Правый КДС и лег рис справа - немного заинтерсовали. Но для грыжесечения, думаю, значения не имеют. "Норма" --->> "По месту .... сравнить с Фл-архивом".
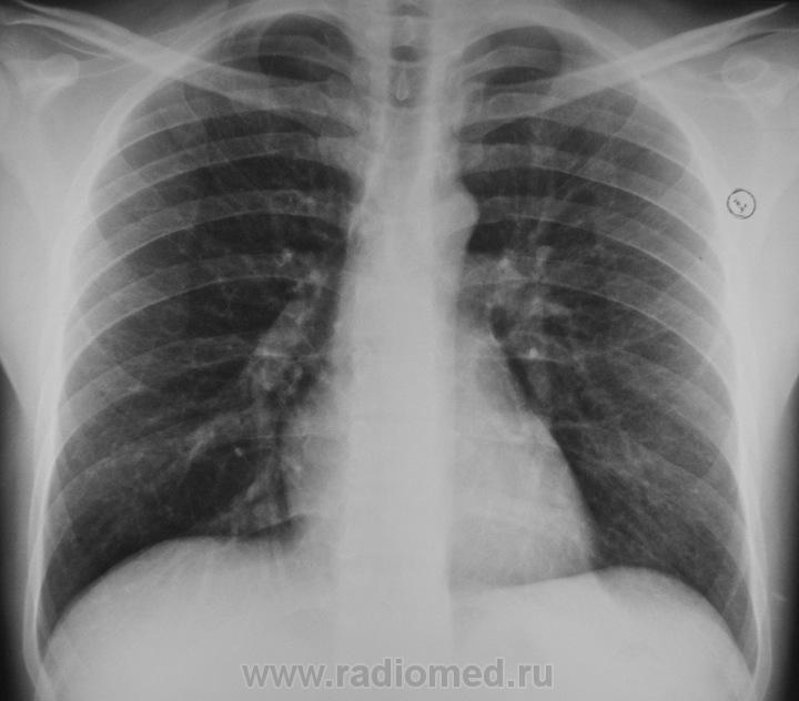
А почему снимок такой "темный"? Почему лопатки полностью наслаиваются на легочные поля. Может лаборант выполняет укладку установку пациента не правильно?
заподозрил бы...
Правый КДС и лег рис справа - немного заинтерсовали. Но для грыжесечения, думаю, значения не имеют. "Норма" --->> "По месту .... сравнить с Фл-архивом".
с правой ключицей?...
в смысле?
Let me see...
radiographia.ru
"Боба была?" - "Не-а".
"А вот так!!!" - и пальчиком как ... "Да нет, доктор, ничего не было!!!"
"Ну, ладно... идите на ... грыжесечение."
Поясните пожалуйста, я не понимаю что вы имеете в виду.
Let me see...
radiographia.ru
Грудинный конец ключицы. Разговор с пациентом.
Нет, грудинный конец ключицы здесь не причём.
Let me see...
radiographia.ru
Согласен. Но так, чисто, по стебаться.
Артефакт?
Ещё гуляем?
Всех благ, добра и счастья!
Верхний край акромиона?
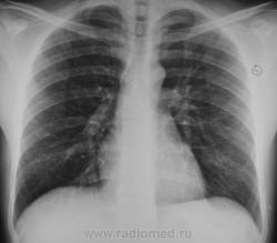
Обратите внимание на первое ребро.
Let me see...
radiographia.ru
Обратили.На фоне ребра не совсем понятные полостюшки( полостями язык не поворачивается назвать).
Для начала я бы убедился, что это не артефакт и не игра теней.
Великое преймущество врача заключается в том, что он не обязан следовать собственным советам. ( А. Кристи)
Как бы сказал Петрович "Резать...хотя бы ЛТ-ушкой( в оригинале КТ-ушкой).
Не исключено , что в ребре литические очаги .
Это не артефакт, на самом деле в 1-ом ребре есть литический очаг.
Let me see...
radiographia.ru
А почему снимок такой "темный"? Почему лопатки полностью наслаиваются на легочные поля. Может лаборант выполняет укладку установку пациента не правильно?
Четкое отграничение от неизмененной окружающей ткани - что-то не серьезное. Или беспокоит?
Хотя бы заднюю проекцию прицельно в рёберном режиме доснять...
Неоднозначно всё
Покажите другие снимки. Откуда стрельнуло или чего?