2010 - 21:06 #5 Катенёв Валенти... Offline Last seen: 7 years 3 weeks ago Joined: 22.03.2008 - 22:15 Posts: 54876 Пациент прооперирован в ОПТД, диагноз подтвержден. Снимки ниже.Приложения: Thu, 25/11/2010 - 21:13 #6 Катенёв Валенти... Offline Last seen: 7 years 3 weeks ago Joined: 22.03.2008 - 22:15 Posts: 54876 Фрагменты снимков и томограмма.Приложения:
Продолжение.
[[wysiwyg_imageupload:690:]][[wysiwyg_imageupload:691:]][[wysiwyg_imageupload:692:]][[wysiwyg_imageupload:693:]]
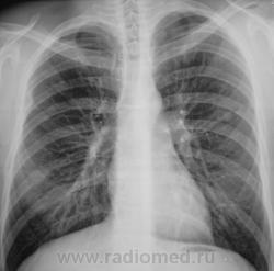
А здесь?
Туберкулома-то имеется. Но не она здесь самая "страшная".
Великое преймущество врача заключается в том, что он не обязан следовать собственным советам. ( А. Кристи)
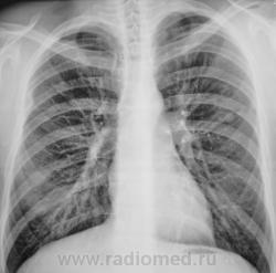
Наша "туберкулома", конечно, требует д/диагностики с периферическим раком лёгкого.
Пациент прооперирован в ОПТД, диагноз подтвержден. Снимки ниже.
Фрагменты снимков и томограмма.