Пол пациента:
Тип патологии:
Область исследования:
Методы исследования:
- https://radiomed.ru/sites/default/files/styles/case_slider_image/public/user/12/2.pb260033.jpg?itok=3RjHxHrG
- https://radiomed.ru/sites/default/files/styles/case_slider_image/public/user/12/3.pb260032.jpg?itok=Zh3xnlMu
- https://radiomed.ru/sites/default/files/styles/case_slider_image/public/user/12/4.pb260036.jpg?itok=KVcT_Mst
- https://radiomed.ru/sites/default/files/styles/case_slider_image/public/user/12/1.pb260031.jpg?itok=QEtzRD2x
- https://radiomed.ru/sites/default/files/styles/case_slider_image/public/user/12/2.pb260031a.jpg?itok=TzzwxNVB
- https://radiomed.ru/sites/default/files/styles/case_slider_image/public/user/12/3.pb260035.jpg?itok=eHCLu7-D
- https://radiomed.ru/sites/default/files/styles/case_slider_image/public/user/12/4.pb260035a.jpg?itok=el3haw01
ID:9489
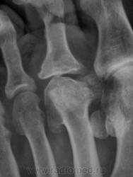
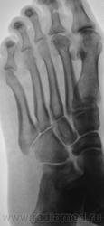
Похоже на болезнь Келлера -2 .
А почему похоже? "Композиторов" иногда не помню, но если асептический некроз головок 2-4 плюсневых костей это Келлер-2, то так и есть.
+ поперечное плоскостопие.
Великое преймущество врача заключается в том, что он не обязан следовать собственным советам. ( А. Кристи)
Очень похоже, хотя болеет чаще женский пол!
Только очень старый, сейчас уже просто выраженный артроз.
https://www.instagram.com/pediatricradiology/
Лично я, в полном восторге!
Сначала был "белый медведь", потом появилась образ прекрасной женщины на фоне древних развалин, по типу ринга древних гладиаторов, потом была "детская ножка". Сейчас на нас смотрит прелестная женщина.
Огромная просьба к Вам Ola-la, не меняйте этот прекрасный образ!
Ой, не нужно так сильно увеличивать

А я что-то белого медведя не припомню.
https://www.instagram.com/pediatricradiology/
А увеличивается само-собой если картинку вставлять новым способом, но я исправил.
А, я помню, очень хорошо, возможно, где-то сохранилось, на фоне сине-голубой воды.