You are here

Динамика.

Пол пациента: 
Тип патологии: 
Методы исследования: 

Динамика.

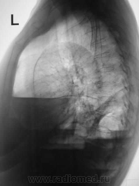
Первое исследование.

Через неделю.

Еще, через 2 недели.

Еще, через 1,5 недели.

  • https://radiomed.ru/sites/default/files/styles/case_slider_image/public/user/12/2.pc070013.jpg?itok=0bubNdfn
  • https://radiomed.ru/sites/default/files/styles/case_slider_image/public/user/12/3.pc070014.jpg?itok=1ksv-Ykj
  • https://radiomed.ru/sites/default/files/styles/case_slider_image/public/user/12/4.pc070015.jpg?itok=pR9_WNOX
  • https://radiomed.ru/sites/default/files/styles/case_slider_image/public/user/12/5.pc070016.jpg?itok=OYPnRlsp
  • https://radiomed.ru/sites/default/files/styles/case_slider_image/public/user/12/6.pc070017.jpg?itok=jW19EwU_
  • https://radiomed.ru/sites/default/files/styles/case_slider_image/public/user/12/7.pc070018.jpg?itok=-nyMFAyo
  • https://radiomed.ru/sites/default/files/styles/case_slider_image/public/user/12/1.pc070019.jpg?itok=yuq9Ovca
  • https://radiomed.ru/sites/default/files/styles/case_slider_image/public/user/12/2.pc070020.jpg?itok=ElPpjdh8
  • https://radiomed.ru/sites/default/files/styles/case_slider_image/public/user/12/3.pc070021.jpg?itok=QmFMIgST
  • https://radiomed.ru/sites/default/files/styles/case_slider_image/public/user/12/4.pc070022.jpg?itok=XYmI5Bo0
  • https://radiomed.ru/sites/default/files/styles/case_slider_image/public/user/12/5.pc070022a.jpg?itok=8r8PEI9U
  • https://radiomed.ru/sites/default/files/styles/case_slider_image/public/user/12/1.pc070023.jpg?itok=69j6Z9CL
  • https://radiomed.ru/sites/default/files/styles/case_slider_image/public/user/12/2.pc070023a.jpg?itok=lcuoa8J_
  • https://radiomed.ru/sites/default/files/styles/case_slider_image/public/user/12/3.pc070024.jpg?itok=CDrqVSXk
  • https://radiomed.ru/sites/default/files/styles/case_slider_image/public/user/12/4.pc070024a.jpg?itok=5fcJd7Gp
ID:10014
Игорь Иванович's picture
Offline
Last seen: 3 years 12 months ago
Joined: 23.01.2010 - 14:56
Posts: 3695

Не улавливаю причинно-следственных связей. И пневмогидроторакс, и непроходимость. Али хворь какая приключилась?

Игорь Иванович's picture
Offline
Last seen: 3 years 12 months ago
Joined: 23.01.2010 - 14:56
Posts: 3695

Игорь Иванович wrote:

Не улавливаю причинно-следственных связей. И пневмогидроторакс, и непроходимость. Али хворь какая приключилась?

Понял. Гнойное расплавление легкого, множ. абсцессы. Когда-то был у меня такой случай: на прямой 1-2 уровня. Не хотел делать боковой, мол и так все ясно. А на боковом - целые аркады.

Матвей's picture
Offline
Last seen: 14 years 10 months ago
Joined: 27.11.2010 - 22:50
Posts: 95

И без анамнеза (травма, проблемы с брюшной полостью - хоть что-то) только гадать...

Игорь Иванович's picture
Offline
Last seen: 3 years 12 months ago
Joined: 23.01.2010 - 14:56
Posts: 3695

Пока Валентин Львович выдерживает дипломатическую паузу, предположим, что страдал Гаврила от гангрены, от гангрены Гаврила слег. Главное, что динамика положительная, что позволяет шутить.

Матвей's picture
Offline
Last seen: 14 years 10 months ago
Joined: 27.11.2010 - 22:50
Posts: 95

Вроде бы дама...

Катенёв Валентин Львович's picture
Offline
Last seen: 7 years 3 months ago
Joined: 22.03.2008 - 22:15
Posts: 54876

Матвей wrote:

И без анамнеза (травма, проблемы с брюшной полостью - хоть что-то) только гадать...

Травмы не было, и брюшной полости в том числе. Пациентка в течение 1 месяца "народными средствами" лечилась от "простуды". Но темперетура поползла и бабушка обратилась в больницу, участковым терапевтом была направлена на рентгенографию - 1 снимок.

После производства снимка (ургентном порядке), по-сему снимок в одной проекции, так как терапевт, аускультативно ничено не услышал, заказал только прямую проекцию, а лаборант и сделал одну проекцию.

Катенёв Валентин Львович's picture
Offline
Last seen: 7 years 3 months ago
Joined: 22.03.2008 - 22:15
Posts: 54876

Игорь Иванович wrote:

Пока Валентин Львович выдерживает дипломатическую паузу, предположим, что страдал Гаврила от гангрены, от гангрены Гаврила слег. Главное, что динамика положительная, что позволяет шутить.

Прошу прощения Игорь Иванович, паузу не выдерживал, наблюдение поместил ночью, с утра, с моими "феминами", лазили, где только могли - снег выпал.

Пациентку весьма интенсивно начали лечить в терапии, но стало хуже пациентке, начала "качать жидкость", справа, кроме всего прочего зарегистрировали пневмоторакс, был вызван их области торакальщик, который спунктировал около 3 литров справа, но с собой в область не взял, думал, по всей видимости, что "бабулька" загнется - вторая серия снимков.

Катенёв Валентин Львович's picture
Offline
Last seen: 7 years 3 months ago
Joined: 22.03.2008 - 22:15
Posts: 54876

Далее поключились хирурги, поставили дренаж и "бабушка" потихоньку стала выкарабкиваться - третья серия снимков, и даже начала ругаться, что чувствует себя уже хорошо, а мы тут её держим. Но её конечно "пользовали" еще, и в пятницу - последняя серия снимков - дали на контроль.

Helios's picture
Offline
Last seen: 10 months 1 day ago
Joined: 06.08.2010 - 15:16
Posts: 4417

Валентин Львович,эти снимки( кроме последней динамики) уже выставлялись на сайте.Надеюсь, моя природная наблюдательность меня не подвела.

Катенёв Валентин Львович's picture
Offline
Last seen: 7 years 3 months ago
Joined: 22.03.2008 - 22:15
Posts: 54876

Совершенно верно. Выставлялись, без последних.