Выделяют следующие варианты поражения легких: 1) фиброзирующий альвеолит; 2) сухой и экссудативный плеврит; 3) ревматоидные узелки в легких; 4) синдром Каплана (силикоартрит). Фиброзирующий альвеолит развивается у больных с развернутой клинической картиной, хотя иногда симптомы поражения легких предшествуют появлению суставного синдрома. Частота появления фиброзирующего альвеолита у больных ревматоидным артритом невелика и составляет 2-4 %. Клинические, рентгенологические и морфологические изменения не отличаются от таковых при идиопатическом фиброзирующем альвеолите, который протекает более тяжело. Определенное значение в развитии диффузного интерстициального фиброза придают ревматоидному фактору. Так, при иммунофлюоресцентном исследовании в ткани легких при ревматоидном артрите удается обнаружить отложение IgM. Однако наличие ревматоидного фактора в крови не может служить дифференциально-диагностическим признаком, так как его иногда обнаруживают и у больных идиопатическим фиброзирующим альвеолитом. Наиболее распространенным проявлением поражения легких при ревматоидном артрите считают сухой или экссудативный плеврит. На аутопсии плевральные спайки обнаруживают у 40 % больных ревматоидным артритом, чаще у мужчин с длительным течением заболевания. Плевральный выпот нередко наблюдается в начале заболевания. Особенностью плевральной жидкости при ревматоидном плеврите является низкий уровень глюкозы. Содержание комплементов СЗ и С4 также снижено, в то время как в крови уровень комплемента СЗ превышает норму. В плевральной жидкости можно выявить ревматоидный фактор, однако этот признак не имеет большого диагностического значения и наблюдается при бактериальном, туберкулезном и опухолевых плевритах. Ревматоидный плевральный выпот обычно подвергается обратному развитию, однако может протекать длительно. Иногда он осложняется эмпиемой плевры. Другим симптомом ревматоидного легкого являются единичные или множественные узелки различного размера (в среднем 1-2 см), которые могут сочетаться с выпотом, утолщением плевры или фиброзом легких, а также внелегочными проявлениями (в частности, подкожными узелками). Гистологически узелок представляет собой участок фибриноидного некроза, окруженный «палисадом» крупных моноцитов и валом грануляционной ткани. Обнаружение этих изменений (как и при исследовании подкожных ревматоидных узелков) патогномонично для ревматоидного артрита. Ревматоидные узелки могут исчезнуть, иногда рецидивируют или сохраняются в течение длительного времени. Для исключения опухоли при наличии единичного узелка показана биопсия легких. Синдром Каплана характеризуется образованием очаговых теней в легких у больных, страдающих силикозом и ревматоидным артритом. При гистологическом исследовании пораженных участков обнаруживают изменения, типичные для ревматоидных узелков, и пыль диоксида кремния. Поражение легких, как и многие другие висцеральные проявления ревматоидного артрита, считают показанием для назначения стероидов и (или) цитостатиков.
Третьей формой легочных проявлений ревматоидного артрита являются ревматоидные узелки в легких. Легочные узлы чаще встречаются у мужчин, носят множественный характер, иногда подвергаются распаду с образованием полостей. Обычно у этих же больных находят подкожные ревматоидные узелки. Гистологическое исследование показывает сходство этих образований.
Легочные узлы рентгенологически напоминают картину периферической опухоли. Клинические проявления поражения органов дыхания при ревматоидном артрите весьма скудны. Прежде всего для решения вопроса о том, действительно ли легочно-плевральные изменения связаны с ревматоидным артритом, необходимо тщательно собирать анамнез и вести динамическое наблюдение. Поражение легких и плевры обычно обнаруживается у больных ревматоидным артритом спустя несколько лет после начала суставного процесса. Обострения суставных явлений сопровождаются, как правило, усилением физикальных и рентгенологических признаков легочной патологии, успешное же лечение противоревматическими препаратами уменьшает не только суставной процесс, но и интенсивность внесуставных проявлений.
Только часть больных предъявляют жалобы на кашель, небольшую одышку во время ходьбы, боли в грудной клетке при дыхании. При объективном обследовании у некоторых больных можно выявить укорочение легочного звука на ограниченном участке, ограничение подвижности легочного края, жесткое дыхание, сухие и влажные хрипы. Гораздо больше изменений выявляется при рентгенологическом обследовании. Наиболее часто обнаруживаются плевродиафрагмальные и плевроперикардиальные спайки, междолевой плеврит. У некоторых больных выявляются признаки диффузного или ограниченного фиброза.
Поражения легких при ревматоидном артрите развиваются у 30-50 % больных. Чаще всего это плеврит, хронический интерстициальный пневмонит, ревматоидные узелки, реже - альвеолит и острый пневмонит. Плеврит - наиболее частый вид поражения легких у больных ревматоидным артритом (на аутопсии выявляется в 40-70 % случаев). Сухой плеврит возникает значительно чаще экссудативного, однако в связи со стертой клинической картиной диагностируется реже, чем экссудативный, который обычно выявляется лишь у 2-8 % больных и только при активном течении ревматоидного артрита. Дифференциальный диагноз экссудативного плеврита проводится с туберкулезом, солидными опухолями, реже - с транссудатом при сердечной или почечной недостаточности. Помощь в верификации характера плеврита могут оказать результаты исследования экссудата (повышенное количество лимфоцитов и нейтрофилов в цитограмме, снижение содержания С3-компонента комплемента, высокая концентрация иммунных комплексов и ревматоидного фактора). У части больных ревматоидным артритом развиваетсяхронический интерстициальный пневмонит, в основе которого лежит иммунокомплексное поражение сосудов легких (васкулит) с нарушением микроциркуляции. Морфологически в утолщенных межальвеолярных перегородках выявляются лимфоциты и плазматические клетки. Клинически интерстициальный пневмонит проявляется продуктивным кашлем, нарастающей одышкой при физической нагрузке, со временем возможно развитие дыхательной недостаточности. На рентгенограммах легких выявляются усиление легочного рисунка и признаки легочного фиброза, при функциональном исследовании - уменьшение легочных объемов и снижение диффузионной способности легких. При прогрессировании васкулита может развиваться легочная гипертензия, резко ухудшающая прогноз заболевания. Ревматоидные узелки, наиболее частый внесуставной признак ревматоидного артрита, могут появляться и в легочной ткани, размеры их колеблются от нескольких миллиметров до нескольких сантиметров. Обычно ревматоидные узелки обнаруживаются случайно при плановой рентгенографии органов грудной клетки, при выполнении компьютерной томографии с высокой разрешающей способностью частота их выявления существенно увеличивается. У большинства больных ревматоидным артритом, ревматоидные узелки подвергаются обратному развитию независимо от лечения, реже фиброзируются, крайне редко - разрушаются с образованием каверн с последующим развитием осложнений (бронхоплевральной фистулы, пневмоторакса, абсцесса легкого). При обнаружении ревматоидных узелков необходимо проводить дифференциальный диагноз с инфекционными заболеваниями, а также первичными или метастатическими опухолями легких. Частным вариантом этого вида поражений легких является синдром Каплана (ревматоидный пневмокониоз - мелкие рассеянные очаги затенения легочного поля), асбестоз, силикоз и др. Альвеолит у больных ревматоидным артритом - основная причина летальных исходов, связанных с поражением легких. Клиническая картина альвеолита очень похожа на проявления идиопатического фиброзирующего альвеолита (синдром Хаммена - Ричи): прогрессирующая одышка, крепитация в базальных отделах легких, гипоксемия, двусторонние интерстициальные или инфильтративные изменения на рентгенограммах легких. Наиболее адекватными методами диагностики являются исследование диффузионной способности легких, цитограммы жидкости бронхоальвеолярного лаважа и компьютерная томография легких. В редких случаях при ревматоидном артрите встречаются альвеолярные геморрагии, амилоидоз легких, фиброз верхней доли легкого и снижение экскурсий грудной клетки при распространенном поражении костостернальных или костовертебральных сочленений. Поражение сердечно-сосудистой системы является одной из причин повышенной летальности больных ревматоидным артритом, что было в последние годы убедительно показано в ряде проспективных исследований (продолжительность жизни больных ревматоидным артритом на 10-15 лет меньше, чем в популяции). При этом изменения со стороны сердца и сосудов могут быть обусловлены как существующим иммуновоспалительным процессом (в частности, развитие миокардита, выпотного перикардита, эндокардита, аортита и др.), так и проводимой терапией. Так, назначение НПВП, ингибирующих циклооксигеназу-2 (рофекоксиб и др.), приводит к подавлению синтеза простациклина и сдвигу существующего баланса в сторону гиперпродукции тромбоксана, что может быть одной из причин увеличения риска сосудистых катастроф (инфаркт миокарда, инсульт) у таких больных. Кроме того, развивающаяся дисфункция эндотелия и постоянный прием НПВП значительно увеличивают риск развития артериальной гипертензии, а также прогрессирования хронической сердечной недостаточности, особенно у пожилых пациентов.
Смирнов Александр Викторович Ведущий научный сотрудник, д.м.н. ГУ Институт Ревматологии РАМН
Ревматоидный артрит (РА) Рентгенологические стадии РА. Наиболее часто используемой в повседневной практике рентгенологической классификацией является деление РА на стадии по Steinbrocker [29] в различных модификациях. Выделяются 4 рентгенологические стадии заболевания, отражающие прогрессирование РА в мелких суставах кистей и дистальных отделов стоп. К начальным рентгенологическим проявлениям ревматоидного артрита относится периартикулярное утолщение и уплотнение мягких тканей и околосуставной остеопороз (1 стадия). На фоне околосуставного остеопороза появление кистовидных просветлений костной ткани и сужение суставных щелей в одном или многих суставах одновременно указывает на прогрессирование артрита и переход в следующую стадию 2А. Эта стадия длится до тех пор, пока не будет обнаружена первая эрозия в типичном для РА суставе. Появление первой эрозии указывает на переход РА в стадию 2Б (Рис.1).
Как правило, первые эрозии появляются во 2-3-х пястно-фаланговых, в области шиловидного отростка локтевой кости, несколько позже в проксимальных межфаланговых суставах кистей и в суставах запястий. Выявление множественных эрозий (более 5) [7] в типичных суставах говорит о наличии у больного 3 стадии РА. 4-я стадия характеризуется появлением частичного или полного костного анкилоза межзапястного или одного из запястно-пястных суставов (кроме 1-го запястно-пястного сустава) (Рис.2).
Рентгенологические изменения в разных суставах у одного пациента могут быть различными, поэтому стадия РА устанавливается по максимально изменённому любому суставу (для начальных стадий РА) и по суммарному количеству эрозий в суставах кистей и дистальных отделов стоп (для 2Б и 3-й стадии РА). Рентгенологическая стадия РА учитывает не только в мелких суставах кистей, но и в дистальных отделах стоп, где типичными для РА являются 2-5 плюсне-фаланговые и 1-е межфаланговые суставы. Локализация костно-суставных изменений в кистях при РА. Суставами - мишенями при РА являются все синовиальные суставы и, в первую очередь, это относится к мелким суставам кистей. Первоначальные рентгенологические изменения описаны во 2-3-х пястно-фаланговых, 3-х проксимальных межфаланговых суставов кистей. Сразу или несколько позже появляются изменения в запястьях, которые относятся к комплексным синовиальным суставам, состоящих из нескольких простых (лучезапястного, переднего лучелоктевого, межзапястного, общего запястно-пястного, 1-го запястно-пястного и гороховидно-трёхгранного суставов). При РА поражаются большинство суставов запястий, что помогает в дифференциальном диагнозе с другими артропатиями. Позже всего и в наименьшей степени в патологический процесс вовлекается 1-й запястно-пястный сустав, который может быть и не вовлечён в общий артрит даже при активном поражении всех суставов запястья. В дистальном метаэпифизе локтевой кости имеются 3 участка, а именно, наружный край шиловидного отростка локтевой кости, верхний край шиловидного отростка и передний лучелоктевой сустав, которые играют заметную роль как области-мишени при РА и где могут быть выявлены первые эрозии. Ранние эрозии могут появиться в любой кости запястья, но в дополнение к дистальному участку локтевой кости характерными зонами появления первых эрозий могут быть шиловидный отросток лучевой кости, краевые участки ладьевидной, трёхгранной и гороховидной костей [1]. Появление костных анкилозов отличительный признак РА, особенно если развиваются множественные и симметричные анкилозы межзапястного и 2-4-х запястно-пястных суставов. Раньше всего анкилозируются суставы запястья, при этом все кости запястья могут сливаться в единый костный блок (Рис. 3). В других суставах кистей костные анкилозы при РА не выявляются.
Термин «ревматоидный артрит» наиболее употребим, принят «номенклатурой ревматических заболеваний» на IX международном конгрессе в Торонто и на II Всесоюзном съезде ревматологов в 1978 году. Однако у нас в стране чаще используется термин «инфекционный неспецифический полиартрит». В основе ревматоидного артрита лежат иммунопатологические процессы. Характерно ациклическое течение процесса, затяжное или хроническое с системным поражением опорно-двигательного аппарата. Заболевание приводит к стойкой деформации суставов и высокому проценту инвалидности. Ревматоидным артритом болеют 0,4—1,3% взрослого населения СССР, и 1—3% населения других стран. Лица женского пола болеют в 1,5—2 раза чаще. Страдают люди молодого и среднего возраста. Обычно встречается множественное поражение суставов. Процесс начинается в мелких суставах преимущественно верхней конечности Процесс двусторонний, но может быть не симметричным и протекать в различных стадиях с каждой стороны. Постепенно по истечению времени изменения на одной и другой конечности становятся однотипными. В дальнейшем могут вовлекаться в процесс и крупные суставы, что является признаком тяжелого течения. Изменения наблюдаются в тазобедренных суставах, височно-челюстных и суставах позвоночника. В период обострения в клинике отмечаются боли в суставах, нарастающие при движениях, отечность параартикулярных тканей, часто формируются подвывихи, вывихи, контрактуры, анкилозы Таким образом, наиболее часто поражаются запястно-пястные, пястно-фаланговые, лучезапястные и проксимальные межфаланговые суставы II, III, IV пальцев. В далеко зашедших случаях поражаются дистальные межфаланговые суставы. Болезнь протекает стадийно. Американская ревматологическая ассоциация предлагает выделять 4 стадии процесса по степени рентгенологических изменений. I стадия — ранняя. При рентгенологическом исследовании выявляется сначала регионарный остеопороз в околосуставных отделах, т. е. в участках богатых губчатым веществом. При не адекватном или не своевременном лечении развивается диффузный остеопороз. Остеопороз носит функциональный характер. За счет эксудации в полость сустава развивается болезненность и как следствие — ограничение движений. II стадия — умеренная. На рентгенограммах рядом с суставной поверхностью субкортикально определяются множественные мелкие, до 2—3 мм в диаметре кистоподобные просветления с четкими ровными контурами и ободком склероза вокруг. Может отмечаться разрушение кортикального слоя с образованием четкоочерченных ограниченных ободком склероза краевых узур. Суставные щели представляются суженными. III стадия — тяжелая. Количество узур увеличивается, суставные щели представляются суженными, суставные поверхности становятся инконгруентными. В межфаланговых суставах развивается ульнарная девиация, т. е. латеральный подвывих и смещение. IV стадия — последняя. К рентгенологическим симптомам III стадии присоединяются явления анкилоза. Анкилоз — сначала фиброзный, а затем костный. Развивается в пястно-запястном сочленении, распространяется проксимально и все 8 костей запястья могут представляться в виде единого костного блока. При поражении тазобедренного сустава наступает разрушение хряща, костной ткани эпифиза и вертлужной впадины. Развиваются подвывихи, присоединяется асептический некроз головки бедренной кости. При поражении височно-челюстных 'суставов изменения развиваются в кандилярном отростке нижней челюсти и в суставном бугорке височной кости. Деформируется суставная щель, эрозируются суставные поверхности, иногда развивается анкилоз. Процесс двусторонний. Дифференциальный диагноз приходится проводить с изменениями при склеродермии и системной красной волчанке.
Fig. 15. Rheumatoid arthritis. A) Early erosive changes are seen at the bare areas of the second and thirs metacarpal-pahalangeal joint. B.) In a patient with long standing rheumatoid arthritis marked destruction of carpal bones and styloid process has occurred. Note luxation of the first MCP joint, erosions at the other MCP joints and generalized osteoporosis.
ДИФФЕРЕНЦИАЛЬНАЯ РЕНТГЕНОЛОГИЧЕСКАЯ ДИАГНОСТИКА
ПОРАЖЕНИЯ СУСТАВОВ КИСТИ ПРИ РЕВМАТИЧЕСКИХ ЗАБОЛЕВАНИЯХ.
Смирнов Александр Викторович
Ведущий научный сотрудник, д.м.н.
ГУ Институт Ревматологии РАМН
Основные рентгенологические симптомы патологических
изменений в мелких суставах кистей при ревматических заболеваниях.
Диффузное периартикулярное утолщение и уплотнение мягких тканей является наиболее ранним рентгенологическим симптомом артрита и обусловлено протекающими в мягких тканях суставов экссудативно-пролиферативными процессами. Рентгенологически данные изменения выявляются в виде симметричной или несимметричной сглаженности контуров или увеличением толщины и понижением прозрачности мягких тканей в воспаленном суставе. Классическим патологическим проявлением периартрита является отложение солей кальция в мягкие ткани в области сустава. Кальцификаты могут быть одиночными или множественными, односторонними или двухсторонними, при этом иметь различные формы и размеры. Они могут быть в виде нечетких линейных теней или мелких округлых образований на краях суставных поверхностей с четкими, ровными или неровными контурами, гомогенной структуры и высокой плотности, сопоставимой с плотностью кортикальной кости. Часто отложения кальция не представляют собой гомогенную массу, где сочетаются как участки повышенной, так и пониженной плотности.
Синовит (внутрисуставной выпот). О наличии жидкости в мелких суставах кистей можно судить косвенно по небольшому расширению суставной щели.
Тендиниты и теносиновиты наиболее часто обнаруживаются в области запястий, когда в патологический процесс вовлекаются связки запястий или когда изменения обнаруживаются в области шиловидного отростка локтевой кости. Рентгенологически они проявляются утолщением и уплотнением связок и сухожилий в местах их расположения и прикрепления к костям (энтезопатии). Любые мягкотканные структуры могут быть кальцифицированы, что очень четко отражается на рентгеновских снимках.
Остеопороз. Наиболее ранним, но не специфическим рентгенологическим симптомом полиартрита является околосуставной остеопороз (ОП). Рентгенологическими признаками околосуставного ОП являются повышение рентгенпрозрачности костной ткани в эпифизарных концах коротких трубчатых костей, обеднение трабекулярного рисунка в эпифизах костей в виде истончения и/или частичного исчезновения трабекул, уменьшения количества трабекул на единицу площади, а также истончение замыкательных пластинок суставных поверхностей костей. У части пациентов, особенно у женщин в постменопаузальном периоде, развивается распространённый ОП. Рентгенологическими симптомами распространённого ОП являются истончение кортикального слоя диафиза коротких трубчатых костей за счёт эндостальной и субэндостальной резорбции костной ткани и расширение костномозгового пространства.
Кистовидные просветления костной ткани (кисты) - характерный для полиартрита рентгенологический симптом, часто выявляемый уже на ранних стадиях развития заболевания в суставах кистей. В большинстве случаев они проявляются как множественные, мелкие, округлой формы, рентгеннегативные образования, располагающиеся в субхондральном и/или, реже, центральном отделе эпифизов костей. В период обострения заболевания кистовидные просветления костной ткани не имеют четких границ. При этом в сочетании с ОП множественные кисты ещё более увеличивают рентгенпрозрачность костей и могут сливаться с порозной костной тканью. В периоде ремиссии вокруг кистовидных просветлений может появиться тонкий костный ободок, отграничивающий его от окружающей костной ткани. Крупные кистовидные просветления в эпифизах коротких трубчатых костей и запястий встречаются у физически активных мужчин. При невоспалительных ревматических заболеваниях кисты проявляются как кольцевидные дефекты в трабекулярной костной ткани субхондрального отдела кости с чётко определяемым склеротическим ободком. О динамике изменений субхондральной кисты судят по их количеству и размерам.
Сужение суставной щели. Для артрита характерно прогрессирующее сужение суставных щелей, которое обусловлено деструкцией суставного хряща. Равномерность сужения суставной щели в латеральных и медиальных отделах сустава отличительное свойство артрита. Для полиартрита свойственна значительная выраженность сужения суставной щели вплоть до костногоанкилозирования суставов при отдельных ревматических заболеваниях.
Для невоспалительных изменений суставов с ужение суставной щели также является одним из самых важных рентгенологических симптомов, напрямую взаимосвязанный с патологическими изменениями, происходящими в суставном хряще. Известно, что уменьшение в объёме суставного хряща распределяется неравномерно на разных участках суставной поверхности, в связи с чем, рентгеновская суставная щель в разных отделах сустава может иметь различную ширину. Но неравномерное сужение суставной щели как симптом более характерен для артроза крупных суставов, в мелких суставах кистей толщина суставного хряща небольшая и обнаруживаемые изменения обычно носят симметричный характер.
Эрозии суставов. Наличие эрозий суставных поверхностей наиболее характерный для хронического полиартрита рентгенологический симптом, обнаружение которого в типичных для различных ревматических заболеваний суставах подтверждает диагноз. Длительное отсутствие эрозий в мелких суставах кистей требует проведения дифференциального диагноза между ревматическими заболеваниями, для которых не характерно развитие эрозивного артрита. Появление эрозий связано с разрушением субхондральной замыкательной пластины и участка губчатой кости эпифиза сустава. Выделяются 3типа костных эрозий. Наиболее часто в мелких суставах кистей образуются краевые поверхностные эрозии, в тех местах внутрисуставного участка кости, где кость не защищена покрывающим сустав хрящом. Именно эти «оголённые» участки эпифизов костей на краях суставных поверхностей являются первичными местами атаки активно пролиферирующей синовиальной оболочки сустава. Компрессионные эрозии имеют место в том случае, когда происходит провал (коллапс) субхондральной части губчатой кости на фоне околосуставного остеопороза и кистовидной перестройки костной структуры, что приводит к инвагинации суставной поверхности внутрь эпифиза. Важными местами появления данного типа эрозий являются пястно-фаланговые суставы, где коллапс и инвагинация суставных поверхностей проксимальных эпифизов основных фаланг пальцев и смещение пястных головок в эти участки формируют типичные для полиартрита деформации суставов. Компрессионной эрозией также является внедрение ладьевидной кости запястья в дистальный эпифиз лучевой кости. 3-й тип эрозий выявляется в виде поверхностной резорбции замыкательной пластины кости в месте прикреплениясвязки и обычно связан с воспалительными изменениями в смежной связке. Появление такой эрозии по наружному краю шиловидного отростка локтевой кости является важной находкой и представляет собой один из ранних рентгенологических симптомов РА.
При ОА неровность суставной поверхности можно определить как околосуставной краевой дефект костной ткани. У больных с ОА костные дефекты небольшие, с участком остеосклероза в основании. При этом окружающая их костная ткань не имеет разрежения костной структуры, что характерно для истинных эрозий, выявляемых при ревматоидном артрите, которые не имеют склеротических изменений в основании и часто определяются на фоне околосуставного остеопороза. Краевые дефекты костной ткани могут быть обнаружены на ранних стадиях ОА. Появление их может быть связано с воспалительными изменениями в синовиальной оболочке и описаны они в проксимальных и дистальных межфаланговых суставах кистей.
Для РА характерны множественные эрозивные поражения суставов. Симметричность поражения является отличительным признаком РА от других ревматических заболеваний. 1-й запястно-пястный сустав поражается при РА редко и его можно отнести к «суставу исключения РА».
Иногда, при быстро прогрессирующем или длительном течении РА, на рентгенограммах обнаруживаются крупные эрозии суставных поверхностей, вплоть до полного разрушения и исчезновения эпифизов костей. Данный вид поражения суставов при РА относят к остеолитической форме заболевания. При таких обширных и множественных деструктивных поражениях суставов развиваются множественные подвывихи, вывихи и контрактуры суставов и формируются типичные для РА деформации суставов. Помимо деструктивных изменений в суставах, большинство деформаций связано с сухожильной и связочной разболтанностью и разрывами в них, а также с перестройкой нормального мышечного натяжения вокруг одного или более суставов. Примерами таких изменений могут служить деформации пальцев по типу «бутаньерки» или «лебединной шеи», вальгусной девиации пальцев в пястно-фаланговых суставах.
Остеолиз – патологический процесс, сопровождающийся рассасыванием кости, при котором костная ткань исчезает полностью и бесследно при отсутствии реактивных изменений со стороны окружающих мягких тканей и оставшийся части кости. Остеолитическую форму РА нельзя отнести к истинному остеолизу костной ткани. Эта форма РА, по всей видимости, является деструктивным артритом, что более свойственно РА. Но деструкции костей в этом случае столь значительны, что эпифизы костей практически полностью разрушаются, при этом они значительно уменьшаются в размерах и деформируются, но необходимо отметить, что данные деструктивные изменения, при всей обширности поражения, не выходят за границы эпифизов костей. При истинном остеолизе коротких трубчатых костей рассасыванию подвергаются не только эпифизы, но также метафизы и диафизы костей, в отдельных случаях кость может полностью лизироваться, что никогда не бывает при РА. Одним из вариантов остеолиза является акроостеолиз ногтевых бугристостей дистальных фаланг пальцев. Истинный остеолиз является крайне характерным, если не сказать патогмоничным, рентгенологическим симптомом псориатической артропатии и системной склеродермии.
Остеонекроз (асептический некроз кости) – омертвение участка костной ткани в субхондральном отделе суставной поверхности кости, обычно связанное с локальным нарушением кровообращения в определённом участке кости на фоне травмы (микротравмы), воспаления или приёма лекарственных препаратов (глюкокортикоидных гормонов) с последующим образованием секвестра и развитием вторичных остеосклеротических изменений. Патогенез костных изменений при АН, осложняющем течение ревматических заболеваний, до настоящего времени изучен недостаточно. При этом рассматриваются отдельные гипотезы, касающихся взаимосвязи АН с васкулитом, характерным для многих ревматических заболеваний. По литературным данным наблюдается достоверная корреляция развития АН с приемом ГК, причем особенно отчетливую связь авторы отмечают с длительным применением более высоких доз ГК, как, например, при СКВ.
Начальными рентгенологическими проявлениями АН следует считать повышение рентгенпрозрачности и разрежение трабекулярной костной структуры субхондрального отдела суставной поверхности кости с формированием линейной зоны просветления костной ткани, которая идёт параллельно суставной поверхности. В другом случае ранними симптомами АН может быть участок кистовидного просветления костной ткани или множественные мелкие кисты, чередующиеся с небольшими зонами уплотнения костной ткани округлой или линейной формы, также как и в первом случае, расположенными субхондрально. В этой стадии заболевания кость сохраняет свою нормальную анатомическую форму, чёткие, ровные контуры суставной поверхности и нормальную ширину суставной щели.
В следующей стадии АН, за счет рассасывания омертвевшего участка кости, происходит ослабление прочности костных трабекул и кость начинает деформироваться. На рентгенограмме в этой стадии чётко визуализируется некротический участок кости и зона сохранившейся здоровой костной ткани. Участок некроза определяется в виде округлой, овальной или неправильной формы плотной секвестроподобной тени. Она локализуется в центральном отделе изменённой кости. Очаг некроза окружен линейной зоной просветления. За ней идёт участок остеосклероза, являющийся компенсаторной реакцией кости, отграничивающей зону поражения от здоровой кости.
В дальнейшем, по мере усиления рассасывания некротизированной костной ткани, начинают нарастать репаративные процессы со стороны здоровой костной ткани. Рентгенологические изменения этой стадии характеризуются появлением вторичных дегенеративных изменений в кости и смежном суставе в виде формирования остеофитов на краях суставных поверхностей, сужением суставной щели, нерастанием остеосклеротических изменений, выраженных деформационных изменений костей, подвывихов в суставах.
Остеофиты – костные разрастания на краях суставных поверхностей костей различной формы и размеров являются чрезвычайно характерным для первичного и вторичного ОА рентгенологическим симптомом. Остеофиты в начальных стадиях развития ОА суставов проявляются в виде заострений или небольших размеров костных образований на краях суставных поверхностей. По мере нарастания тяжести ОА в суставах и прогрессирующего сужения суставной щели остеофиты увеличиваются в размерах, приобретают различные формы в виде «губ» или «гребней», прямолинейных или «пышных» костных разрастаний на широком или узком основании. Изменение количества остеофитов и их размеров является чувствительным индикатором прогрессирования заболевания, а отсутствие этих изменений может указывать на успешность в лечении ОА.
Субхондральный остеосклероз – уплотнение костной ткани, непосредственно расположенной под суставным хрящом. Обычно этот рентгенологический симптом выявляется на поздних стадиях ОА, когда суставная щель уже резко сужена и является следствием трения обнаженных сочленяющихся костных поверхностей друг о друга. Суставные костные поверхности при этом становятся неровными. Всё это свидетельствует о глубоком дегенеративном процессе в покровном хряще или о его исчезновении.
Иллюстрации из литературных источников.
Ревматоидное лёгкое
Иллюстрации из литературных источников.
Ревматоидный артрит
Выделяют следующие варианты поражения легких:
1) фиброзирующий альвеолит;
2) сухой и экссудативный плеврит;
3) ревматоидные узелки в легких;
4) синдром Каплана (силикоартрит).
Фиброзирующий альвеолит развивается у больных с развернутой клинической картиной, хотя иногда симптомы поражения легких предшествуют появлению суставного синдрома. Частота появления фиброзирующего альвеолита у больных ревматоидным артритом невелика и составляет 2-4 %. Клинические, рентгенологические и морфологические изменения не отличаются от таковых при идиопатическом фиброзирующем альвеолите, который протекает более тяжело. Определенное значение в развитии диффузного интерстициального фиброза придают ревматоидному фактору. Так, при иммунофлюоресцентном исследовании в ткани легких при ревматоидном артрите удается обнаружить отложение IgM. Однако наличие ревматоидного фактора в крови не может служить дифференциально-диагностическим признаком, так как его иногда обнаруживают и у больных идиопатическим фиброзирующим альвеолитом.
Наиболее распространенным проявлением поражения легких при ревматоидном артрите считают сухой или экссудативный плеврит. На аутопсии плевральные спайки обнаруживают у 40 % больных ревматоидным артритом, чаще у мужчин с длительным течением заболевания. Плевральный выпот нередко наблюдается в начале заболевания. Особенностью плевральной жидкости при ревматоидном плеврите является низкий уровень глюкозы. Содержание комплементов СЗ и С4 также снижено, в то время как в крови уровень комплемента СЗ превышает норму. В плевральной жидкости можно выявить ревматоидный фактор, однако этот признак не имеет большого диагностического значения и наблюдается при бактериальном, туберкулезном и опухолевых плевритах. Ревматоидный плевральный выпот обычно подвергается обратному развитию, однако может протекать длительно. Иногда он осложняется эмпиемой плевры.
Другим симптомом ревматоидного легкого являются единичные или множественные узелки различного размера (в среднем 1-2 см), которые могут сочетаться с выпотом, утолщением плевры или фиброзом легких, а также внелегочными проявлениями (в частности, подкожными узелками). Гистологически узелок представляет собой участок фибриноидного некроза, окруженный «палисадом» крупных моноцитов и валом грануляционной ткани. Обнаружение этих изменений (как и при исследовании подкожных ревматоидных узелков) патогномонично для ревматоидного артрита. Ревматоидные узелки могут исчезнуть, иногда рецидивируют или сохраняются в течение длительного времени. Для исключения опухоли при наличии единичного узелка показана биопсия легких.
Синдром Каплана характеризуется образованием очаговых теней в легких у больных, страдающих силикозом и ревматоидным артритом. При гистологическом исследовании пораженных участков обнаруживают изменения, типичные для ревматоидных узелков, и пыль диоксида кремния. Поражение легких, как и многие другие висцеральные проявления ревматоидного артрита, считают показанием для назначения стероидов и (или) цитостатиков.
Ревматоидные узелки в легких
Третьей формой легочных проявлений ревматоидного артрита являются ревматоидные узелки в легких. Легочные узлы чаще встречаются у мужчин, носят множественный характер, иногда подвергаются распаду с образованием полостей. Обычно у этих же больных находят подкожные ревматоидные узелки. Гистологическое исследование показывает сходство этих образований.
Легочные узлы рентгенологически напоминают картину периферической опухоли. Клинические проявления поражения органов дыхания при ревматоидном артрите весьма скудны. Прежде всего для решения вопроса о том, действительно ли легочно-плевральные изменения связаны с ревматоидным артритом, необходимо тщательно собирать анамнез и вести динамическое наблюдение. Поражение легких и плевры обычно обнаруживается у больных ревматоидным артритом спустя несколько лет после начала суставного процесса. Обострения суставных явлений сопровождаются, как правило, усилением физикальных и рентгенологических признаков легочной патологии, успешное же лечение противоревматическими препаратами уменьшает не только суставной процесс, но и интенсивность внесуставных проявлений.
Только часть больных предъявляют жалобы на кашель, небольшую одышку во время ходьбы, боли в грудной клетке при дыхании. При объективном обследовании у некоторых больных можно выявить укорочение легочного звука на ограниченном участке, ограничение подвижности легочного края, жесткое дыхание, сухие и влажные хрипы. Гораздо больше изменений выявляется при рентгенологическом обследовании. Наиболее часто обнаруживаются плевродиафрагмальные и плевроперикардиальные спайки, междолевой плеврит. У некоторых больных выявляются признаки диффузного или ограниченного фиброза.
Поражения легких при ревматоидном артрите развиваются у 30-50 % больных. Чаще всего это плеврит, хронический интерстициальный пневмонит, ревматоидные узелки, реже - альвеолит и острый пневмонит.
Плеврит - наиболее частый вид поражения легких у больных ревматоидным артритом (на аутопсии выявляется в 40-70 % случаев). Сухой плеврит возникает значительно чаще экссудативного, однако в связи со стертой клинической картиной диагностируется реже, чем экссудативный, который обычно выявляется лишь у 2-8 % больных и только при активном течении ревматоидного артрита. Дифференциальный диагноз экссудативного плеврита проводится с туберкулезом, солидными опухолями, реже - с транссудатом при сердечной или почечной недостаточности. Помощь в верификации характера плеврита могут оказать результаты исследования экссудата (повышенное количество лимфоцитов и нейтрофилов в цитограмме, снижение содержания С3-компонента комплемента, высокая концентрация иммунных комплексов и ревматоидного фактора).
У части больных ревматоидным артритом развиваетсяхронический интерстициальный пневмонит, в основе которого лежит иммунокомплексное поражение сосудов легких (васкулит) с нарушением микроциркуляции. Морфологически в утолщенных межальвеолярных перегородках выявляются лимфоциты и плазматические клетки. Клинически интерстициальный пневмонит проявляется продуктивным кашлем, нарастающей одышкой при физической нагрузке, со временем возможно развитие дыхательной недостаточности. На рентгенограммах легких выявляются усиление легочного рисунка и признаки легочного фиброза, при функциональном исследовании - уменьшение легочных объемов и снижение диффузионной способности легких. При прогрессировании васкулита может развиваться легочная гипертензия, резко ухудшающая прогноз заболевания.
Ревматоидные узелки, наиболее частый внесуставной признак ревматоидного артрита, могут появляться и в легочной ткани, размеры их колеблются от нескольких миллиметров до нескольких сантиметров. Обычно ревматоидные узелки обнаруживаются случайно при плановой рентгенографии органов грудной клетки, при выполнении компьютерной томографии с высокой разрешающей способностью частота их выявления существенно увеличивается. У большинства больных ревматоидным артритом, ревматоидные узелки подвергаются обратному развитию независимо от лечения, реже фиброзируются, крайне редко - разрушаются с образованием каверн с последующим развитием осложнений (бронхоплевральной фистулы, пневмоторакса, абсцесса легкого). При обнаружении ревматоидных узелков необходимо проводить дифференциальный диагноз с инфекционными заболеваниями, а также первичными или метастатическими опухолями легких. Частным вариантом этого вида поражений легких является синдром Каплана (ревматоидный пневмокониоз - мелкие рассеянные очаги затенения легочного поля), асбестоз, силикоз и др.
Альвеолит у больных ревматоидным артритом - основная причина летальных исходов, связанных с поражением легких. Клиническая картина альвеолита очень похожа на проявления идиопатического фиброзирующего альвеолита (синдром Хаммена - Ричи): прогрессирующая одышка, крепитация в базальных отделах легких, гипоксемия, двусторонние интерстициальные или инфильтративные изменения на рентгенограммах легких. Наиболее адекватными методами диагностики являются исследование диффузионной способности легких, цитограммы жидкости бронхоальвеолярного лаважа и компьютерная томография легких.
В редких случаях при ревматоидном артрите встречаются альвеолярные геморрагии, амилоидоз легких, фиброз верхней доли легкого и снижение экскурсий грудной клетки при распространенном поражении костостернальных или костовертебральных сочленений.
Поражение сердечно-сосудистой системы является одной из причин повышенной летальности больных ревматоидным артритом, что было в последние годы убедительно показано в ряде проспективных исследований (продолжительность жизни больных ревматоидным артритом на 10-15 лет меньше, чем в популяции). При этом изменения со стороны сердца и сосудов могут быть обусловлены как существующим иммуновоспалительным процессом (в частности, развитие миокардита, выпотного перикардита, эндокардита, аортита и др.), так и проводимой терапией. Так, назначение НПВП, ингибирующих циклооксигеназу-2 (рофекоксиб и др.), приводит к подавлению синтеза простациклина и сдвигу существующего баланса в сторону гиперпродукции тромбоксана, что может быть одной из причин увеличения риска сосудистых катастроф (инфаркт миокарда, инсульт) у таких больных. Кроме того, развивающаяся дисфункция эндотелия и постоянный прием НПВП значительно увеличивают риск развития артериальной гипертензии, а также прогрессирования хронической сердечной недостаточности, особенно у пожилых пациентов.
"Ревматоидное лёгкое".
Смирнов Александр Викторович
Ведущий научный сотрудник, д.м.н. ГУ Институт Ревматологии РАМН
Ревматоидный артрит (РА)
Рентгенологические стадии РА. Наиболее часто используемой в повседневной практике рентгенологической классификацией является деление РА на стадии по Steinbrocker [29] в различных модификациях.
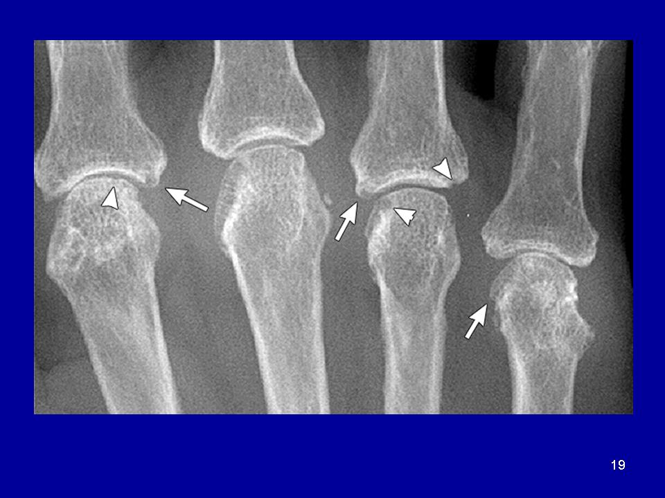
Выделяются 4 рентгенологические стадии заболевания, отражающие прогрессирование РА в мелких суставах кистей и дистальных отделов стоп. К начальным рентгенологическим проявлениям ревматоидного артрита относится периартикулярное утолщение и уплотнение мягких тканей и околосуставной остеопороз (1 стадия). На фоне околосуставного остеопороза появление кистовидных просветлений костной ткани и сужение суставных щелей в одном или многих суставах одновременно указывает на прогрессирование артрита и переход в следующую стадию 2А. Эта стадия длится до тех пор, пока не будет обнаружена первая эрозия в типичном для РА суставе. Появление первой эрозии указывает на переход РА в стадию 2Б (Рис.1).
Как правило, первые эрозии появляются во 2-3-х пястно-фаланговых, в области шиловидного отростка локтевой кости, несколько позже в проксимальных межфаланговых суставах кистей и в суставах запястий. Выявление множественных эрозий (более 5) [7] в типичных суставах говорит о наличии у больного 3 стадии РА. 4-я стадия характеризуется появлением частичного или полного костного анкилоза межзапястного или одного из запястно-пястных суставов (кроме 1-го запястно-пястного сустава) (Рис.2).
Рентгенологические изменения в разных суставах у одного пациента могут быть различными, поэтому стадия РА устанавливается по максимально изменённому любому суставу (для начальных стадий РА) и по суммарному количеству эрозий в суставах кистей и дистальных отделов стоп (для 2Б и 3-й стадии РА).
Рентгенологическая стадия РА учитывает не только в мелких суставах кистей, но и в дистальных отделах стоп, где типичными для РА являются 2-5 плюсне-фаланговые и 1-е межфаланговые суставы.
Локализация костно-суставных изменений в кистях при РА. Суставами - мишенями при РА являются все синовиальные суставы и, в первую очередь, это относится к мелким суставам кистей. Первоначальные рентгенологические изменения описаны во 2-3-х пястно-фаланговых, 3-х проксимальных межфаланговых суставов кистей. Сразу или несколько позже появляются изменения в запястьях, которые относятся к комплексным синовиальным суставам, состоящих из нескольких простых (лучезапястного, переднего лучелоктевого, межзапястного, общего запястно-пястного, 1-го запястно-пястного и гороховидно-трёхгранного суставов). При РА поражаются большинство суставов запястий, что помогает в дифференциальном диагнозе с другими артропатиями. Позже всего и в наименьшей степени в патологический процесс вовлекается 1-й запястно-пястный сустав, который может быть и не вовлечён в общий артрит даже при активном поражении всех суставов запястья. В дистальном метаэпифизе локтевой кости имеются 3 участка, а именно, наружный край шиловидного отростка локтевой кости, верхний край шиловидного отростка и передний лучелоктевой сустав, которые играют заметную роль как области-мишени при РА и где могут быть выявлены первые эрозии. Ранние эрозии могут появиться в любой кости запястья, но в дополнение к дистальному участку локтевой кости характерными зонами появления первых эрозий могут быть шиловидный отросток лучевой кости, краевые участки ладьевидной, трёхгранной и гороховидной костей [1].
Появление костных анкилозов отличительный признак РА, особенно если развиваются множественные и симметричные анкилозы межзапястного и 2-4-х запястно-пястных суставов. Раньше всего анкилозируются суставы запястья, при этом все кости запястья могут сливаться в единый костный блок (Рис. 3). В других суставах кистей костные анкилозы при РА не выявляются.
Ревматоидный артрит
Ювенильный ревматоидный артрит.
Ревматоидный артрит
ИНФЕКЦИОННЫЙ НЕСПЕЦИФИЧЕСКИЙ (РЕВМАТОИДНЫЙ) ПОЛИАРТРИТ
Термин «ревматоидный артрит» наиболее употребим, принят «номенклатурой ревматических заболеваний» на IX международном конгрессе в Торонто и на II Всесоюзном съезде ревматологов в 1978 году. Однако у нас в стране чаще используется термин «инфекционный неспецифический полиартрит».
В основе ревматоидного артрита лежат иммунопатологические процессы. Характерно ациклическое течение процесса, затяжное или хроническое с системным поражением опорно-двигательного аппарата. Заболевание приводит к стойкой деформации суставов и высокому проценту инвалидности.
Ревматоидным артритом болеют 0,4—1,3% взрослого населения СССР, и 1—3% населения других стран. Лица женского пола болеют в 1,5—2 раза чаще. Страдают люди молодого и среднего возраста. Обычно встречается множественное поражение суставов. Процесс начинается в мелких суставах преимущественно верхней конечности Процесс двусторонний, но может быть не симметричным и протекать в различных стадиях с каждой стороны. Постепенно по истечению времени изменения на одной и другой конечности становятся однотипными. В дальнейшем могут вовлекаться в процесс и крупные суставы, что является признаком тяжелого течения. Изменения наблюдаются в тазобедренных суставах, височно-челюстных и суставах позвоночника.
В период обострения в клинике отмечаются боли в суставах, нарастающие при движениях, отечность параартикулярных тканей, часто формируются подвывихи, вывихи, контрактуры, анкилозы
Таким образом, наиболее часто поражаются запястно-пястные, пястно-фаланговые, лучезапястные и проксимальные межфаланговые суставы II, III, IV пальцев. В далеко зашедших случаях поражаются дистальные межфаланговые суставы. Болезнь протекает стадийно.
Американская ревматологическая ассоциация предлагает выделять 4 стадии процесса по степени рентгенологических изменений.
I стадия — ранняя. При рентгенологическом исследовании выявляется сначала регионарный остеопороз в околосуставных отделах, т. е. в участках богатых губчатым веществом. При не адекватном или не своевременном лечении развивается диффузный остеопороз. Остеопороз носит функциональный характер. За счет эксудации в полость сустава развивается болезненность и как следствие — ограничение движений.
II стадия — умеренная. На рентгенограммах рядом с суставной поверхностью субкортикально определяются множественные мелкие, до 2—3 мм в диаметре кистоподобные просветления с четкими ровными контурами и ободком склероза вокруг. Может отмечаться разрушение кортикального слоя с образованием четкоочерченных ограниченных ободком склероза краевых узур. Суставные щели представляются суженными.
III стадия — тяжелая. Количество узур увеличивается, суставные щели представляются суженными, суставные поверхности становятся инконгруентными. В межфаланговых суставах развивается ульнарная девиация, т. е. латеральный подвывих
и смещение.
IV стадия — последняя. К рентгенологическим симптомам III стадии присоединяются явления анкилоза. Анкилоз — сначала фиброзный, а затем костный. Развивается в пястно-запястном сочленении, распространяется проксимально и все 8 костей запястья могут представляться в виде единого костного блока. При поражении тазобедренного сустава наступает разрушение хряща, костной ткани эпифиза и вертлужной впадины. Развиваются подвывихи, присоединяется асептический некроз головки бедренной кости.
При поражении височно-челюстных 'суставов изменения развиваются в кандилярном отростке нижней челюсти и в суставном бугорке височной кости. Деформируется суставная щель, эрозируются суставные поверхности, иногда развивается анкилоз. Процесс двусторонний. Дифференциальный диагноз приходится проводить с изменениями при склеродермии и системной красной волчанке.
Плевро-легочные проявления ревматоидного артрита
http://www.clinicalimagingscience.org/article.asp?issn=2156-7514;year=2011;volume=1;issue=1;spage=32;epage=32;aulast=Sidhu
Ревматоидный и туберкулёзный артриты. МРТ - дифференциальная диагностика
http://www.ajronline.org/doi/full/10.2214/AJR.08.2164
Ревматоидный артрит. УЗИ и МРТ
http://www.ajronline.org/doi/full/10.2214/AJR.11.6798
Ревматоидный артрит
Из презентации Анатолия Владимировича Шумакова
Из презентации Анатолия Владимировича Шумакова
Ревматоидный артрит.
Легочная "манифестация"
Ревматоидный артрит
Из литературных источников
ДИФФЕРЕНЦИАЛЬНАЯ РЕНТГЕНОЛОГИЧЕСКАЯ ДИАГНОСТИКА
ПОРАЖЕНИЯ СУСТАВОВ КИСТИ ПРИ РЕВМАТИЧЕСКИХ ЗАБОЛЕВАНИЯХ.
Смирнов Александр Викторович
Ведущий научный сотрудник, д.м.н.
ГУ Институт Ревматологии РАМН
http://rheumatolog.ru/programs/specialistu/rentgen_statyi/0001.htm
Основные рентгенологические симптомы патологических
изменений в мелких суставах кистей при ревматических заболеваниях.
Диффузное периартикулярное утолщение и уплотнение мягких тканей является наиболее ранним рентгенологическим симптомом артрита и обусловлено протекающими в мягких тканях суставов экссудативно-пролиферативными процессами. Рентгенологически данные изменения выявляются в виде симметричной или несимметричной сглаженности контуров или увеличением толщины и понижением прозрачности мягких тканей в воспаленном суставе. Классическим патологическим проявлением периартрита является отложение солей кальция в мягкие ткани в области сустава. Кальцификаты могут быть одиночными или множественными, односторонними или двухсторонними, при этом иметь различные формы и размеры. Они могут быть в виде нечетких линейных теней или мелких округлых образований на краях суставных поверхностей с четкими, ровными или неровными контурами, гомогенной структуры и высокой плотности, сопоставимой с плотностью кортикальной кости. Часто отложения кальция не представляют собой гомогенную массу, где сочетаются как участки повышенной, так и пониженной плотности.
Синовит (внутрисуставной выпот). О наличии жидкости в мелких суставах кистей можно судить косвенно по небольшому расширению суставной щели.
Тендиниты и теносиновиты наиболее часто обнаруживаются в области запястий, когда в патологический процесс вовлекаются связки запястий или когда изменения обнаруживаются в области шиловидного отростка локтевой кости. Рентгенологически они проявляются утолщением и уплотнением связок и сухожилий в местах их расположения и прикрепления к костям (энтезопатии). Любые мягкотканные структуры могут быть кальцифицированы, что очень четко отражается на рентгеновских снимках.
Остеопороз. Наиболее ранним, но не специфическим рентгенологическим симптомом полиартрита является околосуставной остеопороз (ОП). Рентгенологическими признаками околосуставного ОП являются повышение рентгенпрозрачности костной ткани в эпифизарных концах коротких трубчатых костей, обеднение трабекулярного рисунка в эпифизах костей в виде истончения и/или частичного исчезновения трабекул, уменьшения количества трабекул на единицу площади, а также истончение замыкательных пластинок суставных поверхностей костей. У части пациентов, особенно у женщин в постменопаузальном периоде, развивается распространённый ОП. Рентгенологическими симптомами распространённого ОП являются истончение кортикального слоя диафиза коротких трубчатых костей за счёт эндостальной и субэндостальной резорбции костной ткани и расширение костномозгового пространства.
Кистовидные просветления костной ткани (кисты) - характерный для полиартрита рентгенологический симптом, часто выявляемый уже на ранних стадиях развития заболевания в суставах кистей. В большинстве случаев они проявляются как множественные, мелкие, округлой формы, рентгеннегативные образования, располагающиеся в субхондральном и/или, реже, центральном отделе эпифизов костей. В период обострения заболевания кистовидные просветления костной ткани не имеют четких границ. При этом в сочетании с ОП множественные кисты ещё более увеличивают рентгенпрозрачность костей и могут сливаться с порозной костной тканью. В периоде ремиссии вокруг кистовидных просветлений может появиться тонкий костный ободок, отграничивающий его от окружающей костной ткани. Крупные кистовидные просветления в эпифизах коротких трубчатых костей и запястий встречаются у физически активных мужчин. При невоспалительных ревматических заболеваниях кисты проявляются как кольцевидные дефекты в трабекулярной костной ткани субхондрального отдела кости с чётко определяемым склеротическим ободком. О динамике изменений субхондральной кисты судят по их количеству и размерам.
Сужение суставной щели. Для артрита характерно прогрессирующее сужение суставных щелей, которое обусловлено деструкцией суставного хряща. Равномерность сужения суставной щели в латеральных и медиальных отделах сустава отличительное свойство артрита. Для полиартрита свойственна значительная выраженность сужения суставной щели вплоть до костногоанкилозирования суставов при отдельных ревматических заболеваниях.
Для невоспалительных изменений суставов с ужение суставной щели также является одним из самых важных рентгенологических симптомов, напрямую взаимосвязанный с патологическими изменениями, происходящими в суставном хряще. Известно, что уменьшение в объёме суставного хряща распределяется неравномерно на разных участках суставной поверхности, в связи с чем, рентгеновская суставная щель в разных отделах сустава может иметь различную ширину. Но неравномерное сужение суставной щели как симптом более характерен для артроза крупных суставов, в мелких суставах кистей толщина суставного хряща небольшая и обнаруживаемые изменения обычно носят симметричный характер.
Эрозии суставов. Наличие эрозий суставных поверхностей наиболее характерный для хронического полиартрита рентгенологический симптом, обнаружение которого в типичных для различных ревматических заболеваний суставах подтверждает диагноз. Длительное отсутствие эрозий в мелких суставах кистей требует проведения дифференциального диагноза между ревматическими заболеваниями, для которых не характерно развитие эрозивного артрита. Появление эрозий связано с разрушением субхондральной замыкательной пластины и участка губчатой кости эпифиза сустава. Выделяются 3типа костных эрозий. Наиболее часто в мелких суставах кистей образуются краевые поверхностные эрозии, в тех местах внутрисуставного участка кости, где кость не защищена покрывающим сустав хрящом. Именно эти «оголённые» участки эпифизов костей на краях суставных поверхностей являются первичными местами атаки активно пролиферирующей синовиальной оболочки сустава. Компрессионные эрозии имеют место в том случае, когда происходит провал (коллапс) субхондральной части губчатой кости на фоне околосуставного остеопороза и кистовидной перестройки костной структуры, что приводит к инвагинации суставной поверхности внутрь эпифиза. Важными местами появления данного типа эрозий являются пястно-фаланговые суставы, где коллапс и инвагинация суставных поверхностей проксимальных эпифизов основных фаланг пальцев и смещение пястных головок в эти участки формируют типичные для полиартрита деформации суставов. Компрессионной эрозией также является внедрение ладьевидной кости запястья в дистальный эпифиз лучевой кости. 3-й тип эрозий выявляется в виде поверхностной резорбции замыкательной пластины кости в месте прикреплениясвязки и обычно связан с воспалительными изменениями в смежной связке. Появление такой эрозии по наружному краю шиловидного отростка локтевой кости является важной находкой и представляет собой один из ранних рентгенологических симптомов РА.
При ОА неровность суставной поверхности можно определить как околосуставной краевой дефект костной ткани. У больных с ОА костные дефекты небольшие, с участком остеосклероза в основании. При этом окружающая их костная ткань не имеет разрежения костной структуры, что характерно для истинных эрозий, выявляемых при ревматоидном артрите, которые не имеют склеротических изменений в основании и часто определяются на фоне околосуставного остеопороза. Краевые дефекты костной ткани могут быть обнаружены на ранних стадиях ОА. Появление их может быть связано с воспалительными изменениями в синовиальной оболочке и описаны они в проксимальных и дистальных межфаланговых суставах кистей.
Для РА характерны множественные эрозивные поражения суставов. Симметричность поражения является отличительным признаком РА от других ревматических заболеваний. 1-й запястно-пястный сустав поражается при РА редко и его можно отнести к «суставу исключения РА».
Иногда, при быстро прогрессирующем или длительном течении РА, на рентгенограммах обнаруживаются крупные эрозии суставных поверхностей, вплоть до полного разрушения и исчезновения эпифизов костей. Данный вид поражения суставов при РА относят к остеолитической форме заболевания. При таких обширных и множественных деструктивных поражениях суставов развиваются множественные подвывихи, вывихи и контрактуры суставов и формируются типичные для РА деформации суставов. Помимо деструктивных изменений в суставах, большинство деформаций связано с сухожильной и связочной разболтанностью и разрывами в них, а также с перестройкой нормального мышечного натяжения вокруг одного или более суставов. Примерами таких изменений могут служить деформации пальцев по типу «бутаньерки» или «лебединной шеи», вальгусной девиации пальцев в пястно-фаланговых суставах.
Остеолиз – патологический процесс, сопровождающийся рассасыванием кости, при котором костная ткань исчезает полностью и бесследно при отсутствии реактивных изменений со стороны окружающих мягких тканей и оставшийся части кости. Остеолитическую форму РА нельзя отнести к истинному остеолизу костной ткани. Эта форма РА, по всей видимости, является деструктивным артритом, что более свойственно РА. Но деструкции костей в этом случае столь значительны, что эпифизы костей практически полностью разрушаются, при этом они значительно уменьшаются в размерах и деформируются, но необходимо отметить, что данные деструктивные изменения, при всей обширности поражения, не выходят за границы эпифизов костей. При истинном остеолизе коротких трубчатых костей рассасыванию подвергаются не только эпифизы, но также метафизы и диафизы костей, в отдельных случаях кость может полностью лизироваться, что никогда не бывает при РА. Одним из вариантов остеолиза является акроостеолиз ногтевых бугристостей дистальных фаланг пальцев. Истинный остеолиз является крайне характерным, если не сказать патогмоничным, рентгенологическим симптомом псориатической артропатии и системной склеродермии.
Остеонекроз (асептический некроз кости) – омертвение участка костной ткани в субхондральном отделе суставной поверхности кости, обычно связанное с локальным нарушением кровообращения в определённом участке кости на фоне травмы (микротравмы), воспаления или приёма лекарственных препаратов (глюкокортикоидных гормонов) с последующим образованием секвестра и развитием вторичных остеосклеротических изменений. Патогенез костных изменений при АН, осложняющем течение ревматических заболеваний, до настоящего времени изучен недостаточно. При этом рассматриваются отдельные гипотезы, касающихся взаимосвязи АН с васкулитом, характерным для многих ревматических заболеваний. По литературным данным наблюдается достоверная корреляция развития АН с приемом ГК, причем особенно отчетливую связь авторы отмечают с длительным применением более высоких доз ГК, как, например, при СКВ.
Начальными рентгенологическими проявлениями АН следует считать повышение рентгенпрозрачности и разрежение трабекулярной костной структуры субхондрального отдела суставной поверхности кости с формированием линейной зоны просветления костной ткани, которая идёт параллельно суставной поверхности. В другом случае ранними симптомами АН может быть участок кистовидного просветления костной ткани или множественные мелкие кисты, чередующиеся с небольшими зонами уплотнения костной ткани округлой или линейной формы, также как и в первом случае, расположенными субхондрально. В этой стадии заболевания кость сохраняет свою нормальную анатомическую форму, чёткие, ровные контуры суставной поверхности и нормальную ширину суставной щели.
В следующей стадии АН, за счет рассасывания омертвевшего участка кости, происходит ослабление прочности костных трабекул и кость начинает деформироваться. На рентгенограмме в этой стадии чётко визуализируется некротический участок кости и зона сохранившейся здоровой костной ткани. Участок некроза определяется в виде округлой, овальной или неправильной формы плотной секвестроподобной тени. Она локализуется в центральном отделе изменённой кости. Очаг некроза окружен линейной зоной просветления. За ней идёт участок остеосклероза, являющийся компенсаторной реакцией кости, отграничивающей зону поражения от здоровой кости.
В дальнейшем, по мере усиления рассасывания некротизированной костной ткани, начинают нарастать репаративные процессы со стороны здоровой костной ткани. Рентгенологические изменения этой стадии характеризуются появлением вторичных дегенеративных изменений в кости и смежном суставе в виде формирования остеофитов на краях суставных поверхностей, сужением суставной щели, нерастанием остеосклеротических изменений, выраженных деформационных изменений костей, подвывихов в суставах.
Остеофиты – костные разрастания на краях суставных поверхностей костей различной формы и размеров являются чрезвычайно характерным для первичного и вторичного ОА рентгенологическим симптомом. Остеофиты в начальных стадиях развития ОА суставов проявляются в виде заострений или небольших размеров костных образований на краях суставных поверхностей. По мере нарастания тяжести ОА в суставах и прогрессирующего сужения суставной щели остеофиты увеличиваются в размерах, приобретают различные формы в виде «губ» или «гребней», прямолинейных или «пышных» костных разрастаний на широком или узком основании. Изменение количества остеофитов и их размеров является чувствительным индикатором прогрессирования заболевания, а отсутствие этих изменений может указывать на успешность в лечении ОА.
Субхондральный остеосклероз – уплотнение костной ткани, непосредственно расположенной под суставным хрящом. Обычно этот рентгенологический симптом выявляется на поздних стадиях ОА, когда суставная щель уже резко сужена и является следствием трения обнаженных сочленяющихся костных поверхностей друг о друга. Суставные костные поверхности при этом становятся неровными. Всё это свидетельствует о глубоком дегенеративном процессе в покровном хряще или о его исчезновении.
Продолжение.
Ревматоидный артрит. МРТ.
http://radsource.us/mr-imaging-rheumatoid-arthritis/
Рисунок 1
http://uwmsk.org/residentprojects/rheumatoid.html
диффузное вовлечение