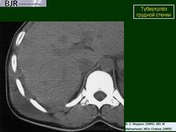
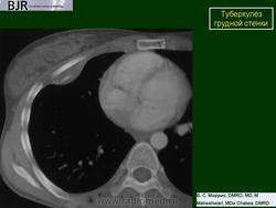
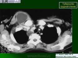
Туберкулёз грудной стенки. Ср, 13/12/2017 - 21:33 #1 Катенёв Валенти... Не на сайте Был на сайте: 7 лет 6 месяцев назад Зарегистрирован: 22.03.2008 - 22:15 Публикации: 54876 Рисунок 21.17 Туберкулезный остеомиелит с участием грудины
Рисунок 21.17