Пол пациента:
Тип патологии:
Область исследования:
Методы исследования:
- https://radiomed.ru/sites/default/files/styles/case_slider_image/public/user/12/2.p1280016.jpg?itok=I7vArF3q
- https://radiomed.ru/sites/default/files/styles/case_slider_image/public/user/12/3.p1280017.jpg?itok=hDezPwtJ
- https://radiomed.ru/sites/default/files/styles/case_slider_image/public/user/12/4.p1280018.jpg?itok=uLvJeVym
- https://radiomed.ru/sites/default/files/styles/case_slider_image/public/user/12/5.p1280017-1.jpg?itok=oop1TU_G
- https://radiomed.ru/sites/default/files/styles/case_slider_image/public/user/12/6.p1280018-1a.jpg?itok=vSmdhUp-
ID:11654
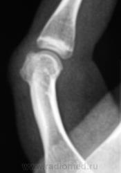
Судя по-всему тип роста экспансивный ,симпотом новообразования. Кортикальный слой как бы переходит на новообразование, контур его четкий, структура губчатая без включений, кость не вздута, окружающая ткань на мой взгляд не изменена ,окружаюшщие мягкие ткани равномерной интенсивности. Губчатая остеома?
+ за остеому
Хочешь сделать что-то нормально - сделай это сам!
Следовательно, можно писать губчатую остеому?
То же самое я наблюдал у женщины в 5 пястной кости.
Валентин Львович, а у Вас есть сомнения? Поделитесь!
А чей пальчик, что с кожей и параартикулярными тканями в этом месте? Травма была? Об зуб не бился? Или о голову чью-нибудь, месяцев 7 назад?
с уважением. Иозефи Д.