Вы здесь

Ваше мнение, требуется отдифференцировать

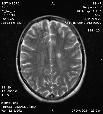
Молодая девушка, несколько дней назад произошло выпадение чувствительности на руках. Начало заболевания острое. В анамнезе операция (3 года назад) на почке по поводу аденокарциномы - секторальная резекция, почка сохранена. Ваще мнение коллеги??

Некоторые картинки открываются если нажать на них

araneus аватар
Не на сайте
Был на сайте: 14 лет 2 месяцев назад
Зарегистрирован: 04.11.2010 - 18:37
Публикации: 26

снимки

Приложения: 
199611.jpg10002.jpg10003.jpg10004.jpg20001.jpg20002.jpg20003.jpg30001.jpg30002.jpg30003.jpg40001.jpg40002.jpg40003.jpg50001.jpg50002.jpg
v1tal аватар
Не на сайте
Был на сайте: 4 года 9 месяцев назад
Зарегистрирован: 07.06.2008 - 19:41
Публикации: 1779

Вы не закачивали на Dicom-сервер данный случай? 

"Знаешь, у некоторых врачей есть комплекс мессии — им необходимо спасать мир. А у тебя комплекс Рубика — тебе необходимо решать головоломки."

araneus аватар
Не на сайте
Был на сайте: 14 лет 2 месяцев назад
Зарегистрирован: 04.11.2010 - 18:37
Публикации: 26

нет

v1tal аватар
Не на сайте
Был на сайте: 4 года 9 месяцев назад
Зарегистрирован: 07.06.2008 - 19:41
Публикации: 1779

Не совсем  Вас понимаю, если Вы занимаитесь МРТ, то должны знать методику проведения исследования и ряд последовательностей в ней, всё же хотелось бы увидеть все выполненные последовательности или хотя бы минимальные(Т1/ВИ+контрастирование, T2/flair). 

"Знаешь, у некоторых врачей есть комплекс мессии — им необходимо спасать мир. А у тебя комплекс Рубика — тебе необходимо решать головоломки."

araneus аватар
Не на сайте
Был на сайте: 14 лет 2 месяцев назад
Зарегистрирован: 04.11.2010 - 18:37
Публикации: 26

Пациентка изначально была направлена на исследование грудного отдела. Выложены только отдельные срезы (выкладываю первый раз - на DICOM-сервер пока не разобрался как загрузить). От контрастирования пациентка отказалась.