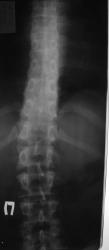
Пол пациента: Женский пол Тип патологии: Другое Область исследования: Скелетно-мышечная система Методы исследования: Rg Женщина, 29 лет, жалобы на боли в спине. Правомерно ли говорить о spinae bifidae Th 11? https://radiomed.ru/sites/default/files/styles/case_slider_image/public/user/2211/dsc00981.jpg?itok=_qg76Ozt ID:9985 Thu, 09/12/2010 - 20:55 #1 Almo Offline Last seen: 18 hours 43 min ago Joined: 28.09.2008 - 18:50 Posts: 8284 Правомочно. Mon, 13/12/2010 - 19:59 #2 Zimyshka Offline Last seen: 8 years 9 months ago Joined: 13.11.2009 - 18:26 Posts: 53 Спасибо за комментарий. Просто удивило такое место расположения, и выглядет она как у детей до 6 лет, где можно ее считать физиологической. Mon, 13/12/2010 - 21:49 #3 Almo Offline Last seen: 18 hours 43 min ago Joined: 28.09.2008 - 18:50 Posts: 8284 Да, вы правы, spina bifida такой локализации редко встречается.
Правомочно.
Спасибо за комментарий. Просто удивило такое место расположения, и выглядет она как у детей до 6 лет, где можно ее считать физиологической.
Да, вы правы, spina bifida такой локализации редко встречается.