You are here

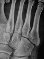
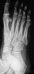
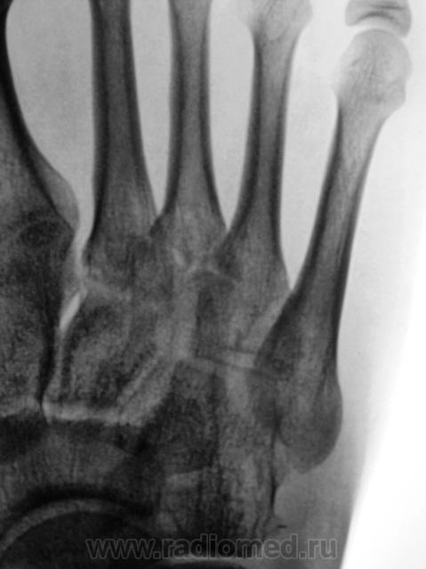
Травмы не было. Боли в переднем отделе стопы.

Пол пациента: 
Тип патологии: 
Область исследования: 
Методы исследования: 

Травмы не было. Боли в переднем отделе стопы.

  • https://radiomed.ru/sites/default/files/styles/case_slider_image/public/user/12/22.pb260002.jpg?itok=_rIwNAGz
  • https://radiomed.ru/sites/default/files/styles/case_slider_image/public/user/12/23.pb260003.jpg?itok=H7k0uWAz
  • https://radiomed.ru/sites/default/files/styles/case_slider_image/public/user/12/24.pb260006.jpg?itok=NsNNCpUs
  • https://radiomed.ru/sites/default/files/styles/case_slider_image/public/user/12/25.pb260004.jpg?itok=GNT4VunZ
  • https://radiomed.ru/sites/default/files/styles/case_slider_image/public/user/12/26.pb260005.jpg?itok=ot1WykvE
ID:9471
Катенёв Валентин Львович's picture
Offline
Last seen: 7 years 3 months ago
Joined: 22.03.2008 - 22:15
Posts: 54876

Но, юноша интенсивно занимается классической борьбой.

Николай's picture
Offline
Last seen: 2 years 12 months ago
Joined: 29.05.2009 - 04:38
Posts: 554

может в процессе борьбы и была получена трама? А может такая картина возникнуть как результат повышенной тренеровочной нагрузки, как перстройка костной ткани

Игорь Иванович's picture
Offline
Last seen: 4 years 1 week ago
Joined: 23.01.2010 - 14:56
Posts: 3695

Николай wrote:

может в процессе борьбы и была получена трама? А может такая картина возникнуть как результат повышенной тренеровочной нагрузки, как перстройка костной ткани

А где здесь перестройка?

stovbav's picture
Offline
Last seen: 2 years 5 months ago
Joined: 20.12.2009 - 17:28
Posts: 7066

Игорь Иванович, а если взглянуть вот с такого ракурса?

Приложения: 
jbhmbm.jpg
Катенёв Валентин Львович's picture
Offline
Last seen: 7 years 3 months ago
Joined: 22.03.2008 - 22:15
Posts: 54876

Вы глазастый, и очень уважаемый Виктор Григорьевич!

В десятку попали!

Игорь Иванович's picture
Offline
Last seen: 4 years 1 week ago
Joined: 23.01.2010 - 14:56
Posts: 3695

stovbav wrote:

Игорь Иванович, а если взглянуть вот с такого ракурса?

Согласен.

Катенёв Валентин Львович's picture
Offline
Last seen: 7 years 3 months ago
Joined: 22.03.2008 - 22:15
Posts: 54876

Ну, и как же протокольно, обзовем такую патологию?

stovbav's picture
Offline
Last seen: 2 years 5 months ago
Joined: 20.12.2009 - 17:28
Posts: 7066

Так а как иначе, чем лоозеровские зоны перестройки.

Катенёв Валентин Львович's picture
Offline
Last seen: 7 years 3 months ago
Joined: 22.03.2008 - 22:15
Posts: 54876

А. может "стресс-переломом" обругаем...

stovbav's picture
Offline
Last seen: 2 years 5 months ago
Joined: 20.12.2009 - 17:28
Posts: 7066

Оно то конечно можно, дабы поумерить пыл борца на какое то время...по пока, по сути, это не перелом.