You are here

КТ поджелудочной железы. Пациентка 80 лет.

Пол пациента: 
Тип патологии: 
Область исследования: 
Методы исследования: 

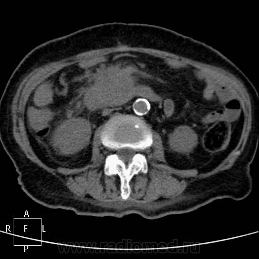
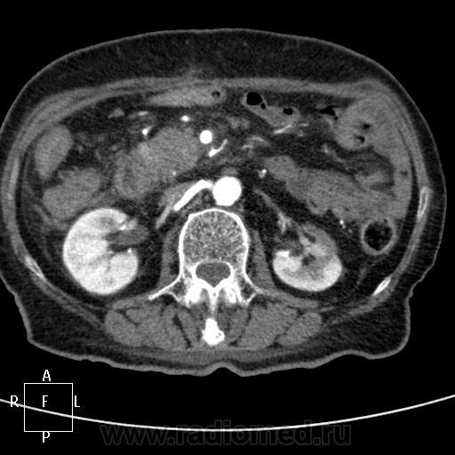
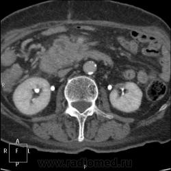
Упорные боли, кратковременно купируются ненаркотическими анальгетиками. Диастаза мочи 300. Кровь без особенностей. Псевдотуморозный панкреатит или опухоль? Опыта с панкреатитами - кот наплакал в знойный день))...

 

45 сек:

180 сек:

 С левой почкой - кто такое видел? Атрофия средней трети и частично нижнего полюса, а в верхнем... помогите, пожалуйста!)) Вроде доброкачественное обызвествление. Не получилось напоить водой - несколько глотков и наотрез отказалась - тошнота. Поэтому 12-перстная безконтрастная практически.

  • https://radiomed.ru/sites/default/files/styles/case_slider_image/public/user/2841/45s0002.jpg?itok=1Gp3qsDr
  • https://radiomed.ru/sites/default/files/styles/case_slider_image/public/user/2841/45s0003.jpg?itok=MshoOYF7
  • https://radiomed.ru/sites/default/files/styles/case_slider_image/public/user/2841/45s0004.jpg?itok=c3KblsFk
  • https://radiomed.ru/sites/default/files/styles/case_slider_image/public/user/2841/45s0005.jpg?itok=zjK8NR6C
  • https://radiomed.ru/sites/default/files/styles/case_slider_image/public/user/2841/45s0006.jpg?itok=NMErKylG
  • https://radiomed.ru/sites/default/files/styles/case_slider_image/public/user/2841/45s0007.jpg?itok=ad1GWhbd
  • https://radiomed.ru/sites/default/files/styles/case_slider_image/public/user/2841/45s0008.jpg?itok=HXo3sSLM
  • https://radiomed.ru/sites/default/files/styles/case_slider_image/public/user/2841/45s0009.jpg?itok=69yWmCYZ
  • https://radiomed.ru/sites/default/files/styles/case_slider_image/public/user/2841/45s0010.jpg?itok=-TYAhRSL
  • https://radiomed.ru/sites/default/files/styles/case_slider_image/public/user/2841/45s0011.jpg?itok=mm_qRNvp
  • https://radiomed.ru/sites/default/files/styles/case_slider_image/public/user/2841/3min0001.jpg?itok=FOMvq9hA
  • https://radiomed.ru/sites/default/files/styles/case_slider_image/public/user/2841/3min0002.jpg?itok=b53saj2f
  • https://radiomed.ru/sites/default/files/styles/case_slider_image/public/user/2841/3min0003.jpg?itok=YRg2BK1A
  • https://radiomed.ru/sites/default/files/styles/case_slider_image/public/user/2841/nativ.avi_snapshot_00.46_2011.02.21_18.58.47.jpg?itok=TQikB-XS
ID:12205
ЛГ's picture
Offline
Last seen: 9 years 1 month ago
Joined: 06.01.2010 - 12:31
Posts: 3523

Написала псевдотуморозный панкреатит. Но сомнения остаются...

Видео вставила.

koriatus's picture
Offline
Last seen: 3 years 3 months ago
Joined: 14.06.2010 - 01:49
Posts: 452

На мой взгляд - опухоль головки ПЖ. Атроифя\ хоста и тела. Вирсунг расширен до зоны образования в головке - дальше четко не определяетя. Обычно при панкреатитах вирснуг хоть дефоримрованный но проходит через зону фиброзно-воспалиетльных изменений. Тут же похоже его обтурация. 

На 45 секунде оразовние несколко гиподенсно по отношению к другой паренхиме (хотя и фиброз тоже такой будет). 

Вообщим опухоль на мой взгляд головки ПЖ.

ЛГ's picture
Offline
Last seen: 9 years 1 month ago
Joined: 06.01.2010 - 12:31
Posts: 3523

Спасибо!

gar70's picture
Offline
Last seen: 9 years 10 months ago
Joined: 16.02.2011 - 21:49
Posts: 43

Согласен,кроме того,на 57-60 секундах в толще образования определяется ветвь верхней брызжеечной артерии.

koriatus wrote:

На мой взгляд - опухоль головки ПЖ. Атроифя\ хоста и тела. Вирсунг расширен до зоны образования в головке - дальше четко не определяетя. Обычно при панкреатитах вирснуг хоть дефоримрованный но проходит через зону фиброзно-воспалиетльных изменений. Тут же похоже его обтурация. 

На 45 секунде оразовние несколко гиподенсно по отношению к другой паренхиме (хотя и фиброз тоже такой будет). 

Вообщим опухоль на мой взгляд головки ПЖ.

А в левой почке не туберкулез ли? 

ЛГ's picture
Offline
Last seen: 9 years 1 month ago
Joined: 06.01.2010 - 12:31
Posts: 3523

Спасибо, коллеги!