Вегенера гранулематоз. +

Вегенера гранулематоз

Катенёв Валентин Львович аватар
Не на сайте
Был на сайте: 7 лет 5 месяцев назад
Зарегистрирован: 22.03.2008 - 22:15
Публикации: 54876

Продолжение.

Приложения: 
1.v.slayd58.jpg2.v.slayd59.jpg3.v.slayd60.jpg4.v.slayd61.jpg5.v.slayd62.jpg6.v.slayd63.jpg7.v.slayd64.jpg8.v.slayd65.jpg
Катенёв Валентин Львович аватар
Не на сайте
Был на сайте: 7 лет 5 месяцев назад
Зарегистрирован: 22.03.2008 - 22:15
Публикации: 54876

Продолжение.

Приложения: 
1.veg_.slayd54.jpg2.veg_.slayd55.jpg3.veg_.slayd56.jpg
Катенёв Валентин Львович аватар
Не на сайте
Был на сайте: 7 лет 5 месяцев назад
Зарегистрирован: 22.03.2008 - 22:15
Публикации: 54876

Продолжение.

Приложения: 
1.v.slayd45.jpg2.v.slayd46.jpg1.v.slayd138.jpg2.v.slayd139.jpg3.v.slayd140.jpg4.v.slayd141.jpg5.v.slayd142.jpg
Катенёв Валентин Львович аватар
Не на сайте
Был на сайте: 7 лет 5 месяцев назад
Зарегистрирован: 22.03.2008 - 22:15
Публикации: 54876

Продолжение.

Приложения: 
1.v.slayd122.jpg2.v.slayd123.jpg3.v.slayd124.jpg
Катенёв Валентин Львович аватар
Не на сайте
Был на сайте: 7 лет 5 месяцев назад
Зарегистрирован: 22.03.2008 - 22:15
Публикации: 54876

Продолжение.

Приложения: 
1.g.slayd82.jpg2.g.slayd83.jpg3.g.slayd84.jpg4.g.slayd85.jpg
Катенёв Валентин Львович аватар
Не на сайте
Был на сайте: 7 лет 5 месяцев назад
Зарегистрирован: 22.03.2008 - 22:15
Публикации: 54876

Вегенера гранулематоз

Приложения: 
1.veg_.slayd102.jpg
Nikolas аватар
Не на сайте
Был на сайте: 1 месяц 3 недели назад
Зарегистрирован: 21.12.2010 - 20:37
Публикации: 4560

иллюстрации и краткий обзор. Спасибо коллеги!

Поражение легкихразвивается у 3/4 больных, проявляется формированием инфильтратов, которые могут распадаться и образовывать полости. Иногда наблюдается плеврит.

При генерализованной форме ........ картина пневмонии с наклонностью к абсцедированию и появлению плеврального выпота.

Рентгенологическое исследование легких: инфильтраты, часто с распадом и образованием полостей, редко - плеврит.

Доктору Andrew: "иногда плеврит?", "редко плеврит?" или как правило "плевральный выпот? Есть ли у вас данные в процентах? Серозный, фибринозный,  геморрагический  или гнойный?  С уважением Nikolas

Катенёв Валентин Львович аватар
Не на сайте
Был на сайте: 7 лет 5 месяцев назад
Зарегистрирован: 22.03.2008 - 22:15
Публикации: 54876

Вегенера гранулематоз

Приложения: 
1.veg_.slayd264.jpg2.veg_.slayd265.jpg3.veg_.slayd266.jpg
Катенёв Валентин Львович аватар
Не на сайте
Был на сайте: 7 лет 5 месяцев назад
Зарегистрирован: 22.03.2008 - 22:15
Публикации: 54876

Из литературных источников.

Приложения: 
1.veg_..slayd40.jpg2.veg_..slayd41.jpg
Катенёв Валентин Львович аватар
Не на сайте
Был на сайте: 7 лет 5 месяцев назад
Зарегистрирован: 22.03.2008 - 22:15
Публикации: 54876

Вегенера гранулематоз

Приложения: 
1.veg_.slayd15.jpg2.veg_.slayd16.jpg3.veg_.slayd17.jpg
Катенёв Валентин Львович аватар
Не на сайте
Был на сайте: 7 лет 5 месяцев назад
Зарегистрирован: 22.03.2008 - 22:15
Публикации: 54876
Катенёв Валентин Львович аватар
Не на сайте
Был на сайте: 7 лет 5 месяцев назад
Зарегистрирован: 22.03.2008 - 22:15
Публикации: 54876

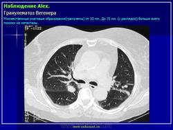
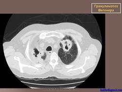
Гранулематоз Вегенера

Wegener granulomatosis</p> <p>Image courtesy of Yale Rosen, M.D.. Please see case description page for licence and original file information.

ID: 8950 Wegener granulomatosis Dr Yale Rosen - 11 Mar 2010 Wegener granulomatosisAuthor: Yale Rosen, M.D.Original file: Flickr file...

Wegener's granulomatosis</p> <p>

ID: 8123 Wegener's granulomatosis Dr Angela Byrne - 13 Jan 2010 Chest x-ray in a 16 year old boy demonstrates a number of ill-defined no...

ID: 16217 Wegener's granulomatosis Dr Yale Rosen - 30 Dec 2011 Initially a core biopsy of the right lung lesion was performed but it wa...

Случаи и цифры

  • Гранулема Вегенера ...

     
    Рисунок 1:
  •  
    Дело 1
  • Гранулема Вегенера ...
     
    Рисунок 2: гистология - неказеозная гранулема
  •  
    Случай 2: перфорация носовой перегородки
  •  
    Случай 3
  •  
     Случай 4
  •  
    Случай 4
  •  
    Случай 5: Участие ЦНС
  •  
    Случай 6: 
Катенёв Валентин Львович аватар
Не на сайте
Был на сайте: 7 лет 5 месяцев назад
Зарегистрирован: 22.03.2008 - 22:15
Публикации: 54876
Катенёв Валентин Львович аватар
Не на сайте
Был на сайте: 7 лет 5 месяцев назад
Зарегистрирован: 22.03.2008 - 22:15
Публикации: 54876

Гранулематоз Вегенера

 

Приложения: 
1.yoyoyoslayd33.jpg
Катенёв Валентин Львович аватар
Не на сайте
Был на сайте: 7 лет 5 месяцев назад
Зарегистрирован: 22.03.2008 - 22:15
Публикации: 54876

Гранулематоз Вегенера

 

Приложения: 
1uuslayd5.jpg
Катенёв Валентин Львович аватар
Не на сайте
Был на сайте: 7 лет 5 месяцев назад
Зарегистрирован: 22.03.2008 - 22:15
Публикации: 54876

Продолжение.

Приложения: 
11.uu_.slayd223.jpg
Катенёв Валентин Львович аватар
Не на сайте
Был на сайте: 7 лет 5 месяцев назад
Зарегистрирован: 22.03.2008 - 22:15
Публикации: 54876

Продолжение.

 

Приложения: 
1yoyoyoslayd15.jpg1yoyoyoslayd16.jpg1yoyoyoslayd17.jpg