You are here

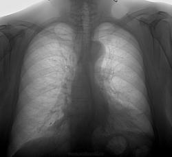
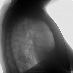
Аневризма дуги аорты?

Пол пациента: 
Тип патологии: 
Методы исследования: 

Дебют. Может ли тень в проекции дуги аорты объяснена иначе, чем аневризма? Нужны ли в таком случае дополнительные методы исследования? Спасибо!

Ключевые слова: 

Чем страдает женщина?

Пол пациента: 
Тип патологии: 
Область исследования: 
Методы исследования: 

Женщина 40 лет, обратилась к травматологам по поводу травмы. Лечилась с DS: перелом В/3 диафиза МБК. Перелом сростается и ладно. А что с остальными костями? Анамнез собрать проблематично - травмпункт, сами понимаете. 

Ключевые слова: 

Пациент направлен фтизиатром с диагнозом....- "Полное клиническое излечение"....

Пол пациента: 
Тип патологии: 
Методы исследования: 

Пациент направлен фтизиатром с диагнозом....- "Полное клиническое излечение"....

Рентгенограмма.

МРТ- шейно-грудного отдела позвоночника.

  Пациентка 63 лет, направлена из неврологического отделения на исследование шейного и грудного отделов позвоночника, при госпитализации жалобы: выраженная боль в шейно-грудном отделе позвоночника отдающая в правую руку, слабость, немение в руках. Снижение веса за 3 месяца на 10кг.

  В округе 3.06.10г. проводилось МРТ-поясничного отдела позвоночника, где были выявлены изменения костной ткани, но характер изменения не определён. Выставлено заключение распрастраненного остеохондроза.

  Осмотрена у нас онкологом: признаков онкопатологии не найдено.