You are here

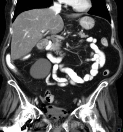
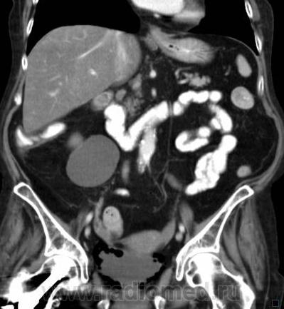
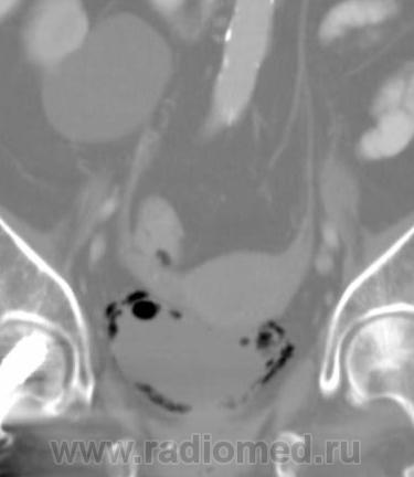
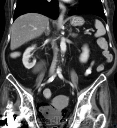
О чём могут говорить такие "газовые структуры" в области мочевого пузыря?

Пол пациента: 
Тип патологии: 
Область исследования: 
Методы исследования: 

О чём могут говорить такие "газовые структуры" в области мочевого пузыря?

  • https://radiomed.ru/sites/default/files/styles/case_slider_image/public/user/12/2.gs_..risunok112.jpg?itok=DoG3Yzpa
  • https://radiomed.ru/sites/default/files/styles/case_slider_image/public/user/12/3.gs_..risunok113.jpg?itok=PQy8GRQU
  • https://radiomed.ru/sites/default/files/styles/case_slider_image/public/user/12/4.gs_..risunok114.jpg?itok=aF1P8b93
  • https://radiomed.ru/sites/default/files/styles/case_slider_image/public/user/12/5.gs_..risunok115.jpg?itok=tENYkFSy
  • https://radiomed.ru/sites/default/files/styles/case_slider_image/public/user/12/6.gs_..risunok116.jpg?itok=i7-yHetN
ID:10675
Dr.Mario's picture
Offline
Last seen: 11 years 6 months ago
Joined: 06.08.2008 - 08:44
Posts: 920

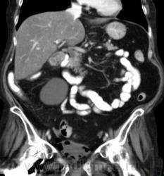
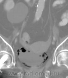
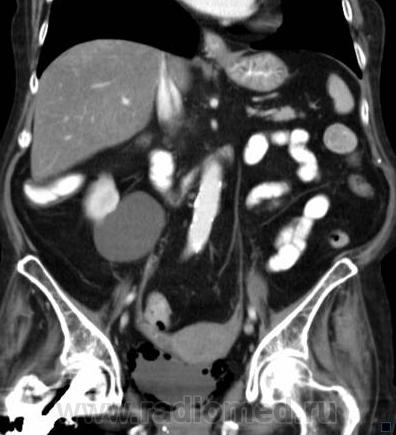
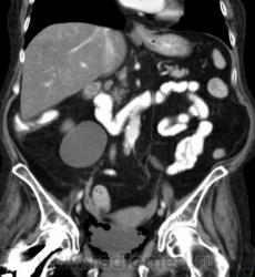
Наличие газа в мочевом пузыре может говорить о многом. Например стоял катетр Фолея, состояние после цистоскопии, эмфизематозный цистит, наличие фистулы.

Let me see...

radiographia.ru

Катенёв Валентин Львович's picture
Offline
Last seen: 7 years 5 months ago
Joined: 22.03.2008 - 22:15
Posts: 54876

А, чем именно, будет характеризоваться эмфизематозный цистит? При нем "пузырьки газа" локализуются в слизистой оболочке или где?

Dr.Mario's picture
Offline
Last seen: 11 years 6 months ago
Joined: 06.08.2008 - 08:44
Posts: 920

В просвете, может быть и в самой стенке. Смотрите здесь:

1. http://www.radiographia.ru/node/1747

2.http://www.wikiradiography.com/page/Emphysematous+Cystitis

3.http://www.ncbi.nlm.nih.gov/pmc/articles/PMC524183/

Let me see...

radiographia.ru

Сергей Нагорный's picture
Offline
Last seen: 10 years 1 month ago
Joined: 13.07.2010 - 22:49
Posts: 1370

процесс в стенке в данном случае.

С уважением, С.Н. Нагорный

ЛГ's picture
Offline
Last seen: 9 years 3 months ago
Joined: 06.01.2010 - 12:31
Posts: 3523

У женщины киста правой почки, подозрение на жировой гепатоз, стержень в головке и шейке правого бедра (остеосинтез). А про воздух возле/в стенке мочевого пузыря... не было ли оперативного вмешательства в малом тазу? И без аксиальных срезов явно я бы не сказала, где конкретно воздухblush...

Катенёв Валентин Львович's picture
Offline
Last seen: 7 years 5 months ago
Joined: 22.03.2008 - 22:15
Posts: 54876

Сергей Николаевич wrote:

процесс в стенке в данном случае.

Спасибо Сергей Николаевич!

Сергей Нагорный's picture
Offline
Last seen: 10 years 1 month ago
Joined: 13.07.2010 - 22:49
Posts: 1370

goncharovakuraeva wrote:

У женщины киста правой почки, подозрение на жировой гепатоз, стержень в головке и шейке правого бедра (остеосинтез). А про воздух возле/в стенке мочевого пузыря... не было ли оперативного вмешательства в малом тазу? И без аксиальных срезов явно я бы не сказала, где конкретно воздухblush...

Фик с ней с кистой... И какая разница аксиалы и короналы... Да, толстоваты срезы, эффект усреднения. Но я бы думал в сторону язвенного/гангренозного цистита (эмфизематозного цистита). Естественно, анамнез и клиника и всё встанет на свои места. На состояние после катерера не очень похоже...

С уважением, С.Н. Нагорный

ЛГ's picture
Offline
Last seen: 9 years 3 months ago
Joined: 06.01.2010 - 12:31
Posts: 3523

А может, и тут свищ, как в случае Марио на радиографии... Валентин Львович, а что всё-таки с клиникой?

Катенёв Валентин Львович's picture
Offline
Last seen: 7 years 5 months ago
Joined: 22.03.2008 - 22:15
Posts: 54876

Клиники не знаю, коллеги из ОКБ поделились "изображением". Мне стало интересно, так как при обычной рентгенографии (обзорной), да и внутривенной, такое вряд-ли можно увидеть, вот я и решил поделиться...

Но, свища точно нет.

Dr.Mario's picture
Offline
Last seen: 11 years 6 months ago
Joined: 06.08.2008 - 08:44
Posts: 920

Так какова окончательная верификация наблюдения?
Воздух в мочевом пузыре можно увидеть и при рентгенографии (см. здесь)

P.S. В моём наблюдении на radiographia.ru свища не было.

Let me see...

radiographia.ru