Вы здесь

тест-провокация № 4 (на внимательность)

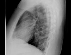
Коллеги, прошу высказать ваше мнение по-поводу отмеченой стрелкой тени. В анамнезе: злокачественная опухоли молочной железы и желудка, выполнена левосторонняя мастэктомия.

ИзображениеИзображениеИзображение

Наталия аватар
Не на сайте
Был на сайте: 8 лет 7 месяцев назад
Зарегистрирован: 30.07.2008 - 13:24
Публикации: 538

Это крупный очаг неоднородной плотности, это очень походит на периферический рак или на очаг Гона. И еще трахея смещена вправо.

flagman аватар
Не на сайте
Был на сайте: 11 лет 5 месяцев назад
Зарегистрирован: 05.06.2008 - 20:08
Публикации: 83

похоже на обызвествление реберного хряща.

tatyana аватар
Не на сайте
Был на сайте: 4 года 1 месяц назад
Зарегистрирован: 24.06.2009 - 08:33
Публикации: 2090

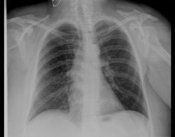
Посмотрите внимательно, коллеги, а где эта тень на прямой?

"самоуверенность дилетантов - предмет зависти профессионалов"

flagman аватар
Не на сайте
Был на сайте: 11 лет 5 месяцев назад
Зарегистрирован: 05.06.2008 - 20:08
Публикации: 83

Справа от грудной клетки в мягких тканях.

Наталия аватар
Не на сайте
Был на сайте: 8 лет 7 месяцев назад
Зарегистрирован: 30.07.2008 - 13:24
Публикации: 538

Это не хрящ. Эти тень в проекции 10 сегмента, если смотреть на прямую.

tatyana аватар
Не на сайте
Был на сайте: 4 года 1 месяц назад
Зарегистрирован: 24.06.2009 - 08:33
Публикации: 2090

Браво Flaqman! это обызвествленная фиброаденома правой молочной железы

 

Изображението ИзображениеИзображение

"самоуверенность дилетантов - предмет зависти профессионалов"

Катенёв Валентин Львович аватар
Не на сайте
Был на сайте: 7 лет 3 недели назад
Зарегистрирован: 22.03.2008 - 22:15
Публикации: 54876

Итак. Татьяна Валентиновна наглядно ответила, что "патологический процесс" в молочной железе может "найти своё отображение" на рентгенограмме органов грудной полости, произведенной в прямой стандартной проекции.

Надо признать, что доказательство приведено, и весьма основательное.

tatyana аватар
Не на сайте
Был на сайте: 4 года 1 месяц назад
Зарегистрирован: 24.06.2009 - 08:33
Публикации: 2090

и в боковой тоже...

"самоуверенность дилетантов - предмет зависти профессионалов"

Катенёв Валентин Львович аватар
Не на сайте
Был на сайте: 7 лет 3 недели назад
Зарегистрирован: 22.03.2008 - 22:15
Публикации: 54876

Совершенно верно.

Войти Зарегистрироваться