Вы здесь

КСС. Бамбергера - Мари периостоз

Анатомические зоны: 
Модальности: 

Бамбергера - Мари периостоз.

Бамбергера - Мари периостоз (Е. Bamberger, австрийский патолог и терапевт, 1858-1921; P. Marie, франц. невролог, 1853-1940; греч. peri вокруг, около + osteon кость + -ōsis; синоним: генерализованный оссифицирующий гиперостоз, генерализованный остеофитоз, пахипериостит, генерализованный гиперпластический периостит, системный оссифицирующий периостоз) - избыточное образование костной ткани преимущественно в области диафизов и метафизов трубчатых костей. Чаще наблюдается на нижних конечностях, но в тяжелых случаях поражаются и верхние. Поражение является вторичным, представляет собой реакцию костной системы на хроническую гипоксию и нарушение кислотно-щелочного равновесия крови. Возникает при хронических воспалительных и опухолевых заболеваниях легких и плевры, почек, кишечника, при врожденных пороках сердца; реже встречается при эхинококкозе, лимфогранулематозе, циррозе печени. Иногда связь Бамбергера - Мари периостозf с каким-либо заболеванием выявить не удается.
Нередко Бамбергера - Мари периостоз сочетается с характерным изменением внешнего вида больного: утолщается кожа на лбу с образованием складок, увеличивается нос, пальцы приобретают форму барабанных палочек.
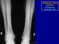
Рентгенологически Бамбергера - Мари периостоз проявляется утолщением диафизов симметричных костей за счет периостальных наслоений, которые выглядят ровными, гладкими, менее плотными, чем кортикальный слой диафизов. В дальнейшем периостальные наслоения могут приобретать плотность кортикального слоя и сливаться с ним. Типичны симметричность поражения и перестройка кортикального слоя в виде его продольной исчерченности.
В результате успешного лечения основного заболевания может наблюдаться обратное развитие процесса вплоть до полного исчезновения признаков периостоза.

Материал предоставлен Наталией Васильевной.

Катенёв Валентин Львович аватар
Не на сайте
Был на сайте: 7 лет 2 месяцев назад
Зарегистрирован: 22.03.2008 - 22:15
Публикации: 54876

 

Системные оссифицирующие периостозы

Эта болезнь описана впервые в 1890 г., еще в дорентгенологическое время, независимо друг от друга Пьером Мари (Pierre Marie) и Бамбер-гером (Bamberger). Ее синонимы: генерализированный гиперпластический периостит, генерализированный остеофитоз, пахипериоститы, генерализированные оссифицирующие гиперостозы. Название "генерализированный гиперпластический периостит" далеко не безупречно, вернее, даже несостоятельно. Во-первых, эта болезнь не генерализированная, т. е. никогда костный процесс не является при этом заболевании всеобщим, а всегда имеет лишь множественный, системный, преимущественно диа-физарный характер. Во- вторых, это не только гиперпластический, но именно оссифицирующий надкостничный процесс. И, в-третьих, это не воспалительные реактивные изменения надкостницы, не истинные периоститы, а периостозы. Поэтому мы и предпочитаем более соответствующее действительному положению вещей название "системные оссифицирующие периостозы". В обиходе болезнь также называется "болезнью Пьер- Мари-Бамбергера".

Между прочим, системные оссифицирующие периостозы наблюдаются не только у человека, но совсем не так редко у самых различных животных, в том числе чаще всего у собаки. В ветеринарии эту болезнь называют "акропахия".

В настоящее время системные оссифицирующие периостозы не могут рассматриваться как редкое заболевание. Оценка его частоты зависит от метода распознавания. Если руководствоваться при диагностике одними только клиническими симптомами, тогда, действительно, определяются лишь далеко зашедшие и резко выраженные, не столь уж часто наблюдаемые ее формы и фазы. Если же широко прибегать к рентгенологическому исследованию скелета и к контролю ниже перечисляемых заболеваний, виновных во вторичных костных реакциях, то эта болезнь должна быть причислена к довольно часто встречающимся. Нет сомнения в том; что неприменение рентгенологического исследования скелета неминуемо влечет за собой невыявление более или менее богато выраженных вторичных костных изменений, болезнь остается вовсе нераспознанной или же идет под другим, неправильным диагнозом, например, "ревматизм", в итоге - необоснованное представление о ее редкости.

Несмотря на вполне естественный большой интерес к этой нозологической форме и огромную литературу, ей посвященную, этиология и даже точный патогенез системных оссифицирующих периостозов остаются до сих пор невыясненными. Эта болезнь наблюдается в качестве вторичного костного патологического процесса при некоторых хорошо известных хронически протекающих заболеваниях легких, плевры, средостения и сердца, но подчас при заболеваниях и других органов и систем. Сюда относятся хронический легочный фиброзный туберкулез, преимущественно чахотка с кавернозным распадом, но также в редких случаях и опухолевидный бронхаденит. Затем следуют хронические пневмонии с бронхоэктазиями или другими нагноительными процессами - абсцессами и гангреной, запущенные, плохо леченные гнойные плевриты, эмпиемы, лимфогранулематоз лимфатических узлов средостения и легких.

Практически особенно важно, что множественные оссифицирующие периостозы развиваются при первичных и вторично-метастатических новообразованиях легких и прежде всего при бронхиальном раке, главным образом при периферической, т. е. внутрилегочной, локализации. Это происходит не только в случаях выраженных форм опухолей, но и в качестве первого или даже единственного проявления опухолевого заболевания. Поэтому каждый случай системного оссифицирующего периостоза у взрослого человека категорически требует тщательного рентгенологического исследования легких, направленного именно на поиски новообразования. На необходимость тщательных поисков рака легкого при системном оссифицирующем периостозе указывают в последнее время Я. Г. Диллон и А. И. Галибина. Наш опыт учит, что в пользу рака легкого говорят быстро развивающиеся, примерно в 4-7 недель, токсические периостальные явления.

Вторую группу заболеваний, обусловливающих костеобразователь-ную надкостничную реакцию, составляют хронические поражения сердца, особенно врожденные пороки и поражения, сопровождающиеся недостаточностью правого сердца, одышкой и синюхой.

Из более редких заболеваний, осложняющихся системными перио-стозами, следует указать на тимому, затяжной язвенный эндокардит, хронический сепсис, цирроз печени и даже опухоли периферических костей. Почему в одних случаях названных здесь заболеваний возникают костные изменения, а в других нет, - совершенно непонятно. В некоторых случаях системного оссифицирующего периостоза вообще причина возникновения раздражения надкостницы и ее усиленной функциональной активности остается невыясненной.

Необходимо очень тщательное исследование внутренних органов, прежде чем решиться заявить об их норме.

Обычно, но не всегда, вместе с системным периостозом имеются и хорошо изученные "барабанные палочки" и ногти, деформированные в виде часовых стекол, так называемые пальцы Гиппократа - на верхних и нижних конечностях. Отсюда практическое правило, к сожалению, далеко не всегда полностью соблюдаемое, - в каждом случае "барабанных палочек" проводить рентгенологический контроль состояния костного скелета конечностей, независимо от наличия или отсутствия соответствующих клинических признаков со стороны длинных трубчатых костей. При этих условиях часто неожиданно для клиницистов рентгенологически выявляется системный оссифицирующий периостоз. Меньше внимания при этом, т. е. при наличии "барабанных палочек", обращается на таки& сопутствующие симптомы, как усиленная деятельность потовых желез, пигментация кожи, изменения черт лица (утолщение носа). В редких случаях на первый план выступают уже давно известные значительные изменения кожи, а именно, сочетающаяся с костной патологией особая разновидность пахидермии, так называемая cutis verticis gyrata, кожа и подкожная клетчатка у молодых людей, преимущественно на лбу,, резко утолщаются, ложатся в грубые валообразные складки, напоминающие мозговые извилины, обезображивающие больных и придающие им сходство с изменениями лица при проказе. Весь этот синдром тогда обозначается как гипертрофическая остеодермопатия.

Что же объединяет все эти внешние проявления системного оссифицирующего периостоза, выражающиеся в различных патологических процессах в разных органах, и системах? На этот вопрос обычно отвечают: костные изменения вызываются интоксикацией и замедленным периферическим кровообращением, т. е. стазом. Но теория токсемии не подкреплена никакими конкретными фактическими данными, никто еще не выделил гипотетический токсин, не определил его природу и происхождение, не добился экспериментального воспроизведения этой болезни. Представления о периферическом застое крови как факторе, возбуждающем чрезмерную активность надкостницы, - это слишком грубое и произвольное объяснение, так как оно не отвечает на вопрос о причине поражения именно костной системы, причем определенного характера, локализации и природы, т. е. в сущности ничего не объясняет.

Правильнее будет лишь общее замечание, что системные оссифицирующие пери-остозы наблюдаются в условиях недостачи кислорода при циркуляторных, вернее, при нейроциркуляторных нарушениях. Костные изменения, следовательно, происходят при нарушениях кислотно-щелочного равновесия крови, при уменьшении парциального давления кислорода в крови вследствие понижения окислительных процессов в легких.

Чаще всего при данной болезни поражается молодой возраст, когда надкостница и при физиологических условиях проявляет особенно активную деятельность. Развитие болезни происходит обычно медленно, на протяжении нескольких лет, но в детском и юношеском возрасте иногда приходится видеть быстрое, измеряемое месяцами, нарастание явлений. То же мы наблюдали в отдельных случаях у пожилых людей при легочном раке. Вообще темпы и объем поражений скелета в отдельных случаях весьма индивидуальны.

Суставы при этой болезни существенных изменений обычно не представляют; имеются лишь некоторая отечность синовиальной оболочки-крупных суставов и иногда боли в области скорее суставов, нежели диафизов костей.

Анатомическая и рентгенологическая картина системного оссифицирующего периостоза выражается в системном симметричном поражении преимущественно длинных трубчатых периферических костей (рис. 313). Больше всего изменены диафизы, отчасти также и метафизы костей предплечья и голени, пястных и плюсневых костей, а также основных и, средних фаланг. Эпифизы, лишенные надкостницы, остаются пощаженными. Важно, что оссифицирующую реакцию проявляет только надкостница, но не эндост, костномозговой канал трубчатой кости при этой болезни не суживается (рис. 314).

Ногтевые фаланги остаются при "барабанных палочках" и вообще при этой болезни в подавляющем большинстве случаев вполне нормальными, т. е. значительные внешне определяемые клинические изменения ограничиваются лишь мягкими тканями, без каких бы то ни было костных сдвигов. Однако в отдельных случаях рентгенограммы обнаруживают небольшое разрыхление структуры ногтевых отростков ногтевых фаланг, а в некоторых более тяжелых случаях ногтевые отростки этих фаланг в связи с развитием при "барабанных палочках" обильной фиброзной ткани подвергаются и более значительным инволютивным процессам - они истончаются и даже частично или полностью рассасываются и исчезают.

Надкостничные наслоения окутывают кости обыкновенно со всех сторон в виде футляра и имеют очень гладкую или местами несколько слегка шероховатую поверхность (рис. 316). Иногда видна продольная .слоистость надкостничных остеофитов. Нередко раньше и больше всего вовлекаются в процесс дистальные концы диафизов. У взрослого обычно окостеневает лишь самая наружная, поверхностная часть надкостничных наслоений, так что на рентгенограммах между корковым компактным веществом диафиза и узенькой плотной полоской оссифицированной надкостницы остается светлая продольная полоса (рис. 317). Новообразованная костная ткань вначале отличается по своей структуре от плотного основного вещества и на вскрытии даже сравнительно легко отделяется от поверхности диафиза. Но в дальнейшем, через месяцы у детей и через годы у взрослых, она сливается в единую костную массу. Толщина надкостничных разрастаний равна от 1 до 7 мм. Необходимо иметь в виду, что хронический пролиферативный процесс гистологически сопровождается резким утолщением обоих слоев надкостницы и чрезвычайным богатством сосудов; мы здесь наблюдали при диагностическом проколе кости и при биопсии очень сильные кровотечения. Структурный рисунок самой кости не представляет никаких уклонений от нормы. Эпифизар-ные линии остаются всегда неизмененными. Истинная генерализация, т. е. поражение всего скелета, включая обычно остающиеся пощаженными кости черепа, позвоночника, ключицы, губчатые кости запястья и лредшшсны, здесь крайне редкое явление.

Из всего изложенного ясно, каким ценным методом устанавливающего распознавания этой болезни является рентгенологическое исследование. Важны рентгенограммы и для определения степени распространения заболевания. Особенно же необходимы рентгеновы лучи для наблюдения над течением периостозов. Улучшение основного заболевания вле->чет за собой остановку развития периостозов или даже их исчезновение (рис. 318 и 319). Так, например, автор неоднократно наблюдал быстрое рассасывание надкостничных наслоений, наступавшее вслед за операцией по поводу запущенной многолетней эмпиемы у ребенка, а также после других хирургических вмешательств на органах грудной полости с благоприятным исходом. Опубликованное в 1927 г. первое наше наблюдение об обратном течении патологического процесса в костях вслед за устранением причины заболевания в последующем получило в литературе полное подтверждение.

Особенно благодарна роль рентгенолога в отличительном распознавании системного оссифицирующего периостоза. Здесь приходится иметь в виду главным образом акромегалию, деформирующую остеодистрофию Педжета, сифилис, ревматизм, мраморную болезнь, врожденные системные диафизарные гиперостозы и множественные корковые гиперостозы в младенческом возрасте.

При акромегалии всегда имеются характерные изменения гипофизарной ямки, отсутствующие при системном оссифицирующем периостозе, для которого в такой же степени характерна нормальная картина черепа. Кроме того, ногтевые фаланги, обнаруживающие при акромегалии типичные костные разрастания, остаются в подавляющем большинстве случаев нетронутыми при системных оссифицирующих периостозах или же, наоборот, подвергаются истончению или даже исчезновению. Наконец, если при акромегалии наблюдается некоторое удлинение трубчатых костей, то именно диафизы меняются при этом меньше всего, а в основном перестраиваются и расширяются эпифизарные концы костей, в то время как при болезни Пьер-Мари-Бамбергера диафизы утолщаются и суставные концы костей не изменяются.

Обезображивающая фиброзная остеодистрофия, поражающая зрелый возраст, ведущая к множественным утолщениям костей, исключается на основании поражения черепных костей и структурных изменений искривленных периферических костей, которые отсутствуют при системном оссифицирующем периостозе.

Различие структурного рисунка является главным отличительным моментом и в диференциальной рентгенодиагностике с сифилитическим периоститом. Кроме того, изменения скелета при системном оссифицирующем периостозе не только множественны, но и больше распространены и строго симметричны, имеют характерную локализацию, а. утолщения являются концентрическими, а не односторонними.

Что же касается ревматизма, то здесь диференциальная рентгенодиагностика проста. Важно только подвергать рентгенографии не только суставы, но захватывать и диафизы костей.

Наконец, акромегалия, болезнь Педжета, сифилитический периостит сами по себе- настолько по всей совокупности клинико-рентгенологических проявлений характерны, что их ошибочное смешение с системным оссифицирующим периостозом может происходить только в результате неосведомленности.

В последние годы благодаря накоплению опыта и углублению наших знаний о природе системного оссифицирующего периостоза стали выделять различные его разновидности и типы. В частности, обращает на себя внимание сочетание костных изменений с кожными. Иногда при типичной общей костной картине наблюдается еще своеобразное утолщение и складчатость кожи, особенно лица, которая получает внешнее сходство с извилинами мозга (cutis verticis gyrata) и этим самым напоминает проказу. Эта форма заболевания подчас сочетается с явлениями акромегалического характера, т. е. присоединяются симптомы вегетативно-эндокринные, указывающие с несомненностью на нарушения гипофизарно-инфундибулярной области.