Как опишем скиалогическую картину? О чём предположительно подумаем? №2.

Евгений Алексеевич аватар
Не на сайте
Был на сайте: 5 лет 3 дня назад
Зарегистрирован: 28.06.2013 - 16:23
Публикации: 4122

Катенёв Валентин Львович wrote:

Евгений Алексеевич wrote:
Есть уплощение! А кроме?

Хороший вопрос"

По всей видимости, есть и кроме...

Неравномерность суставной щели. ОА 2 ст. Таранно-пяточного сустава.

Сергей Кузьминов аватар
Не на сайте
Был на сайте: 1 год 3 недели назад
Зарегистрирован: 06.10.2012 - 15:51
Публикации: 11813

Евгений Алексеевич wrote:
Катенёв Валентин Львович wrote:

Евгений Алексеевич wrote:
Есть уплощение! А кроме?

Хороший вопрос"

По всей видимости, есть и кроме...

Неравномерность суставной щели. ОА 2 ст. Таранно-пяточного сустава.
Оно да. Но для военкомата это не имеет значения. Им нужен только угол свода.

Евгений Алексеевич аватар
Не на сайте
Был на сайте: 5 лет 3 дня назад
Зарегистрирован: 28.06.2013 - 16:23
Публикации: 4122

Сергей Кузьминов wrote:

Евгений Алексеевич wrote:
Катенёв Валентин Львович wrote:

Евгений Алексеевич wrote:
Есть уплощение! А кроме?

Хороший вопрос"

По всей видимости, есть и кроме...

Неравномерность суставной щели. ОА 2 ст. Таранно-пяточного сустава.
Оно да. Но для военкомата это не имеет значения. Им нужен только угол свода.

Согласен Сергей!

Катенёв Валентин Львович аватар
Не на сайте
Был на сайте: 7 лет 3 недели назад
Зарегистрирован: 22.03.2008 - 22:15
Публикации: 54876

Евгений Алексеевич wrote:
Катенёв Валентин Львович wrote:

Евгений Алексеевич wrote:
Есть уплощение! А кроме?

Хороший вопрос"

По всей видимости, есть и кроме...

Неравномерность суставной щели. ОА 2 ст. Таранно-пяточного сустава.

А, таранноладьевидное сочленение?

Есть артроз, или нет?

Катенёв Валентин Львович аватар
Не на сайте
Был на сайте: 7 лет 3 недели назад
Зарегистрирован: 22.03.2008 - 22:15
Публикации: 54876

От хирурга.

 

Приложения: 
200907290090.jpg200907290092.jpg200907290093.jpg
Евгений Алексеевич аватар
Не на сайте
Был на сайте: 5 лет 3 дня назад
Зарегистрирован: 28.06.2013 - 16:23
Публикации: 4122

Катенёв Валентин Львович wrote:

Евгений Алексеевич wrote:
Катенёв Валентин Львович wrote:

Евгений Алексеевич wrote:
Есть уплощение! А кроме?

Хороший вопрос"

По всей видимости, есть и кроме...

Неравномерность суставной щели. ОА 2 ст. Таранно-пяточного сустава.

А, таранноладьевидное сочленение?

Есть артроз, или нет?

сужение есть минимальное. А субхондральное уплотнение ладьи ее вогнутая поверхность дает? На самом деле его нет?

Катенёв Валентин Львович аватар
Не на сайте
Был на сайте: 7 лет 3 недели назад
Зарегистрирован: 22.03.2008 - 22:15
Публикации: 54876

James C. Wittig, MD

 

Приложения: 
0.eosinophilic10a.jpg0.eosinophilic10b.jpg
Катенёв Валентин Львович аватар
Не на сайте
Был на сайте: 7 лет 3 недели назад
Зарегистрирован: 22.03.2008 - 22:15
Публикации: 54876

Эозинофильная гранулёма.

Катенёв Валентин Львович аватар
Не на сайте
Был на сайте: 7 лет 3 недели назад
Зарегистрирован: 22.03.2008 - 22:15
Публикации: 54876

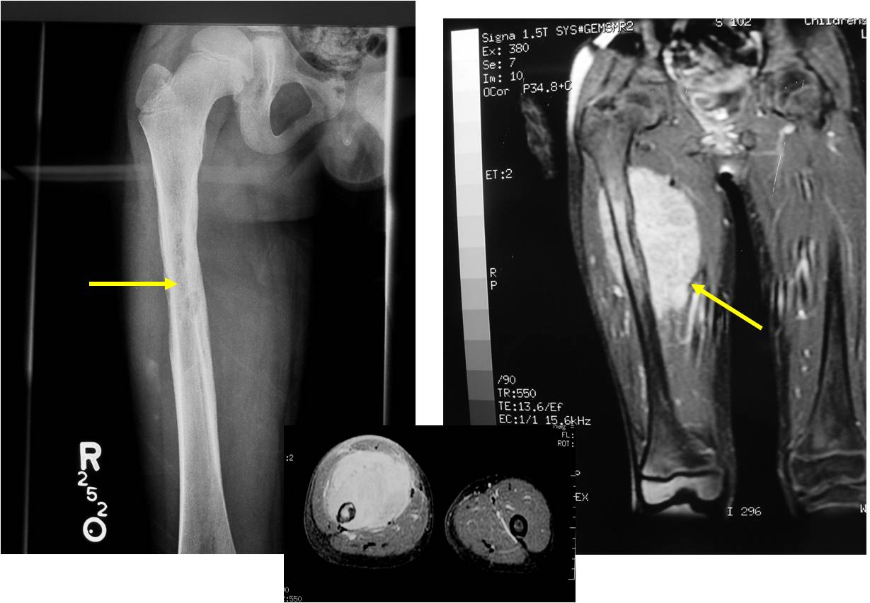
James C. Wittig, MD

 

Приложения: 
0.ewing7_.jpg
NIL аватар
NIL
Не на сайте
Был на сайте: 1 день 14 часов назад
Зарегистрирован: 25.11.2013 - 20:50
Публикации: 18207

Катенёв Валентин Львович wrote:

James C. Wittig, MD

#200 Саркома Юинга? (молодой возраст, выраженный мягкотканный компонент)


"Слушай всех, прислушивайся к немногим, решай сам".©

Войти Зарегистрироваться