You are here

Пациент направлен на рентгенографию пальца.

Пол пациента: 
Тип патологии: 
Область исследования: 
Методы исследования: 

Пациент направлен на рентгенографию пальца.

  • https://radiomed.ru/sites/default/files/styles/case_slider_image/public/user/12/2.p2080045.jpg?itok=VfNqToMS
  • https://radiomed.ru/sites/default/files/styles/case_slider_image/public/user/12/3.p2080044.jpg?itok=I76i9tx6
  • https://radiomed.ru/sites/default/files/styles/case_slider_image/public/user/12/4.p2080043a.jpg?itok=aV1RN-IF
  • https://radiomed.ru/sites/default/files/styles/case_slider_image/public/user/12/5.p2080043-1a.jpg?itok=xFIhTfRa
  • https://radiomed.ru/sites/default/files/styles/case_slider_image/public/user/12/6.p2080043-1.jpg?itok=up0s1u2s
  • https://radiomed.ru/sites/default/files/styles/case_slider_image/public/user/12/7.p2080046a.jpg?itok=cB2ZK-5A
  • https://radiomed.ru/sites/default/files/styles/case_slider_image/public/user/12/8.p2080049a.jpg?itok=t9sdjGiA
  • https://radiomed.ru/sites/default/files/styles/case_slider_image/public/user/12/9.p2080047a.jpg?itok=LvaYBUSL
  • https://radiomed.ru/sites/default/files/styles/case_slider_image/public/user/12/10.p2080048a.jpg?itok=uCc30Mst
ID:11875
Анатолий Владимирович Шумаков's picture
Offline
Last seen: 8 years 3 months ago
Joined: 16.10.2009 - 21:16
Posts: 1941

Здравствуйте Валентин Львович!

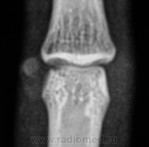
Думаю это по аналогии с болезнью Кёнига - виден дефект суставной поверхности и в суставе - хондроматозное тело. Редкое наблюдение!

Катенёв Валентин Львович's picture
Offline
Last seen: 7 years 6 months ago
Joined: 22.03.2008 - 22:15
Posts: 54876

Здравствуйте Анатолий Владимирович!

Вы правы, сегодня, это хондроматозное тело и вылущили.

Анатолий Владимирович Шумаков's picture
Offline
Last seen: 8 years 3 months ago
Joined: 16.10.2009 - 21:16
Posts: 1941

Через одного студенты сидят на занятиях и периодически хрустят пальцами, шеей - не понимая,что провоцируют такие вот вещи и ускоряют старение суставов... Спасибо!

Евгений1313's picture
Offline
Last seen: 13 years 5 months ago
Joined: 15.10.2010 - 19:13
Posts: 808

Такое возможно при болезни Марфана?

tatyana's picture
Offline
Last seen: 4 years 7 months ago
Joined: 24.06.2009 - 08:33
Posts: 2090

Евгений1313 wrote:

Такое возможно при болезни Марфана?

Цитирую:

Сайт практического рентгенолога, справочник "Эпонимические синдромы и симптомы в рентгенологии"

Марфана (Marfan) синдром

Синонимы
  - "Пальцы паукообразные"
  - Marfan (Марфана) - Achar (Ашара) синдром
  - Marfan (Марфана) - Erb (Эрба) синдром
  - Marfan (Марфана) синдром
  - Акромакрия
  - Акрохондрогиперплазия
  - Арахнодактилия
  - Гигантизм частичный
  - Гиперхондроплазия
  - Дистрофия мезодермальная гипопластическая врожденная
  - Долихостеномелия
  - Марфана (Marfan) - Ашара (Achar) синдром
  - Марфана (Marfan) - Эрба (Erb) синдром

Характеристика
  Наследственное заболевание, обусловленное аномалией развития соединительной ткани и характеризующееся сочетанием поражений опорно-двигательного аппарата (чрезмерно длинные конечности, арахнодактилия и др.), подвывиха или вывиха хрусталиков, изменений сердечно-сосудистой системы, общей мышечной атонии и вегето-сосудистых расстройств.

Рентгенологическая картина
  Системный остеопороз и атрофия костей. Удлинение всех трубчатых костей, особенно фаланг кистей и стоп. Корковый слой истончен, эпифизы гипопластичны. Вальгусные колени, плоские стопы. Hallux valgus. Вывихи. Искривления позвоночника. Spina bifida. Воронкообразная грудная клетка. Изменения турецкого седла. Экзостозы. Врожденные пороки сердца и крупных сосудов. Часто наблюдается расслаивающая аневризма аорты, иногда аневризма легочной артерии.

Где Вы видите "паучьи пальцы"?

"самоуверенность дилетантов - предмет зависти профессионалов"

Катенёв Валентин Львович's picture
Offline
Last seen: 7 years 6 months ago
Joined: 22.03.2008 - 22:15
Posts: 54876