You are here

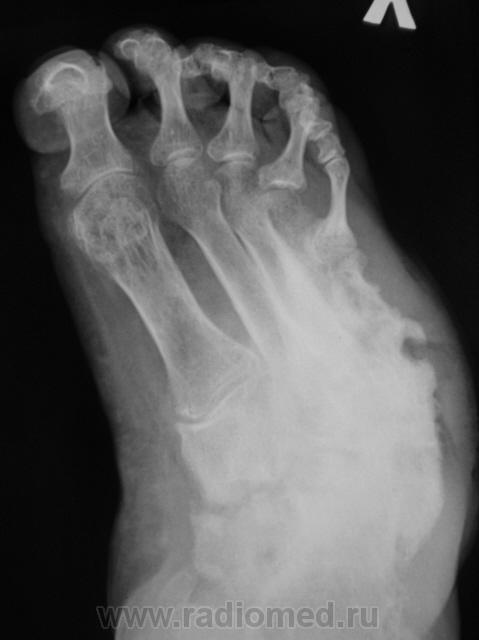
Пациентка направлена на рентгенографию стоп.

Пол пациента: 
Тип патологии: 
Область исследования: 
Методы исследования: 

Пациентка направлена на рентгенографию стоп.

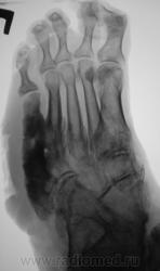
Правая стопа.

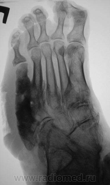
Левая стопа.

  • https://radiomed.ru/sites/default/files/styles/case_slider_image/public/user/12/2.pb300010a.jpg?itok=pCsuE9oT
  • https://radiomed.ru/sites/default/files/styles/case_slider_image/public/user/12/3.pb300011.jpg?itok=XChe6y5t
  • https://radiomed.ru/sites/default/files/styles/case_slider_image/public/user/12/4.pb300011a.jpg?itok=ZtqlDYDc
  • https://radiomed.ru/sites/default/files/styles/case_slider_image/public/user/12/5.pb300011ab.jpg?itok=llTxj9f8
  • https://radiomed.ru/sites/default/files/styles/case_slider_image/public/user/12/1.pb300012.jpg?itok=jluTk2Ju
  • https://radiomed.ru/sites/default/files/styles/case_slider_image/public/user/12/2.pb300012a.jpg?itok=JJO9i_cI
  • https://radiomed.ru/sites/default/files/styles/case_slider_image/public/user/12/3.pb300012ab.jpg?itok=4Hf2uIDi
  • https://radiomed.ru/sites/default/files/styles/case_slider_image/public/user/12/4.pb300013.jpg?itok=aWEOlhzq
  • https://radiomed.ru/sites/default/files/styles/case_slider_image/public/user/12/5.pb300013a.jpg?itok=PvFGm7bZ
  • https://radiomed.ru/sites/default/files/styles/case_slider_image/public/user/12/1.pb300014.jpg?itok=QZX1tZUA
  • https://radiomed.ru/sites/default/files/styles/case_slider_image/public/user/12/2.pb300014a.jpg?itok=ToepOXNp
  • https://radiomed.ru/sites/default/files/styles/case_slider_image/public/user/12/3.pb300015.jpg?itok=lPn3JhuP
  • https://radiomed.ru/sites/default/files/styles/case_slider_image/public/user/12/4.pb300015a.jpg?itok=HuP4mmyB
  • https://radiomed.ru/sites/default/files/styles/case_slider_image/public/user/12/1.pb300016.jpg?itok=vd1pg0-w
  • https://radiomed.ru/sites/default/files/styles/case_slider_image/public/user/12/2.pb300016a.jpg?itok=EDUvYP6P
  • https://radiomed.ru/sites/default/files/styles/case_slider_image/public/user/12/3.pb300016ab.jpg?itok=KJ7hhuEj
  • https://radiomed.ru/sites/default/files/styles/case_slider_image/public/user/12/4.pb300017.jpg?itok=rmnTywlv
  • https://radiomed.ru/sites/default/files/styles/case_slider_image/public/user/12/1.pb300017a.jpg?itok=kL3Q5Hxr
  • https://radiomed.ru/sites/default/files/styles/case_slider_image/public/user/12/2.pb300017ab.jpg?itok=fj9w6IW8
ID:9609
Евгений Сергеевич's picture
Offline
Last seen: 14 years 3 weeks ago
Joined: 11.11.2010 - 16:59
Posts: 56

а возраст?..

Евгений Сергеевич

Катенёв Валентин Львович's picture
Offline
Last seen: 7 years 1 month ago
Joined: 22.03.2008 - 22:15
Posts: 54876

Возраст - 51 год.

Евгений Сергеевич's picture
Offline
Last seen: 14 years 3 weeks ago
Joined: 11.11.2010 - 16:59
Posts: 56

хочется усмотреть систмность...

Евгений Сергеевич

Катенёв Валентин Львович's picture
Offline
Last seen: 7 years 1 month ago
Joined: 22.03.2008 - 22:15
Posts: 54876

Направительный диагноз - "Диабетическая ангиопатия".

Евгений Сергеевич's picture
Offline
Last seen: 14 years 3 weeks ago
Joined: 11.11.2010 - 16:59
Posts: 56

Валентин Львович! В первый раз выходя на публику поостерегусь конкретизировать свои выводы...хотя мнение есть без инета...

Евгений Сергеевич

Катенёв Валентин Львович's picture
Offline
Last seen: 7 years 1 month ago
Joined: 22.03.2008 - 22:15
Posts: 54876

Здравствуйте коллега!

А, что Вам остерегаться, это сайт лучевых диагностов, довольно демократичный и предельно культурный по общению.

Игорь Иванович's picture
Offline
Last seen: 3 years 10 months ago
Joined: 23.01.2010 - 14:56
Posts: 3695

Какой-то Гарре.

Евгений Сергеевич's picture
Offline
Last seen: 14 years 3 weeks ago
Joined: 11.11.2010 - 16:59
Posts: 56

В прошлом судмедэксперт и не хотелось бы скоропостижных крахов к самому себе... я обязательно буду профессиональным участником..время...

Евгений Сергеевич

Катенёв Валентин Львович's picture
Offline
Last seen: 7 years 1 month ago
Joined: 22.03.2008 - 22:15
Posts: 54876

Игорь Иванович wrote:

Какой-то Гарре.

Некоторые коллеги высказали мнение по поводу наличия остеомиелита.

sema's picture
Offline
Last seen: 10 years 5 months ago
Joined: 05.09.2010 - 08:39
Posts: 233

По правой стопе я бы тоже поставил Гарре, но слева такое вылезает. Может все-таки системное?

Катенёв Валентин Львович's picture
Offline
Last seen: 7 years 1 month ago
Joined: 22.03.2008 - 22:15
Posts: 54876

sema wrote:

По правой стопе я бы тоже поставил Гарре, но слева такое вылезает. Может все-таки системное?

Хирург, увидев только одну стопу - правую, левая, еще была в работе, ответственно заявил - "остеогенная саркома"...

Евгений Сергеевич's picture
Offline
Last seen: 14 years 3 weeks ago
Joined: 11.11.2010 - 16:59
Posts: 56

посмотреть бы в "стёклах", пока склоняюсь к остеобластокластоме..

Евгений Сергеевич

Игорь Иванович's picture
Offline
Last seen: 3 years 10 months ago
Joined: 23.01.2010 - 14:56
Posts: 3695

Не усмотрел что две стопы. Может перегрузочная болезнь?

Almo's picture
Offline
Last seen: 9 hours 2 min ago
Joined: 28.09.2008 - 18:50
Posts: 8282

Системное поражение, возможно как следствие диабетической ангиопатии;слева V плюсневая кость с прерывистым контуром ( возможно остеонекроз на фоне ангиопатии). Не видел подобного ранее.

lupan's picture
Offline
Last seen: 6 years 11 months ago
Joined: 07.01.2010 - 17:17
Posts: 1406

Картинка вобрала в себя все, что клинически называют "диабетическая стопа". Здесь последствия и ангиопатии, и нейропатии, и присоединившейся инфекции. По-моему, имеется и трофическая язва. Прямо студенческий случай. Хотя, я тоже ранее таких стоп не видел.

Великое преймущество врача заключается в том, что он не обязан следовать собственным советам. ( А. Кристи)

Катенёв Валентин Львович's picture
Offline
Last seen: 7 years 1 month ago
Joined: 22.03.2008 - 22:15
Posts: 54876

Выставлю сегодня "внешний вид" стоп.

Popovpavel's picture
Offline
Last seen: 7 years 3 months ago
Joined: 08.06.2009 - 00:23
Posts: 649

Было бы односторонне поражение, подумал бы про мелореостоз.

Катенёв Валентин Львович's picture
Offline
Last seen: 7 years 1 month ago
Joined: 22.03.2008 - 22:15
Posts: 54876

Одна стопа.

[[wysiwyg_imageupload:775:]][[wysiwyg_imageupload:776:]][[wysiwyg_imageupload:777:]]

Катенёв Валентин Львович's picture
Offline
Last seen: 7 years 1 month ago
Joined: 22.03.2008 - 22:15
Posts: 54876

Другая стопа.

Приложения: 
4.pc010003.jpg5.pc010003a.jpg6.pc010004.jpg
Игорь Иванович's picture
Offline
Last seen: 3 years 10 months ago
Joined: 23.01.2010 - 14:56
Posts: 3695

Игорь Иванович wrote:

Не усмотрел что две стопы. Может перегрузочная болезнь?

Послюшаюсь совета Валентина Львовича.

Приложения: 
7_137.jpg
sema's picture
Offline
Last seen: 10 years 5 months ago
Joined: 05.09.2010 - 08:39
Posts: 233

По внешнему виду нарушение трофики.

Катенёв Валентин Львович's picture
Offline
Last seen: 7 years 1 month ago
Joined: 22.03.2008 - 22:15
Posts: 54876

Хронология с 1997 года.

[[wysiwyg_imageupload:816:]][[wysiwyg_imageupload:817:]][[wysiwyg_imageupload:818:]][[wysiwyg_imageupload:819:]][[wysiwyg_imageupload:820:]]

Катенёв Валентин Львович's picture
Offline
Last seen: 7 years 1 month ago
Joined: 22.03.2008 - 22:15
Posts: 54876

Продолжение.

Приложения: 
6.pc020010.jpg7.pc020011.jpg8.pc020012.jpg8.pc020013.jpg10.pc020014.jpg11.pc020015.jpg12.pc020016.jpg13.pc020017.jpg
Игорь Иванович's picture
Offline
Last seen: 3 years 10 months ago
Joined: 23.01.2010 - 14:56
Posts: 3695

Так все-таки, изменения в 5 плюсневых первично-диабетичны (такого не описывают в учебниках), или per contuitatem от язв?