You are here

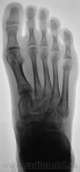
Травмы не было. Боли в стопе.

Пол пациента: 
Тип патологии: 
Область исследования: 
Методы исследования: 

Травмы не было.  Боли в стопе.

  • https://radiomed.ru/sites/default/files/styles/case_slider_image/public/user/12/2.pc020001a.jpg?itok=hAfcL07s
  • https://radiomed.ru/sites/default/files/styles/case_slider_image/public/user/12/3.pc020002.jpg?itok=3hJAFXs2
  • https://radiomed.ru/sites/default/files/styles/case_slider_image/public/user/12/4.pc020002a.jpg?itok=WjT0MN-x
ID:9732
Helios's picture
Offline
Last seen: 9 months 1 week ago
Joined: 06.08.2010 - 15:16
Posts: 4417

Головка 2 плюсневой кости уплощена-остеохондропатия..Не совсем понятно уплотнение структуры основания 1 плюсневой кости-может быть для такого возраста это норма?.Зоны роста видны.

Popovpavel's picture
Offline
Last seen: 7 years 4 months ago
Joined: 08.06.2009 - 00:23
Posts: 649

Вторая болезнь Кёлера?

stovbav's picture
Offline
Last seen: 2 years 4 months ago
Joined: 20.12.2009 - 17:28
Posts: 7066

+ за свежий Келлер 2

Глазков Игорь Артурович's picture
Offline
Last seen: 11 months 1 day ago
Joined: 19.12.2008 - 20:41
Posts: 1597

болезнь Кёлера.

Прийди к Себе