7. Классика жанра

brainmodel аватар
Не на сайте
Был на сайте: 7 месяцев 2 недели назад
Зарегистрирован: 18.03.2010 - 22:04
Публикации: 2881

Пост 40. Осумкованный диафрагмально-пристеночный плевральный выпот с элементами организации. Что-то мне верхушка справа не нравится, как бы кавы не было.

Verum plus uno esse non potest.

Катенёв Валентин Львович аватар
Не на сайте
Был на сайте: 7 лет 5 месяцев назад
Зарегистрирован: 22.03.2008 - 22:15
Публикации: 54876

От хирурга.

 

Приложения: 
0.p3260044.jpg0.p3260045a.jpg
Евгений Алексеевич аватар
Не на сайте
Был на сайте: 5 лет 4 месяцев назад
Зарегистрирован: 28.06.2013 - 16:23
Публикации: 4122

brainmodel wrote:

Евгений Алексеевич wrote:

brainmodel wrote:

Известковый бурсит сухожилия короткой малоберцовой мышцы. Травмы не вижу.

Или тендиноз, Брэйн? Как правильно будет?))))

Тендиноз пишу, когда само сухожилие окостеневает, т.е "шпора", энтезофит. Тут сумка - овально-ограниченная кальцинация.

Спасибо, Брэйн!)))

Катенёв Валентин Львович аватар
Не на сайте
Был на сайте: 7 лет 5 месяцев назад
Зарегистрирован: 22.03.2008 - 22:15
Публикации: 54876

Катенёв Валентин Львович wrote:

От хирурга.

 

?

Катенёв Валентин Львович аватар
Не на сайте
Был на сайте: 7 лет 5 месяцев назад
Зарегистрирован: 22.03.2008 - 22:15
Публикации: 54876

Контроль после "флюшки".

 

Приложения: 
pa300013.jpgpa300014.jpgpa300015.jpgpa300016.jpgpa300017.jpgpa300018.jpgpa300019.jpg
Сергей Кузьминов аватар
Не на сайте
Был на сайте: 1 год 5 месяцев назад
Зарегистрирован: 06.10.2012 - 15:51
Публикации: 11813

Туберкулёз.

brainmodel аватар
Не на сайте
Был на сайте: 7 месяцев 2 недели назад
Зарегистрирован: 18.03.2010 - 22:04
Публикации: 2881

Пост 43. Нейрогенная остеодистрофия (как при Дюшена-Эрба). как вариант - последствия асептического некроза, хотя не импонирует.

Verum plus uno esse non potest.

brainmodel аватар
Не на сайте
Был на сайте: 7 месяцев 2 недели назад
Зарегистрирован: 18.03.2010 - 22:04
Публикации: 2881

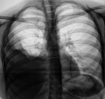
Пост 46: по обзорке диссеминированный поставил бы.

Verum plus uno esse non potest.

Катенёв Валентин Львович аватар
Не на сайте
Был на сайте: 7 лет 5 месяцев назад
Зарегистрирован: 22.03.2008 - 22:15
Публикации: 54876

Контроль после "флюшки"

 

Приложения: 
p9210026.jpgp9210027.jpgp9210029.jpgp9210029a.jpg
Катенёв Валентин Львович аватар
Не на сайте
Был на сайте: 7 лет 5 месяцев назад
Зарегистрирован: 22.03.2008 - 22:15
Публикации: 54876

Вай - вай...

Ни мнений, ни привета...

Войти Зарегистрироваться