Как опишем скиалогическую картину? О чём предположительно подумаем? №1.

Катенёв Валентин Львович аватар
Не на сайте
Был на сайте: 7 лет 3 недели назад
Зарегистрирован: 22.03.2008 - 22:15
Публикации: 54876

Плиз.

 

Приложения: 
0.radiographics_logo_3.png00.enchondroma2a.jpg00.enchondroma2b.jpg
P.S. аватар
Не на сайте
Был на сайте: 7 месяцев 3 дня назад
Зарегистрирован: 24.05.2016 - 17:13
Публикации: 694

Перелом на фоне энхондромы

Катенёв Валентин Львович аватар
Не на сайте
Был на сайте: 7 лет 3 недели назад
Зарегистрирован: 22.03.2008 - 22:15
Публикации: 54876

Плиз.

 

Приложения: 
1.v.v.jpg2.v.v.jpg3.v.v.jpg7.v.v.jpg7.v.v._1.jpg
Евгений Алексеевич аватар
Не на сайте
Был на сайте: 5 лет 3 дня назад
Зарегистрирован: 28.06.2013 - 16:23
Публикации: 4122

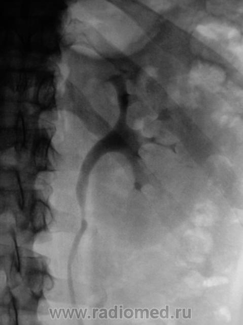
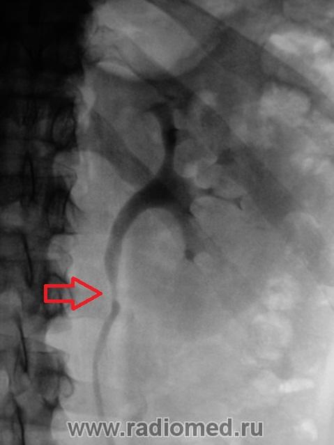
Р-признаки стриктуры верхней трети мочеточника с супрастенотическим расширением в виде  умеренной пиелокаликоэктазии левой почки.

Катенёв Валентин Львович аватар
Не на сайте
Был на сайте: 7 лет 3 недели назад
Зарегистрирован: 22.03.2008 - 22:15
Публикации: 54876

Может иное мнение есть?

Евгений Алексеевич аватар
Не на сайте
Был на сайте: 5 лет 3 дня назад
Зарегистрирован: 28.06.2013 - 16:23
Публикации: 4122

Катенёв Валентин Львович wrote:

Может иное мнение есть?

уролит?

Сергей Кузьминов аватар
Не на сайте
Был на сайте: 1 год 3 недели назад
Зарегистрирован: 06.10.2012 - 15:51
Публикации: 11813

Камешек на уровне поперечного отроска L2.

NIL аватар
NIL
Не на сайте
Был на сайте: 1 день 11 часов назад
Зарегистрирован: 25.11.2013 - 20:50
Публикации: 18207

Катенёв Валентин Львович wrote:

#404 Может иное мнение есть?

А как насчёт добавочных сосудов?


"Слушай всех, прислушивайся к немногим, решай сам".©

Евгений Алексеевич аватар
Не на сайте
Был на сайте: 5 лет 3 дня назад
Зарегистрирован: 28.06.2013 - 16:23
Публикации: 4122

NIL wrote:

Катенёв Валентин Львович wrote:

#404 Может иное мнение есть?

А как насчёт добавочных сосудов?

какие в этой области сосуды могут дать такое смещение и дефект наполнения? 

NIL аватар
NIL
Не на сайте
Был на сайте: 1 день 11 часов назад
Зарегистрирован: 25.11.2013 - 20:50
Публикации: 18207

Евгений Алексеевич wrote:

какие в этой области сосуды могут дать такое смещение и дефект наполнения? 

Такие)

Приложения: 
p1.jpg


"Слушай всех, прислушивайся к немногим, решай сам".©

Войти Зарегистрироваться