You are here

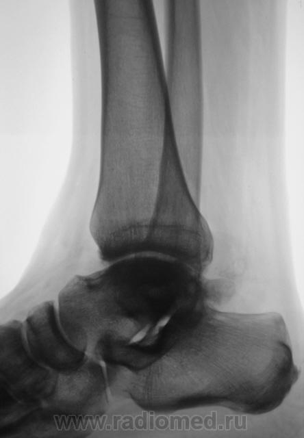
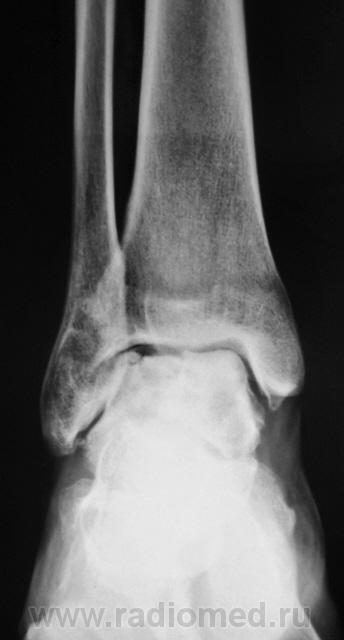
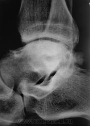
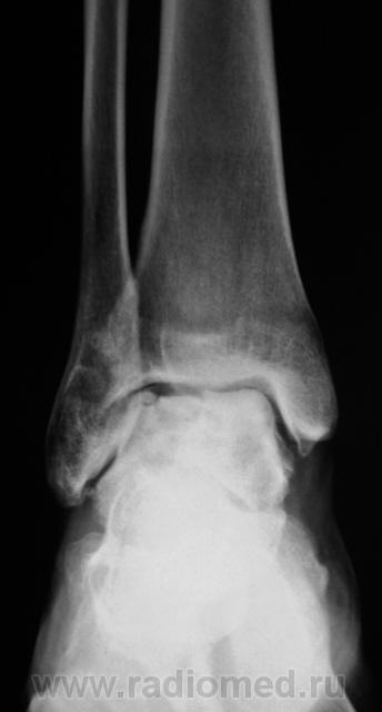
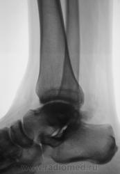
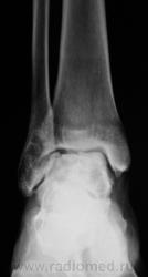
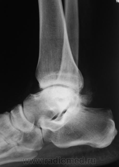
Пациент направлен на рентгенографию голеностопного сустава с диагнозом ДОА.

Пол пациента: 
Тип патологии: 
Область исследования: 
Методы исследования: 

Пациент направлен на рентгенографию голеностопного сустава с диагнозом ДОА.

  • https://radiomed.ru/sites/default/files/styles/case_slider_image/public/user/12/52.pb260021a.jpg?itok=tdu8IITJ
  • https://radiomed.ru/sites/default/files/styles/case_slider_image/public/user/12/53.pb260024.jpg?itok=LX83Zzw8
  • https://radiomed.ru/sites/default/files/styles/case_slider_image/public/user/12/54.pb260028.jpg?itok=-sPLo7Wz
  • https://radiomed.ru/sites/default/files/styles/case_slider_image/public/user/12/55.pb260022.jpg?itok=i-DQB1JL
  • https://radiomed.ru/sites/default/files/styles/case_slider_image/public/user/12/56.pb260022a.jpg?itok=Ve08C4YK
  • https://radiomed.ru/sites/default/files/styles/case_slider_image/public/user/12/57.pb260026.jpg?itok=t6Ux-UFJ
  • https://radiomed.ru/sites/default/files/styles/case_slider_image/public/user/12/58.pb260026a.jpg?itok=U1jyuSma
  • https://radiomed.ru/sites/default/files/styles/case_slider_image/public/user/12/59.pb260023.jpg?itok=--xPdjK7
  • https://radiomed.ru/sites/default/files/styles/case_slider_image/public/user/12/60.pb260023a.jpg?itok=zZ8-jiWP
  • https://radiomed.ru/sites/default/files/styles/case_slider_image/public/user/12/61.pb260027.jpg?itok=qLEIvZKU
  • https://radiomed.ru/sites/default/files/styles/case_slider_image/public/user/12/61.pb260027_0.jpg?itok=d7w0F_MZ
  • https://radiomed.ru/sites/default/files/styles/case_slider_image/public/user/12/62.pb260027a.jpg?itok=emlKZv7Y
ID:9457
Сан Саныч1's picture
Offline
Last seen: 1 year 3 weeks ago
Joined: 07.06.2010 - 21:17
Posts: 2114

После внутрисуставного перелома вероятность доа оччень высока. Колгда была травма?

Хочешь сделать что-то нормально - сделай это сам!

Катенёв Валентин Львович's picture
Offline
Last seen: 7 years 1 month ago
Joined: 22.03.2008 - 22:15
Posts: 54876

Травма была два года тому.

Віктор's picture
Offline
Last seen: 12 years 10 months ago
Joined: 13.10.2010 - 22:18
Posts: 33

Похоже  на  остеохондропатию  блока  таранной  кости  +   ДОА.

Игорь Иванович's picture
Offline
Last seen: 3 years 10 months ago
Joined: 23.01.2010 - 14:56
Posts: 3695

А присутствует линейный (или лентовидный, я их путаю) остеопороз, а это признак острого процесса.

Makcimalist's picture
Offline
Last seen: 11 years 10 months ago
Joined: 08.05.2010 - 14:28
Posts: 1994

Игорь Иванович wrote:

А присутствует линейный (или лентовидный, я их путаю) остеопороз, а это признак острого процесса.

... и какого же процесса признак остеопороз?..

--------------

"Просто, по видимости, не видеть логики в очевидных вещах - это тоже одно из свойств некоторых умов, наряду с грустными думами о свойствах ума других."  © Vega 08/10/2011

Игорь Иванович's picture
Offline
Last seen: 3 years 10 months ago
Joined: 23.01.2010 - 14:56
Posts: 3695

Makcimalist wrote:

Игорь Иванович wrote:

А присутствует линейный (или лентовидный, я их путаю) остеопороз, а это признак острого процесса.

... и какого же процесса признак остеопороз?..

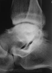
Приложения: 
06122010921.jpg06122010922.jpg
Makcimalist's picture
Offline
Last seen: 11 years 10 months ago
Joined: 08.05.2010 - 14:28
Posts: 1994

Игорь Иванович, спасибо за книжные выдержки (никогда (пока?) не видел лентовидного остеопороза; кстати, и в наблюдении - не вижу)!

 Так, всё же как? Считаете, что здесь артрит или остеомиелит, ИЛИ же остеопоротическая перестройка - сама по себе?..

--------------

"Просто, по видимости, не видеть логики в очевидных вещах - это тоже одно из свойств некоторых умов, наряду с грустными думами о свойствах ума других."  © Vega 08/10/2011

Игорь Иванович's picture
Offline
Last seen: 3 years 10 months ago
Joined: 23.01.2010 - 14:56
Posts: 3695

Makcimalist wrote:

Игорь Иванович, спасибо за книжные выдержки (никогда (пока?) не видел лентовидного остеопороза; кстати, и в наблюдении - не вижу)!

 Так, всё же как? Считаете, что здесь артрит или остеомиелит, ИЛИ же остеопоротическая перестройка - сама по себе?..

Только не последнее...

Приложения: 
52.pb260021a.jpg
stovbav's picture
Offline
Last seen: 2 years 3 months ago
Joined: 20.12.2009 - 17:28
Posts: 7066

+ за лентовидный остеопроз...

Makcimalist's picture
Offline
Last seen: 11 years 10 months ago
Joined: 08.05.2010 - 14:28
Posts: 1994

Игорь Иванович wrote:

Makcimalist wrote:

Игорь Иванович, спасибо за книжные выдержки (никогда (пока?) не видел лентовидного остеопороза; кстати, и в наблюдении - не вижу)!

 Так, всё же как? Считаете, что здесь артрит или остеомиелит, ИЛИ же остеопоротическая перестройка - сама по себе?..

Только не последнее...

С учётом стрелочек, надо полагать, остеомиелит!..

А я за "очаговый остеопоз сам по себе"!

--------------

"Просто, по видимости, не видеть логики в очевидных вещах - это тоже одно из свойств некоторых умов, наряду с грустными думами о свойствах ума других."  © Vega 08/10/2011

Игорь Иванович's picture
Offline
Last seen: 3 years 10 months ago
Joined: 23.01.2010 - 14:56
Posts: 3695

Будем думать, что некроз блока таранной кости не такой уж и асептический, какая-то инхвекция там есть.

Регион05Наира's picture
Offline
Last seen: 13 years 10 months ago
Joined: 26.11.2011 - 14:43
Posts: 59

Посттравматический артроз с кистовидной перестройкойлатерального мыщелка Субхондральное уплотнение исужение суст. щелей естьИ неконгруэнтность большеберцового эпифиза к таранной маленько просматривается?